Know all the coronary arteries!!!

Left main coronary artery = LAD + Circumflex + Ramus Intermedius
LAD = LAD + Diagonals + Septal perforators
Circumflex = Obtuse Marginals + Circ
Right main Coronary artery = Nodal + RCA
RCA = RCA + Acute/Rt Marginals + AVN +PDA + PL
Know where the artery serves on the heart


Know where the arteries arise for pulmonary circulation
Supply nutrients and circulation to lung tissue
The left bronchial arteries (superior & inferior) usually arise directly from the thoracic aorta.
The single right bronchial artery usually arises from:
—–Thoracic aorta at a common trunk with the right 3rd posterior intercostal artery
OR
—the superior bronchial artery on the left side
Know the basics about coronary circulation, especially the formulas!
Sinus of Valsalva - Coronary arteries – capillaries – Coronary Veins – Coronary Sinus
Coronary Artery Perfusion – Left vs Right ventricle timing
Coronary Perfusion Pressure = DBP – LVEDP
CaO2= (1.34 x SaO2 x Hgb) +(0.003 x PaO2)
DaO2= C.O. x CaO2
VO2 = C.O.(CaO2 – CvO2) (3.5L/min or 45ml/kg/min)
Darkest Blood in the Body is in the C.S.
Know these number about MAP
MAP = 1/3 SBP + 2/3 DBP= 1/3 PP + DBP= C.O. x SVR
C.O. – 4-6.5 L/min
SVR – 900-1500 dynes x sec/cm5
PVR – 50-150 dynes x sec /cm5
Hypotension and Hypertension ranges
Know the relationship between ventricular end diastolic volume and cardiac output
AKA the Frank Starling Curve

Know how afterload would affect the cardiac index and stroke volume

Know the normal LVEF, and factors can alter the EF
Normal LV Ejection Fraction = 55% to 70%
Percentage of LV reduction in size after systole
Variable
Valvular Dysfunction
Anesthesia Dysfunction
Other: LV mass, LV Fractional Shortening, Regional Wall Motion, LV Torsion, Cardiac Output and MAP and Stroke Volume
Awear of the regional wall motion abnormalities and the definition of all the different “kinesis”

What’s the gold std for cardiac test?
stress test with EKG/Echo test
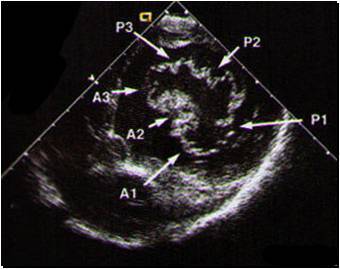
Here comes the money shot!


This is looking down to aortic valve


This is looking down to mitral valve


I think this might be the most important picture for TEE

Here’s an easy 4 chamber view


A 2 chamber view


a long axis view


And the coronary perfusion for the money shot!

