TEE Flashcards

(107 cards)

1
Q
A
How well did you know this?
1
Not at all
2
3
4
5
Perfectly
2
Q

what motions move the TEE probe anterior and posterior

A

anteflex/retroflex

How well did you know this?
1
Not at all
2
3
4
5
Perfectly
3
Q

what motions move the TEE probe R and L

A

flex to right, flex to Left

How well did you know this?
1
Not at all
2
3
4
5
Perfectly
4
Q

what is used to rotate the ultrasound beam

A

omniplane

How well did you know this?
1
Not at all
2
3
4
5
Perfectly
5
Q

what information do we get form basic TEE

A

L and R vent function
heat wall motion
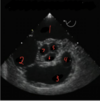
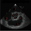
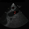
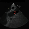
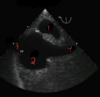
heart chamber volume
vessel integrity
valve function and integrity
heart tumors
pericardial effusion

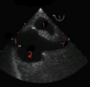
How well did you know this?
1
Not at all
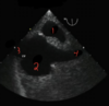
2
3
4
5
Perfectly
6
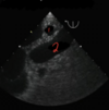
Q

what are absolute contraindications to TEE

A

perforated viscous
esophageal stricture/tumor
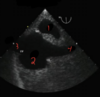
esophageal perforation/laceration
esophageal diverticulum
active upper GI bleed

How well did you know this?
1
Not at all
2
3
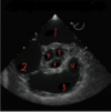
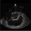
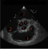
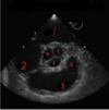
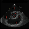
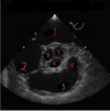
4
5
Perfectly
7
Q

what are some relative contraindications to TEE

A

radiation fo neck/mediastinum
GI surgery/bleed
barretts esophagus
dysphagia/hiatal hernia
neck immobility/cervical disc disease
symptomatic hiatal hernia
esophageal varicies
coagulopathy

How well did you know this?
1
Not at all
2
3
4
5
Perfectly
8
Q

what distance do you initially insert TEE probe to

A

30-35 centimeters

How well did you know this?
1
Not at all
2
3
4
5
Perfectly
9
Q

what are the four positions for TEE

A

upper esophageal
mid esophageal
transgastric
deep transgastric

How well did you know this?
1
Not at all
2
3
4
5
Perfectly
10
Q

the LV should be ______x larger than the RV

A

1.5

How well did you know this?
1
Not at all
2
3
4
5
Perfectly
11
Q

what is the first view we go for in TEE

A

mid esophageal four chamber view

How well did you know this?
1
Not at all
2
3
4
5
Perfectly
12
Q

what distance for mid esophageal four chamber view

A

30-35 cm

How well did you know this?
1
Not at all
2
3
4
5
Perfectly
13
Q

what do we assess in mid esophageal four chamber view

A

chamber size
ventricular function
anterolateral/inferoseptal WMA
mitral valve disease
tricuspid valve disease
atrial septal defect
pericardial effusion

How well did you know this?
1
Not at all
2
3
4
5
Perfectly
14
Q

what is the second view we do in TEE

A

mid esophageal two chamber (LA/LV)

How well did you know this?
1
Not at all
2
3
4
5
Perfectly
15
Q

how do we get midesophageal two chamber view

A

rotate 80-100 degrees

How well did you know this?
1
Not at all
2
3
4
5
Perfectly
16
Q

what structures are visible in midesophageal two chamber view

A

LA
LV
mitral valve (posterior on left, anterior Right)

How well did you know this?
1
Not at all
2
3
4
5
Perfectly
17
Q

what do we assess in midesophageal two chamger

A

LA mass/thrombus
LV size and function
anterior/inferior WMA
MV disease
MV annulus measurement

How well did you know this?
1
Not at all
2
3
4
5
Perfectly
18
Q

what is the third view in TEE

A

midesophageal long axis

How well did you know this?
1
Not at all
2
3
4
5
Perfectly
19
Q

how do we get midesophageal long axis view

A

rotate to 130 degrees

How well did you know this?
1
Not at all
2
3
4
5
Perfectly
20
Q

what structures are in midesophageal long axis view

A

LA
LV
LVOT
Aortic valve
mitral valve
RV

How well did you know this?
1
Not at all
2
3
4
5
Perfectly
21
Q

what can we assess with midesophageal long axis

A

LV function
anterospeptal/infeolateral WMA
MV disease
AV and aortic root disease
interventricular septum pathology
cardiac air

How well did you know this?
1
Not at all
2
3
4
5
Perfectly
22
Q

what is the fourth view for TEE

A

midesophageal bicaval

How well did you know this?
1
Not at all
2
3
4
5
Perfectly
23
Q

how do we get midesophageal bicaval

A

omni to 90?

How well did you know this?
1
Not at all
2
3
4
5
Perfectly
24
Q

what is visible in ME bicaval

A

LA
RA
SVC
IVC
intratrial septum

How well did you know this?
1
Not at all
2
3
4
5
Perfectly
25
what view is good for finding PFOs/ASDs
ME bicaval
26
what can be assessed in ME bicaval
ASD PFO lines/wires venous cannula
27
what is the fifth view for TEE
ME aortic valve short axis
28
how do we get ME aortic valve short axis view
pull probe back, rotate to 10 degrees
29
what structures are in ME aortic valve short axis view
LA IAS RA RV PA Aortic valve (L, R and non coronary cusps)
30
what do we assess in ME aortic valve short axis view
aortic valve disease ASD LA size coronaries
31
what is the sixth view on TEE
ME RV inflow outflow view
32
what structures are in ME RV in flow out flow view
LA RA TV AV PA PV RV
33
what do we assess in ME RV in flow out flow view
pulmonic valve disease pulmonary artery RVOT tricuspid valve disease PAC position
34
what is the seventh view of TEE
ME ascending aorta Short access view
35
how do we find ME ascending aorta Short access view
pull back from ME aortic valve view
36
what structures are in ME ascending aorta Short access view
PA PV ascending aorta SVC RPA
37
what do we assess for in ME ascending aorta Short access view
pulmonary artery pathology pulmonary emboli ascending aorta pathology PDA PAC position atherosclerotic disease
38
what is the eight view of TEE
ME ascending aorta long axis view
39
how do we get ME ascending aorta long axis view
turn 90 degrees from ascending aorta short axis
40
what structures are in ME ascending aorta long axis view
RPA Ascending aorta
41
what do we assess in ME ascending aorta long axis view
aortic pathology pericardial effusion pulmonary embolus
42
what is the ninth view of the TEE
descending aorta short axis
43
how do we get descending aorta short axis
rotate to left
44
what structures are in descending aorta short axis
descending aorta
45
what do we assess in descending aorta short axis
aortic pathology flow reversal (aortic regurge) balloon pump/percutaneous bypass wire position left pleural effusoin atherosclerotic disease
46
what is the the tenth view of the TEE
descending aorta long axis
47
how do we get descending aorta long axis
90 -105 degrees degrees omni beam to go verticle
48
what structures are in descending aorta long axis
descending aorta
49
what do we assess in descending aorta long axis
aortic pathology (dissection) flow reversal from AR IABP position
50
what is the eleventh view of TEE
trans gastric short-axis view
51
how do we get to transgastric short axis view
70 cm into stomach anteflex
52
what structures are in transgastric short axis view
LV ventricular septal wall papillary muscles ventricle walls
53
what do we assess for in transgastric short axis view
LV size function interventricualr septal motion VSD pericardial effusion volume status
54
what views do we get in ME location
four chamber two chamber long axis short axis bicaval aortic valve short axis RV IF/OF ascending aorta short axis ascending aorta long axis descending aorta short axis descending aorta long axis
55
what is the only non ME view in basic TEE
TG short axis
56
what is red flow on color doppler
towards transducer
57
what is blue flow on color doppler
away from the transducer
58
what view is this
ME 4 chamber
59
what is 1
RA
60
what is 2
RV
61
what is 3
LA
62
what is 4
LV
63
what view is this
ME two chamber
64
what is 1
LA
65
what is 2
LV
66
what view is this
ME long axis
67
what is 1
LA
68
what is 2
LV
69
what is 3
aorta
70
what is 4
LVOT
71
what is 5
RV
72
what view is this
ME bicaval
73
what is 1
LA
74
what is 2
RA
75
what is 3
IVC
76
what is 4
SVC
77
what view is this
ME right ventricular inflow outflow
78
what is 1
LA
79
what is 2
RA
80
what is 3
TV
81
what is 4
RV
82
what is 5
pulm valve
83
what is 6
pulm art
84
what is 7
Aortic valve
85
what view is this
ME aortic valve short axis
86
what is 1
LA
87
what is 2
RA
88
what is 3
RV
89
what is 4
pulm art
90
what is 5
left coronary cusp
91
what is 6
right coronary cusp
92
what is 7
noncoronary cusp
93
what view is this
ME ascending aorta short axis
94
what is 1
SVC
95
what is 2
ascending aorta
96
what is 3
pulm valve
97
what is 4
Pulm art
98
what is 5
right pulm art
99
what view is this
ME ascending aorta long axis
100
what is 1
right pulm art
101
what is 2
ascending aorta
102
what view is this
descending aorta short axis
103
what is 1
descending aorta
104
what view is this
descending aorta long axis
105
what is 1
descending aorta
106
what view is this
transgastric short axis
107
what is 1
LV