TEE Views Flashcards

(11 cards)

1
Q
A

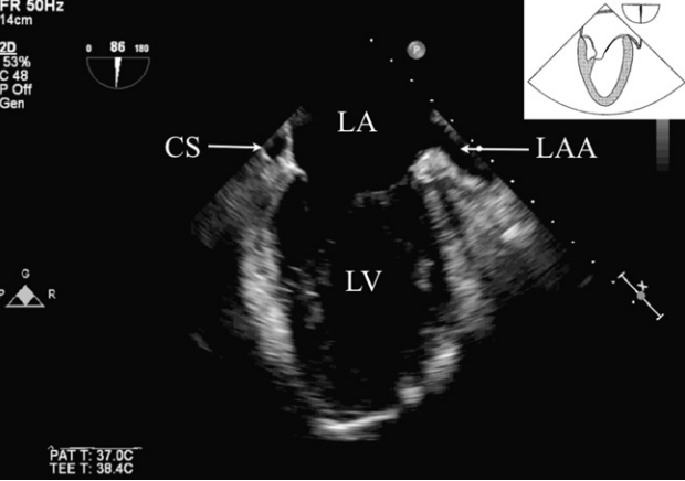
ME Four Chamber

How well did you know this?
1
Not at all
2
3
4
5
Perfectly
2
Q
A

ME Two Chamber

How well did you know this?
1
Not at all
2
3
4
5
Perfectly
3
Q
A

ME LAX

How well did you know this?
1
Not at all
2
3
4
5
Perfectly
4
Q
A

ME Asc Ao LAX

How well did you know this?
1
Not at all
2
3
4
5
Perfectly
5
Q
A

ME Asc Ao SAX

How well did you know this?
1
Not at all
2
3
4
5
Perfectly
6
Q
A

ME AV SAX

How well did you know this?
1
Not at all
2
3
4
5
Perfectly
7
Q
A

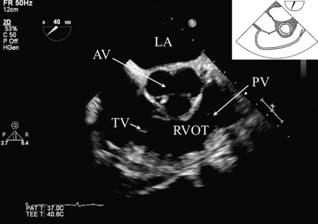
ME RV Inflow-Outflow

How well did you know this?
1
Not at all
2
3
4
5
Perfectly
8
Q
A

ME Bicaval

How well did you know this?
1
Not at all
2
3
4
5
Perfectly
9
Q
A

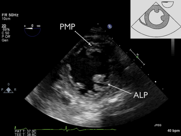
TG Mid Pap SAX

How well did you know this?
1
Not at all
2
3
4
5
Perfectly
10
Q
A

ME Desc Aortic SAX

How well did you know this?
1
Not at all
2
3
4
5
Perfectly
11
Q
A

ME Desc Aortic LAX

How well did you know this?
1
Not at all
2
3
4
5
Perfectly