TEMA 26 - SNC Flashcards

(327 cards)

1
Q

La lesión neuronal puede ser un proceso agudo, a menudo como consecuencia de la falta de o de glucosa o de un traumatismo, o puede producirse a lo largo de años, como en los trastornos .

A

La lesión neuronal puede ser un proceso agudo, a menudo como consecuencia de la falta de oxígeno o de glucosa o de un traumatismo, o puede producirse a lo largo de años, como en los trastornos degenerativos.

How well did you know this?
1
Not at all
2
3
4
5
Perfectly
2
Q

Las … … son evidentes a las 6- 12 h de una agresión hipóxica/isquémica irreversible.

A

«neuronas rojas»

How well did you know this?
1
Not at all
2
3
4
5
Perfectly
2
Q

Se refiere a los cambios observados después de hipoxia/isquemia aguda, hipoglucemia grave y otras agresiones agudas del SNC, que son los marcadores morfológicos iniciales de la muerte neuronal

A

lesión neuronal aguda («neuronas rojas»)

How well did you know this?
1
Not at all
2
3
4
5
Perfectly
3
Q

Se refiere a la muerte celular como consecuencia de una enfermedad progresiva de meses a años de duración, como la esclerosis lateral amiotrófica y la enfermedad de Alzheimer.

A

lesión neuronal subaguda y crónica («degeneración»)

How well did you know this?
1
Not at all
2
3
4
5
Perfectly
3
Q

Es la degeneración axónica después de la interrupción de las fibras nerviosas

A

degeneración walleriana

How well did you know this?
1
Not at all
2
3
4
5
Perfectly
4
Q

Es el marcador histopatológico más importante de lesión del SNC con independencia de la causa y se caracteriza por hipertrofia e hiperplasia de los astrocitos.

A

Gliosis

How well did you know this?
1
Not at all
2
3
4
5
Perfectly
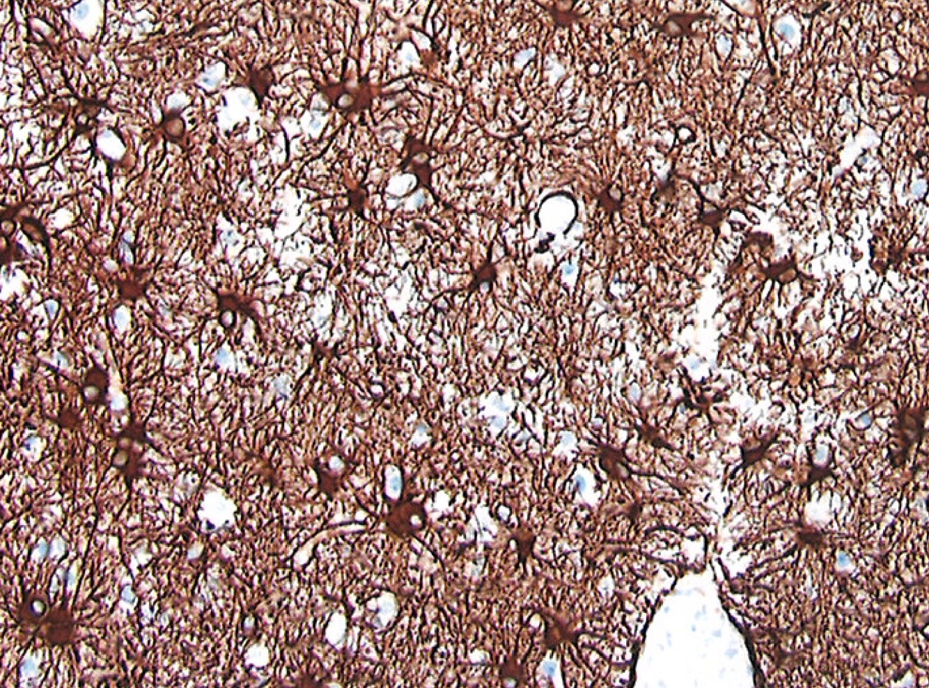
5
Q
A

Figura 28. 1 Astrocitos reactivos. La tinción inmunohistoquímica para la proteína gliofibrilar ácida (morrón) pone de relieve las prolongaciones astrocíticas estrelladas que dan nombre a estas células.

How well did you know this?
1
Not at all
2
3
4
5
Perfectly
6
Q

Son células fagocíticas derivadas en las primeras fases del desarrollo embrionario del saco vitelino o del hígado fetal que actúan como macrófagos residentes del SNC

A

Microglia

How well did you know this?
1
Not at all
2
3
4
5
Perfectly
7
Q

La lesión neuronal provoca con frecuencia muerte celular, por apoptosis o .

A

necrosis

es dificil detectar la pérdida de sinapsis o de neuronas,

How well did you know this?
1
Not at all
2
3
4
5
Perfectly
8
Q

Causado por un incremento de la salida de líquido de los vasos sanguíneos y por la lesión de distintas células del SNC

A

Edema cerebral (con más precisión, el edema del parénquima cerebral)

How well did you know this?
1
Not at all
2
3
4
5
Perfectly
9
Q

Es un aumento del líquido extracelular por alteración de la barrera hematoencefálica y aumento de la permeabilidad vascular, que permite la salida de líquido del compartimento intravascular a los espacios intercelulares cerebrales.

A

Edema vasógeno

How well did you know this?
1
Not at all
2
3
4
5
Perfectly
10
Q

Es un aumento del líquido intracelular secundario a una lesión de la membrana celular neuronal, glial o endotelial, como se produce por una agresión hipóxica/isquémica generalizada o una alteración metabólica que impide mantener los gradientes iónicos de membrana normales.

A

Edema citotóxico

How well did you know this?
1
Not at all
2
3
4
5
Perfectly
11
Q

Es la acumulación excesiva de LCR en el sistema ventricular

A

Hidrocefalia

La mayoría de los casos de hidrocefalia están causados por alteración del flujo y de la reabsorción de LCR; la producción excesiva es una causa infrecuente asociada a los tumores del plexo coroideo.

How well did you know this?
1
Not at all
2
3
4
5
Perfectly
12
Q
A

Figura 28.2 Hidrocefalia. Ventrículos laterales dilatados observados en corte frontal a través de la región centraI del tálamo.

How well did you know this?
1
Not at all
2
3
4
5
Perfectly
13
Q

Si la hidrocefalia se produce en un niño antes del cierre de las suturas craneales, la cabeza aumenta de tamaño. Por el contrario, después del cierre de las suturas, la hidrocefalia produce expansión de los ventrículos y aumento de la …… intracraneal, sin cambios en el perímetro cefálico

A

presión

How well did you know this?
1
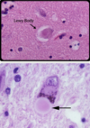
Not at all
2
3
4
5
Perfectly
14
Q

Es un desplazamiento de tejido cerebral más allá de los pliegues durales rígidos (la hoz y la tienda) o a través de aberturas en el cráneo por hipertensión intracraneal.

A

Hernia

How well did you know this?
1
Not at all
2
3
4
5
Perfectly
15
Q

El aumento de volumen cerebral desplaza el …. y provoca hipertensión intracraneal;

A

LCR

How well did you know this?
1
Not at all
2
3
4
5
Perfectly
16
Q

Se produce cuando una expansión unilateral o asimétrica de un hemisferio cerebral desplaza la circunvolución del cíngulo por debajo de la hoz. Esto puede causar compresión de la arteria cerebral anterior y de sus ramas con infartos secundarios.

A

hernia subfalcina (cingulada)

How well did you know this?
1
Not at all
2
3
4
5
Perfectly
17
Q

Se produce cuando la cara medial del lóbulo temporal se comprime contra el borde libre de la tienda. El desplazamiento progresivo del lóbulo temporal comprime el tercer par craneal y causa midriasis y alteración de los movimientos oculares en el lado de la lesión.

A

hernia transtentorial (uncal, temporal mesial)

How well did you know this?
1
Not at all
2
3
4
5
Perfectly
18
Q

Es el desplazamiento de las amígdalas cerebelosas a través del agujero occipital. Este tipo de hernia es potencialmente mortal, porque comprime el tronco encefálico y afecta a centros bulbares respiratorios y cardíacos vitales.

A

Hernia amigdalina

How well did you know this?
1
Not at all
2
3
4
5
Perfectly
19
Q
A

Principales síndromes con hernias cerebrales: subfalcina, transtentorial y amigdalina.

How well did you know this?
1
Not at all
2
3
4
5
Perfectly
20
Q

El edema cerebral es la acumulación excesiva de líquido en el cerebral. La hidrocefalia es un aumento de volumen del LCR en todo o en parte del sistema .

A

parénquima
ventricular

How well did you know this?
1
Not at all
2
3
4
5
Perfectly
21
Q

El aumento de la presión intracraneal puede provocar cerebral, descenso de perfusión e secundario de las zonas afectadas.

A

hernia
infarto

How well did you know this?
1
Not at all
2
3
4
5
Perfectly
22
Q

Es una malformación del extremo anterior del tubo neural que provoca ausencia de la mayor parte del encéfalo y de la bóveda craneal.

A

Anencefalia

How well did you know this?
1
Not at all
2
3
4
5
Perfectly
23
Es la protrusión de tejido del SNC a través de un defecto en la columna vertebral
mielomeningocele (o meningomielocele) ## Footnote el término meningocele se aplica si solo existe extrusión meníngea.
24
Pueden ser un defecto óseo asintomático o una malformación grave con un segmento de la médula espinal desorganizado y aplanado asociado a una evaginación meníngea suprayacente.
mielodisrafia o la espina bífida (los defectos más frecuentes del tubo neural)
25
Figura 28.5 Mielomeningocele. La estructura seudoquística visible justo por encima de las nalgas contiene meninges y parénquima de la médula espinal. ## Footnote Existen tres tipos principales de espina bífida: espina bífida oculta, meningocele y mielomeningocele
26
Figura 28.6 **Agenesia del cuerpo calloso**. La imagen sagital media del hemisferio izquierdo muestra la ausencia del cuerpo calloso y de la circunvolución del cuerpo calloso.
27
Figura 28.7 Malformación de **Arnold-Chiari**. Este corte sagital medio muestra un contenido reducido de la fosa posterior, desplazamiento hacia abajo del vermis cerebeloso y deformidad del bulbo raquídeo (las flechas indican la posición aproximada del agujero occipital) ## Footnote Esta afección se produce cuando la parte inferior del cerebelo se encuentra debajo del foramen magnum (el orificio en la base del cráneo) y se extiende hacia el canal espinal
28
Figura 28.8 **Leucomalacia** periventricular en fase crónica. Los espacios quísticos grandes en la sustancia blanca periventricular (en ambos hemisferios en este cerebro) son secuelas a largo plazo de una lesión isquémica prenatal o perinatal grave.
29
Una fractura con desplazamiento del hueso al interior de la cavidad craneal en una distancia mayor que el grosor del hueso se denomina fractura craneal **......**.
desplazada
30
Es un síndrome clínico de alteración de la conciencia secundario a una lesión craneoencefálica, habi- tualmente por un cambio del momento de_inercia de la cabeza (p. ej., después de un impacto con un objeto rígido)
Conmoción
31
# Lesión parenquimatosa directa Son lesiones cerebrales causadas por la transmisión de energía cinética al cerebro.
contusiones y desgarros
32
Una **...** es una lesión de los tejidos blandos causada por un traumatismo **no penetrante**, como un golpe.
contusión
33
Un **...** es una lesión causada por la penetración de un objeto que desgarra el tejido, resultando en una ruptura de la estructura del tejido.
desgarro
34
En un corte transversal, las contusiones tienen forma de **...**, con la base sobre la superficie en el punto de impacto
cuña
35
Figura 28.9 A. **Contusiones** agudas en ambos lóbulos temporales, con áreas de hemorragia y lesión tisular (flechas). B. Las contusiones a distancia (flechas) presentes en la superficie frontal inferior de este cerebro son de un color amarillo (**placa amarilla**) que refleja la **acumulación de hemosiderina**.
36
¿Por qué la médula espinal es vulnerable a los traumatismos?
Debido a su envoltura ósea. La mayoría de las lesiones que dañan la médula espinal están causadas por desplazamiento transitorio o permanente de la columna vertebral.
36
En los traumatismos no penetrantes, si la cabeza está en movimiento, puede aparecer una lesión cerebral en el punto de contacto original (lesión por **...**) y en el punto opuesto (lesiones por **...**).
En los traumatismos no penetrantes, si la cabeza está en movimiento, puede aparecer una lesión cerebral en el punto de contacto original (lesión por **golpe**) y en el punto opuesto (lesiones por **contragolpe**).
37
Cuando se rompe un vaso, la extravasación de sangre por la presión arterial puede provocar que la duramadre se separe del periostio dejando un espacio. El hematoma expansivo comprime el encéfalo subyacente
Hematoma epidural
38
Puede estar causada por un traumatismo leve; síntomas neurológicos de evolución lenta, a menudo con un retraso respecto al momento de la lesión
TRAUMATISMO SUBDURAL
39
Asociada habitualmente a fractura craneal (en adultos); síntomas neurológicos con evolución rápida (a menudo después de período lúcido breve) que precisan intervención
Traumatismo Epidural
40
La sangre extravasada puede disecar las dos capas de la duramadre formando un hematoma **....**
subdural
41
Figura 28.10 Hematoma **epidural** (izquierda) en el que la **rotura de una arteria** meníngea, asociada habitualmente a una fractura craneal, provoca **acumulación de sangre arterial entre la duramadre y el cráneo**. En el hematoma **subdural** (derecha), una lesión de las **venas** emisarias entre el cerebro y el seno sagital superior provoca acumulación de sangre **entre la duramadre y la aracnoides.**
42
Figura 28.11 Hematoma epidural que cubre una parte de la duramadre. También hay varias contusiones pequeñas en el lóbulo temporal.
43
Figura 28.12 A. Hematoma **subdural** organizado grande adherido a la duramadre. B. Corte frontal del cerebro en el que se aprecia atrofia del hemisferio comprimido por el hematoma subdural mostrado en A.
44
La enfermedad cerebrovascular, que es una lesión cerebral como consecuencia de alteración del flujo sanguíneo, puede ser **...** o **...**, con el infarto tisular como consecuencia final de ambas
La enfermedad cerebrovascular, que es una lesión cerebral como consecuencia de alteración del flujo sanguíneo, puede ser **isquémica** o **hemorrágica**, con el infarto tisular como consecuencia final de ambas
44
# ENFERMEDAD CEREBROVASCULAR **...** es la denominación clínica aplicada a estos trastornos y se define por la presencia de signos y síntomas que pueden explicarse por un mecanismo vascular, de inicio agudo y persistentes > 24 h. (Si los síntomas desaparecen antes de 24h, se denomina «accidente isquémico transitorio».)
«Ictus»
45
Se refiere a la alteración del flujo sanguíneo y la oxigenación del tejido cerebral. Puede ser un proceso global o focal, y las manifestaciones clínicas dependen de la región cerebral afectada.
Isquemia y/o hipoxia
46
¿Cuál es una causa más frecuente de oclusión vascular en el cerebro, la embolia o la trombosis?
En el cerebro, la embolia es una causa de oclusión vascular más frecuente que la trombosis.
47
El encéfalo representa solo el 1-2% del peso corporal, pero recibe el **...**% del gasto cardíaco en reposo y consume el **...**% del oxígeno corporal.
El encéfalo representa solo el 1-2% del peso corporal, pero recibe el **15**% del gasto cardíaco en reposo y consume el **20**% del oxígeno corporal.
47
¿Cuáles son las causas más frecuentes de hemorragia en el sistema nervioso central (SNC) por la ruptura de vasos?
Hipertensión y las anomalías vasculares, como aneurismas y malformaciones arteriovenosas.
48
Está causada por la disminución o la ausencia de flujo sanguíneo en una zona localizada del encéfalo secundaria a una obstrucción arterial parcial o total
Isquemia cerebral focal ## Footnote Si se prolonga la isquemia, se produce un infarto en el territorio irrigado por el vaso afectado
49
¿Qué puede causar la enfermedad vascular oclusiva suficiente para provocar un infarto cerebral?
Embolia a distancia, trombosis in situ o diversas vasculitis.
50
Figura 28.13 A. **Infarto isquémico** en el territorio de la arteria cerebral media, incluyendo el cuerpo estriado, en el lado izquierdo de este cerebro. B. **Infarto hemorrágico** con hemorragias puntiformes, compatible con lesión por reperfusión en el lóbulo temporal.
51
Figura 28.14 **Infarto quístico** antiguo con cavitación por pérdida de parénquima cerebral.
52
La **hipertensión** afecta a las arterias y arteriolas penetrantes profundas que irrigan los ganglios basales y la sustancia blanca hemisférica, provocando arterioloesclerosis. Si progresa a trombosis y oclusión total del vaso, puede causar infartos cavitarios pequeños llamados infartos **...**.
lagunares
53
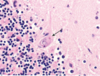
Figura 28.15 **Infartos cerebrales**. A. La lesión isquémica aguda causa eosinofilia difusa de las neuronas, que están empezando a retraerse. B. A los **10 días** aproximadamente, la lesión se caracteriza por la presencia de **macrófagos espumosos** (se ve mejor en fa izquierda) y **gliosis reactiva** adyacente con neovascularización (a fa derecha). C. Infarto pequeño a distancia con un área de pérdida de tejido rodeada de gliosis residual.
54
Figura 28.16 Infartos lagunares en el caudado y el putamen (flechas).
55
Están causadas por un descenso generalizado de la perfusión cerebral (como durante una parada cardíaca, shock o hipotensión grave) o de la capacidad de transporte de oxígeno por la sangre (p. ej., intoxicación por monóxido de carbono).
Hipoxia/isquemia cerebral global
56
Figura 28. 17 **Infarto en territorio fronterizo** típico con transformación hemorrágica secundaria (flecha); límite entre la vascularización por la arteria cerebral anterior y media. ## Footnote Los infartos del territorio fronterizo («limítrofe») se localizan en regiones cerebrales o de la médula espinal en la zona más distal de irrigación arterial (es decir, las zonas limítrofes entre territorios arteriales).
57
La **...** es el factor de riesgo asociado con más frecuencia a hemorragias parenquimatosas cerebrales profundas y es responsable de más del 50% de las hemorragias con repercusión clínica y del 15% de las muertes en personas con **...** crónica
hipertensión hipertensión
58
La hemorragia intraparenquimatosa hipertensiva puede originarse en el **...** (el 50-60% de los casos), el tálamo, la protuberancia, los hemisferios cerebelosos (infrecuente) y otras regiones del encéfalo
putamen
59
La angiopatía **...** cerebral (AAC) es el factor de riesgo más frecuente en las hemorragias lobulares
amiloide
60
La causa más frecuente de hemorragia **...** espontánea es la rotura de un aneurisma sacular («en frambuesa») en una arteria cerebral.
subaracnoidea
61
Figura 28. 18 A. **Hemorragia ganglionar hipertensiva** masiva con rotura en un ventrículo lateral. B. La **arterioloesclerosis hialina** (fibrosis y engrosamiento de las paredes arteriolares) se localiza en los ganglios basales y en la sustancia blanca subcortical de los pacientes con hipertensión de larga evolución; es un factor de riesgo de hemorragias hipertensivas y de infartos lagunares. C. **Hemorragia lobular** voluminosa por angiopatía amiloide cerebral; provoca disección focal al interior del espacio subaracnoideo. D. Depósito de amiloide en las arteriolas corticales en la angiopatía amiloide cerebral.
62
Es el tipo más frecuente de aneurisma intracraneal;
Aneurisma sacular
63
Figura 28.19 Localizaciones frecuentes de los aneurismas saculares (frambuesa) en el polígono de Willis.
64
Figura 28.20 A Fotografía de la base del encéfalo disecado para mostrar el **polígono de Willis con un aneurisma** en la arteria cerebral anterior (flecha). B. **Polígono de Willys disecado para mostrar un aneurisma** de gran tamaño. C. Corte a través de un aneurisma sacular en el que se observa la fibrosis hialina de la pared vascular (hematoxilina y eosina).
64
# Malformaciones vasculares cerebrales Hay 4 tipos. Cuales son?
* malformaciones arteriovenosas, * malformaciones cavernosas, * telangiectasias capilares * angiomas venosos.
65
Las malformaciones **...** y **....** tienen riesgo de hemorragia y pueden causar síntomas neurológicos.
Las malformaciones **arteriovenosas** y **cavernosas** tienen riesgo de hemorragia y pueden causar síntomas neurológicos.
66
# Malformaciones vasculares Están formadas por vasos sanguíneos muy dilatados separados por tejido gliótico, a menudo con signos de hemorragia previa.
malformaciones arteriovenosas ## Footnote Las malformaciones arteriovenosas son las malformaciones vasculares con relevancia clínica más frecuentes
67
son conductos vasculares distendidos que se disponen adosados de forma laxa con paredes colágenas de grosor variable;
malformaciones cavernosas
68
Figura 28.21 **Malformación arteriovenosa** de gran tamaño en el hemisferio cerebral izquierdo.
69
Las personas que a lo largo de meses o años sufren diversos infartos bilaterales en la sustancia gris (corteza, tálamo, ganglios basales) y en la sustancia blanca (centro semioval) pueden presentar un síndrome clínico singular caracterizado por demencia, alteración de la marcha y signos seudobulbares, a menudo con déficits neurológicos focales superpuestos. Como se lalma este sindrome?
demencia vascular
70
Los déficits neurológicos de inicio agudo y duración > 24 h como consecuencia de la oclusión o la rotura de un vaso se denominan **...**.
ictus
71
Los infartos de arteria grande suelen ser **...**; la consiguiente disolución del **...** y la reperfusión posterior pueden hacer que un infarto no hemorrágico se vuelva hemorrágico
Los infartos de arteria grande suelen ser **embólicos**; la consiguiente disolución del **émbolo** y la reperfusión posterior pueden hacer que un infarto no hemorrágico se vuelva hemorrágico
72
Las hemorragias intraparenquimatosas primarias provocan un infarto del parénquima cerebral adyacente y habitualmente son **...** (la causa más frecuente es la hipertensión) o **...** (la causa más frecuente es la AAC).
ganglionares lobulares
73
La arterioloesclerosis hialina (enfermedad de vaso pequeño), causada por hipertensión de larga evolución, puede dar lugar a oclusión de la luz (provocando un infarto **...**) o rotura de la pared (provocando una hemorragia **...**).
lagunar ganglionar
74
Causas de Isquemia Cerebral Global
* Baja perfusión (aterosclerosis) * Disminución aguda del flujo sanguíneo (shock) * Hipopoxia crónica (anemia) * Episodios repetidos de hipoglucemia (insulinoma)
75
* Debido a tromboémbolos; la fuente más común es el lado izquierdo del corazón * Por lo general, involucra la arteria cerebral media * Resulta en un infarto hemorrágico en la periferia de la corteza cerebral
Accidente cerebrovascular embólico
76
Infarto lagunar
77
* Las neuronas rojas son un hallazgo temprano. * Luego aparecen neutrófilos, células microgliales y tejido de granulación. * Resulta en un espacio quístico lleno de líquido, rodeado de gliosis.
Necrosis licuefativa
78
Neuronas rojas presentes en un infarto ## Footnote En las primeras 24h
79
Estadio final de un infarto. Lesión quistica rodeada por gliosis
80
* Sangrado **dentro del parénquima** cerebral * Debido a la ruptura de **microaneurismas** de Charcot-Bouchard * Complicación de la **hipertensión** arterial * El sitio más común es el **ganglio basal** * Se presenta con dolor de cabeza, náuseas, vómitos y eventual coma.
Hemorragia intracerebral
81
Hemorragia intracerebral en el ganglio basal
82
* Se presenta como dolor de cabeza repentino con rigidez de nuca * La punción lumbar muestra xantocromía.
Hemorragia subaracnoidea ## Footnote La xantocromía es el color amarillento del líquido cefalorraquídeo (LCR) que se produce varias horas después de una hemorragia en el espacio subaracnoideo
83
Hemorragia subaracnoidea - sangrado en la parte de abajo del cerebro
84
Más frecuentemente debido a la ruptura de un aneurisma sacular (frambuesa). ## Footnote Más frecuentemente ubicados en el círculo anterior de Willis (puntos de bifurcación de la arteria comunicante anterior).
Hemorragia subaracnoidea
85
# INFECCIONES Que es la Leptomeninge?
La leptomeninge está compuesta por dos capas: la pia mater y la aracnoides. **Estas capas forman el espacio subaracnoideo**, que contiene líquido cefalorraquídeo y vasos sanguíneos.
86
Es un proceso inflamatorio de las leptomeninges y del LCR en el interior del espacio subaracnoideo, causado habitualmente por una infección.
Meningitis aguda
87
# INFECCIONES Los microorganismos pueden entrar en el sistema nervioso por cuatro vías. Es la más frecuente
Diseminación hematógena los microorganismos infecciosos llegan habitualmente por la circulación arterial, pero puede producirse una diseminación venosa retrógrada a través de las anastomosis con las venas de la cara. ## Footnote hematógena, implantación directa, extensión local, SNP
88
Los microorganismos pueden entrar en el sistema nervioso por cuatro vías. La **.....** directa de microorganismos suele ser traumática, pero a veces puede estar relacionada con malformaciones congénitas (p. ej., mielomeningocele), que facilitan la entrada de microorganismos.
implantación ## Footnote hematógena, implantación directa, extensión local, SNP
89
Los microorganismos pueden entrar en el sistema nervioso por cuatro vías. Puede originarse en estructuras adyacentes infectadas, como los senos paranasales, los dientes, el cráneo o las vértebras.
Extensión Local ## Footnote hematógena, implantación directa, extensión local, SNP
90
Los microorganismos pueden entrar en el sistema nervioso por cuatro vías. Los virus pueden transportarse también por el sistema nervioso **...**, como sucede con los virus de la rabia y el herpes zóster.
periférico ## Footnote hematógena, implantación directa, extensión local, SNP
91
La **...** es una inflamación de las meninges y del parénquima cerebral.
meningoencefalitis
92
Aunque las infecciones son las causas más frecuentes de meningitis y meningoencefalitis, esta reacción puede producirse también en respuesta a un irritante no bacteriano introducido en el espacio subaracnoideo (meningitis **....**) o en el contexto de una enfermedad **....** sistémica.
química autoinmunitaria
93
¿Cómo se clasifica la meningitis infecciosa según la etiología y la evolución clínica?
Se clasifica en **piógena aguda** (habitualmente bacteriana), **aséptica** (habitualmente vírica aguda o subaguda) y **crónica** (habitualmente tuberculosa, por espiroquetas o criptocócica).
94
¿Qué microorganismos son predominantes en la meningitis piógena aguda en ancianos?
Streptococcus pneumoniae y Listeria monocytogenes.
94
# Meningitis piógena (bacteriana) aguda ¿Cuáles son los microorganismos predominantes en la meningitis piógena aguda en recién nacidos?
Escherichia coli y estreptococos del grupo B.
94
¿Cuál es el microorganismo predominante en la meningitis piógena aguda en adolescentes y adultos jóvenes?
Neisseria meningitidis.
95
¿Qué ha reducido la incidencia de la meningitis piógena aguda en lactantes en el mundo industrializado?
La introducción de la vacunación contra **Haemophilus influenzae.**
96
¿Cuáles son los síntomas comunes de la meningitis piógena aguda?
Cefalea, fiebre, fotofobia, irritabilidad, obnubilación y rigidez de nuca.
97
¿Qué se encuentra en el líquido cefalorraquídeo de una persona afectada por meningitis piógena aguda?
LCR turbio o claramente purulento con hasta **90.000 neutrófilos**/mm³, aumento de presión, aumento de proteínas y **disminución notable de la glucosa.** | ⬆️ Neutrofilos ⬇️ Glucosa
97
Tabla 28.2 Infecciones frecuentes del sistema nervioso central | Bacterias
98
Infecciones víricas
99
Protozoos y metazoos
99
Espiroquetas y hongos
100
¿Qué es el síndrome de Waterhouse-Friderichsen y cuál es su causa?
Es una complicación temible causada por una septicemia asociada a meningitis con infarto hemorrágico de las glándulas suprarrenales.
101
En una persona inmunodeprimida, la meningitis purulenta puede estar causada por otros microorganismos, como **...**
Klebsiella
101
Cuando la meningitis es fulminante, la inflamación puede extenderse a los **...**, causando **...**.
Cuando la meningitis es fulminante, la inflamación puede extenderse a los **ventrículos**, causando **ventriculitis**.
102
Figura 28.22 **Meningitis piógena**. Una gruesa capa de exudado supurativo cubre la superficie cerebral y engrosa las leptomeninges.
103
# Meningitis aséptica aguda La etiología suele ser **....**, pero puede ser bacteriana, por rickettsias o **...**.
vírica autoinmunitaria ## Footnote Cuando se identifican microorganismos, los más frecuentes son los enterovirus, que representan el 80%
103
El término meningitis **...** se utiliza cuando no se reconocen microorganismos en los cultivos bacterianos de un paciente con manifestaciones de meningitis, como irritación meníngea, fiebre y alteraciones de la conciencia de inicio relativamente agudo.
aséptica
104
¿Cuáles son los hallazgos en el líquido cefalorraquídeo (LCR) en la meningitis aséptica?
La meningitis aséptica produce pleocitosis linfocítica, aumento moderado de proteínas y, generalmente, concentración normal de glucosa en el LCR. | ⬆️ Linfocitos y Glucosa normal
105
# Infecciones supurativas focales agudas Las infecciones supurativas focales están causadas habitualmente por bacterias piógenas u **....**
hongos
105
Foco localizado de necrosis de tejido cerebral acompañado de inflamación, causado habitualmente por una infección bacteriana.
Absceso cerebral
106
Los abscesos son lesiones aisladas con necrosis **...** central rodeada de tumefacción cerebral
licuefactiva
107
Figura 28.23 **Abscesos cerebrales** (flechas).
108
¿Cuál es el patrón típico de hallazgos en el líquido cefalorraquídeo (LCR) en los abscesos cerebrales?
Leucocitosis en el LCR, concentración alta de proteínas y glucosa normal.
109
Las infecciones bacterianas, y con menos frecuencia las fúngicas, de los huesos del cráneo o de los senos paranasales pueden propagarse al espacio subdural produciendo un **...** subdural.
empiema El LCR es igual que en el absceso cerebral, porque ambos son procesos infecciosos parameníngeos. ## Footnote Empiema: acumulación de pus en una cavidad del cuerpo
110
El **absceso extradural**, asociado a menudo a osteomielitis, tiene su origen con frecuencia en un foco infeccioso adyacente, como una **...**, o en una infección quirúrgica.
sinusitis
111
El patrón más frecuente de afectación tuberculosa es una meningoencefalitis **...**
difusa
112
# Meningoencefalitis bacteriana crónica La afectación del SNC puede consistir en **masas intraparenquimatosas** bien delimitadas (**...**), que pueden asociarse a meningitis. El **...** puede alcanzar un diámetro de varios centímetros y producir un efecto masa relevante.
tuberculomas tuberculoma
112
# Meningoencefalitis bacteriana crónica ¿Qué microorganismos pueden causar infección bacteriana crónica de las meninges y el encefalo?
Mycobacterium **tuberculosis**, Treponema pallidum (Neurosífilis) y género Borrelia.
113
¿Cuáles son los síntomas y hallazgos en el LCR de los pacientes con meningitis tuberculosa?
Cefalea, malestar general, confusión mental y vómitos son síntomas comunes. En el LCR, se observa pleocitosis de células mononucleares o una **mezcla de neutrófilos y células mononucleares**, alta concentración de proteínas y **glucosa normal o ligeramente baja**.
114
Es una manifestación de la sífilis **terciaria** y se produce solo en el 10% de las personas con sífilis no tratada.
Neurosífilis
115
# Neurosífilis Cuales son los 3 patrones?
neurosífilis meningovascular, neurosífilis paralítica y tabes dorsal.
116
Está causada por daños en los axones sensitivos en las raíces dorsales. Esto altera el sentido posicional articular y **produce ataxia (ataxia locomotora)**; pérdida de sensibilidad algésica que causa daños cutáneos y articulares (artropatía de Charcot)
Tabes dorsal ## Footnote neurosifilis
117
Es una meningitis crónica que afecta a la base del encéfalo y de manera más variable a las convexidades cerebrales y las leptomeninges de la médula espinal.
neurosífilis meningovascular
118
Está causada por la invasión cerebral por T. pallidum y se manifiesta como un deterioro cognitivo lento, pero progresivo, asociado a alteraciones del estado de ánimo (incluyendo delirio de grandeza), que conduce a demencia grave
neurosífilis paralítica ## Footnote parálisis general del demente
119
Está causada por la espiroqueta Barrelia burgdorferi, que se transmite por distintas especies de garrapata Ixade. La afectación del sistema nervioso se denomina neuroborreliosis.
Neuroborreliosis (enfermedad de Lyme)
120
# Meningoencefalitis vírica La infección vírica fetal puede causar malformaciones congénitas, como sucede con el virus de la rubéola y el virus del **...**
Zika
121
Los hallazgos característicos de la **encefalitis vírica** son manguitos de **linfocitos perivasculares** (A) y nódulos microgliales (B).
122
En las personas con infección por el VIH activa, el **...** puede causar una encefalitis necrosante y hemorrágica aguda.
VHS-2
123
Figura 28.25 A **Encefalitis herpética** con destrucción extensa en las regiones inferior de los lóbulos frontales y anterior de los lóbulos temporales (flechas) y en las circunvoluciones del cuerpo calloso (asteriscos). B. La encefalitis herpética aguda se caracteriza por un proceso inflamatorio necrosante; la inmunotinción pone de relieve inclusiones víricas nucleares (recuadro).
124
La infección del sistema nervioso por **...** se produce en fetos y en personas **inmunodeprimidas**. La consecuencia de la infección intrauterina es la necrosis periventricular que produce destrucción cerebral grave, seguida de microcefalia y calcificación periventricular.
CMV
125
En los casos agudos se observan manguitos perivasculares de células mononucleares y neuronofagia de las motoneuronas del asta anterior de la médula espinal. La reacción inflamatoria se limita habitualmente a las astas anteriores, pero puede extenderse a las astas posteriores.
Poliomielitis
126
Es una **encefalitis** **grave** transmitida a las personas por la mordedura de un animal, habitualmente un perro o distintos mamíferos salvajes, que son reservorios naturales. La exposición a algunas especies de murciélagos puede causar esta enfermedad, incluso sin mordedura.
Rabia
127
Conforme avanza la infección, la persona afectada presenta una excitabilidad extraordinaria del SNC; el tacto más ligero es doloroso y produce respuestas motoras violentas o incluso convulsiones. La contractura de la musculatura faríngea al tragar produce espuma en la boca, que puede provocar aversión a tragar incluso agua (hidrofobia).
Rabia Los **cuerpos de Negri**, el hallazgo microscópico **patognomónico**, son inclusiones eosinófilas citoplásmicas redondas a ovales presentes en las neuronas piramidales del hipocampo y en las células de Purkinje del cerebelo
128
Antes de la introducción del tratamiento antirretroviral de gran actividad, se encontraban cambios neuropatológicos en la autopsia del 80-90% de los pacientes con **...**
SIDA
129
Cual es el hallazgo histológico diagnóstico en la rabia?
Figura 28.26 El hallazgo histológico diagnóstico en la rabia es el **cuerpo de Negri** eosinófilo. como se ve aquí en una célula de Purkinje (flecha).
129
La encefalitis por el VIH es una reacción inflamatoria crónica asociada a nódulos **...** con distribución amplia que a menudo contienen células gigantes multinucleadas derivadas de los **macrófagos**
microgliales
130
Es una encefalitis causada por el poliomavirus JC; el efecto patológico principal es la **desmielinización**, porque el virus infecta de manera preferente los **oligodendrocitos**.
Leucoencefalopatía multifocal progresiva (LMP) ## Footnote las pruebas de imagen muestran lesiones extensas, a menudo multifocales, **en la sustancia blanca cerebral o cerebelosa.**
131
Figura 28.27 Encefalitis por el VIH. Obsérvense el **nódulo microglial** y las células gigantes multinucleadas.
132
¿Qué personas son más propensas a las infecciones fúngicas del SNC y cuáles son los hongos más comunes involucrados?
Las personas **inmunodeprimidas** son más susceptibles. Los hongos comunes incluyen **Candida albicans, Aspergillus fumigatus y Cryptococcus neoformans**, y la diseminación hematógena extensa es típica en el cerebro.
133
Las tres formas principales de lesión en las infecciones fúngicas del SNC son:
meningitis crónica, vasculitis e invasión parenquimatosa
134
La meningitis **....**, una infección oportunista frecuente en el sida, puede ser fulminante y mortal en 2 semanas o puede ser lenta, con progresión a lo largo de meses o años
criptocócica ## Footnote El LCR puede contener pocas células, pero es habitual una concentración alta de proteínas.
135
# Otras enfermedades infecciosas del sistema nervioso Las enfermedades por protozoos .(paludismo, **...**, amebiasis, tripanosomiasis), las infecciones por rickettsias (p. ej., **...** y fiebre maculosa de las Montañas Rocosas) y las enfermedades por metazoos (sobre todo la cisticercosis y la equinococosis) pueden afectar al SNC
toxoplasmosis tifus
136
Figura 28.28 A. **Leucoencefalopatía multifocal progresiva**. En este corte teñido para la mielina se ven áreas de desmielinización irregulares difusas que confluyen en algunos puntos. B. En el examen microscópico se observan **áreas de desmielinización**. Recuadro. El aumento de tamaño del núcleo del oligodendrocito refleja el efecto de la infección vírica.
137
La toxoplasmosis del SNC produce **...** cerebrales
abscesos
138
Figura 28.29 **Meningoencefalitis amebiana** necrosante: en esta imagen, la mayoría de los microorganismos son perivasculares. (Acanthamoeba se parece al macrófago con las tinciones ordinarias, pero es ligeramente más pequeña y menos granular.
139
Las vías de acceso de los microorganismos al encéfalo son: diseminación hematógena (p. ej., formación de absceso secundario a **...**). propagación directa (después de un **...** o propagación desde los senos paranasales) y transporte retrógrado por los **...** (p. ej., rabia).
Las vías de acceso de los microorganismos al encéfalo son: diseminación hematógena (p. ej., formación de absceso secundario a **endocarditis**). propagación directa (después de un **traumatismo** o propagación desde los senos paranasales) y transporte retrógrado por los **nervios** (p. ej., rabia).
140
Las infecciones víricas pueden causar meningitis o meningoencefalitis. Algunos virus causan infecciones características (el **...** en los lóbulos temporales, la **...** en el asta anterior).
Las infecciones víricas pueden causar meningitis o meningoencefalitis. Algunos virus causan infecciones características (el **VHS-1** en los lóbulos temporales, la **poliomielitis** en el asta anterior).
141
El VIH puede causar meningoencefalitis directa o puede afectar al encéfalo de manera indirecta por el aumento del riesgo de infecciones oportunistas (toxoplasmosis, **...**) y linfoma del SNC VEB positivo.
CMV
142
# ENFERMEDADES DESMIELINIZANTES tornos adquiridos caracterizados por daños preferentes en la mielina con conservación relativa de los ...
axones
143
Es un trastorno desmielinizante autoinmunitario caracterizado por episodios aislados de déficits neurológicos separados en el tiempo y causados por lesiones en placa en la sustancia blanca separadas en el espacio. Es el trastorno desmielinizante más frecuente.
Esclerosis múltiple ## Footnote La EM está causada por una respuesta autoinmunitaria con- tra componentes de la vaina de mielina.
143
Figura 28.30 A. Abscesos por toxoplasma en el putamen y en el tálamo (flechas). B. Taquizoítos libres visibles mediante inmunotinción. Recuadro. Seudoquiste de Toxoplasma con bradizoitos visibles mediante inmunotinción.
143
# Esclerosis Multiple La incidencia de EM es 15 veces más alta en los familiares de primer grado y **...** veces más alta en un gemelo monocigótico afectado
150
144
Las lesiones de EM pueden localizarse en cualquier región del SNC Una manifestación inicial frecuente de la EM es la alteración visual unilateral por afectación del nervio ...
óptico (neuritis óptica)
145
Es un síndrome con neuritis óptica bilateral sincrónica (o casi sincrónica) y desmielinización de la médula espinal. Antes se consideraba una variante de EM, pero está claro que es un trastorno diferente.
Neuromielitis óptica (NMO)
146
Figura 28.31 **Esclerosis múltiple**. A. Corte de encéfalo en fresco en el que se ve una **placa grismarrón alrededor del asta occipital** del ventrículo lateral (flechas). B. Las regiones de desmielinización (placas de EM) alrededor del cuarto ventrículo carecen de la tinción azul normal de la mielina (tinción con azul rápido de Luxol-ácido peryódico de Schiff)
147
Figura 28.32 **Esclerosis múltiple**. A. Placas desmielinizantes activas muy celulares por la presencia de numerosos macrófagos cargados de lípidos. B. La misma lesión teñida con azul rápido de Luxol-ácido peryódico de Schiff muestra ausencia total de mielina. C. Se observa preservación relativa de los axones en la tinción para neurofilamentos (marrón).
147
Es una enfermedad desmielinizante monofásica difusa que aparece después de una infección vírica o, con menos frecuencia, de una vacunación vírica. Los síntomas aparecen por lo general 1-2 semanas después del episodio precedente e incluyen cefalea, obnubilación y coma sin hallazgos focales, como en la EM
encefalomielitis diseminada aguda
148
Es un trastorno agudo caracterizado por pérdida de mielina en la base de la protuberancia y en zonas del techo de la protuberancia, por lo general con afectación bastante simétrica
Mielinólisis pontina central
148
Denominada también **leucoencefalitis hemorrágica aguda** o enfermedad de Weston Hurst, es un **síndrome fulminante de desmielinización del SNC** que, por lo general, afecta a adultos jóvenes y niños. La enfermedad está precedida casi siempre por un episodio reciente de infección respiratoria alta, con más frecuencia de causa desconocida.
Encefalomielitis hemorrágica necrosante aguda
149
ENFERMEDADES DESMIELINIZANTES Cuales son?
Esclerosis múltiple Neuromielitis óptica Encefalomielitis diseminada aguda Encefalomielitis hemorrágica necrosante aguda Mielinólisis pontina central
149
¿Cómo se caracterizan las enfermedades neurodegenerativas?
Pérdida de neuronas en la materia gris del cerebro.
150
¿Qué conduce la degeneración de la corteza cerebral en enfermedades neurodegenerativas?
Deméncia
150
¿Qué resulta la degeneración del tronco cerebral y los ganglios basales en enfermedades neurodegenerativas?
Trastornos del movimiento.
151
¿Qué área del cerebro afecta la enfermedad de Alzheimer?
La enfermedad de Alzheimer es una enfermedad degenerativa que afecta la **corteza** cerebral.
152
La enfermedad de Alzheimer es la causa más común de **....**.
demencia - afecta la corteza
153
¿Cuáles son algunos de los síntomas iniciales de la enfermedad de Alzheimer?
La enfermedad de Alzheimer se caracteriza por una pérdida gradual de la memoria, desorientación progresiva, pérdida de habilidades motoras y del lenguaje aprendido.
154
¿Qué cambios en el comportamiento y la personalidad pueden experimentar los pacientes con Alzheimer?
Cambios en el comportamiento y la personalidad, y eventualmente pueden volverse mudos y postrados en cama.
155
¿Qué no se observa temprano en la enfermedad de Alzheimer en términos de déficits neurológicos?
Los déficits neurológicos focales no se observan temprano en la enfermedad de Alzheimer. No hay temblor
156
¿Cómo se caracterizan la mayoría de los casos de la enfermedad de Alzheimer?
La mayoría de los casos de Alzheimer son esporádicos ## Footnote el riesgo aumenta con la edad.
157
¿Qué tipos de mutaciones genéticas están asociadas con los casos familiares de la enfermedad de Alzheimer de inicio temprano?
Los casos familiares de la enfermedad de Alzheimer de inicio temprano están asociados con mutaciones en los genes presenilin 1 y presenilin 2.
158
¿Qué condición genética está relacionada con un mayor riesgo de desarrollar Alzheimer de inicio temprano?
Las personas con **síndrome de Down** tienen un mayor riesgo de desarrollar Alzheimer de inicio temprano. ## Footnote Porque la Proteina Precursora de Amiloide está presente en el cromosoma 21, y las personas con Down tienen 3 cromosomas 21
159
# Alzheimer
Atrofia difusa Estrechamiento de las circunvoluciones Ensanchamiento de los surcos Hidrocefalia ex vacuo (no se ve) - dilatación ventricular compensadora
160
¿Qué es la hidrocefalia ex vacuo?
La hidrocefalia ex vacuo es un tipo de hidrocefalia que ocurre como resultado del daño cerebral, como la **atrofia** cerebral, y no debido a un aumento en la producción o bloqueo del flujo de líquido cefalorraquídeo. En este tipo de hidrocefalia, los ventrículos cerebrales pueden parecer dilatados, pero **el líquido cefalorraquídeo llena el espacio creado por la pérdida de tejido cerebral.**
160
¿Cómo se realiza el diagnóstico de la enfermedad de Alzheimer?
El diagnóstico **presuntivo** de la enfermedad de Alzheimer se realiza **clínicamente** después de excluir otras causas posibles de demencia. La confirmación se realiza mediante la patología en una autopsia, examinando el tejido cerebral.
161
El proceso histopatológico frecuente en la mayoría de las enfermedades neurodegenerativas es la acumulación de agregados de ......
proteínas (amiloide) (de ahí el uso ocasional del término «proteinopatía»).
162
A pesar de su escasa incidencia, es la enfermedad priónica más frecuente y se manifiesta clínicamente como una demencia rápidamente progresiva.
Enfermedad de Creutzfeldt-jakob ## Footnote El hallazgo patognomónico es una transformación espongiforme de la corteza cerebral y de estructuras profundas de la sustancia gris (caudado, putamen)
162
Las enfermedades **priónicas** son importantes porque ilustran trastornos degenerativos causados por la "diseminación" de proteínas **... ...**. Este fenómeno permite que una proteína patógena adquiera características similares a las de un microorganismo infeccioso.
mal plegadas
163
Tabla28.3 Características de las principales enfermedades neurodegenerativas
164
Tabla 28.4 Relación entre proteínas y enfermedades neurodegenerativas
165
¿Cuál es la anomalía fundamental en la enfermedad de Alzheimer (EA) en términos de acumulación de proteínas en el cerebro?
La acumulación de dos proteínas, la **proteína A-beta amiloide** (AP) y la **proteína tau** (t), en regiones cerebrales específicas. Esta acumulación probablemente se debe a una producción excesiva y una eliminación deficiente de estas proteínas.
166
¿Cuáles son los dos rasgos histopatológicos típicos de la enfermedad de Alzheimer, especialmente evidentes en las fases finales de la enfermedad?
Son las **placas amiloides** (foto abajo) y los **ovillos neurofibrilares** (foto arriba). Las placas amiloides son depósitos de péptidos β-amiloides agregados en el neuropilo, mientras que los ovillos neurofibrilares son agregados de la proteína tau de unión al microtúbulo, que se forma intracelularmente y persiste extracelularmente después de la muerte neuronal.
167
Figura 28.35 **Agregación proteínica en la enfermedad de Alzheimer**. La escisión de la proteína precursora amiloide por alpha-secretasa y gamma-secretasa produce un péptido soluble inocuo. mientras que la escisión de la proteína precursora de amiloide por una enzima conversora de **Beta-amiloide** y gamma-secretasa **libera péptidos AP**, que forman agregados patógenos y contribuyen a las placas y los ovillos característicos de la enfermedad de Alzheimer.
168
Figura 28.36 Enfermedad de **Alzheimer** con atrofia cortical más notoria en la derecha, donde se han extirpado las meninges.
169
Además de las placas y los ovillos, ¿qué otra característica histopatológica se encuentra comúnmente en la enfermedad de Alzheimer?
La **angiopatía amiloide cerebral** (AAC), una alteración que siempre está presente en la EA.
170
Figura 28.37 **Enfermedad de Alzheimer**. A. Placas con axones distróficos alrededor de centros de amiloide (flechas). B. El centro de la placa y el neurópilo circundante son inmunorreactivos para A-beta
171
Figura 28.37 Enfermedad de **Alzheimer**. C. **Ovillo neurofibrilar** en el interior de una neurona y varios ovillos extracelulares (flechas). D. La **tinción con plata** muestra un **ovillo neurofibrilar (negro)** en el citoplasma neuronal. E. Ovillo (arriba a la izquierda) y axones alrededor de una placa (abajo a la derecha) que contienen Tau, visibles mediante inmunohistoquímica.
172
¿En qué se diferencian las degeneraciones lobulares frontotemporales (DLFT) de la enfermedad de Alzheimer (EA) en términos de manifestaciones clínicas?
Las DLFT se diferencian de la EA por el tipo de afectación, presentando alteraciones en la personalidad, la conducta y el lenguaje (afasias) **antes de la pérdida de memoria**.
173
¿Cómo se confirma el diagnóstico de las degeneraciones lobulares frontotemporales y otras enfermedades neurodegenerativas?
El diagnóstico definitivo se confirma mediante la autopsia, examinando el tejido cerebral para identificar las características patológicas específicas de la enfermedad
174
¿Cuál es una característica distintiva en el encéfalo de las personas afectadas por la enfermedad de Pick, un subtipo de las degeneraciones lobulares frontotemporales (DFT-t)?
En la enfermedad de Pick, el encéfalo muestra una **atrofia intensa y a menudo asimétrica de los lóbulos frontales y temporales** y una **afectación infrecuente de los lóbulos parietales y occipitales**. Esta atrofia puede ser tan severa que reduce las circunvoluciones a delgadas láminas, un fenómeno conocido como "**filo de navaja**".
175
Figura 28.38 **Degeneraciones lobulares frontotemporales** (DLFT). A. DLFT-'t. Se ven un ovillo y numerosos axones que contienen 't. **B. Enfermedad de Pick**. Los cuerpos de Pick son inclusiones citoplásmicas neuronales redondas y homogéneas que **se tiñen intensamente con plata**. C. DLFT-TDP. Se ven inclusiones citoplásmicas que contienen TDP-43 asociadas a inmunorreactividad nuclear normal. D. DLFT-T DP. Con las mutaciones de progranulina, las inclusiones que contienen TDP-43 suelen ser intranucleares.
176
¿Cuál es la causa de la demencia vascular?
La demencia vascular se debe a infartos y lesiones multifocales en el cerebro, causados por **hipertensión arterial, aterosclerosis o vasculitis**.
177
¿Cuál es la segunda causa más común de demencia?
La **demencia vascular** es la segunda causa más común de demencia, después de la enfermedad de Alzheimer.
178
¿Qué áreas del cerebro se ven afectadas en la enfermedad de Pick?
La enfermedad de Pick es una enfermedad degenerativa que afecta la corteza **frontal y temporal**, pero deja indemnes los lóbulos parietal y occipital.
179
¿Qué tipo de agregados se encuentran en las neuronas del cortex en la enfermedad de Pick?
Agregados redondos de la **proteína tau** en las neuronas de la **corteza** cerebral. | corteza - demencia
180
¿Cuáles son los síntomas iniciales de la enfermedad de Pick y cómo progresa la enfermedad?
Cambios en el comportamiento (lobulo frontal) y síntomas del lenguaje (lobulo temporal). Estos síntomas progresan hacia la demencia a medida que avanza la enfermedad.
181
¿Qué causa la enfermedad de Parkinson?
La pérdida degenerativa de las neuronas dopaminérgicas en la **sustancia negra** pars compacta, que forma parte del sistema de **ganglios basales** en el cerebro. | parkinson - ganglios basales - afecta movimiento ## Footnote Los ganglios basales regulan el movimiento!!!
182
¿Cuáles son las características clínicas principales de la enfermedad de Parkinson?
* temblores, * rigidez muscular, * akinesia/bradicinesia (dificultad para iniciar y controlar movimientos) * inestabilidad postural con una marcha festinante.
183
sustancia negra normal
perdida de sustancia negra - Parkinson
184
Parkinson Los **cuerpos de Lewy** son agregados anormales de proteínas que se desarrollan dentro de las células nerviosas afectadas por la enfermedad de Parkinson y otras enfermedades neurodegenerativas
185
La **....** es una característica común en las etapas tardías de la enfermedad de Parkinson.
demencia
186
¿Qué sugiere la presencia de **demencia de inicio temprano** en un paciente con síntomas de demencia, alucinaciones y características parkinsonianas?
La demencia de inicio temprano sugiere la posibilidad de **Demencia con cuerpos de Lewy**, una condición caracterizada por demencia, alucinaciones y síntomas parkinsonianos, junto con la presencia de cuerpos de Lewy en la **corteza** cerebral. ## Footnote corteza - demencia demencia tardia - parkinson demencia temprana - demencia de cuerpos de Lewy (en la corteza)
187
El diagnóstico clínico de EP se basa en la presencia de la tríada de parkinsonismo:
**temblor, rigidez y bradicinesia**, en ausencia de una causa subyacente tóxica o de otro tipo
188
# Parkinson La gravedad del síndrome motor es proporcional a la deficiencia de **...**, que puede, al menos en parte, corregirse con tratamiento sustitutivo con **.....**
dopamina L-dopa
189
La enfermedad de Parkinson se asocia con la acumulación y agregación de proteínas, anomalías **.....** y pérdida neuronal en la sustancia negra y otras áreas del cerebro.
mitocondriales
190
Enfermedad de Parkinson. A. Sustancia negra normal. B. Sustancia negra despigmentada en la enfermedad de Parkinson idiopática.
191
C. **Cuerpo de Lewy** en una neurona de la sustancia negra, con tinción rosa intensa (flecha).
192
Síndromes parkinsonianos atípicos
Parálisis supranuclear progresiva Degeneración corticobasal
193
Síndromes parkinsonianos atípicos Estas enfermedades, en general, responden poco al tratamiento con **...**
L-dopa
194
Es una taupatía en la que las personas afectadas presentan rigidez troncal progresiva, desequilibrio con caídas frecuentes y dificultad para los movimientos oculares voluntarios.
Parálisis supranuclear progresiva
195
Es una taupatía progresiva caracterizada con frecuencia por rigidez extrapiramidal, alteraciones motoras asimétricas (movimientos de sacudida de las extremidades) y deterioro de la función cortical superior (habitualmente en forma de apraxia)
Degeneración corticobasal
196
¿Qué representa la demencia con cuerpos de Lewy en algunos pacientes y cómo se cree que ocurre la propagación de los agregados proteínicos en la corteza cerebral?
En algunos pacientes, la demencia con cuerpos de Lewy representa una fase avanzada de la enfermedad de Parkinson, donde los agregados proteínicos pueden haberse "diseminado" a las neuronas de la corteza cerebral, probablemente a través de la propagación de proteínas mal plegadas.
197
¿En qué parte del cerebro ocurre la degeneración en la enfermedad de Huntington? Que neuronas están degeneradas?
En la enfermedad de Huntington, hay degeneración de las **neuronas GABAérgicas** en el núcleo caudado (parte del cuerpo estriado) del sistema de ganglios basales. ## Footnote Las neuronas GABA son inhibitórias, entonces hay movimientos que no son inhibidos por su degeneración
198
C = nucleo caudado P = Putamen S = nucleo estriado ## Footnote En la foto de abajo hay perdida del nucleo caudado. Comparar con la foto de arriba Ventriculos dilatados por perdida de masa encefalica = hidrocefalia ex vacuo
199
¿Cómo se hereda la enfermedad de Huntington?
La enfermedad de Huntington es un trastorno **autosómico dominante**, lo que significa que un solo alelo mutado de los padres es suficiente para heredar la enfermedad.
200
¿Cuál es la causa genética subyacente de la enfermedad de Huntington y en qué gen se encuentran las expansiones trinucleotídicas?
La enfermedad de Huntington es causada por **expansiones de trinucleótidos (CAG)** en el **gen huntingtina** (huntingtin gene). Estas expansiones trinucleotídicas llevan a la producción de una forma anormal de la proteína huntingtina, que conduce a los síntomas de la enfermedad. Además, estas expansiones continúan durante la **espermatogénesis**, lo que puede llevar a una mayor variabilidad en la longitud del segmento CAG en generaciones sucesivas.
201
¿Cuáles son algunos de los síntomas motores característicos de la enfermedad de Huntington?
La **corea**, que se manifiesta como movimientos involuntarios, rápidos y jerárquicos de diferentes partes del cuerpo.
202
¿Cómo progresa la enfermedad de Huntington en términos de síntomas, desde los síntomas motores iniciales?
Los síntomas motores iniciales, como la corea, eventualmente se acompañan de demencia y depresión en etapas avanzadas.
203
¿Cuál es una causa común de muerte en personas con enfermedad de Huntington?
El suicidio
204
La Enfermedad de Huntington es el prototipo de enfermedad por expansión de la repetición de trinucleótido de **...**
poliglutamina
204
Figura 28.40 **Atrofia sistémica múltiple** (ASM). A. Atrofia grave de la base de la protuberancia en un paciente con ASM-C. B. Las inclusiones en los oligodendrocitos contienen a -sinucleína.
205
# Huntington El encéfalo es pequeño y muestra una atrofia llamativa del núcleo **...** y del **...**, componentes del cuerpo estriado posterior; el globo pálido puede atrofiarse secundariamente, y los ventrículos laterales y el tercer ventrículo están **...**
El encéfalo es pequeño y muestra una atrofia llamativa del núcleo **caudado** y del **putamen**, componentes del cuerpo estriado posterior; el globo pálido puede atrofiarse secundariamente, y los ventrículos laterales y el tercer ventrículo están **dilatados**
206
Figura 28.41 - Enf. de Huntington, hemisfério normal (izquierda) comparado con un hemisferio con **enfermedad de Huntington (derecha)** en el que se observa **atrofia del cuerpo estriado y dilatación ventricular**. Recuadro. Inclusiones intranucleares en las neuronas destacadas mediante tinción inmunohistoquímica para ubicuitina
207
Los cambios cognitivos asociados con la enfermedad de Huntington probablemente están relacionados con la pérdida neuronal en la ......... cerebral.
corteza
208
La causa inmediata más frecuente de muerte en los pacientes con Enf. de Huntigton es la **.....**, que, por lo general, se produce en una fase avanzada de la enfermedad. Por desgracia, la tasa de **......** de los pacientes con EH es casi el doble que la de la población general.
neumonía suicidio
209
Es una enfermedad autosómica recesiva caracterizada por ataxia progresiva, espasticidad, debilidad, neuropatía sensitiva y miocardiopatía. Por lo general, empieza en la primera década de vida.
Ataxia de Friedreich
210
Es un trastorno progresivo que produce pérdida de motoneuronas superiores en la corteza cerebral y de motoneuronas inferiores en el tronco encefálico y en la médula espinal.
Esclerosis lateral amiotróftca ## Footnote La pérdida de estas neuronas causa desnervación muscular, con debilidad profunda conforme avanza la enfermedad.
211
Tanto la ELA esporádica como la familiar están asociadas a degeneración de las motoneuronas superiores e inferiores, relacionada a menudo con acumulación de **.....** tóxica.
proteína
212
¿Cuál es la razón detrás de las raíces anteriores delgadas en la médula espinal en el caso de la esclerosis lateral amiotrófica (ELA)?
La **pérdida de axones de las motoneuronas inferiores**, lo que lleva a la atrofia de las raíces nerviosas debido a la disminución en el número de axones presentes.
213
¿Qué cambios estructurales pueden ocurrir en la circunvolución motora precentral en casos graves de ELA?
En casos graves de ELA, la circunvolución motora precentral en la corteza cerebral **puede presentar atrofia**, lo que indica la degeneración neuronal asociada con la enfermedad.
214
¿Cuáles son los síntomas iniciales comunes de la esclerosis lateral amiotrófica (ELA)?
Debilidad asimétrica en las manos, dificultad para realizar actividades motoras precisas, calambres y espasticidad en las extremidades superiores e inferiores. Estos síntomas pueden progresar hacia una disminución del volumen y la fuerza muscular, así como contracciones involuntarias de unidades motoras individuales.
215
¿Cuales son algunas complicaciones asociadas a la ELA?
En etapas avanzadas, la ELA afecta los músculos respiratorios, lo que puede causar dificultad para respirar. Además, la debilidad muscular puede llevar a episodios repetidos de neumonía debido a la dificultad para eliminar secreciones respiratorias de manera efectiva.
216
Figura 28.42 **Esclerosis lateral amiotrófica**. A. Caras anterior (arriba) y posterior (abajo) de un segmento de la médula espinal con **adelgazamiento de las raíces anteriores (motoras)** en comparación con las posteriores (sensitivas). B. Médula espinal en la que se observan pérdida de fibras mielínicas (ausencia de tinción) en los haces corticoespinales (se ve mejor en el lado derecho de esta pieza; (flecha) y degeneración de las raíces anteriores (punta de flecha).
217
La enfermedad de Alzheimer (con placas de A-beta ovillos de Tau) es la demencia más frecuente; otras enfermedades en las que predomina la demencia son las distintas formas de degeneración lobular frontotemporal (habitualmente con inclusiones de TDP-43 o 't) y la demencia con cuerpos de Lewy (con inclusiones de alpha-**........**).
sinucleína
218
Figura 28.44 **Degeneración cerebelosa alcohólica**. La porción anterior y superior del vermis (parte superior de la imagen) está atrófica, con aumento de los espacios entre las folia.
219
# ENFERMEDADES METABÓLICAS TÓXICAS Y ADQUIRIDAS ¿Qué deficiencias vitamínicas pueden causar enfermedades neurológicas y trastornos sistémicos?
Las deficiencias de **tiamina (vitamina B1) y vitamina B12**. Estas deficiencias pueden tener impactos significativos en el sistema nervioso y en el funcionamiento general del cuerpo.
220
La demanda metabólica del SNC hace muy vulnerable a la lesión por **.....** e intoxicación por monóxido de carbono.
hipoglucemia
221
El **......** crónico puede causar distintos tipos de lesiones cerebrales; es característica la atrofia de la región anterosuperior del vermis cerebeloso.
alcoholismo
222
El cerebro necesita glucosa y **......** para producir energía, y por este motivo los efectos celulares de la hipoglucemia son parecidos a los de la falta de **....**
oxígeno
223
Alteraciones metabólicas
- hipoglucemia - hiperglucemia - encefalopatia hepatica
224
# Metastasis Que tumores normalmente metastatizan al cerebro?
- Pulmon - Mama - Riñon
225
¿Cómo se presentan los tumores cerebrales metastásicos en términos de sus lesiones?
Los tumores cerebrales metastásicos se presentan como **múltiples lesiones bien delimitadas** en el cerebro. Estas lesiones suelen estar claramente definidas y separadas de los tejidos circundantes.
226
¿Cómo se clasifican los tumores cerebrales primarios?
Según el tipo de célula del cual se originan.
227
¿Qué característica distingue a los tumores cerebrales malignos en términos de su comportamiento y capacidad de propagación?
Los tumores cerebrales malignos son localmente destructivos, lo que significa que invaden y dañan los tejidos circundantes en el cerebro, pero **raramente se diseminan a otras partes del cuerpo (metástasis).**
228
¿Qué tipo de tumor es el glioblastoma multiforme y de qué células se origina?
El glioblastoma multiforme es un tumor maligno de alto grado que se origina en las células gliales, específicamente en los **astrocitos** del cerebro.
229
glioblastoma multiforme El tumor atraviesa el cuerpo calloso
230
¿Cuál es la característica distintiva del glioblastoma multiforme en términos de su prevalencia en el sistema nervioso central?
El glioblastoma multiforme es el tumor maligno **más común** del sistema nervioso central en **adultos**.
231
glioblastoma multiforme N = necrosis Seudo-empalizado por fuera
232
meningioma Forma de redemoinho Puede formar cuerpos de Psamoma
232
¿Cuál es la presentación clínica común del meningioma y qué se observa en las imágenes médicas?
Los meningiomas a menudo se presentan con convulsiones. En las imágenes médicas, se observa una **masa redonda unida a la duramadre**, que es la capa externa del tejido que cubre el cerebro
232
El **......** es un tumor benigno que se origina en las células aracnoideas, que son células del tejido que recubre el cerebro y la médula espinal.
meningioma
233
El **...** es un tumor benigno que se origina en las células de **...**, que son las células que recubren los nervios periféricos.
El **schwannoma** es un tumor benigno que se origina en las células de **Schwann**, que son las células que recubren los nervios periféricos.
234
¿Qué nervios suelen verse involucrados por el schwannoma y cuál es el nervio especialmente afectado en la región del ángulo pontocerebeloso (CPA)?
Los schwannomas pueden afectar nervios craneales o espinales. Especialmente en la región del ángulo pontocerebeloso (CPA), el 8vo nervio craneal (nervio vestibulococlear) se ve comúnmente afectado.
235
¿Qué marcador inmunohistoquímico es positivo en el schwannoma y en qué trastorno genético se observan tumores bilaterales de este tipo?
Los schwannomas son positivos para la proteína **S100** en las pruebas inmunohistoquímicas. Los tumores bilaterales de schwannoma se ven en la **neurofibromatosis tipo 2** (NF2).
236
- Tumor maligno calcificado - En la sustancia blanca - En el lobulo frontal - Causa convulsiones
Oligodendroglioma
237
Oligodendroglioma Celulas que parece "huevo frito"
238
- Tumor benigno de astrocitos - El tumor más frecuente del SNC en niños - Surge en el cerebelo
astrocitoma pilocítico
239
astrocitoma pilocítico Quiste
240
El **.....** es un tumor maligno que se origina a partir de las células granulares del cerebelo
meduloblastoma
241
¿En qué grupo de edad es más común el meduloblastoma y cuál es una característica histológica típica de este tumor?
El meduloblastoma es más común en **niños**. Una característica histológica típica de este tumor es la presencia de **células azules redondas**". Además, pueden estar presentes las llamadas "rosetas de Homer-Wright".
242
¿Cuál es el pronóstico del meduloblastoma y cómo se propaga típicamente este tumor?
El meduloblastoma tiene un pronóstico desfavorable. Este tumor tiende a crecer rápidamente y se propaga a través del líquido cefalorraquídeo, lo que aumenta el riesgo de diseminación a otras partes del sistema nervioso central.
243
El **....** es un tumor maligno que se origina a partir de las células gliales que recubren los ventrículos cerebrales y el conducto central de la médula espinal.
ependimoma
244
¿En qué grupo de edad es más común el ependimoma y dónde suele originarse en el cerebro?
El ependimoma es más común en niños. Por lo general, se origina en el cuarto ventrículo del cerebro.
245
¿Cuál es una presentación clínica común del ependimoma y por qué puede ocurrir esta condición?
El ependimoma puede presentarse con hidrocefalia, que es la acumulación de líquido cefalorraquídeo en el cerebro, debido a la obstrucción del flujo normal del líquido. Esta obstrucción puede ser causada por el tumor en el cuarto ventrículo, interfiriendo con el flujo normal del líquido cefalorraquídeo y provocando el aumento de la presión intracraneal.
246
Ependimoma Seudo-rosetas perivasculares
247
* Tumor que surge de los restos epiteliales de la bolsa de Rathke. * Se presenta como una masa supratentorial en un niño o adulto joven. * La compresión del quiasma óptico conduce a hemianopsia bitemporal. * Calcificaciones en estudios por imagen * Benigno
Craneofaringioma
248
Los **...**, el grupo más frecuente de tumores cerebrales primarios, comprenden los **astrocitomas, los oligodendrogliomas y los ependimomas.**
gliomas
249
Los dos tipos principales de tumores astrocíticos son:
Astrocitomas infiltrantes difusos Astrocitomas Localizados - Astrocitoma Pilocítico
249
El astrocitoma infiltrante y el **...** (sinónimo de «astrocitoma de grado IV») representan alrededor del 80% de los tumores cerebrales primarios en adultos.
glioblastoma ## Footnote Localizados con frecuencia en los hemisferios cerebrales, pueden surgir también en el cerebelo, el tronco encefálico o la médula espinal, con más frecuencia en la cuarta a sexta décadas.
249
Son tumores infiltrantes grises mal delimitados que expanden y distorsionan el encéfalo afectado
astrocitomas difusos ## Footnote El tamaño de estos tumores va de pocos centímetros a lesiones que sustituyen casi todo el encéfalo
250
En los **...** es característica la variación del aspecto del tumor de región a región; algunas zonas son gris-blanquecinas firmes y otras son blandas y amarillas por necrosis o rojas por hemorragia e hipervascularización
glioblastomas
250
Figura 28.45 **Astrocitoma difuso**. A. En el corte frontal de autopsia, la **sustancia blanca frontal izquierda está expandida** con pérdida de la visibilidad de la urión corticomedular por un tumor infiltrante (región rodeada). B. Este corte histológico de la sustancia blanca muestra núcleos hipercromáticos irregulares aumentados de tamano que parecen inmersos en la matriz fibrilar nativa del encéfalo; **los núcleos redondos y ovales más pequeños son oligodendrocitos nativos** y **astrocios** reactivos, respectivamente. Recuadro. La inmunotinción para IDHI R132H es positiva para la proteína mutante en las células tumorales, algunas de las cuales rodean las neuronas corticales más grandes inmunonegativas («satelitosis perineuronal»).
251
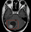
Figura 28.46 A Esta imagen frontal de resonancia magnética potenciada en TI con contraste muestra una **masa grande en el lóbulo temporal derecho** con realce «anular». B. El **glioblastoma** es una masa infiltrante **hemorrágica necrótica**.
252
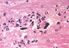
Figura 28.47 **Glioblastoma**: focos serpiginosos de **necrosis en empalizada** (núcleos tumorales alineados alrededor de zonas anucleadas rojas de necrosis). Recuadro. Proliferación microvascular.
253
El pronóstico de las personas con glioblastomas de tipo **....** nativo (aproximadamente un 90% de los glioblastomas) es muy malo, aunque el uso de nuevos fármacos antineoplásicos ha aportado ventajas
IDH
254
El otro subtipo principal de glioma infiltrante contiene células parecidas a los oligodendrocitos. Cuando se corrige por el grado tumoral, los **...** tienen el mejor pronóstico de los tumores gliales;
oligodendrogliomas
255
Son masas grises gelatinosas, que a menudo contienen quistes, hemorragia focal y calcificación.
oligodendrogliomas
256
En general, las personas con oligodendrogliomas tienen mejor pronóstico que las personas con **.....**
astrocitomas
257
Los astrocitomas **...** (grado I de la OMS) se distinguen de los astrocitomas infiltrantes por sus bordes más nítidos, características histopatológicas y moleculares específicas, y una conducta relativamente benigna.
pilocíticos
258
Los astrocitomas pilocíticos son más frecuentes en los niños y adultos jóvenes, y habitualmente se localizan en el **....**, aunque también pueden localizarse alrededor del tercer ventrículo, en los nervios ópticos, la médula espinal y a veces en los hemisferios cerebrales.
cerebelo ## Footnote Muchos astrocitomas pilocíticos son quísticos
259
Los **...** son tumores originados con frecuencia cerca del sistema ventricular tapizado, incluyendo el canal central a menudo obliterado de la médula espinal.
ependimomas
260
A que otra enfermedad está relacionado los ependimomas?
NF2 - Neurofibromatosis tipo 2
261
En el examen macroscópico y en la RM, los ependimomas son masas **...** (es decir, no infiltrantes). En la fosa posterior se localizan habitualmente en el suelo del **...** ventrículo
En el examen macroscópico y en la RM, los ependimomas son masas **sólidas** (es decir, no infiltrantes). En la fosa posterior se localizan habitualmente en el suelo del **cuarto** ventrículo
262
Figura 28.49 **Astrocitoma pilocítico**. A. Macroscópicamente, este tumor **cerebeloso** forma un nódulo parietal en el interior de un **quiste**. B. Con bajo aumento se pueden ver la corteza cerebelosa atrófica (arriba), unos bordes nítidos y un patrón bifásico con regiones laxas (centro) y compactas (abajo) alternas de crecimiento tumoral. C. Con mayor aumento se ven núcleos tumorales irregulares parecidos a los del astrocitoma difuso, pero con numerosas fibras de Rosenthal (inclusiones en sacacorchos muy eosinófilas) en el fondo.
263
Figura 28.50 **Ependimoma**. A. **Tumor del cuarto ventrículo** que distorsiona, comprime e infiltra las estructuras vecinas. B. La imagen microscópica comprende **rosetas verdaderas** (con luz central de seudoglándula) y **seudorrosetas perivasculares** (zona sin núcleo formada por prolongaciones fibrilares irradiadas hacia el vaso sanguíneo central}.
264
Los **....** (grado I de la OMS) son nódulos sólidos de crecimiento lento, a veces calcificados, que habitualmen- te protruyen en un ventrículo lateral o en el cuarto ventrículo al crecer por debajo del epéndimo
subependimomas
265
# Gliomas Grado I
Astrocitoma pilocítico
266
# Gliomas Grado II
* Astrocitoma * Oligodendroglioma * Ependimoma
267
# Gliomas Grado III
Astrocitoma anaplásico Oligodendroglioma anaplásico Ependimoma anaplásico
268
# Gliomas Grado IV
Glioblastoma multiforme
269
Los ependimomas de la fosa posterior se manifiestan a veces mediante **...** secundaria a obstrucción progresiva del cuarto ventrículo.
hidrocefalia
270
La neoplasia **embrionaria** más frecuente es el **....**, que supone el 20% de los tumores cerebrales infantiles.
meduloblastoma
271
**Meduloblastoma** Este tumor embrionario **maligno** predomina en la **infancia** y se localiza exclusivamente en el **....**
cerebelo
272
# Meduloblastoma Grado? Que puede causar?
Tumor de **grado IV.** Su crecimiento rápido puede obstruir el flujo de LCR y causar **hidrocefalia**.
273
# Meduloblastoma En el subtipo clásico, las células tumorales forman rosetas de **.....-.....** presentes también en el neuroblastoma
Homer-Wright
274
La variante anaplásica/célula grande se caracteriza por núcleos vesiculares grandes e irregulares (aspecto de célula dentro de **....**) e índices mitóticos/ apoptósicos altos
célula
275
Figura 28.5 1 **Meduloblastoma**. A Corte sagital del encéfalo en el que se observa un **meduloblastoma que sustituye parte del vermis cerebeloso superior**. B. La imagen microscópica del **meduloblastoma clásico** comprende «células azules pequeñas» **rosetas de Homer Wright (neuroblásticas)**. C. La **variante desmoplásica/nodular** contiene zonas internodulares ricas en reticulina con células con aspecto más primitivo y «**nódulos pálidos**» que representan centros de diferenciación neuronal parcial; esta variante es, casi siempre, el subtipo molecular SHH-activado. D. La **variante de célula grande/anaplásica** presenta aumento del tamaño celular, nucléolos rojo cereza grandes y envolvimiento celular (las células tumorales se envuelven entre sí o rodean núcleos picnóticos de células tumorales en proceso de muerte celular).
276
Meduloblastoma ## Footnote La variante desmoplásica/nodular se caracteriza por áreas internodulares de respuesta estroma!, marcadas por depósito de colágeno y reticulina
277
¿Qué caracteriza a los meduloblastomas en términos de agresividad y como es el pronóstico?
Los meduloblastomas son muy agresivos y el pronóstico de los pacientes sin tratamiento es sombrío; no obstante, son muy radiosensibles.
278
Es la neoplasia más frecuente del SNC en personas inmunodeprimidas, incluyendo las que tienen sida y las inmunodeprimidas después de un trasplante.
Linfoma primario del SNC
279
¿Cuál es el tipo predominante de linfomas primarios en el Sistema Nervioso Central (SNC)?
Casi todos los linfomas primarios del SNC son linfomas B difusos de célulasgrandes
280
¿Cómo se describen en términos de agresividad estos linfomas B difusos de células grandes en el SNC?
Son agresivos y tienden a tener un pronóstico generalmente peor que los tumores con histología similar fuera del SNC.
281
Los **...** son tumores predominantemente benignos de los **adultos** que se originan en células de la aracnoides y a menudo están unidos a la duramadre.
meningiomas
282
Los meningiomas pueden localizarse en cualquiera de las superficies **...** del encéfalo y en el interior del sistema **...**, donde se originan en las células aracnoideas estromales del plexo coroideo
externas ventricular
283
Figura 28.52 A. Pieza de **meningioma** resecado en el que se observan un contorno redondeado y adhesión dural. B. Meningioma con un **patrón arremolinado** de crecimiento celular y numerosos **cuerpos de psamoma** (calcificaciones con anillos concéntricos).
284
Los meningiomas son habitualmente tumores de crecimiento **....**. Los pacientes presentan síntomas inespecíficos difusos o signos locales por **...** del cerebro subyacente.
lento compresión
285
Las **metástasis**, la mayoría de carcinomas, representan alrededor del 25-50% de los tumores intracraneales en pacientes hospitalizados. Los cinco cánceres primarios más frecuentes son de **...**, **...**, piel (melanoma), **...** y tubo digestivo, que representan el 80% de todas las metástasis combinadas.
Las **metástasis**, la mayoría de carcinomas, representan alrededor del 25-50% de los tumores intracraneales en pacientes hospitalizados. Los cinco cánceres primarios más frecuentes son de **pulmón**, **mama**, piel (melanoma), **riñón** y tubo digestivo, que representan el 80% de todas las metástasis combinadas.
286
El adenocarcinoma prostático metastatiza al cerebro. V o F?
Falso. Casi nunca.
287
¿Cómo se caracterizan las metástasis parenquimatosas en términos de su apariencia en imágenes médicas?
Forman masas bien delimitadas, a menudo **en la unión entre la sustancia gris y la sustancia blanca**, rodeadas habitualmente por una zona de edema.
288
# Síndromes tumorales familiares Las dos formas de **....**, son síndromes familiares autosómicos dominantes caracterizados por tumores en el sistema nervioso **central y periférico**; por el contrario, la **...** afecta **solo al sistema nervioso periférico** y puede ser familiar o esporádica.
Las dos formas de **neurofibromatosis**, son síndromes familiares autosómicos dominantes caracterizados por tumores en el sistema nervioso **central y periférico**; por el contrario, la **schwannomatosis** afecta **solo al sistema nervioso periférico** y puede ser familiar o esporádica.
289
Las personas con esta enfermedad autosómica dominante tienen hemangioblastomas en el SNC; quistes en el páncreas, el hígado y los riñones; adenocarcinomas renales, y feocromocitomas
Enfermedad de von Hippel-Lindau
290
Los tumores del SNC pueden originarse en las cubiertas cerebrales (**...**), el parénquima cerebral (**...**, tumores neurales, tumores del plexo coroideo) y otras células residentes en el SNC (**...** primario del SNC); también pueden originarse en otras regiones corporales (metástasis)
Los tumores del SNC pueden originarse en las cubiertas cerebrales (**meningiomas**), el parénquima cerebral (**gliomas**, tumores neurales, tumores del plexo coroideo) y otras células residentes en el SNC (**linfoma** primario del SNC); también pueden originarse en otras regiones corporales (metástasis)
291
¿Los tumores benignos o diferenciados siempre tienen un pronóstico clínico favorable?
No, incluso los tumores benignos o diferenciados pueden tener un pronóstico clínico desfavorable, **dependiendo de su localización en el cerebro.**
292
Distintos tipos de tumores afectan a regiones cerebrales específicas (p. ej., **...** en el **cerebelo**) y grupos de edad específicos (meduloblastoma y astrocitoma **...** en la infancia; **...** y linfoma en pacientes mayores).
Distintos tipos de tumores afectan a regiones cerebrales específicas (p. ej., **meduloblastoma** en el **cerebelo**) y grupos de edad específicos (meduloblastoma y astrocitoma **pilocítico** en la infancia; **glioblastoma** y linfoma en pacientes mayores).
293
Los tumores gliales se clasifican como astrocitomas, **...** y ependimomas. La malignidad creciente del tumor se asocia a más **...** citológica, aumento de la densidad celular, necrosis y actividad **...**. En algunos de estos tumores se han identificado recientemente alteraciones genéticas diagnósticas, pronósticas y/o predictivas.
Los tumores gliales se clasifican como astrocitomas, **oligodendrogliomas** y ependimomas. La malignidad creciente del tumor se asocia a más **anaplasia** citológica, aumento de la densidad celular, necrosis y actividad **mitótica**. En algunos de estos tumores se han identificado recientemente alteraciones genéticas diagnósticas, pronósticas y/o predictivas.
294
Las metástasis de tumores cerebrales en otras regiones corporales son **...**, pero el cerebro es asiento frecuente de metástasis de cánceres sistémicos. Los más frecuentes son los **...**.
Las metástasis de tumores cerebrales en otras regiones corporales son **infrecuentes**, pero el cerebro es asiento frecuente de metástasis de cánceres sistémicos. Los más frecuentes son los **carcinomas**.
295
¿Cómo se describen macroscópicamente los schwannomas?
Son masas encapsuladas bien circunscritas, unidas de forma laxa al nervio asociado, pero que **no lo infiltran**. Se observa que estas masas son firmes y de color gris.
296
¿Cómo se dividen microscópicamente los schwannomas y qué características presentan en las áreas Antoni A?
Los schwannomas se dividen en áreas Antoni A y B. Las áreas Antoni A contienen células fusiformes organizadas en fascículos celulares entrecruzados, a menudo con **formación de empalizadas** de los núcleos, dando lugar a estructuras conocidas como **cuerpos de Verocay.** ## Footnote Imagen: Antoni A
297
Schwannoma A. Los schwannomas contienen, con frecuencia, áreas eosinófilas **densas** **Antoni A** (izquierda) y áreas **pálidas** **Antoni B** (derecha), así como vasos sanguíneos hialinizados (derecha).
298
¿Cómo se describen las áreas laxas hipocelulares **Antoni B** en los schwannomas en términos de la disposición celular y la matriz extracelular?
En las áreas laxas **hipocelulares** Antoni B, las células fusiformes están separadas por una matriz extracelular mixoide prominente que puede estar asociada a la formación de **microquistes**. Las células de Schwann se caracterizan por la presencia de un núcleo alargado fusiforme con una forma ondulada o abombada.