Temporal lobe pathologies Flashcards

(13 cards)

1
Q

Differential diagnoses for diffuse, infiltrating temporal lobe mass/oedema

A
  1. Herpes encephalitis
  2. Ischemia/infarction
  3. Gliomatosis cerebri
  4. Limbic encephalitis
  5. Status epilepticus
How well did you know this?
1
Not at all
2
3
4
5
Perfectly
2
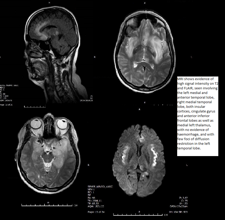
Q

Imaging features of herpes encephalitis?

A
  1. Infection secondary
    to herpes simplex virus type 1 (HSV-1) in adults. Patients present with acute onset of fever, headaches, seizures, and/or focal neurological deficits.
  2. Characteristically involves the limbic system, including the temporal lobes, insula, inferior frontal lobes, and cingulate gyri.
  3. MRI: bilateral, asymmetric
    involvement of the cortex and subcortical white matter
    with sparing of the basal ganglia. There is edema with loss of gray-white differentiation and local mass effect, typically in
    a nonvascular distribution.
    Foci of hemorrhage and restricted diffusion are commonly seen. Mild, patchy enhancement may
    be seen acutely, developing into gyriform enhancement usually within 1 week.
How well did you know this?
1
Not at all
2
3
4
5
Perfectly
3
Q

Imaging features of ischemia/infarct involving the temporal lobes.

A

ARTERIAL ISCHEMIA: Imaging reveals cytotoxic edema with
loss of gray-white matter differentiation and sulcal effacement in a vascular distribution. Occlusion of the proximal MCA may show a characteristic “dense MCA”
sign on CT with hypoattenuation involving
the basal ganglia and insula. Acute infarcts show
restricted diffusion. Hemorrhagic transformation
occurs in 15 to 20% of cases.

VENOUS INFARCT: occur in
patients with one of many hypercoagulable states. Temporal lobe involvement is common due to occlusion of the vein of Labbe. Imaging shows cytotoxic edema in a nonvascular distribution.
Hemorrhage is common, especially with thrombus
extending into cortical veins.

How well did you know this?
1
Not at all
2
3
4
5
Perfectly
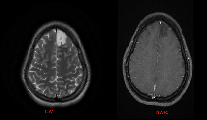
4
Q

Imaging features of gliomatosis cerebri?

A
  1. It an uncommon growth pattern of diffuse gliomas (infiltrating astrocytoma) that involves at least three lobes by definition, has frequent bilateral growth and may extend to infratentorial structures.

Patients present with headaches, seizures, focal neuro deficits.

  1. CT: can be normal as lesions are often isodense to normal brain parenchyma. There is a relative lack of mass effect and distortion compared to the
    extensiveness of involvement. There may be an ill-defined asymmetry or subtle hypoattenuation of the involved brain parenchyma.
  2. MRI: Mass effect and enhancement are often minimal despite large portions of the brain being involved. There is a loss of grey-white matter differentiation and diffuse gyral thickening.

Diffuse T1 and T2 prolongation throughout both white and grey matter:

T1: iso to hypointense to grey matter 1

T2: hyperintense to grey matter 1

T1 C+ (Gd): typically no or minimal enhancement

DWI: usually no restriction

How well did you know this?
1
Not at all
2
3
4
5
Perfectly
5
Q

Imaging features of limbic encephalitis?

A

It is a paraneoplastic
syndrome associated with a primary malignancy, typically
lung or breast cancer. Imaging findings may be indistinguishable from herpes encephalitis with unilateral or bilateral regions
of signal abnormality with a predilection for limbic system; however, hemorrhage does not occur.

Clinically, the onset of symptoms is usually more insidious (weeks to months)
rather than acute. Treatment of the primary malignancy may result in stabilization or improvement of symptoms.

How well did you know this?
1
Not at all
2
3
4
5
Perfectly
6
Q

Imaging features of status epilepticus (temporal lobe disease)?

A

Seizures result in focal increased cerebral
perfusion and disruption of the blood–brain barrier.

There is associated ill-defined edema involving the cortex and subcortical
white matter; the temporal lobe is commonly involved.
Enhancement may occasionally be seen. Follow-up imaging after cessation of seizures demonstrates improvement or resolution.

It is important to remember that the region of edema
may be remote from the actual seizure focus.

How well did you know this?
1
Not at all
2
3
4
5
Perfectly
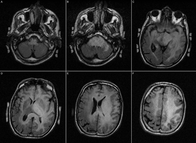
7
Q

Differential diagnoses for cystic, cortically based mass (frequently occurring in temporal lobes)? “DIG DOG-Pee”

A
  1. Desmoplastic infantile ganglioglioma(DIG)/astrocytoma

Dysembryoplastic neuroepithelial tumor (DNET)

  1. Oligodendroglioma
  2. Ganglioglioma
  3. Pleomorphic xanthoastrocytoma (PXA)
How well did you know this?
1
Not at all
2
3
4
5
Perfectly
8
Q

Imaging features of ganglioglioma

A
  1. Most common neoplastic cause of temporal lobe seizures in adolescents/young adults.
  2. Although its imaging appearance varies, the
    most common presentation is a superficial mixed cystic and solid mass; the solid components often present as a mural nodule and are hyperintense on T2 sequences.

As the lesion is cortically based, cortical expansion and overlying bony remodeling is often seen.

CALCIFICATIONS and enhancement of
solid components are noted in approximately half of cases.

Meningeal enhancement and surrounding edema is mild,
when present.

How well did you know this?
1
Not at all
2
3
4
5
Perfectly
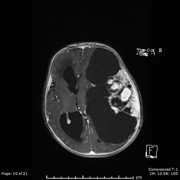
9
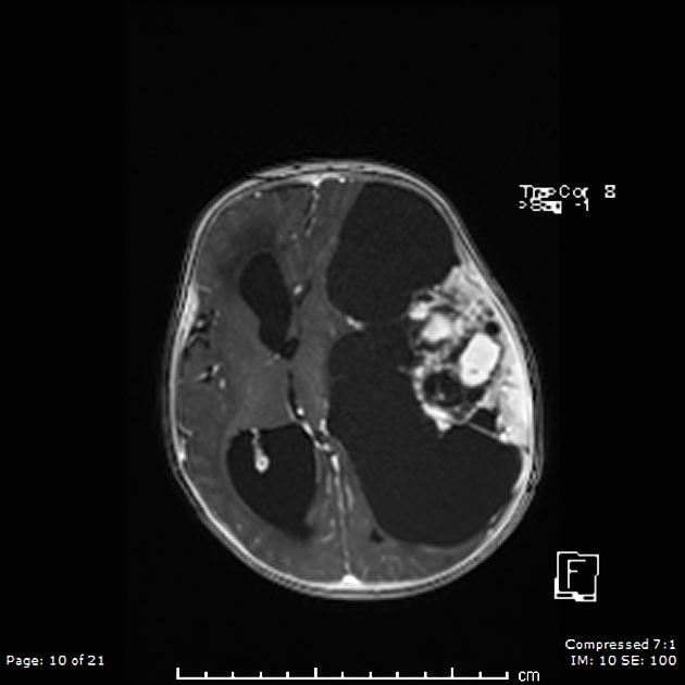
Q

Imaging features of desmoplastic infantile ganglioglioma (DIG)/astrocytoma
(cystic cortical lesions but not as freq seen in temporal lobe)

A
  1. Exceptionally large, aggressive looking tumor but good prognosis (WHO grade 1)!
  2. exceptionally large cerebral hemispheric mass composed of both cystic and solid portions (usually more cystic plus a mural nodule) involving both cortex and meninges. The frontal and parietal lobes are the most common sites.
  3. CT: hyperdense, enhancing solid components, sometimes with dural tail.

MRI: T1W- and T2W isointense; avidly enhancing, sometimes with dural tail

How well did you know this?
1
Not at all
2
3
4
5
Perfectly
9
Q

Imaging features of desmoplastic infantile ganglioglioma (DIG)/astrocytoma
(cystic cortical lesions but not as freq seen in temporal lobe)

A
  1. Exceptionally large, aggressive looking tumor but good prognosis (WHO grade 1)!
  2. exceptionally large cerebral hemispheric mass composed of both cystic and solid portions (usually more cystic plus a mural nodule) involving both cortex and meninges. The frontal and parietal lobes are the most common sites.
  3. CT: hyperdense, enhancing solid components, sometimes with dural tail.

MRI: T1W- and T2W isointense; avidly enhancing, sometimes with dural tail

How well did you know this?
1
Not at all
2
3
4
5
Perfectly
10
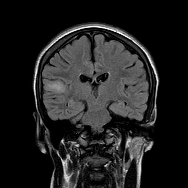
Q

Imaging features of dysembryoplastic neuroepithelial tumor (DNET)?

A
  1. benign tumor.
  2. A unique feature is its association with adjacent regions of cortical dysplasia. It typically occurs in adolescents
    and young adults; the most common presentation is seizures.
    Surgical resection must include the foci of cortical dysplasia to ensure resolution of seizures. DNET most often occurs in the
    temporal lobes.
  3. MRI: circumscribed, wedge-shaped, cortically based mass. It is
    T2 hyperintense with a characteristic “bubbly” or multicystic appearance.

Calcification and enhancement are fairly UNCOMMON. There is often no significant edema. As the mass is cortically based, expansion of the cortex and calvarial remodeling are
commonly seen.

How well did you know this?
1
Not at all
2
3
4
5
Perfectly
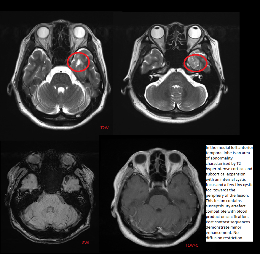
11
Q

Imaging features of pleomorphic xanthoastrocytoma (PXA)

A
  1. Low-grade, cortically based astrocytoma which most often occurs during
    childhood and early adulthood. Patients
    commonly present
    with seizures, headache, and occasionally focal neurological deficits. The majority of cases involve the temporal lobe, resulting
    in temporal lobe epilepsy.
  2. MRI: T2-hyperintense cortically based cystic and solid mass with a solid mural nodule. The solid nodular component extends
    along the pial surface. Prominent enhancement and surrounding vasogenic edema may be seen. The majority of cases
    demonstrate overlying MENINGEAL INVOLVEMENT/enhancement, which is a useful discriminator (dural tail).

CT may show calcification, as well as bony remodeling.

How well did you know this?
1
Not at all
2
3
4
5
Perfectly
12
Q

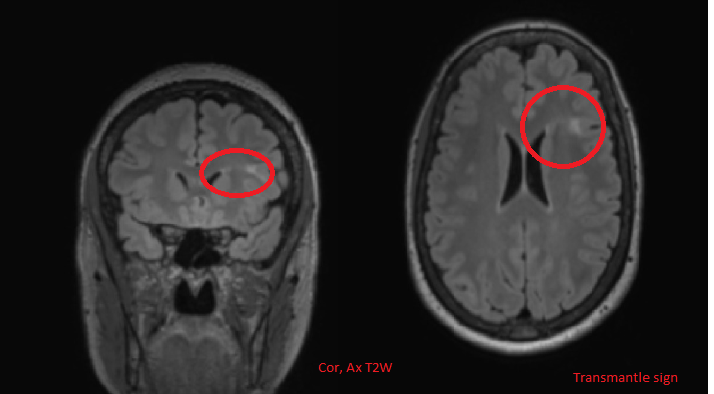
Focal cortical dysplasia is another cause of seizures, esp if it occurs in the frontotemporal lobes. What are some general features of FCD?

Blumcke classification of focal cortical dysplasia (2011). Types 1 to 3

A

cortical thickening

blurring of white matter-grey matter junction with abnormal architecture of subcortical layer

T2/FLAIR signal hyperintensity of white matter with or without the transmantle sign

T2/FLAIR signal hyperintensity of grey matter

abnormal sulcal or gyral pattern

segmental and/or lobar hypoplasia/atrophy

there is no oedema, calcification, or contrast enhancement

How well did you know this?
1
Not at all
2
3
4
5
Perfectly