Generals
Obligate intracellular Gram‐negative bacteria
Bacteria within arthropods
Family Anaplasmataceae
Genus Anaplasma
Survive in erythrocytes, phagocytes and platelets
Genus Ehrlichia
Survive in phagocytic cells
Genus Neorickettsia
Survive in macrophages and mononuclear cells
Family Rickettsiaceae
Rickettsiae (Survive in vascular epithelium)
Genera Rickettsia, Wolbachia, Orientia
Bacterial reclassification- Not super important
Reorganized by sequence comparison of 16S rRNA gene
α‐ Proteobacteria in the genera: Neorickettsia
Anaplasma
Ehrlichia
Genus Anaplasma
Gram negative small coccoid – ellipsoid bacteria
Live within cytoplasmic vacuoles of myeloid cells, neutrophils and erythrocytes- PROTECTS FROM IMMUNE SYSTEM
Peripheral blood or tissues of mononuclear phagocyte organs
May cause anemia, thrombocytopenia, leukopenia
Single or in morulae (bacterial packets)
Wright‐Giemsa (bluish purple)
Anaplasma marginale
Anaplasma centrale
Anaplasma ovis
Anaplasma bovis
Bovine anaplasmosis
Formerly Ehrlichia bovis Anaplasma platys
Formerly Ehrlichia platys
Anaplasma phagocytophilum
Formerly Ehrlichia phagocytophilum, E. equi and E. phagocytophila
Anaplasma marginale
Reservoir and transmission
Infected ruminants
Wild (deer) and domestic species
REPORTABLE DISEASES
All continents
Biologic transmission with hard ticks
Boophilus microplus
Boophilus, Dermacentor, Ixodes and Rhipicephalus
Mechanical transmission (less significant)
Biting flies, contaminated fomites
Contaminated instruments
Pathogenesis of Bovine Anaplasmosis
Clinical signs and pathological changes
Subclinical to peracutely fatal presentations
Mortalities of ~50% in cattle >3 years of age
Persistent infection, undulating febrile disease
Depression, anorexia, fever, anemia and icterus
Long term carriage occur
ERTHOCYTES-THUS ANEMIA

Bovine Anaplasmosis Immune Response
Immune response
Humoral and cell‐mediated response
Antigenic variation present
Msp2 gene
Related to chronicity
Antibody response is also directed to host antigens
DESTRUCTION OF ERYTHROCYTES
Immune response can be shared between other Anaplasma
Anaplasma centrale
Experimental vaccines are available but are not USDA approved
Diagnosis of Bovine Anaplasmosis
Diagnosis
Routine blood stains, acridine orange or IFA
Appear purple structures near periphery of erythrocytes in GIEMSA stains
Molecular diagnosis
Serological methods
Complement fixation, capillary agglutination, ELISA Useful in detecting subclinical cases
Treatment and control
Tetracyclines are pretty effective
Vaccination and VECTOR CONTROL

Anaplasma marginale in bovine erythocytes
Anaplasma phagocytophilum
generals
Human granulocytic anaplasmosis
Tick borne fever
Domesticated and wild ruminants
Equine granulocytic anaplasmosis
dogs and horses
Anaplasma phagocytophilium
reservior and transmission
Reservoir and transmission
Rodents and wildlife (deer)
In North America
East is mainly the white‐footed mouse and the deer tick (Ixodes
scapularis)
West is mainly the western black‐legged tick (Ixodes pacificus)
A. phagocytophilium causes, pathogenesis
Causes tick‐borne fever primarily in ruminants (EUROPE) and in horses, dogs and humans in North America
Pathogenesis associated with infection of neutrophils (primary) and eosinophils
Tick pyemia (Staphylococcus infection) is commonly linked to tick‐borne fever
Disease is mediated by the host immune response
Clinical and Pathological Findings for A. phagocytophilium
Clinically
Fever, depression, inappetance, anemia, edema, ataxia,
icterus, drop in milk yield, abortions, and leukopenia
Immunosuppressive effects
Pathological findings
Hepatitis, splenomegaly, arthritis, paracortical hyperplasia in lymph nodes
A. phagocytophilium Vaccine and immunoaspects
Immunological aspects
Antigenic variability
Major surface proteins (Msp2)
Serological cross‐reactivity
Ehrlichia spp, other Anaplasma spp
. No vaccines
Recovery with doxycycline therapy and adequate immune responses and tick control
A. phagocytophliium diagnosis
Laboratory diagnosis
In GIEMSA or Wright’s stained blood smears
Appear like membrane‐bound morulae (1‐10 bacteria) within neutrophils of ruminants, dogs, horses and humans
Has been propagated in tick and human leukemic cell cultures
Serological methods IFA, ELISA
Molecular methods PCR
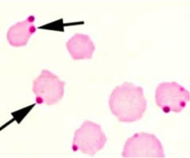
A. platys
PLATLETS!
Infectious canine cyclic thrombocytopenia
Cycles of 1‐2 weeks interval
Fever, lethargy, pale mucous membranes, petechial hemorrhages, epistaxis, and lymphadenopathy
Co‐infections with Ehrlichia canis common
Reservoir and transmission
Rhipicephalus and Dermacentor ticks
Laboratory diagnosis
In GIEMSA stained blood smears
A. platys in surface of canine platelets
IFA, PCR
Rickettsiae
Small bacteria (0.5‐1 μm)
Gram‐negative bacteria
Better to stain with Gimenez (red), Macchiavello (red) or Giemsa (purple) stains
Non‐motile bacteria
Actin hijack inside cells
Pathogenesis includes
Enter endothelial cells by endocytosis
Escape from phagosome and multiply in cytoplasm and nucleus Associated with invertebrate vectors
In veterinary medicine
Rickettsia rickettsii
Rickettsia felis
Coxiella burnetii
Rocky mountain spotted fever Typhus group
Q fever
Reserviors and Transmission for Rickettsia rickettsii
Causative agent of Rocky Mountain Spotted Fever
Reservoir and transmission
Dogs and people in endemic areas
Small mammals are though to be the major reservoir
Carried naturally by ~20 species of ixodid ticks
Dermacentor andersoni (Wood tick)
Wood tick
D. variabilis (American dog tick)
Transovarial and transtadial transmission- CAN GO FROM MOTHER TO EGGS
in ticks exist
American dog tick
Mainly in Eastern North America Seasonal incidence
Pathogensis of Rickettsia rickettsii
Tick
Replicates in epithelium
Transferred to salivary glands and ovarian tissues
Vertebrate
Ticks bites injects bacteria and targets vascular endothelium
Endocytosed, escape phagosome and multiply in cell cytoplasm and nucleus
Damage of endothelial cell membranes
Rickettsial phospholipases and proteases
Necrosis, vasculitis, hemorrhages, edema, thrombosis and dyspnea
Rarely fatal but does occur
Nervous system disturbances (~80% cases in dog)
Heart and kidney involvement
Clinical Signs of Rickettsia rickettssii
Clinical signs
High fever, anorexia, vomiting, diarrhea, petechiae or ecchymotic
mucous membranes, edema
Tenderness over lymph nodes, joints and muscle
Severe necrosis in extremities in dogs occur (severe fatal disease)
Marked thrombocytopenia and leukopenia may be present during acute phase
Immunological Aspects for Rickettsia rickettssii
Immunologic aspects
Auto immune reactions are related to pathogenesis in
late RMSF vascular manifestations
Humoral and cell‐mediated response occurs
CMI most important for removal of the pathogen
No vaccines available for RMSF
Lab Diagnosis of Rickettsia rickettiiss
Culture
Can be propagated in
Yolk sacs of chick embryos
Cell culture (VERO cells, endothelial cell lines)
33‐35°C with a generation time of ~9h
Need to have glutamate as nutrient
Serological methods
Immunofluorescence and ELISA commonly used
Mainly detect circulating IgG
Negative or low titers can be present early in the diseases
Laboratory diagnosis
Molecular diagnosis- Have to bx hemorrage sites because you can’t just pull blood
PCR is now widely used and accepted Very sensitive and specific
Limitations of PCR
Treatment and Control of Ricketsia Rickettsii
Treatment and Control
Susceptible to chloramphenicol, fluoroquinolones and
tetracyclines
Dogs need aggressive supportive therapy and possibly steroids
NEED TICK CONTROL
Coxiella burnetii
Reservoir
Worldwide
Survives in environment
Different from other related rickettsiae
Have a endospore‐like growth phase
Can be disseminated by airborne route - DOES NOT NEED A VECTOR
Natural hosts and vectors include
~125 mammalian species
Arthropods
Ticks, mites, fleas, lice and flies
Environmental persistence
Transmission of Coxiella burnetti
Transmission
Human cases of Q‐fever can be traced to
Sheep, cattle and goats
Direct or via unpasteurized milk products, feces, sperm and
reproductive discharges
Wind can carry “spore like stages”
BIO‐WEAPON, REPORTABLE
In humans
Subclinical influenza like occupational diseases
Farmers, abattoir workers, veterinarians
Endocarditis in chronic presentations