The Kidneys Flashcards

(18 cards)

1
Q

is this a male or female urinary system?

A

female > shorter urethra

How well did you know this?
1
Not at all
2
3
4
5
Perfectly
2
Q

is this a male or female urinary system?

A

male > longer urethra

How well did you know this?
1
Not at all
2
3
4
5
Perfectly
3
Q

name the components of the urinary system and the function of each part

A
  1. kidneys - maintains homeostasis by blood filtration
  2. ureter - transports urine from the kindeys to the bladder
  3. bladder - temporarily stores urine and assists in its expulsion
  4. urethra - vessel responsible for transporting urine from the bladder to an external opening in the perineum
How well did you know this?
1
Not at all
2
3
4
5
Perfectly
4
Q

the two bean-shaped kidneys lie in the paravertebral gutters on the posterior abdominal wall on either side of the vertebral column between vertebrae…

A

T12-L3

How well did you know this?
1
Not at all
2
3
4
5
Perfectly
5
Q

the hilus of the kidney lies at the level of which plane?

A

transpyloric plane L1

How well did you know this?
1
Not at all
2
3
4
5
Perfectly
6
Q

name some structures that lie on the transpyloric plane

A
  • pylorus
  • kidney hila
  • gallbladder
  • neck of pancreas
  • L1 vertebra
  • transverse colon
How well did you know this?
1
Not at all
2
3
4
5
Perfectly
7
Q

each kidney is enclosed by which 4 layers?

A
  1. fibrous renal capsule
  2. fatty renal capsule
  3. renal fascia - fibro-fatty tissue
  4. pararenal fatty tissue - mainly on the posterior aspects of the kidney
How well did you know this?
1
Not at all
2
3
4
5
Perfectly
8
Q

what is the significance of having fatty tissue around the kidneys?

A

protection and support

How well did you know this?
1
Not at all
2
3
4
5
Perfectly
9
Q

label the fascial and fat coverings of the kidney

A
How well did you know this?
1
Not at all
2
3
4
5
Perfectly
10
Q

on the diagram, identify and label the muscles related posteriorly to the kidney

A
How well did you know this?
1
Not at all
2
3
4
5
Perfectly
11
Q

what is the nerve supply to the kidneys?

A
  • sympathetic nerves originate in the T12 and L1 spinal segments, pass through the coeliac ganglia and along the renal artery to the organ.
  • parasympathetic nerves are derived from the vagus nerves.
How well did you know this?
1
Not at all
2
3
4
5
Perfectly
12
Q

what is the lympathic drainage of the kidneys?

A

lymph from the kidneys drain to the para-aortic lymph nodes around the origin of the renal arteries (L1)

How well did you know this?
1
Not at all
2
3
4
5
Perfectly
13
Q

from which embryological structure does the definitive kidney develop?

A

metanephric mesoderm, part of the intermediate plate mesoderm

How well did you know this?
1
Not at all
2
3
4
5
Perfectly
14
Q

what does the ureter develop from?

A

ureteric bud

How well did you know this?
1
Not at all
2
3
4
5
Perfectly
15
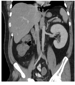
Q

what congenital abnormality has occured here?

A

isolated renal agenesis

How well did you know this?
1
Not at all
2
3
4
5
Perfectly
16
Q

what congenital abnormality has occurred here?

A

duplicated left ureter

17
Q

what congenital abnormality has occurred here?

A

horseshoe kidney

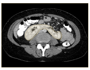
18
Q

label the cadaveric image