What are types of gram posive cocci?
Staphylococcus aureus
Streptococcus pyogenes
Streptococcus agalactie
What are types of gram negative cocci?
What are types of gram positive bacilli (aerobes and anaerobes)?
What are types of gram negative bacilli?
What are types of gram negative coccobacilli?
What are types of spiral bacteria?
Helicobacter
Campylobacter
Borrielia
Leptospira
Treponema pallidum
Do gram positive or negative cells have thick walls? What colour does each stain with?
Gram positive has a thicker cell wall than negative. Gram positive stain stains organism blue/ black is retained. Gram negative- fatty outer cell membrane which doesn’t retain the blue/black, then stained with counter stain that appears red.

Why do certain bacteria cause paticular infections?
Exposure to environmental or animal based pathogens.
Source of the infection is on you and what your normal flora is. Skin surrounding anus is colonisation of E. coli which is close urinary tract which can cause infection.
Where is E. coli found? Where is it able to adhere to?
What does E. coli do?
Where is S. aureus found?
Nasal carriage in up to 50% of people
Able to adhere to damaged skin
What does S. aureus do?
Produces exoenzymes and toxins that can damage tissues and provoke host response (e.g. pus formation)
What does Staphylococcus aureus cause?

Where is staphylococcus epidermis found?
What does staphylococcus epidermis adhere to?
Adheres to plastics/metals using glycocalyx (‘slime’), forming biofilms
What does staphylococcus epidermis cause?
Causes infection in association with ‘foreign bodies’ e.g. intravascular catheters, prosthetic joints, prosthetic cardiac valves, etc
What is the commonest cause of a sore throat?
Streptococcus pyogenes- Can also be referred to as ‘Group A Strep’
What does streptococcus pyogenes cause?

What is the commonest cause of bacterial pneumonia and menigitis (except in neonates)?
Streptococcus pnuemoniae
Can also cause other common childhood infections, such as otitis media

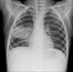
What is pneumonia?
Pneumonia is an infection that inflames the air sacs in one or both lungs. The air sacs may fill with fluid or pus (purulent material), causing cough with phlegm or pus, fever, chills, and difficulty breathing. A variety of organisms, including bacteria, viruses and fungi, can cause pneumonia.1
What does streptococcus agalactiae cause?
What is streptococcus milleri complex?

What is Viridans streptococci? Where are they found?
If you have heart valve from disease like aortic stenosis/ mitral regurgitation can lead to stasis of blood flow around valves allowing organisms to survive and adhere to the tissues leading to bacterial vegetation leading to bacterial endocarditis.
What is streptococcus gallolyticus? Where is it found?
