Third Molars Flashcards

(78 cards)

1
Q

When does crown calcification of 3rd molars begin

A

7-10 years old

How well did you know this?
1
Not at all
2
3
4
5
Perfectly
2
Q

when is root calcification of 3rd molars complete

A

18-25 years

How well did you know this?
1
Not at all
2
3
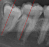
4
5
Perfectly
3
Q

what is it called when a 3rd molar fails to develop

A

agenesis

How well did you know this?
1
Not at all
2
3
4
5
Perfectly
4
Q

if they are missing at the age of —- on a radiograph they almost always fail to develop

A

14

How well did you know this?
1
Not at all
2
3
4
5
Perfectly
5
Q

what does impacted mean

A

the tooth eruption is blocked (partial or full)

How well did you know this?
1
Not at all
2
3
4
5
Perfectly
6
Q

consequences of impaction

A
  • caries
  • pericoronitis
  • cyst formation
How well did you know this?
1
Not at all
2
3
4
5
Perfectly
7
Q

nerves at risk during 3rd molar surgery

A
  • IAN
  • Lingual nerve
  • nerve to mylohyoid
  • long buccal nerve
How well did you know this?
1
Not at all
2
3
4
5
Perfectly
8
Q

Where does the IAN derive from and what does it supply

A
  • mandibular branch of the trigeminal nerve
  • all mandibular teeth, skin of lower lip and chin on that side
How well did you know this?
1
Not at all
2
3
4
5
Perfectly
9
Q

Where does the lingual nerve derive from and what does it supply

A
  • branch of the mandibular division of the trigeminal nerve
  • anterior 2/3 dorsal and ventral mucosa of tongue
  • gives off a branch which supplies lingual gingiva of mouth
How well did you know this?
1
Not at all
2
3
4
5
Perfectly
10
Q

where does the lingual nerve lie

A

on the superior attachment of mylohyoid muscle

How well did you know this?
1
Not at all
2
3
4
5
Perfectly
11
Q

what does the lingual nerve have a close relationship to

A
  • lingual plate in the mandibular and retromolar area
How well did you know this?
1
Not at all
2
3
4
5
Perfectly
12
Q

NICE and SIGN guidelines for extraction of 3rd molars say…

A

therapeutic approach: only extract if there is pathology

How well did you know this?
1
Not at all
2
3
4
5
Perfectly
13
Q

FDS, RCS 2020 guidelines for extraction of 3rd molars say…

A

more holistic approach should be taken:
- by not removing impacted molars we’re just postponing inevitable surgery which could make tx more difficult at the time
- could affect 7
- patient likely older so increased complications

How well did you know this?
1
Not at all
2
3
4
5
Perfectly
14
Q

Therapeutic indications for extraction of 3rd molars

A
  • infection (most common)
  • cysts
  • tumours
  • external resorption of 7 or 8
How well did you know this?
1
Not at all
2
3
4
5
Perfectly
15
Q

additional indications for XLA of 3rd molars

A
  • surgical indications
  • high risk of disease
  • medical indications
  • accessibility - limited access
  • patient age
  • autotransplantation (rare)
  • GA
How well did you know this?
1
Not at all
2
3
4
5
Perfectly
16
Q

what is pericoronitis

A
  • inflammation around the crown of a PE tooth
  • food and debris gets trapped under the operculum resulting in inflammation or infection
How well did you know this?
1
Not at all
2
3
4
5
Perfectly
17
Q

signs and sypmtoms of pericoronitis

A
  • pain
  • swelling
  • bad taste
  • pus discharge
  • occlusal trauma to operculum
  • ulceration of operculum
  • evidence of cheek biting
  • foetor oris (?)
  • limited mouth opening
  • dysphagia
  • pyrexia
  • malaise
  • regional lymphadenopathy
How well did you know this?
1
Not at all
2
3
4
5
Perfectly
18
Q

Tx of pericoronitis

A
  • incision of localised pericoronal abscess if required
  • IDB depending on pain/patient
  • irrigation with warm saline or chlorhexidine mouthwash (10-20ml blunt syringe) under the operculum
  • extraction of upper 3rd molar if traumatising the operculum
  • pt instructed on frequent warm saline or chlorhexidine mouthwashes
  • advise on analgesia
  • instruct pt to keep fluid levels up and keep eating soft/ liquid diet if necessary
How well did you know this?
1
Not at all
2
3
4
5
Perfectly
19
Q

would you prescribe antibiotics for pericoronitis

A

no, unless more severe, systemically unwell, EO swelling, immunocompromised e.g. poorly controlled diabetes

How well did you know this?
1
Not at all
2
3
4
5
Perfectly
20
Q

when would you refer a pt to max fax or a and e

A
  • large EO swelling
  • systemically unwell
  • trismus
  • dysphagia
How well did you know this?
1
Not at all
2
3
4
5
Perfectly
21
Q

pre-disposing factors to pericoronitis

A
  • PE and vertical or distoangular impaction
  • opposing maxillary M3M or M2M causing mechanical trauma (recurrent infection)
  • URTIs and stress and fatigue
  • poor OH
  • insufficient space between the ascending ramus of the lower jaw and the distal aspect of the lower 7 (M2M)
  • white race
  • a full dentition
How well did you know this?
1
Not at all
2
3
4
5
Perfectly
22
Q

What to cover in history of 3rd molar issues e.g. pericoronitis

A
  • General apperance
  • Presenting complaint
  • HPC: how long, how many episodes, how often, severity, requirement for antibiotics?
  • MH: systemic enquiry, medications, allergies, previous hospitalisations inc srgery. Nb bleeding disorders, bisphosphonates, immunocompromised?
  • DH: history of extractions, dental anxiety, dental experience, regular OH
  • SH: smoking, alcohol, occupation, carer, support
How well did you know this?
1
Not at all
2
3
4
5
Perfectly
23
Q

EO assessment for e.g. pericoronitis

A
  • TMJ: need to rule out as the source of pain
  • limited mouth opening: increase in surgical difficulty
  • lymphadenopathy
  • facial asymmetry
  • mom
How well did you know this?
1
Not at all
2
3
4
5
Perfectly
24
Q

IO assessment for e.g. pericoronitiss

A
  • soft tissues
  • dentition
  • M2M: distance between M2M and ascending ramus ‘working space’
  • eruption status of M3Ms
  • condition of the remaining dentition
  • occlusion
  • OH
  • caries status
  • perio status
How well did you know this?
1
Not at all
2
3
4
5
Perfectly
25
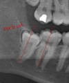
what radiograph would you take and why
OPT only if surgical intervention is being considered - presence/absence of disease - anatomy of 3M - depth of impaction - orientation of impaction - working distance - folliccular wideth - periodontal status - relationship/ proximity of upper 3Ms to max antrum and lower 3M to inferior dental canal - any other associated pathoology
26
How would you assess a radiograph
- interruption of white lines/lamina dura of the canal - darkening of the root where crossed by the canal - diversion/deflection of the IAN canal - deflection of root - narrowing of the IAN canal - narrowing of the root - dark and bifid root - juxta apical area
27
What radiograph signs are associated with a significantly increased risk of nerve injury during 3M surgery
1. diversion of the inferior dental canal 2. darkening of the root where crossed by the canal 3. interuption of the white lines of the canal
28
Describe the IAN canal
Diversion/deflection of the inferior dental canal
29
Describe the IAN canal relationship
darkening of the root where crossed by the canal
30
describe the relationship to the IAN canal
interruptioni of the white lines/lamina dura of the canal
31
Describe the relationship to the IAN canal
deflection of root
32
Assess radiographically
narrowing of the inferiror dental canal
33
assess radiographically
narrowing of the root
34
assess radiographically
dark and bifid root (splits/divides over canal)
35
assess radiographically
juxta apical area
36
if an OPT suggests a close relationship between the 3rd molar and the inferior dental canal, what should you do
consider CBCT - 3D, will trace ID canal consider periapical - caries detection
37
What different angulations can be assessed radiographically
- vertical - mesial (most common) - distal (harder to extract) - horizontal - transverse or aberrant
38
what is the angulation of 3rd molars measured against
the curve of spee
39
Angulation?
mesial
40
Angulation?
horizontal
41
Angulation?
distal
42
Angulation?
vertical
43
Angulation
transverse
44
Angulation
aberrant
45
why would we want to measure depth of a 3rd molar in relation to the 7
gives an indication of the amount of bone removal required
46
if crown of 8 related to crown of 7
superficial depth
47
if crown of 8 related to crown and root of 7
moderate depth
48
if crown of 8 related to root of 7
deep depth
49
assess radiographically
superficial distal impaction
50
assess radiographically
horizontal moderate impaction
51
what other radiographic finding is here of relevance to the 8
overhang of adj 7 restoration - if comes off would need to temporise tooth and work on that later
52
common GDP tx options for 3Ms
- referral to OS or OMFs or specialist practice - clinical review - removal of M3M - extraction of maxillary 3rd molar - coronectomy
53
FDS management of patients with mandibular 3rd molars (M3Ms)
54
what methods of anaesthesia could you consider for 3rd molar surgery
- LA alone - conscious sedation - GA | anxiety, behavioural/medical, tx complexity
55
What to cover in consent process
- pain - swelling - bruising - jaw stiffness/limited mouth opening - bleeding - infection - dry socket - explain procedure to pt - if a tooth is likely to be sectioned explain this - numbness or tinging of lower lip, chin and side of tongue - nerve damage - flap? - possible drilling - possible stitches - risk of restoration on a 7 fracturing - risk of jaw fracture if mandible is atrophic
56
what are the different types of nerve damage a patient could get
- numbness (anaesthesia) - tingling (paraesthesia) - pain/unpleasant sensation (dysaesthesia) - reduced sensation (hypoaesthesia) - heightened sensation (hyperaesthesia - check)
57
how to structure a referral to e.g. a hospital
- professional, courteous and appropriate - Situation e.g. this 23yr male presents with pain on LL8 - Background e.g. HPC, pt has experienced 4 episodes of pericoronitis in the last year. The most recent was 2weeks ago and required course of amoxicillin - Assessment e.g. LL8 PE moderate mesial angular impaction, occulsal caries present. pt reports food packing and finding cleaning area very difficult, MH, SH, clinical exam - Recommendation e.g. my opinion of what should be done e.g. pt is keen for surgical removal of LL8 and I believe this is indicated in this case
58
Basic principles in surgical removal of 3Ms
- required when can't be XLA with forceps alone - risk assessment (plan and medical history) - aseptic technique - minimal trauma to hard and soft tissues - consent (written and signed)
59
Steps in surgical removal
1. anaesthesia 2. access 3. bone removal as necessary 4. tooth division as necessary (check apices) 5. debridement 6. suture 7. achieve haemostasis 8. post-op instructions (verbal and written)
60
how is access gained
raising a buccal mucoperiosteal flap with scalpel
61
instruments to reflect flap
- mitchell's trimmer - howarth's periosteal elevator - ash periosteal elevator - curved warwick james elevator (to undermine dental papillae)
62
what insruments retract operative field
- howarth - rake retractor - minniesota retractor
63
why is saline used in the handpiece for bone removal
to avoid necrosis of the bone - air drive handpieces may lead to surgical emphysema
64
what shape of gutter are you trying to create with bone removal
deep and narrow gutter around the crown of the 8 (buccal and distal aspect)
65
what direction do you move the bur in and why when creating gutter
Distal to mesial otherwise bur could go into tissues behind which contain lingual nerve
66
why would you want to divide a tooth when removing
not enouch space to remove tooth out whole
67
describe horizontal crown section of tooth
68
describe vertical crown section of tooth
69
Methods of debridement
70
aims of suturing
- reposition tissues - cover bone - prevent wound breakdown - achieve haemostasis - (+healing by primary intention?)
71
draw a 3 sided flap
72
draw a 2 sided/envelope flap
73
give post- op instructions
74
when would you do a coronectomy
when there appears to be an increased risk of IAN damage with surgical removal
75
aim of coronectomy
to reduce the risk of IAN damage
76
steps in a coronectomy
After: - socket irrigated - flap replaced - follow up 1-2 weeks and 3-6 months
77
warnings for patient with coronectomy
78
how are upper 3rd molars removed
- elevation only or elevation and forceps extraction. Flap can be raised if XLA not possible - straight or curved warwick james usually - forceps: bayonets - challenges: dense bone and limited mouth opening, PE, diverging roots possible, risk of fracture of tuberosity - support tuberosity with finger and thumb