Third molars Flashcards

(53 cards)

1
Q
  • When does crown calcification begin and end?
  • when does root calcification end?
A
  • radiographically begins between 7 and 10 and ends by 18y
  • 18-25y
How well did you know this?
1
Not at all
2
3
4
5
Perfectly
2
Q
  • what are some of things mandibular molars be impacted with?
  • what are some of the consequences of impacted M3M?
A
  • adjacent teeth, alveolar bone, surrounding mucosal soft tissue or a combo of these
  • caries, pericorinitis or cyst formation
How well did you know this?
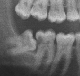
1
Not at all
2
3
4
5
Perfectly
3
Q
  • What are nerves at risk during 3rd molar surgery?
  • what is lingual nerve a branch of and what is it’s location/
A
  • inferior alveolar nerve
    Lingual nerve (mandibular division of trigmenial nerve)
    Nerve to mylohyoid
    Long buccaneers nerve
  • 0-3.5mm medial to mandible
How well did you know this?
1
Not at all
2
3
4
5
Perfectly
4
Q

What is guidelines for 3rd molars?

A
  • NICE, guidance on extraction of wisdom teeth 2000

SIGN publication number 43 - management of unerupted and impacted 3rd molar teeth 2000

FDS, RCS 2020 - parameters of care for patients undergoing mandibular 3rd molar surgery

How well did you know this?
1
Not at all
2
3
4
5
Perfectly
5
Q
  • What are therapeutic indications for extraction?
A
  • infection (caries, pericorinitis, perio or local bone infection) - most common

Cysts

Tumours

External resorption of 7 or 8

How well did you know this?
1
Not at all
2
3
4
5
Perfectly
6
Q

What is information for cysts and 3rd molars?

A
  • more common in mandible than maxilla

Prophaylactic removal or coronetomy of diseased free lower 43rd molar would present development of cyst. Would be small so not an indication to remove

How well did you know this?
1
Not at all
2
3
4
5
Perfectly
7
Q

Apart from therapeutic types what other indications for removal of 3rd molars?

A
  • surgical indications ie within surgical field (orthographic, fractured mandible, in resection of diseased tissue)

high risk of disease

Medication indications ie awaiting cardiac surgery, immunosuppressed or to prevent osteonecrosis before starting bisphosphonates

Accessibility - limited access

Patient age- complications and recovery time increase with age

Autotransplantation usually to a first molar

GA

How well did you know this?
1
Not at all
2
3
4
5
Perfectly
8
Q
  • what is pericorinitis?
  • what is only health condition related to it?
A
  • Inflammation around the crown of a partially erupted tooth

The tooth is normally partially erupted and visible

Food & debris gets trapped under the operculum resulting in inflammation or infection

Usually transient and self-limiting

Usually occurs 20-40 years

General health not related to incidence of pericoronitis, except URTI

Second most common indication for M3M extraction

How well did you know this?
1
Not at all
2
3
4
5
Perfectly
9
Q
  • what are signs and symptoms of pericorinitis?
A
  • Pain
    Swelling – Intra or extraoral
    Bad taste
    Pus discharge - from operculum
    Occlusal trauma to operculum
    Ulceration of operculum
    Evidence of cheek biting
    Foetor oris (halitosis)
    Limited mouth opening
    Dysphagia
    Pyrexia
    Malaise
    Regional lymphadenopathy
How well did you know this?
1
Not at all
2
3
4
5
Perfectly
10
Q

what is treatment for pericorinitis?

A
  • Incision of localised pericoronal abscess if required

+/- local anaesthetic (IDB) – depends on pain/patient

Irrigation with warm saline or chlorhexidine mouthwash (10-20ml syringe with blunt needle – under the operculum).

Extraction of upper third molar if traumatising the operculum

Patient instructed on frequent warm saline or chlorhexidine mouthwashes

How well did you know this?
1
Not at all
2
3
4
5
Perfectly
11
Q

what are POIG for pericorinitis?

A
  • Advice regarding analgesia

Instruct patient to keep fluid levels up and keep eating (soft/liquid diet if necessary)

Generally do not prescribe antibiotics unless more severe pericoronitis, systemically unwell, extra-oral swelling, immunocompromised e.g. diabetic

If large extra-oral swelling, systemically unwell, trismus, dysphagia – refer to maxillofacial unit or A&E

How well did you know this?
1
Not at all
2
3
4
5
Perfectly
12
Q

what are predisposing factors to pericorinitis?

A

Partial eruption and vertical or distoangular impaction

Opposing maxillary M3M or M2M causing mechanical trauma contributing to recurrent infection

Upper respiratory tract infections as well as stress and fatigue pericoronitis

Poor oral hygiene

Insufficient space between the ascending ramus of the lower jaw and the distal aspect of the M2M

White race

A full dentition

How well did you know this?
1
Not at all
2
3
4
5
Perfectly
13
Q

during extra oral assessment if patient complains of problems with wisdom tooth when is it unlikely to be a wisdom tooth problem?

A

if 3rd molar unerupted no communication on distal of 2nd molar then more likely a tmj problem

How well did you know this?
1
Not at all
2
3
4
5
Perfectly
14
Q

during 3rd molar assessment what does an OPT determine?

A

Presence or absence of disease (in 3M or elsewhere)
Anatomy of 3M (crown size, shape, condition, root formation)
Depth of impaction
Orientation of impaction
Working distance (distal of lower 7 to ramus of mandible)
Follicular width
Periodontal status
The relationship or proximity of upper third molars to the maxillary antrum and of lower third molars to the inferior dental canal
Any other assoc pathology

How well did you know this?
1
Not at all
2
3
4
5
Perfectly
15
Q

what signs have been demonstrated to be associated with a significantly increased risk of nerve injury during third molar surgery

A
  • diversion of the inferior dental canal
  • darkening of the root where crossed by the canal
  • interruption of the white lines of the canal
How well did you know this?
1
Not at all
2
3
4
5
Perfectly
16
Q

what is this?

A

Diversion/deflection of the inferior dental canal

How well did you know this?
1
Not at all
2
3
4
5
Perfectly
17
Q

what is this?

A

Darkening of the root where crossed by the canal

How well did you know this?
1
Not at all
2
3
4
5
Perfectly
18
Q

what is this?

A

Interruption of the white lines/lamina dura of the canal

How well did you know this?
1
Not at all
2
3
4
5
Perfectly
19
Q

what is this?

A

Deflection of root

How well did you know this?
1
Not at all
2
3
4
5
Perfectly
20
Q

what is this?

A

Narrowing of inferior dental canal

How well did you know this?
1
Not at all
2
3
4
5
Perfectly
21
Q

what is this?

A

Narrowing of the root

How well did you know this?
1
Not at all
2
3
4
5
Perfectly
22
Q

what is this?

A

Dark and bifid root

23
Q

what is this?

A

Juxta apical area

24
Q
  • if suspect close relationship with IAN what do you take?
  • what is angulation/orientation of wisdom teeth measured against?
A

cone beam CT

curve of spee

25
how is the 48 sitting?
transverse
26
what are the orientations of the wisom teeth here?
48 - lying mesially 38 - horizontal
27
what are the depth grades of bone removal and what are they related to?
Superficial – crown of 8 related to crown of 7 Moderate – crown of 8 related to crown and root of 7 Deep – crown of 8 related to root of 7
28
- how long does it take for sutures to usually dissolve? - when is the risk of jaw fracture higher for mandibular wisdom tooth removal?
- 2-3 weeks - large cystic lesion
29
- what are the post op complications - what are the percentages for temp and permanent numbness?
- Pain Swelling Bruising Jaw Stiffness/limited mouth opening Bleeding Infection Dry Socket (localised osteitis) Numbness (anaesthesia) or tingling (paraesthesia) of lower lip, chin, side of tongue IDN (lower lip/chin): Temporary 10-20 percent Permanent <1% Lingual Nerve (one side of tongue, taste) Temporary – 0.25 – 23% Permanent – 0.14 – 2%
30
- damage to what nerve causes altered taste and why? - how long can it take for nerves to recover?
Altered taste (rare) (Revise Chorda Tympani - arises from Facial nerve, taste buds from anterior two thirds of tongue, carries fibres via Lingual nerve) Dysaesthesia (rare) – painful, uncomfortable, unpleasant sensation of lower lip, chin, tongue; sometimes neuralgia type pain. Also reduced sensation (hypoaesthesia) or heightened sensation (increased sensation). - 18-24 months
31
if there is a close relationship to IAN what can you do?
- coronectomy and leave the root
32
what are steps of surgical removal
Anaesthesia Access Bone removal as necessary Tooth division as necessary Debridement Suture Achieve haemostasis Post-operative instructions
33
- what is flap you do for a wisdom removal - why is a lingual flap a risk?
- buccal mucoperiosteal flap +/- raising lingual flap - risk of damaging lingual nerve
34
- what are the steps for reflection part of surgical removal? - what are the most difficult reflection? - what instruments do you use?
- Commence raising flap at base of relieving incision (already gaping / bone visible) Undermine / free anterior papilla before proceeding with reflection distally (avoid tears) Reflect with periosteal elevator firmly on bone Avoid dissection occurring superficial to periosteum Reduce soft tissue bruising / trauma - Papilla mucogingival junction - Mitchell’s trimmer Howarth’s periosteal elevator Ash Periosteal Elevator Curved Warwick James elevator
35
what is this?
howarth elevator
36
what is this
mitchell trimmer
37
what is this?
ash elevator
38
what is this
rake retractor
39
what is this
Minnesota retractor
40
what are the steps of retraction for surgical removal
- Access to operative field Protection of soft tissues Flap design facilitates retraction Howarth’s periosteal elevator, rake retractor or Minnesota retractor Should be done with care Atraumatic / passive retraction Rest firmly on bone Awareness of adjacent structures, e.g. mental nerve
41
- what is the steps for bone removal of surgical removal - what can air driven handpieces cause
- Electrical straight handpiece with saline cooled bur Round or fissure stainless steel & tungsten carbide burs Protection of soft tissues It is carried out on the buccal aspect of the tooth and onto the distal aspect of the impaction The intention is to create a deep, narrow gutter around the crown of the wisdom tooth Not a shallow, broad gutter Bone should be removed to allow correct application of elevators on the mesial and buccal aspects of the tooth - Air driven handpieces may lead to surgical emphysema
42
why do you start on distal for bone removal
start on distal then move round to mesial as starting from mesial creates risk of plunging into soft tissues
43
- how do you do a horizontal crown section? - how do you section for a coronectomy?
- When sectioning to remove entire tooth section above the enamel – cementum junction. This leaves some crown behind and allows orientation and elevation. Further Sectioning of roots after horizontal crown section if required. Then roots elevated individually. - When carrying out coronectomy – section below enamel – cementum junction.
44
- how are tooth divided in surgical removal?
- Most commonly the crown of the tooth is sectioned from the roots and the crown and roots are elevated as individual items Sometimes further separation of the roots with a bur is required following elevation of the crown, and each root is elevated as an individual item
45
- how do you do a vertical crown section?
- Where the roots are separate, the tooth may be sectioned longitudinally/vertically This allows removal of the distal portion of the crown and distal root, followed by elevation of the mesial portion of the crown and mesial root
46
how do you do the debridement part of surgical removal?
Physical Bone file or handpiece to remove sharp bony edges Mitchell’s trimmer or Victoria curette to remove soft tissue debris Irrigation Sterile saline into socket and under flap Suction Aspirate under flap to remove debris Check socket for retained apices etc When the tooth is removed any debris must be cleaned out and any follicular tissue or granulation tissue from chronic infection should be curetted – especially that hidden behind the second molar You must irrigate below the flap before you reposition it
47
- what are steps for suturing and what are aims?
Approximate tissues Compress blood vessels Aims Reposition tissues Cover bone Prevent wound breakdown Achieve haemostasis
48
what is this suture called
envelope
49
why is suture put here
if you feel papilla is free
50
what are complete steps of coronectomy?
Flap design as necessary to gain access to tooth. Generally – standard wisdom tooth flap designs Transection of tooth 3-4mm below the enamel of the crown into dentine Elevate/lever crown off without mobilising the roots Pulp left in place – untreated If necessary – further reduction of roots with a rose head bur to 3-4mm below alveolar crest (not always possible) Socket irrigated Flap replaced – some reposition flap leaving socket open, some close flap completely (primary closure with periosteal release if necessary) Antibiotics not prescribed routinely
51
what is follow up for coronectomy?
Review 1-2 weeks Further review 3-6 months then 1 year. Some review at 2 years but most discharge back to GDP after 6 months or 1 year review Radiographic review – 6 months or 1 year; or both. Thereafter if symptomatic. Some take an immediate or 1 week post op radiograph
52
what must you warn patient about for coronectomy?
If the root is mobilised during crown removal the entire tooth must be removed (more likely with conical fused roots) Leaving roots behind could result in infection (rarely seen) Can get a slow healing/painful “socket” The roots may migrate later and begin to erupt through the mucosa; and may require extraction
53
- when can upper third molars be difficult to remove? - what must you support for upper third molars removal and what is there a risk of?
- dense bone or limited mouth opening - Support the tuberosity with finger and thumb If there is undue resistance to elevation/extraction then excessive force can fracture the tuberosity – the use of forceps and support to the tuberosity should reduce this risk in these circumstances