Third Molars 2 Flashcards

(56 cards)

1
Q

3 main parts of assessment for third molars

A
  1. History
  2. Clinical Examination
  3. Radiographic Assessment
How well did you know this?
1
Not at all
2
3
4
5
Perfectly
2
Q

Which underlying systemic diseases may affect normal healing processes?

A

Diabetes
Chronic renal disease
Liver disease
Bleeding disorders
Immunosuppression
Radiation / Chemotherapy

How well did you know this?
1
Not at all
2
3
4
5
Perfectly
3
Q

Name 3 drugs you should consider within MH

A

contraception
steroid therapy
bisphosphonates

How well did you know this?
1
Not at all
2
3
4
5
Perfectly
4
Q

What questions might you ask regarding previous extractions?

A

Have they had any previous extractions - how did they find this?
Any post-op infections?
Any post-op bleeding episodes?

How well did you know this?
1
Not at all
2
3
4
5
Perfectly
5
Q

Why might you assess TMJ during 3M3 clinical assessment?

A

3M pain may affect TMJ

TMD can show same presentation as pericoronitis - want to avoid mis-diagnosis

patient may return after M3M c/o clicking jaw - want to have note that this was happening pre-surgery

How well did you know this?
1
Not at all
2
3
4
5
Perfectly
6
Q

what 3 factors is the degree of surgical access guided by?

A
  1. mouth opening
  2. size of oral cavity
  3. tongue
How well did you know this?
1
Not at all
2
3
4
5
Perfectly
7
Q

Why is limited mouth opening important to consider in regards to surgery for M3M

A

increases surgical difficulty?

How well did you know this?
1
Not at all
2
3
4
5
Perfectly
8
Q

What considerations must you take into account when assessing lymph nodes during extra-oral examintation

A

is there lymphadenopathy present?
Are lymph nodes enlarged/tender?
Is this unilateral / bilatera;?

How well did you know this?
1
Not at all
2
3
4
5
Perfectly
9
Q

What would you clinically assess regarding the M3M during I/O exam?

A

The M3M condition
Its eruption potential
(fully / partially / unerupted)
Is there an operculum present?

How well did you know this?
1
Not at all
2
3
4
5
Perfectly
10
Q

What eruption class would you give a M3M which has no clinical signs of eruption but communication present on probing?

A

Partially erupted

How well did you know this?
1
Not at all
2
3
4
5
Perfectly
11
Q

What would you assess regarding the operculum during an I/O exam?

A

Is there an operculum present?
It is inflamed?
Is there any pus?
Is there evidence of food trapping?
is there any caries presetn?

How well did you know this?
1
Not at all
2
3
4
5
Perfectly
12
Q

List 9 components of an I/O exam for M3M assessment

A
  1. soft tissue exam
  2. dentition
  3. M2M
  4. M3M (eruption status)
  5. condition of remaining dentition
  6. occlusion
  7. OH
  8. caries status
  9. periodontal status
How well did you know this?
1
Not at all
2
3
4
5
Perfectly
13
Q

What is the lower 7 and ascending ramus known as during M3M assessment

A

working space

How well did you know this?
1
Not at all
2
3
4
5
Perfectly
14
Q

What are the two components of the working space

A

lower 7
ascending ramus

How well did you know this?
1
Not at all
2
3
4
5
Perfectly
15
Q

What factors do you need to take into account when assessing the occlusion during an I/O

A

are the upper 7/8 occluding on the operculum

are all of the 8s present (are they impacted / causing problems / are they functioning?

How well did you know this?
1
Not at all
2
3
4
5
Perfectly
16
Q

What 2 factors would not not justify radiographic assessment of M3Ms

A

Patient states they do not want surgical removal of M3M

No symptoms, no signs of third molars

How well did you know this?
1
Not at all
2
3
4
5
Perfectly
17
Q

What is the radiograph of choice when considering M3M surgery

A

OPT

How well did you know this?
1
Not at all
2
3
4
5
Perfectly
18
Q

9 components of a radiographic report of M3Ms

A
  1. presence or absence of disease
  2. anatomy of 3M
  3. depth of impaction
  4. orientation of impaction
  5. working distance
  6. follicle width
  7. periodontal status
  8. relationship or proximity of upper 3M to maxillary antrum / lower 3M to ID canal
  9. any other associated pathology
How well did you know this?
1
Not at all
2
3
4
5
Perfectly
19
Q

Radiographically, what would you report on regarding the anatomy of the third molar in a radiographic report.

A
  • caries
  • size and shape of crown
  • number of roots
  • root morphology
    (crown to root ratio)
How well did you know this?
1
Not at all
2
3
4
5
Perfectly
20
Q

What are the three categories when reporting on depth of impaction of within a radiographic report?

A
  • superficially impacted
  • moderatley impacted
  • deeply impacted
How well did you know this?
1
Not at all
2
3
4
5
Perfectly
21
Q

What is the dental follicle?

A

Tissue surrounding the crown of the developing tooth

How well did you know this?
1
Not at all
2
3
4
5
Perfectly
22
Q

What measurements would be considered outside the normal limits of dental follicle size which would cause suspicion

A

> 2.5 - 3mm

Pathology concern

How well did you know this?
1
Not at all
2
3
4
5
Perfectly
23
Q

What 8 radiographic signs may suggest close relationship between M3M + ID canal?

A
  1. Interruption to tram lines of ID canal
  2. Darkening of root where crossed by canal
  3. Diversion / deflection of ID canal
  4. Root deflection
  5. Narrowing of ID canal
  6. Narrowing of root
  7. Dark + bifid root
  8. Juxta-apical area
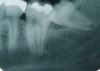
24
Q

What 3 radiographic signs are associated with a significantly increased risk of nerve injury during M3M surgery?

A
  1. Diversion of canal
  2. Darkening of root
  3. Interruption of white lines of canal (lamina dura)
25
What radiographic sign is this showing in regards to M3M surgery risk to ID canal
Diversion / deflection of ID canal
26
What radiographic sign is this showing in regards to M3M surgery risk to ID canal
Darkening of the root where crossed by the canal
27
What radiographic sign is this showing in regards to M3M surgery risk to ID canal
Interruption of white lines / lamina dura of the ID canal
28
What radiographic sign is this showing in regards to M3M surgery risk to ID canal
Deflection of the root
29
What radiographic sign is this showing in regards to M3M surgery risk to ID canal
Narrowing of ID canal
30
What radiographic sign is this showing in regards to M3M surgery risk to ID canal
Narrowing of root
31
What radiographic sign is this showing in regards to M3M surgery risk to ID canal
Dark + bifid root (root appears to split / divide over ID canal)
32
What radiographic sign is this showing in regards to M3M surgery risk to ID canal
Juxta Apical Area
33
Desribe a juxta apical area on a radiograph regarding third molars
- not pathological] - usually a well defined area - can appear corticated - located around apex or just lateral to root - lamina dura intact
34
If we have taken an OPG + require further radiographic assessment what do we request?
CBCT
35
What are the benefits of using CBCT to assess third molars for surgery
- three dimensional, therefore can trace the canal - ability to assess the exact relationship of the tooth + canal - reports very useful info e.g. bone between tooth + canal / if canal being compressed by tooth - aids informing patient about the procedure - limited field of view therefore advantageous for image reconstruction + radiation dose to patient
36
Aside from CBCT, what is another example of further imaging radiographically?
periapicals
37
When would a periapical radiograph be useful after an OPG
if caries was detected in the OPG Periapicals taken of teeth of concern to assess caries
38
If CBCT is unavailable, what other imaging can be used instead
CT scan
39
what are the 5 types of wisdom tooth impaction?
1. vertical 2. mesial 3. distal 4. horizontal 5. transverse or abarrant
40
what is the most common type of impaction
vertical
41
what is the rarest type of impaction
transverse or abarrant
42
what are the %'s of incidence of different types of impaction
vertical = ~30-38% (most common) mesial = ~40% distal = ~6-15% horizontal = ~3-15% transverse / abarrant = rare
43
Describe what an abarrant position is and give two examples of where this location might be
= tooth positioned in odd place e.g. midway up ramus of mandible / lower border of mandible
44
What do we use to measure the angulation of the third molar?
The Curve of Spee Line drawn vertically through both third and second molar. Angulation compared.
45
What is the Curve of Spee?
the natural curve if you follow the cusps of the natural dentition
46
what is the angulation of the lower left and right third molars
lower left = horizontally impacted lower right = mesially impacted
47
what is the angulation of the lower left and right third molars
lower left = distally impacted lower right = horizontally impacted
48
what is the angulation of the lower left and right third molars
lower left = distal impaction (angled backwards towards ramus) lower right = true vertical impaction (following same course as 7, coming into length of curve of spee)
49
what is the angulation of the lower right third molar
transverse orientation
50
what is the angulation of the lower left third molar
abarrant orientation (tooth positioned far ramus of mandible)
51
Describe what is meant by 'superficial' depth of impaction
Crown of 8 related to crown of 7
52
Describe what is meant by 'moderate' depth of impaction
Crown of 8 related to crown + root of 7
53
Describe what is meant by 'deep' depth of impaction
Crown of 8 related to root of 7
54
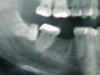
Describe he impaction depths for the lower left and right third molars.
lower right = moderate lower left = superficial
55
Describe the depth of impaction for A + B
A = superficial B = moderate
56
In this case, what 'other radiographic finding' would you note + mention to patient
Overhang on restoration of 7 - risk of fracturing during extraction of 8