What are the two types of pulmonary sequestration and how are they different?
Both are a “bronchopulmonary foregut malformation.” Abnormal lung tissue with no connection to the bronchial tree and systemic arterial supply.
Intralobar- more common (75%). Venous drainage through the pulmonary veins.
Extralobar- more common in the left lower lobe, rarely can be seen below the diaphragm. Has its own pleura. Systemic venous drainage. Usually presents earlier. Associated with other anomalies (diaphragmatic hernia, congenital heart disease, CCAM), and may be connected to the GI tract.
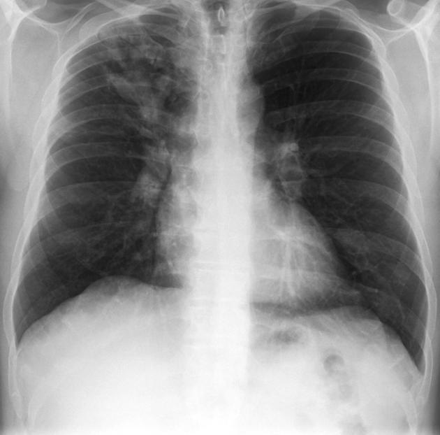
Patient with recurrent epistaxis. Diagnosis?
Genetics?

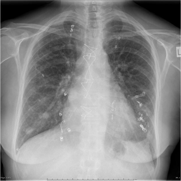
Multiple (coiled) AVMs in hereditary hemorrhagic telangiectasia (Osler-Weber-Rendu). Telangiectasia, recurrent epistaxis, and multiple-organ AV malformations.
Autosomal-dominant disorder of variable penetrance, chromosomes 9 and 12.
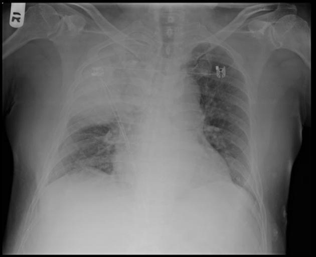
Diagnosis?
Other imaging findings?
Associations?

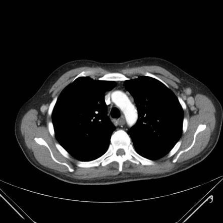
Proximal interruption of the (right) pulmonary artery. Can occur on either side, typically on the side opposite the aortic arch. The distal pulmonary vasculature receives blood from systemic collaterals.
Volume loss of the affected hemithorax and deviation of the mediastinum to the affected side.
Interruption of the left PA is associated with congenital heart disease, including tetralogy of Fallot and truncus arteriorus.
Genetics of alpha1-antitrypsin deficiency?
Complications?
Inherit 2 protease inhibitor deficiency alleles of the AAT gene on chromosome 14. Leads to absent or reduced serum levels of AAT (a protein that prevents enzymes such as elastase from digesting normal tissue).
Panlobular emphysema, greatest in the lower lungs. Can also develop liver disease (cholestasis and cirrhosis), have an increased risk of HCC.
What is a Pancoast tumor?
What stage?
Symptoms of Pancoast syndrome?
A primary lung cancer in the apex that invades the chest wall and thoracic inlet. Usually a non-small cell cancer: 40% SCC, 20% adenocarcinoma, 25% anaplastic or poorly differnetiated.
T3 due to chest wall invasion. T4 if invasion extends to mediastinum or vertebral body.
Shoulder and arm pain (usually along C8-T2 distributions), Horner syndrome (ptosis, ipsilateral myosis, anhidrosis), weakness and atrophy of the muscles of the hand.
Most common imaging appearance of small cell lung cancer?
Demographic?
Staging?
Large, bulky mediastinal or hilar mass causing bronchial narrowing or obstruction.
Almost exclusively in smokers. More common in men. Presents younger than non-small-cell, worse prognosis. Arises from the epithelium of the proximal airways (neuroendocrine cells), and is considered a type of neuroendocrine carcinoma- some secrete metabolically active substances).
Pre-2013, was classified as limited (tumor confined to one hemithorax, the mediastinum, and one ipsilateral supraclavicular node) or extensive (metastatic to the contralateral hemithorax or beyond, or if can’t be encompassed by one radiation port). Now uses same TMN system as non-small cell.
What are some things on the differential diagnosis for ground glass opacities?
Low grade adenocarcinoma (BAC), pneumonia (viral, PCP, or atypical- legionella, mycoplasma, chlamydia), DIP, NSIP, pulmonary edema, drug toxicity, alveolar hemorrhage.
This patient has chronic TB. Diagnosis?

Rasmussen aneurysm- a rare complication of pulmonary TB that can cause massive hemoptysis.
It is a pulmonary artery pseudoaneurysm which develops as a result of direct continuity with the fibrocaseous TB infection, get direct invasion of the artery wall (versus typical mycotic aneurysm caused by septic emboli).
What is this pattern?
What is the etiology?
What disease processes can cause it?

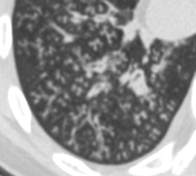
Tree in bud pattern.
Caused by bronchiolar impaction and dilation by pus/mucus/fluid/inflammatory exudate.
Nonspecific- mostly caused by infections/inflammatory conditions. Possibilities include: active TB, MAI, viral pneumonia, fungal pneumonia, obliterative bronchiolitis, cystic fibrosis, immotile cilia syndrome, RA, and neoplastic.
25 year old with asthma and chronic cough. Diagnosis?
Cause?

Allergic bronchopulmonary aspergillosis (ABPA). Imaging findings: upper lobe predominant central bronchiectasis, mucus plugging (may be high density due to presence of fungus), and pulmonary consolidation (may represent eosinophilic pneumonia).
A rare complication of persistent asthma and cystic fibrosis. A hypersensitivity reaction to Aspergilus organisms, which colonize and multiply in mucus. The fungus does not invade tissue. Marked local and systemic eosinophilia.
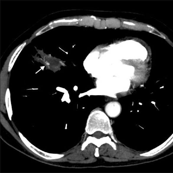
What are 2 possible appearances of Klebsiella pneumonia?
One of the Gram-negative bacilli that is commonly seen in hospital acquired pneumonias. Very commonly cavitates. Can also cause lobar consolidation with lobar expansion and bulging of the interlobar fissures (bulging fissure sign, below).

What are some of the typical imaging features of viral pneumonia?
Common causative organisms in immunocompetent / immunocompromised hosts?
Reflects the combination of interstitial and air-space disease. May see: multifocal, poorly defined areas of patchy consolidation, ground-glass opacities, centrilobular nodules, reticular opacities (resulting from interlobular septal thickening), consolidation, bronchial wall thickening, atelectasis.
Immunocompetent: Influenza A and B, adenovirus, Epstein-Barr virus, hantavirus.
Immunocompromised: CMV, herpes simplex, varicella-zoster, measles, adenovirus.
AIDS patient. Diagnosis?
Other imaging appearances?

Pneumocystis pneumonia. An opportunistic infection caused by Pneumocystis jiroveci. Most common in AIDS patients with profound T-cell immunosuppression, less commonly seen in patients with other forms of immunosuppression.
Imaging appearance: Ground-glass opacities in the parahilar regions and upper lobes. Severe cases may present with dense air-space consolidation. If there is interlobular septal thickening, can have crazy-paving pattern. May develop pulmonary cysts (risk of spontaneous pneumothorax). Chest x-ray can be normal. Pleural effusion and LAD uncommon.
What causes tracheobronchial papillomatosis?
Imaging appearance?
Human papillomavirus infection (types 6 and 11), usually acquired at birth from a mother with genital papillomas. The virus induces a papillary proliferation of epithelial cells, which projects into the lumen of affected airways.
The most common site of involvement is the larynx > trachea > lung parenchyma. If in the lungs, see multiple small pulmonary nodules that may cavitate. Risk of malignant transformation to SCC or adenocarcinoma.
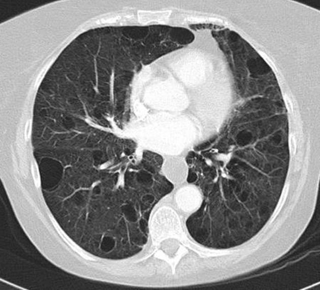
In an immunosuppressed patient (especially neutropenic), what should a dense nodule with surrounding ground glass halo make you think of?
Angioinvasive aspergillosis. The ground-glass represents alveolar hemorrhage and the consolidation corresponds to a focus of infarction.
Could also be other fungal infection (esp mucormycosis, less likely candidiasis or coccidiomycosis). About half of these nodules evolve to cavitation.
Patient with right lung transplant 3 days ago. Diagnosis? Appearance on CT?
Differential?

Reperfusion pulmonary edema. Noncardiogenic pulmonary edema commonly seen in the first 2-3 days after lung transplant.
On CT, see ground-glass opacities that may progress to consolidation. Start in the perihilar regions. May also see interlobular septal thickening.
If the opacities last beyond 10 days, think of other causes such as rejection or pneumonia.
HIV positive patient. Diagnosis?
What is this condition?

Multicentric Castleman disease (multicentric because of simultaneous involvement of different anatomic sites).
Castleman disease (aka angiofollicular lymph node hyperplasia) - is an uncommon benign lymphoproliferative condition. Most commonly described as a solitary mediastinal mass. In the HIV population, mediated by HHV type 8.
45 year old woman with an autoimmune disease. Diagnosis? What underlying disease is she most likely to have?
What about if she was a child?
Cause of this diagnosis?

Lymphocytic interstitial pneumonia. Imaging findings consist of ground-glass opacities, centrilobular nodules, bronchovascular bundle thickening, and pulmonary cysts. The lower lobes are most involved.
Most common in middle aged women with some sort of immune dysfunction, most commonly Sjögren syndrome. Other conditions include autoimmune thyroiditis and lupus.
In children, LIP is considered to be an AIDS-defining illness.
This is a lymphoproliferative condition in which the lungs are diffusely infiltrated with benign lymphoid elements, especially in the interlobular and alveolar septa.
What is re-expansion pulmonary edema?
Pulmonary edema developing following rapid re-expansion of a lung collapsed by pneumothorax or large effusion (especially if it was collapsed > 72 hours). Edema can rarely be bilateral.
A patient comes in with heroin overdose, shortness of breath, and bilateral alveolar opacities. Diagnosis?
Heroin-induced pulmonary edema. A rare but serious complication of heroin overdose. Caused by increased capillary permeability, not heart failure. Can also see patchy atelectasis and nodular opacities.
Note- cocaine is known to produce both cardiogenic and noncardiogenic pulmonary edema.
What are the manifestations of asbestos-related pleural disease?
Earliest manifestation- pleural effusion. Typically hemorrhagic, occurs ~10 years after exposure, then should resolve.
Most common manifestation- pleural plaques. Occur 20-30 years after exposure. Commonly bilateral, involve mid and lower pleural surfaces, calcified in ~15%. Composed mainly of acellular collagen.
Malignant mesothelioma- 20+ years post exposure; recurrence of effusion, nodular and enhancing pleural thickening, invasion of adjacent structures.
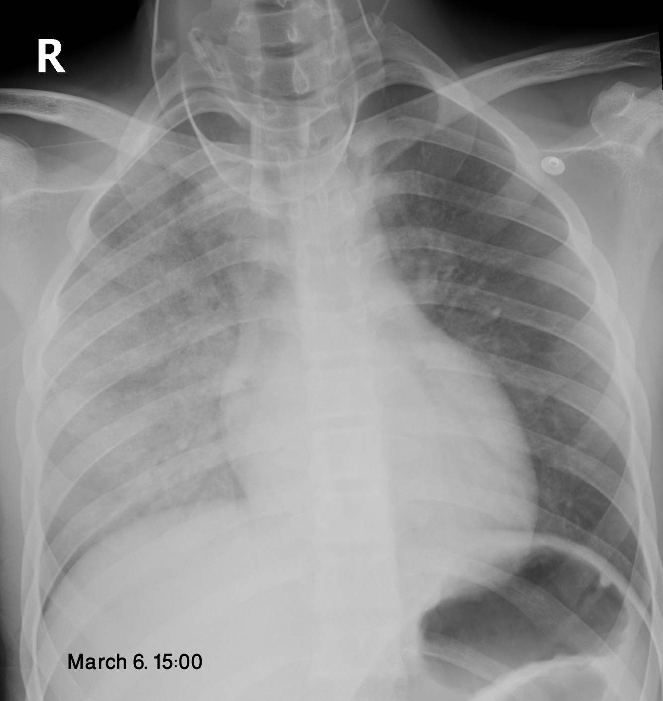
60 year old miner. Diagnosis?
Early appearance?

Complicated silicosis (progressive massive fibrosis). This is the most prevalent pneumoconiosis, a result of silicone dioxide depositing in the respiratory bronchioles. Seen in mining, tunneling, quarrying, sandblasting, polishing, and stonecutting.
Simple silicosis- multiple small (1-10 mm) uniform pulmonary nodules, often in a centrilobular distribution. Greatest in the upper lobes, peripherally. Can progress to complicated silicosis (PMF) as in this case- confluent nodules and fibrosis. May see eggshell calcifications in hilar and mediastinal lymph nodes.
What is Caplan syndrome?
Rheumatoid pneumoconiosis. A rare variant of pneumoconioses, seen in patients with rheumatoid disease and lung involvement. Large necrobiotic nodules superimposed on a background of multiple pulmonary nodules.
Woodworker. Diagnosis?
Cause?
Imaging findings?

Hypersensitivity pneumonitis (acute-subacute). A result of inhalation of airborne particles, which cause an immune mediated reaction. Causative particles include bacteria, fungi, avian proteins, wood dusts, and chemical compounds.
Acute/subacute- centrilobular ground glass nodules and patchy ground glass opacities, air trapping (due to respiratory bronchiolitis). Usually greatest in the mid lungs.
Chronic- air trapping, interstitial fibrosis with traction bronchiectasis, may develop some honeycoming, tends to be worst in the upper lungs. Poor prognosis if fibrosis develops.