Disorders that can lead solitary thyroid nodules
Characteristics of Hurthle cell adenoma
Characteristics of Hurthle cell carcinoma
Minimally invavsive vs. Widely invasive Hurthle cell carcinoma
Common cause multiple thyroid nodules
Microscopic appearance of Papillary thyroid carcinoma
Causes of papillary thyroid carcinoma (PTC)
Characteristics of papillary thuroid carcinoma
Characteristics of Anaplastic carcinoma
Characterics of medullary carcinoma
Microscopic findings/immunostains in medullary carcinoma
Characteristics of thyroid lymphoma
Basic types of thyroid nodules
Main tests are helpful to evaluate for thyroid nodule
Characterstics of serum TSH in evaluation of thyroid nodules
Characterstics of serum thyroid scan in evaluation of thyroid nodules
Characteristics of thyroid ultrasound (US) in evaluation of thyroid nodules
Characteristics of Fine Needle Aspiration Biopsy (FNAB) in evaluation of thyroid nodules
Characteristics of suspicious or indertminate cytology on FNAB
Cytologic features of benign FNAB
Flat sheets of cells →
Round uniform nuclei, “honey-comb” appearance

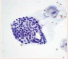
Cytologic features of papillary cancer on FNAB
Cytologic features of follicular neoplasm on FNAB
Abundant cells, often in sheets or forming microfollicles
Cytologic features of hurthle cell neoplasm on FNAB
Cytologic features of medullary carcinoma on FNAB