What is the agent associated with infectious thyroiditis?
Tuberculosis
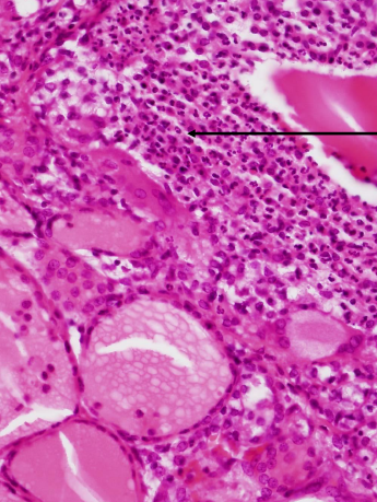
Subacute (de Quervain) granulomatous thyroiditis

Hashimoto’s Thyroiditis
Morphology
Histology

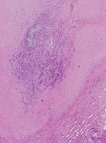
Fibrosing thyroiditis
Morphology
Histology

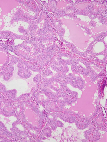
Graves’ Disease Histology
Irregular follicles and scalloped colloid

Goiter Histology
Solitary Palpable Thyroid Nodule Epidemiology
What are fine needle aspirates?
What are the benefits?
What are they diagnostic for?
What can they not diagnose?
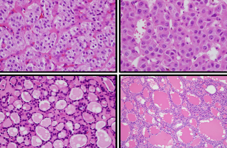
Follicular Adenoma
Morphology?
Functional?
Transformation risk?
Thyrotoxicosis?
Follicular Adenoma
Cellular Characteristics

Thyroid carcinoma
Epidemiology
Biggest Risk Factor
Thyroid Carcinoma
Genetics (Mutation, Chromosomal Abnormalities, Fusion Gene)
Papilarry CA
Relative prevalence
Epidemiology
Prognosis
Metastatic route
Papillary CA Histology
What are the most important features?

Follicular CA
Relative prevalence
Epidemiology
Presentation
Prognosis
Metastatic route
Follicular CA
Role of histology for diagnostics
Criteria for malginancy
Distinguishing from follicular adenoma

Papillary vs Follicular CA
Architecture
Diagnostic criteria
Psammoma bodies
Age at presentation
Focality
Predisposing factors
Metastatic spread
Prognosis
Medullary CA
Relative prevalence
Cell lineage
Origin
Prognosis
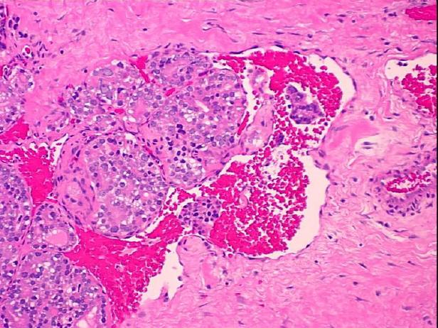
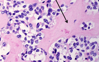
Medullary CA
Histology
Immunochemistry

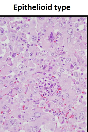
Anaplastic CA
Relative prevalence
Origin and stage
Age
History
Spread
Prognosis
Anaplastic CA
Histology

Other thyroid carcinomas and relative prevalences