What is a development abnormality of the thyroid?
What about from inflammation?
Hyperplasia in the thyroid is d/t
What neoplasias do we see in the thryoid gland?
Neoplasia - Benign tumors (follicular adenoma)
Hashimoto Thyroiditis is an autoimmune disorder, what antibodies do we see in this disease?
Anti-TPO, anti-Tg
Gross appereance of hashimotos
diffuse enlargement and very nodular looking
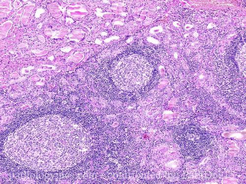
Lymphocytic inflammation
– Germinal centers
– Hurthle cell change
All microscopic findings in:

Hashimoto thyroiditis
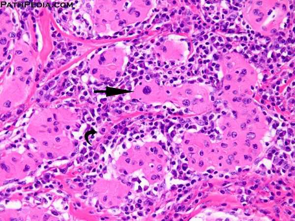
What type of cell is in the pictuer that is seen in Hashimotos?

Hurthle cells; have more cytoplasm; its more pink and is dt inflammation
Suppurative (neutrophils)
Granulomatous (giant cells)
seen in what thyroid disease?

Subacute Thyroiditis (de Quervain)
Causes of Subacute Thyroiditis (de Quervain)
Viral or postviral response • Painful, self-limited disease
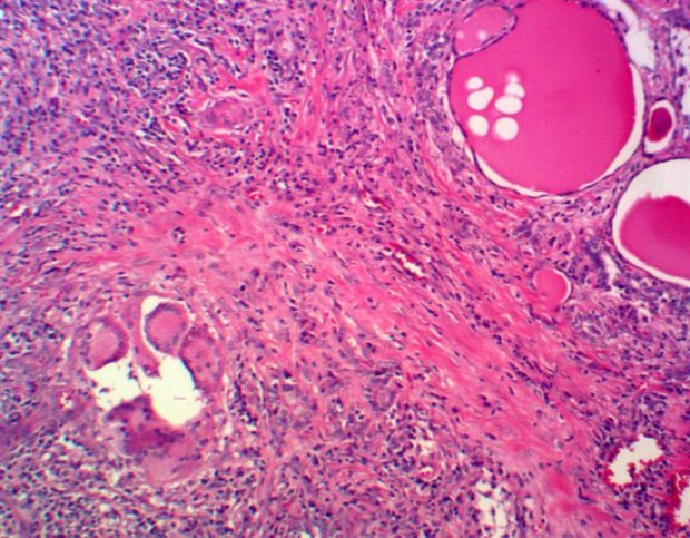
Describe Riedel or Fibrous Thyroiditis
– Dense fibrosis • Collagen fibers
– Fibrosis can extend outside of thyroid
seen in what type of thyroiditis?

Fibrious or Riedel Thyroiditis
Autoimmune disease causing thyroid hyperplasia, most common cause of endogenous hyperthryroidism
Graves
Describe the apperance of Graves thryoid on microscopy
See irregular follicles and scalloped colloid

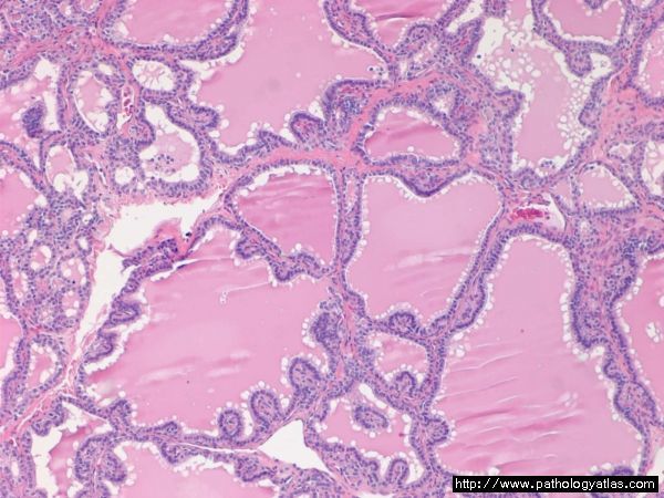
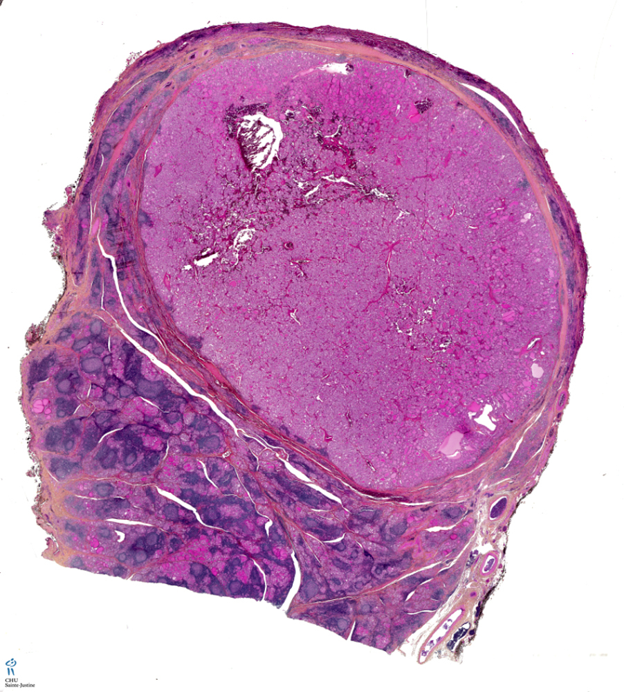
Histology of a Goiter
columnar
Variably
Abundant
What happens overtime in pt with recurrent episodes of goiter?
Recurrent episodes lead to a multinodular gland (i.e., “multinodular goiter”) • With time will develop degenerative changes (cysts, fibrosis, calcification, hemorrhage)

Describe the histology seen from goiter below

variable sized colloid filled follicles and see nodule throuhgout
How common are solitary thyroid nodules?
are they often benign or maligant?
Incidence in US is between 1 and 10%
When would a FNA be useful?
Can be diagnostic in papillary carcinoma, medullary carcinoma, lymphoma and metastatic tumors
What is a limitiation of FNA?
Cannot differentiate follicular adenoma from follicular carcinoma or from hyperplastic nodules
Benign neoplasm with various morphologic appearances (follicular, microfollicular, trabecular, Hurthle cell, etc.); however, this is not clinically significant
• Most are nonfunctional
Follicular Adenoma
Are we concerend about follicular adenomas progressing to cancer? What if they are funcitonal?
nope
functional = toxic adenomas and cause thyrotoxicosis

key findings of Follicular Adenoma