Key points
Goiter caused by thyroid follicular hyperplasia is the most common cause of thyroid enlargement
Graves disease is the most common cause of hyperthyroidism and Hashimoto is the most common cause of hypothyroidism
Hyperparathyroidism is much more common than hypoparathyroidism
Key points
Follicluar adenomas are the most common benign thyroid tumors, whereas papillary carcinomas are the most common malignant tumors
Hypoparathyroidism is most often caused by accidental removal of parathyroids during surgery
Thyroid gross

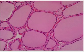
Thyroid histo
Histo: Colloid in the middle surrounded by follicular cells and C cells can be seen via IHC stain

What is cretinism?
Lack of iodine during development leading to severe developmental deficiencies including mental retardation
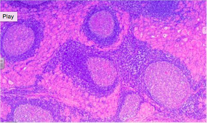
What is this? Describe the prominent histologic features.

Hashimoto’s thyroiditis
NOTE: In all variants of Hashimoto’s, the patient will start out hyperthyroidic and then will become hypothyroid in the long term AND the goiter will be PAINLESS

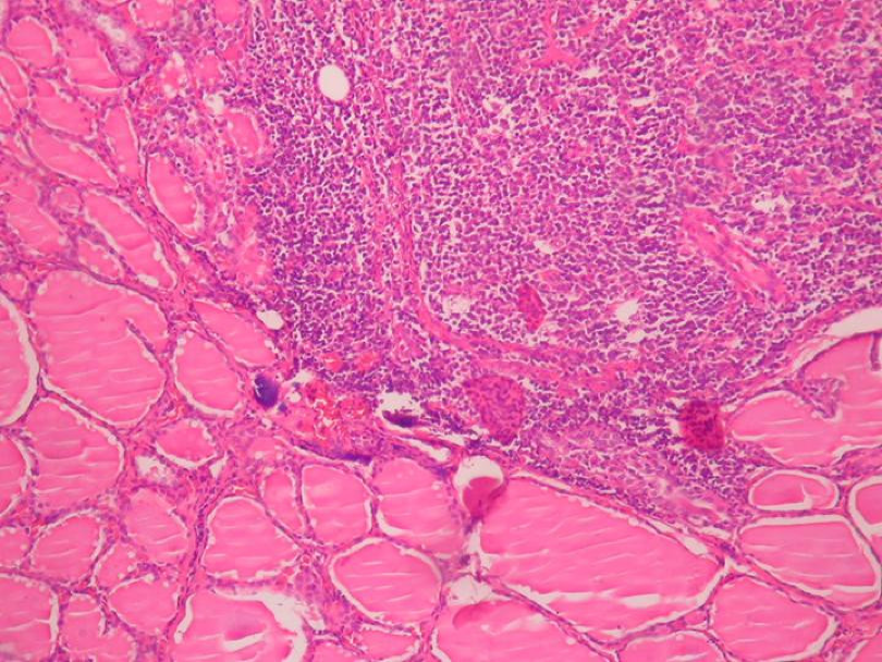
Give an overview subacute granulomatous thyroiditis
Uncommon self-limiting (6-8 weeks) virally-induced autoimmune (cytotoxic T-cell mediated) disease common in women in 40-60s that presents clinically as diffuse thyroid pain and flu-like symptoms and clinically as mild **hyper**thyroidism which is usually followed by a period of hypothyroidism.

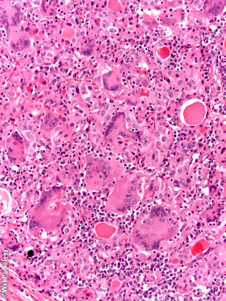
What is this?

Subacute granulomatous thyroiditis marked by acute inflammation as well as lymphocytes, macrophages, and giant cells and follicular destruction
Describe Subacute Lymphocytic Thyroiditis –
Aka painless thyroiditis – variant of Hashimotos
An autoimmune disease of middle aged women with Abs against thyroid peroxidase that presents as mild, painless goiter or hyperthyroidism, and most patients recover while a small percentage progress to hypothyroidism (1/3rd)
NOTE: By definition excludes women who have a painless thyroiditis syndrome within one year after a delivery, abortion, or miscarriage (aka post-partum thyroditis)
What is happening here?

In subacute lymphocytic thyroiditis, there is more follicle destruction seen but less inflammation, germinal centers, and fibrosis than Hashimoto’s
Notes about subacute lymphocytic thyroiditis and postpartum thyroditis
These are variants of Hashimoto’s thyroiditis and thus are most associated with painless thyroiditis and may evolve to hypothyroidism (more common in postpartum than subacute) and look like Hashimotos under the scope – so you can’t really distinguish them histologically
Rule of thumb: If the patient presents within a year of birth go with postpartum thyroiditis. Also, if therapy is needed it will be tapered since most of these patients recover (both variants recover)
Describe postpartum thyroiditis
The classic description of postpartum thyroiditis includes thyrotoxicosis followed by hypothyroidism. The thyrotoxic phase occurs 1-4 months after delivery of a child, lasts for 1-3 months and is associated with symptoms including anxiety, insomnia, palpitations (fast heart rate), fatigue, weight loss, and irritability.
It is much more common for women to present in the hypothyroid phase, which typically occurs 4-8 months after delivery and may last up to 9 –12 months. Typical symptoms include fatigue, weight gain, constipation, dry skin, depression and poor exercise tolerance.
Most (80%) women will have return of their thyroid function to normal within 12-18 months of the onset of symptoms and the remaining 20% will remain hypothyroidic
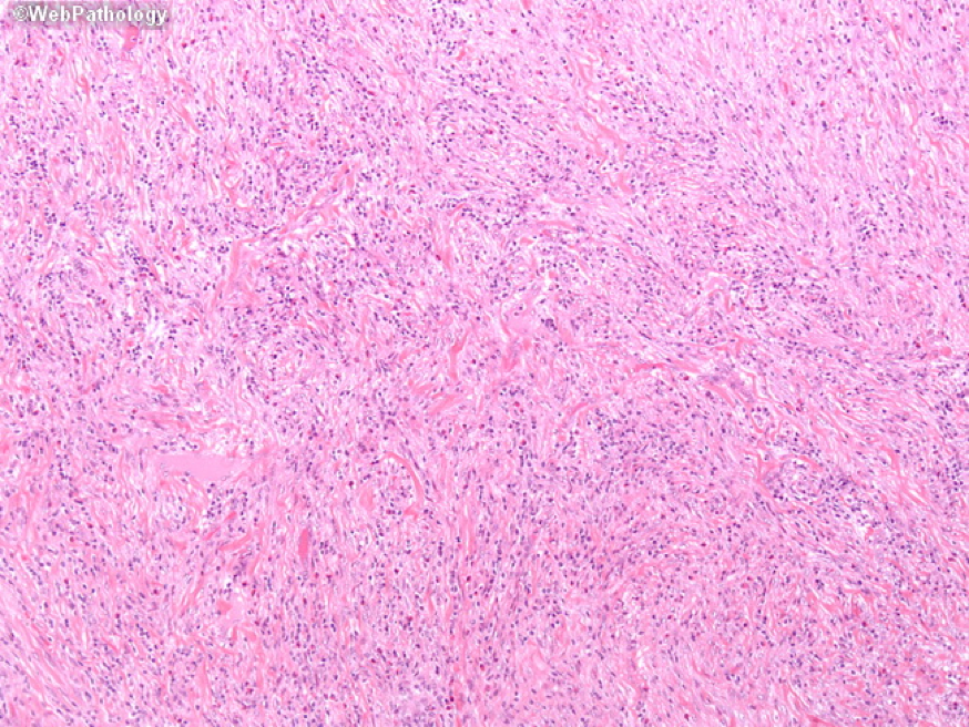
What is this?

Riedel Thyroiditis- characterized by extensive fibrosis in the thyroid and possibly other parts of the body and may be IgG4 related
Image: Fibrosis laden with lymphocytes and hyperplastic germinal centers so clinically the thyroid is going to be extremely hard and non-mobile
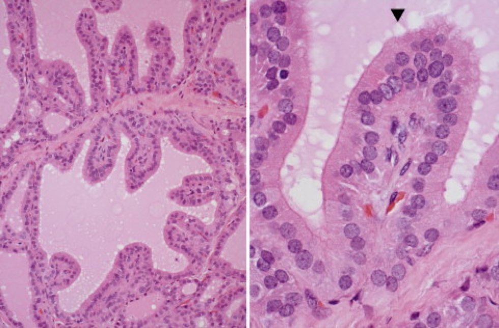
What is this? HLA association?

Graves’ Disease- the most common cause of hyperthyroidism. An autoimmune disease with autoantibodies (TSH and thyroid growth-stimulating immunoglobulins-TSI- (seen in 90% of patients and is specific to Graves’) to TSH receptors that mimic the actions of TSH

•Association with HLA-DR3 and a strong genetic predispostion
Image: Thyroid hyperplasia characterized by papillary infoldings
How does Graves disease present?
Common in women aged 20-40. Labs will show decreased TSH and increased T4/T3 and clinically you will see symmetrical enlargement of the thyroid gland due to follicular cell hypertrophy with varying degrees of hyperthyroidism, bulging eyes (aka infiltrative ophthalmopathy), followed by infiltrative dermatopathy (aka pertibial myxedema) from GAGs and lymphocyte deposition
NOTE: Radioiodine scans will show a diffusely increased uptake of iodine

What is pretibial myxedema (aka localized myxedema)?
An autoimmune manifestation of Graves’ disease (It also occasionally occurs in Hashimoto’s thyroiditis) caused by Abs against TSH binding to fibroblast receptors (All patients with localized myxedema have high serum concentrations of TSH receptor antibodies, indicating the severity of the autoimmune condition) causing increased deposition of GAGs and typically occurring after the onset of ophthalmopathy and is usually only a cosmetic concern
. Cytokines such as TNFa and y-IFN induce GAG release from fibroblasts, and may be secreted by Th1 type T cells activated by TSH receptor antigen

What causes goiter (enlargement of the thyroid)?
Caused by impaired synthesis of thyroid hormone (most commonly due to dietary iodine deficiency) that leads to a compensatory rise in serum TSH levels causing hypertrophy of the gland
NOTE: The compensatory increase in functional mass of the gland overcomes the hormone deficiency, ensuring a euthyroid metabolic state in most individuals
What are goitrogens?
substances that can be ingested that interfere with thyroid hormone synthesis at some level, such as cabbage, cauliflower, brussel sprouts, and turnips
What are the main causes of goiter?
Describe Simple Goiter. What are the subtypes?
This goiter causes enlargement of the entire gland without producing nodularity (Because the enlarged follicles are filled with colloid, it is aka colloid goiter)
Endemic and Sporadic
Describe Endemic goiter
A geographic phenomenom in parts of the world with low dietary iodine and frequent ingestion of goitrogens that starts as diffuse thyroid enlargement, but generally progresses to a multinodular state

Describe Sporadic goiter
A more rare phenomenom with a female preponderance and a peak incidence at puberty or in young adult that may be caused by goitrogens or may be due to congential enzymatic defects that interfere with thyroid hormone synthesis OR thyroid development (mostly AR)
Describe multinodular goiter
These are most commonly due to progression of simple goiters that are due to variations in growth patterns of indidvidual follicles

What is this?
Multinodular goiter lacking a capsule. Notice how the thyroid tissue is being squished

Neoplasms of the Thyroid Notes
Benign neoplasms outnumber thyroid carcinomas by a ratio of nearly 10:1 but there are still about 15,000 new cases of thyroid carcinoma per year in the United States
Most of these cancers are indolent; more than 90% of affected patients are alive 20 years after being diagnosed