
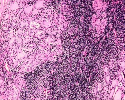
Chronic lymphocytic thyroiditis / Hashimoto’s thyroiditis

Chronic lymphocytic thyroiditis / Hashimoto’s thyroiditis, magnified
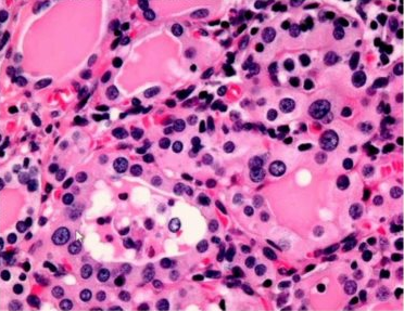
What cell type is the top arrow pointing to? What about the bottom arrow?

Follicular cells
C cells

Graves disease
What cell type is the arrow pointing to?

Oncocytic cell / Hurthle cell
What are characteristic features of oncocytic / Hurthle cells?
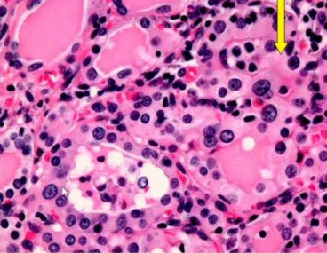
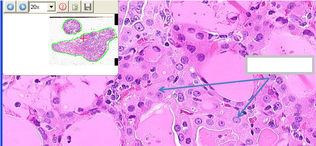
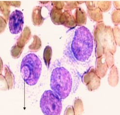
What type of cell is the arrow pointing at?

Oncocytic cell
What are the arrows pointing to?

Oncocytic / Hurthle cell
What oncogene is commonly rearranged in endocrine tumors, specifically papillary thyroid carcinoma?
RET (rearranged during transfection)
What chromosome is Ret on? What does the gene do? How common is this chromosomal change?
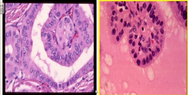
Which is Graves? Which is Papillary carcinoma? How do you know?

Papillary carcinoma is the one on the left - can tell because nuclei are empty-looking, enlarged, and have creases.
Which is Graves? Which is papillary carcinoma?

Graves is on the right, papillary carcinoma is on the left. Similar architecture but the nuclear cytology is very different!
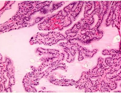
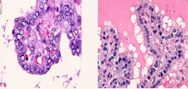
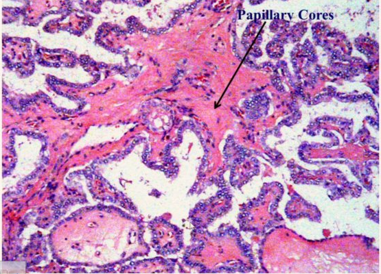
What is this? What are some important features?

Papillary carcinoma. Papillary cores, blood vessel, and empty-looking nuclei.
Arrow?

Nuclear inclusion (seen in papillary carcinoma)

Nuclear groove seen in papillary carcinoma
Is the diagnosis of papillary carcinoma based on architecture or based on nucleus?
Nucleus - the architecture can vary quite a lot. (Papillae, follicles, tall cell variant).
Does follicular carcinoma metastasize by lymphatics or blood vessels? Where does it go?
Blood vessels - goes to distant organs like brain, lungs, or bone.
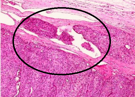
What are the empty spaces in this image? What is the thing in the middle? What is this?

The empty spaces are blood vessels. This tumor is sitting in the blood vessel. It is a follicular carcinoma.
How is a follicular carcinoma diagnosed? Contrast with papillary carcinoma?
Follicular carcinoma is diagnosed by invasion into the capsule and or the capsular vessels. Papillary carcinoma is diagnosed by nuclear features.
Can papillary carcinoma present as multiple tumors in the thyroid? What about follicular carcinoma?
Papillary carcinoma presents as multiple tumors; follicular carcinoma presents as a single tumor.
How does Ret involvement differ between papillary carcinoma (due to radiation) and medullary carcinoma (familial)?
For papillary carcinoma, we are thinking of Ret gene REARRANGEMENT.
For medullary carcinoma we are thinking of Ret gene MUTATION.
Can you treat C cell tumors with radioactive iodine?
No - they don’t use it
What stain is used to identify amyloid?
Congo red
Three ways to diagnose medullary carcinoma?