Quelle est l’embryologie de la thyroïde
Elle provient de l’entoblaste.
Le bourgeon qui se forme à partir du plancher du pharynx (foramen caecum) et descend antérieurement à la trachée puis bifurque de chaque côt formant les lobes thyroïdes
Nommer 5 anomalies de l’embryogénèse thyroïdienne (dysgenèse thyroïdienne)

Décrire l’anatomie de la thyroïde
* Poids normal : 15-20 g
Dimensions normales des lobes : 4x2x1 cm *

Décrire la circulation de la thyroïde
Trois veines
⇒
Deux artères
⇒

Décrire les 2 structures anatomiques derrière la thyroïde
⇒
4 petites glandes situées derrière la thyroïde. Elles maintiennent le calcium normal dans le sang via la parathormone (PTH)
⇒
Ils donnent l’innervation aux cordes vocales et se situent de chaque côté de la trachée
Décrire l’anatomie de surface de la thyroïde

Quelles sont les 3 étapes de l’examen physique de la thyroïde?
Décrire l’observation et la palpation de la thyroïde?
On cherche goitre, nodule ou signes d’inflammation
On peut examiner la thyroïde en se tenant soit devant, soit derrière le patient. En pratique, la palpation en position derrière le patient est plus utilisée
Il faut aussi palper le cou à la recherche d’anénopathie

Décrire l’auscultation de l’examen de la thyroïde
On place simplement le stéthoscope sur chaque lobe de la thyroïde à la recherche d’un souffle
La présence d’un souffle thyroïdien indique une vascularisation thyroïdienne augmentée et turbulente
Quels sont les 2 principaux types de cellules de la thyroïde?
⇒
Forment les follicules thyroïdiens
⇒
Disposées entre les follicules
Qu’est-ce que sécrètent les cellules folliculaires? (3)
Qu’est-ce que sécrètent les cellules C ? (1)
Quelles sont les 2 principales hormones thyroïdiennes?
Quels sont les 2 précurseurs des hormones thyroïdiennes (tyrosines) ?
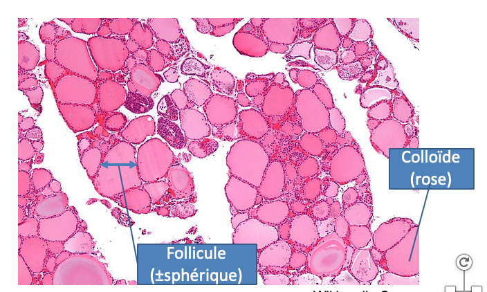
Identifier les structures histologiques suivantes

Comparer l’origine et la puissance des hormones thyroïdiennes T3 et T4
Thyroxine (T4)
⇒
Tri-iodothyronine (T3)
⇒
Quelles sont les 6 étapes de la synthèse des hormones thyroïdiennes?
1) Captation de l’iode
2) Organification de l’iode
3) Iodination des tyrosines
4) Couplage des tyrosines iodées
5) Libération du T4 et T3
6) Récupération de l’iode
Schématiser la captation de l’iode
L’iode passe dans le sang et entre dans la cellules folliculaire

Schématiser l’organification de l’iode
L’iode passe de l’iode négatif à iode neutre à l’aide de l’enzyme peroxydase

Schématiser l’iodination des tyrosines
Les tyrosines sont des structures sur lesquelles vont s’accrocher les molécules d’iodes.

Schématiser le couplage des tyrosine

Schématiser la libératieon du T4 et T3
Les hormones rebroussent chemin et retournent dans le sang.

Schématiser la récupération de l’iode
Lorsqu’on catabolise les hormones thyroïdiennes, on récupère presque toute l’iode pour la recycler.
Les enzymes déiodinases enlèvent l’iode des hormones tyroïdiennes

Qu’arrive-t-il s’il y a un problème lors d’une des étapes de la synthèse des hormones thyroïdiennes?
Hypothyroïdie (dyshormonogénès thyroïdienne)
* Il s’agit généralement de maladies congénitales diagnostiquées pendant l’enfance