Nommer l’invagination de l’épithélium pharyngé à la base de la langue?
Et le trajet sur lequel la thyroïde descend sur la ligne médiane?

Foramen ceacum
Canal thyréoglosse
Nommer trois pathologies survenant en raison d’un défaut de migration de la thyroïde ou d’une persistance du canal thyréoglosse?
Tissu thyroïdien ectopique (ex: thyroïde linguale)
Fistule cervicale
Kyste thyréoglosse

Quelle est cette structure?

Reste ultimobranchiaux aussi appelés “solid cell nest”
Cellules polygonales à allongés, peu de cytoplasme, apparence un peu épithélioïde, noyau souvent ovale, chromatine fine.
Cellules C souvent trouvées à proximité.
Quel est le petit nom propre du ganglion prétrachéal, tsé celui qui est parfois accolé au lobe pyramidal?
Ganglion Delphien
Nommer 3 immunohistochimie + normalement dans le tissu thyroïdien.
Aussi: PAX 8, CD56, CK18
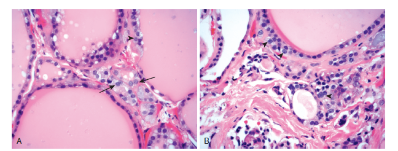
On retrouve des cellules neuroendocrines dans la thyroïde souvent en petits amas entre les follicules, quelles sont-elles?
Que produisent t’elles?

Nommer 4 marqueur immunohistochimiques + dans les cellules c.
Aussi, cytokératine (CK7 et pankératines), TTF-1 variable (important à savoir pour l’interprétation dans le diagnostic différentiel)
Quel est le carcinome le plus fréquent dans un kyste thyréoglosse?
Carcinome papillaire de la thyroïde
Quel est le diagnostic différentiel important d’une inclusion de tissu thyroïdien dans un ganglion cervical?
Métastase d’un carcinome papillaire
Chez quel type de patients on retrouv le plus souvent une thyroïdite aigue?
Patients immunosuprimés ou dénutris.
Nommer les 2 causes d’une thyroïdite aigue.
Infectieuse
Post-radique
Nommer une des bactéries impliqué dans la pathogénèse de la thyroïdite aigue.
Streptococcus pyogènes
Staphylococcus aureus
Pneumococcus
Thyroïde, douleur exquise à la palpation.
Quel est votre diagnostic ?

Thyroïdite granulomateuse subaigue ( thyroïdite de De Quervain)
Quel est votre diagnostic?

Thyroïdite de palpation (thyroïdite granulomateuse multifocale)
Nommer 2 maladies thyroïdiennes auto-immunes.
Aussi, thyroïdite lymphocytaire sub-aigue (thyroïdite indolore)
Quelle est la maladie auto-immune de la thyroïde la plus fréquente?
Plus fréquente chez les hommes ou les femmes?
Thyroïdite d’Hashimoto
Plus fréquente chez les femmes 10-20F / 1H
Quelle est la première cause d’hypothyroïdie dans les pays où il n’y a pas de carence en iode?
Thyroïdite d’Hashimoto
Quels sont les 2 auto-anticorps impliqués dans la thyroïdite d’hashimoto?
La thyroïdite d’Hashimoto augmente le risque de développer une néoplasie, laquelle?
Lymphome non-Hodgkinien à cellules B
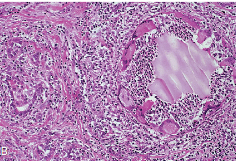
Nommer 3 causes de lésions granulomateuses thyroïdienne.
La thyroïdite d’Hashimoto est associée à d’autres maladie auto-immunes, nommez-en 4.
Endocrines : diabète type 1, maladie d’Addison (insuffisance surrénalienne), hypoparathyroïdie.
Non-endocrines : lupus érythémateux disséminé, myasthénie grave, syndrome de Sjögren.
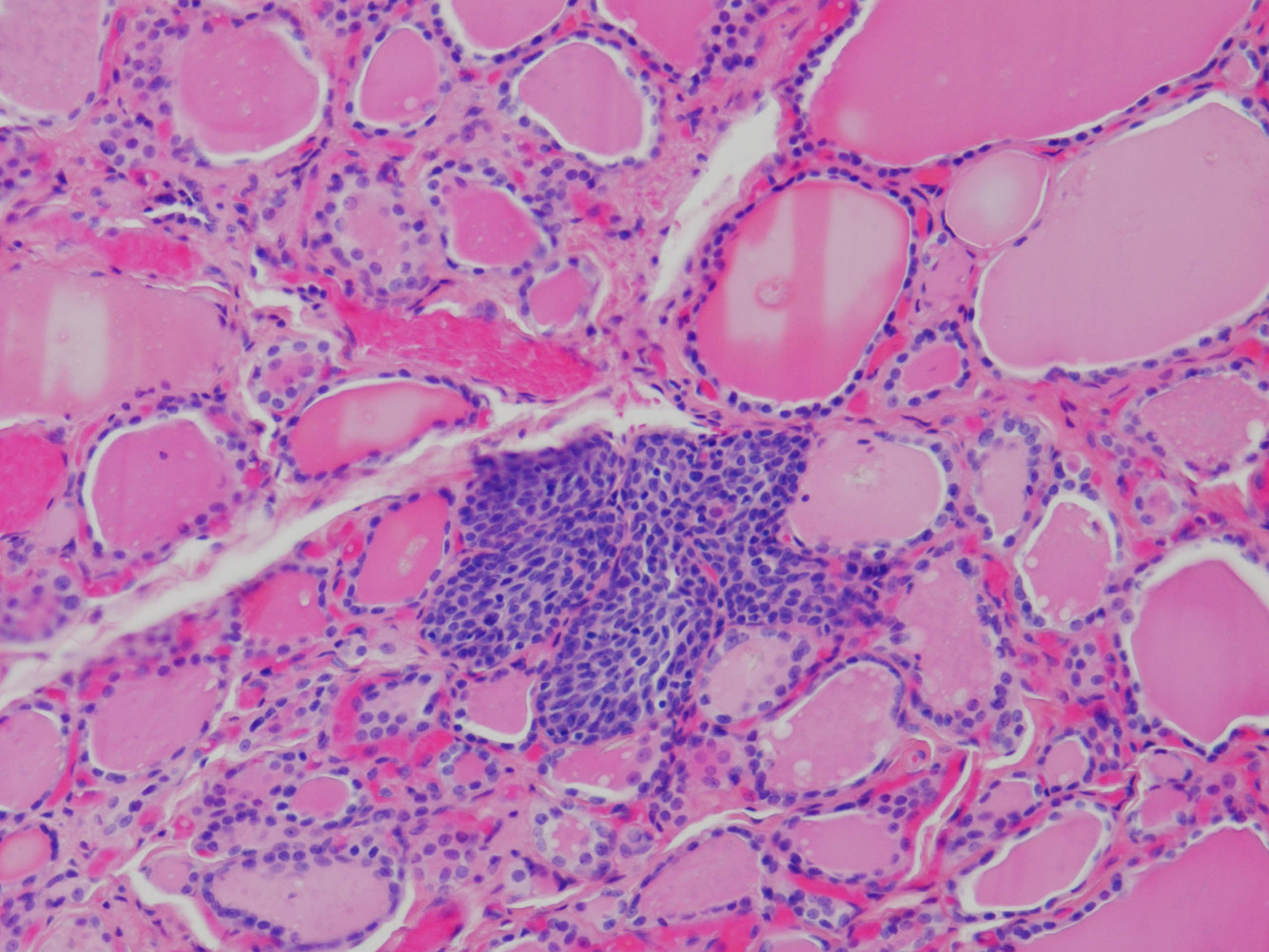
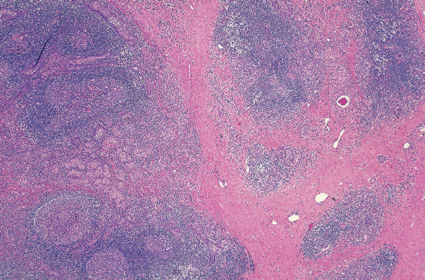
Thyroïde

Quel est votre diagnostic?
Quel type de métaplasie est souvent associé à cette pathologie?
Attention: Le dx de thyroïdite d’Hashimoto comprends une corrélation clinique et sérologique et ne peut donc pas être porté seulement sur une base morphologique.
(le dx au rapport est plutôt “thyroïdite lymphocytaire”)
La thyroïdite d’Hashimoto présente un important infiltrat inflammatoire.
Quel est la variante de thyroïdite lymphocytaire chronique (Hashimoto) qui est plus fréquente chez les hommes et qui présente l’apparence histologique suivante (voir image)?
Quel est le type de métaplasie souvent retrouvé dans ces cas?
