TÍBIA VARA DE BLOUNT Flashcards

(15 cards)

1
Q

Qual desvio fisiológico do joelho de acordo com idade?

A

Nascimento: 10º varo
14 - 18 meses: neutro
3 a 4 anos: 10º valgo
7 anos: 7º valgo

How well did you know this?
1
Not at all
2
3
4
5
Perfectly
2
Q

Definição da doença? É progressiva?

A

Interrupção secundária da fise proximal da tíbia devido a pressão excessiva (carga anormal).

Progressiva.

How well did you know this?
1
Not at all
2
3
4
5
Perfectly
3
Q

Espectros da doença?

A

INFANTIL: início aos 3 anos (bilateral, progressivo e simétrico)

JUVENIL: início aos 10 anos (unilateral e menos progressivo)
- Acomete fêmur (20% possui varo do fêmur)

How well did you know this?
1
Not at all
2
3
4
5
Perfectly
4
Q

Epidemiologia (idade x gênero x raça x bilateralidade)? Adquirida ou congênita?

A

2-5 anos
Homens
Negros (mais comum e pior prognóstico)
Obesos (forma juvenil)
Bilateralidade comum (50%)
ADQUIRIDA

How well did you know this?
1
Not at all
2
3
4
5
Perfectly
5
Q

Quais desvios?

A

VARO + FLEXO (procurvato)+ ROTAÇÃO INTERNA (tíbia)

How well did you know this?
1
Not at all
2
3
4
5
Perfectly
6
Q

Clínica? Comorbidade associada?

A

Deformidade na tíbia (mais arqueada)
Abertura lateral na fase de balanço
Obesidade

How well did you know this?
1
Not at all
2
3
4
5
Perfectly
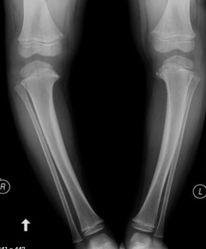
7
Q

Radiografias (5 achados)?

A

Varo na metáfise proximal da tíbia;
Alargamento e irregularidade da fise medial;
Epífise ossificada e curvada (slope) para medial;
Bico proeminente na METÁFISE medial;
Subluxação lateral da tíbia proximal

OBS: No adolescente NÃO HÁ BICO MEDIAL

How well did you know this?
1
Not at all
2
3
4
5
Perfectly
8
Q

Qual epônimo do ângulo metafisediafisário da tíbia proximal? Valores normais e risco? Como medir?

A

Ângulo de LEVINE-DRENNAN (NÃO fecha diagnóstico)

Normal: < 11º
Risco: 11º - 15º
Provável: > 16º

How well did you know this?
1
Not at all
2
3
4
5
Perfectly
9
Q

Classificação?

A

LANGERSKIOLD

1 e 2) Até 4 anos. Podem ter recuperação total
3) Lesão já irreversível. Degrau metafisário medial
4) Barra óssea
5 e 6) A partir dos 8 anos. Destruição fisária medial e subluxação lateral

How well did you know this?
1
Not at all
2
3
4
5
Perfectly
10
Q

Tratamento de acordo com idade e classificação?

A

Protocolo segundo Richards et al.

< 3 anos e Langenskiold 2 e unilateral = Brace
> 3 anos e Langenskiold 3 ou maior = Cirurgia

How well did you know this?
1
Not at all
2
3
4
5
Perfectly
11
Q

Tratamento conservador? Qual método? Até que idade? Usar quantas horas por dia?

A

NUNCA CONSERVADOR NA FORMA JUVENIL

LK 1 e 2:
Órtese (50% de sucesso)
NÃO INICIAR se mais de 3 anos !!
Utilizar 23-24h por dia
KAFO - bloqueia flexão do joelho em 3 pontos

How well did you know this?
1
Not at all
2
3
4
5
Perfectly
12
Q

Tratamento cirúrgico? Qual método de acordo com idade e LK?

A

LK 3 - e < 4 anos = Osteotomia valgizante (fixar com FK)
- Hipercorreção em valgo !!

LK 4 (barra óssea) e 5 = Epifisiodese lateral / remoção da barra

LK 6 = Osteotomia / Epifisiodese lateral / Alongamento / Correção angular

How well did you know this?
1
Not at all
2
3
4
5
Perfectly
13
Q

Fatores de risco para recorrência?

A

Feminino
Negras
Frouxidão ligamentar
Obesidade
LK 3 e 4

How well did you know this?
1
Not at all
2
3
4
5
Perfectly
14
Q

Blount do ADOLESCENTE - Doença associada?

A

EPIFISIÓLISE

How well did you know this?
1
Not at all
2
3
4
5
Perfectly
15
Q

Principais diferenças das formas infantil x juvenil?

A
How well did you know this?
1
Not at all
2
3
4
5
Perfectly