groups of cells that are similar in structure and function
tissues
4 primary tissue types
epithelium connective nervous muscle
a sheet of cells that covers a body surface or lines a body cavity
epithelial tissue
simple epithelia
one layer of cells
stratified epithelia
two or more layers of cells
squamous cell
scalelike cells
cuboidal cell
cubelike cells
columnar cell
column - shaped cells
pseudo stratified epithelium
a simple columnar epithelium but the cells vary in height and nuclei position giving the false appearance of being stratified. usually ciliated.
transitional epethelium
a peculiar stratified squamous epithelium formed of rounded cells with the ability to slide over one another to allow the organ to be stretched (i.e. bladder for stretching)
4 types of connective tissue
connective tissue proper (loose and dense) cartilage bone blood
3 types of muscle tissue
skeletal smooth cardiac

1
Simple squamous epithelium
(1) Allows passage of materials by diffusion
(2) air sacs in lungs, heart lining, blood vessels, lining of central body cavity
1

1
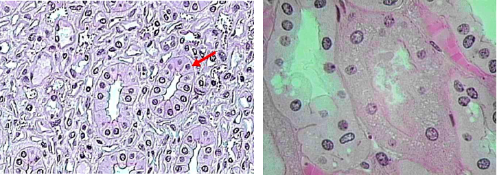
Simple Cuboidal Epithelium
(1) secretion and absorption
(2) kidney tubules, ducts, and secretory portions of small glands
1

1
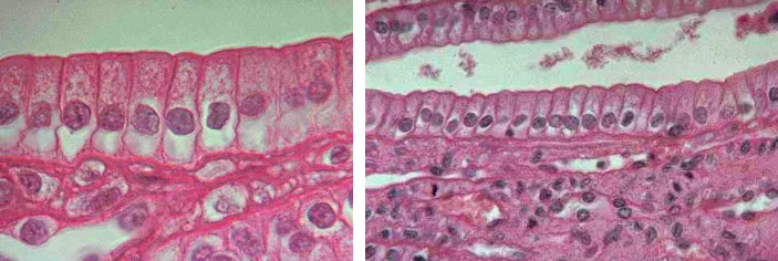
Simple Columnar Epithelium
(1) absorption, secretion of mucous and enzymes
(2) lining of digestive tract
1

1
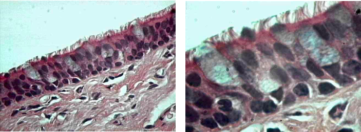
Psuedostratified Ciliated Columnar Epithelium
(1) secretion of mucous and propulsion of mucous by cilia
(2) lining of trachea and upper respiratory tract
1

1
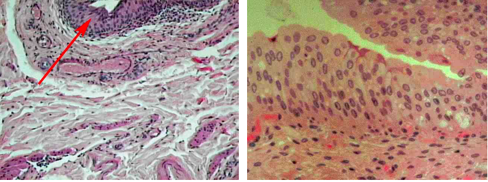
Stratified Squamous Epithelium
(1) protects underlying tissues in areas subject to abrasion
(2) esophagus, mouth, vagina
1

1
Transitional Epithelium
(1) stretches and permits distension of urinary organs
(2) ureters, bladder, and urethra
1

1
Areolar Connective Tissue
(1) wraps and cushions organs, important role in inflammation, holds and conveys tissue fluid
(2) under the epithelia
1

1
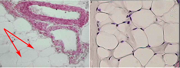
Adipose Tissue
(1) reserve food fuel, insulates against heat loss, supports and protects organs
(2) under skin, around kidneys, in abdomen and breasts
1
3 Types of Cartilage
1
Hyaline
elastic
fibrocartilage
1

1
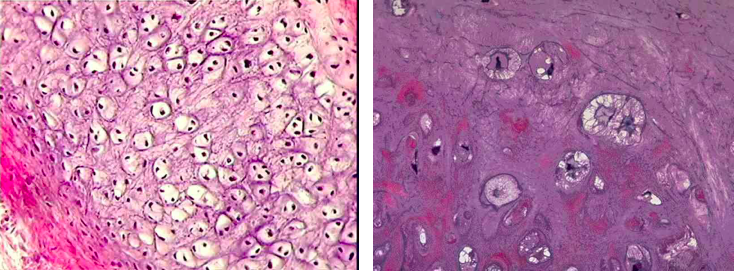
Hyaline Cartilage
(1) supports, reinforces, cushions, and resists compressive stress
(2) end of long bones, forms coastal cartilage of ribs, nose, trachea, and larynx
1

1
Elastic Cartilage
(1) maintains shape while giving flexibility
(2) external ear and epiglottis
1

1
Fibrocartilage
(1) high tensile strength and can absorb compressive shock
(2) intervertebral discs, pubic symphysis and discs of knee joint
1