tissue pathology Flashcards

(4 cards)

1
Q

what is this and describe it?

A

Longtitudinal section of a capillary in normal brain tissue

How well did you know this?
1
Not at all
2
3
4
5
Perfectly
2
Q

what part of the body is this and what are the arrows pointing to?

A

Liver section of a case of fatal P.falciparum.
from Left top - arrows are : kuppfer cell, sinusoidal space, hepatocyte and one on right is haemazoin.

How well did you know this?
1
Not at all
2
3
4
5
Perfectly
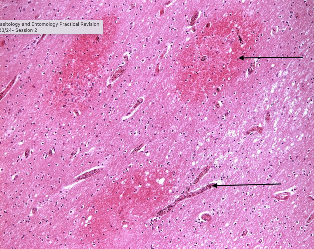
3
Q

what is this section and what are the arrows pointing to?

A

Malaria brain section.
top arrow is ring haemorrhage and bottom arrow is the P.falciparum schizont.

How well did you know this?
1
Not at all
2
3
4
5
Perfectly
4
Q
A
How well did you know this?
1
Not at all
2
3
4
5
Perfectly