Simple Squamous Epithelium
LOCATIONS: Mesothelia lining pleural, pericardial, and peritoneal cavities; endothelia lining heart and blood vessels; portions of kidney tubules (thin sections of nephron loops); inner lining of cornea; alveoli of lungs
FUNCTIONS: Reduces friction; controls vessel permeability; performsabsorption and secretion
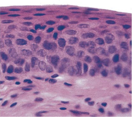
Stratified Squamous Epithelium
LOCATIONS: Surface of skin; lining of mouth, throat, esophagus, rectum, anus, and vagina FUNCTIONS: Provides physical protection against abrasion, pathogens, and chemical attack
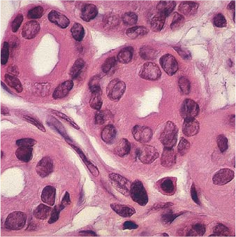
Simple Cuboidal Epithelium
LOCATIONS: Glands; ducts;portions of kidney tubules; thyroid gland FUNCTIONS: Limited protection, secretion, absorption
Stratified Cuboidal Epithelium
LOCATIONS: Lining of some ducts(rare) FUNCTIONS: Protection, secretion, absorption
Transitional Epithelium
LOCATIONS: Urinarybladder; renal pelvis;ureters FUNCTIONS: Permits expansion and recoil after stretching
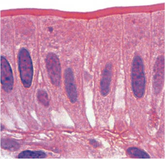
Simple Columnar Epithelium
LOCATIONS: Lining ofstomach, intestine, gallbladder,uterine tubes, and collectingducts of kidneys FUNCTIONS: Protection, secretion, absorption
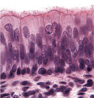
Pseudostratified Ciliated Columnar Epithelium
LOCATIONS: Lining ofnasal cavity, trachea, andbronchi; portions of malereproductive tract FUNCTIONS: Protection, secretion, move mucus with cilia
Areolar Tissue
LOCATIONS: Within and deep to thedermis of skin, and covered by the epithelial lining of the digestive, respiratory, and urinary tracts; between muscles; around joints, blood vessels, and nerves FUNCTIONS: Cushions organs; provides support but permits independent movement; phagocytic cells provide defense against pathogens
Adipose Tissue
LOCATIONS: Deep to the skin, especially at sides, buttocks, and breasts; padding around eyes and kidneys FUNCTIONS: Provides padding and cushions shocks; insulates (reduces heat loss); stores energy
Reticular Tissue
LOCATIONS: Liver, kidney, spleen, lymph nodes, and bone marrow FUNCTIONS: Provides supporting framework
Dense Regular Connective Tissue
LOCATIONS: Between skeletal muscles and skeleton (tendons and aponeuroses); between bones or stabilizing positions of internal organs (ligaments); covering skeletal muscles; deep fasciae FUNCTIONS: Provides firm attachment; conducts pull of muscles; reduces friction between muscles; stabilizes positions of bones
Dense Irregular Connective Tissue
LOCATIONS: Capsules ofvisceral organs; periostea and perichondria; nerve and muscle sheaths; dermis FUNCTIONS: Provides strength to resist forces from many directions; helps prevent over expansion oforgans, such as the urinary bladder

Simple squamous epithelium

Simple squamous epithelium

Simple cuboidal epithelium

Simple Cuboidal Epithelium

Stratified squamous epithelium

Stratified squamous epithelium

Stratified cuboidal epithelium

Stratified cuboidal epithelium

Simple columnar epithelium

Simple columnar epithelium


Pseudostratified ciliated columnar epithelium