Tissues Flashcards

(22 cards)

1
Q

Identify this tissue

A

Simple cuboidal epithelia tissue

How well did you know this?
1
Not at all
2
3
4
5
Perfectly
2
Q

Identify this tissue

A

Adipose connective tissue

How well did you know this?
1
Not at all
2
3
4
5
Perfectly
3
Q

Identify this tissue

A

Areolar connective tissue

How well did you know this?
1
Not at all
2
3
4
5
Perfectly
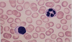
4
Q

Identify this tissue

A

Blood connective tissue

How well did you know this?
1
Not at all
2
3
4
5
Perfectly
5
Q

Identify this tissue

A

Cardiac muscle tissue

How well did you know this?
1
Not at all
2
3
4
5
Perfectly
6
Q

Identify this Tissue

A

Compact bone connective tissue

How well did you know this?
1
Not at all
2
3
4
5
Perfectly
7
Q

Identify this tissue

A

Dense irregular connective tissue

How well did you know this?
1
Not at all
2
3
4
5
Perfectly
8
Q

Identify this tissue

A

Dense regular connective tissue

How well did you know this?
1
Not at all
2
3
4
5
Perfectly
9
Q

Identify this tissue

A

Elastic cartilage

How well did you know this?
1
Not at all
2
3
4
5
Perfectly
10
Q

Identify this tissue

A

Elastic connective tissue

How well did you know this?
1
Not at all
2
3
4
5
Perfectly
11
Q

Identify this tissue

A

Fibrocartilage

How well did you know this?
1
Not at all
2
3
4
5
Perfectly
12
Q

Identify this tissue

A

Hyaline Cartilage

How well did you know this?
1
Not at all
2
3
4
5
Perfectly
13
Q

Identify this tissue

A

Nervous tissue

How well did you know this?
1
Not at all
2
3
4
5
Perfectly
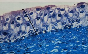
14
Q

Identify this tissue

A

Pseudostratified columnar epithelial tissue

How well did you know this?
1
Not at all
2
3
4
5
Perfectly
15
Q

Identify this tissue

A

Reticular connective tissue

How well did you know this?
1
Not at all
2
3
4
5
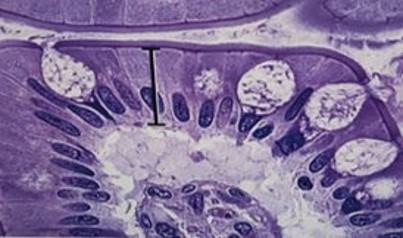
Perfectly
16
Q

Identify this tissue

A

Simple columnar epithelial tissue

17
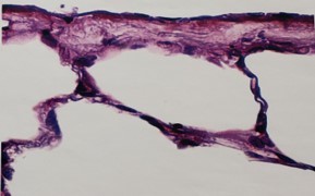
Q

Identify this tissue

A

Simple squamous epithelial tissue

18
Q

Identify this tissue

A

Skeletal muscle tissue

19
Q

identify this tissue

A

Smooth muscle tissue

20
Q

Identify this tissue

A

Spongy bone connective tissue

21
Q

Identify this tissue

A

Stratified squamous epithelial tissue

22
Q

identify this tissue

A

Transitional epithelial tissue