TMC FORM O Flashcards

(17 cards)

1
Q

A patient is placed on mechanical ventilation following abdominal surgery. A post-surgical CXR shows moderate atelectasis and in lung bases bilaterally. The following pressure-volume loop vent graphics are observed. Assuming that there were no changes in vent settings, which of the following can explain changes shown in the vent graphic images.

A.Perforation in lung tissue is present.

B.Alveolar recruitment has taken place.

C.Scaling of the graphic image is inappropriate.

D.Atelectasis in increasing

A

B
The initial graphic shows a small amount over-distension (indicated by the presence of a beak). Without any ventilator changes, the beak disappears, suggesting over-distension is no longer present. The most likely reason for this is that alveoli have been recruited with the institution of mechanical ventilation.

How well did you know this?
1
Not at all
2
3
4
5
Perfectly
2
Q

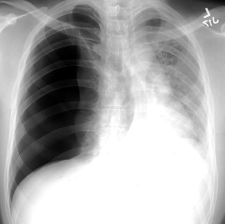
A patient reports to the ER following an accident while playing football. Paramedics on the scene report an onset of tachypnea and a CXR is taken. What is the diagnosis?

A.pulmonary contusion

B.pulmonary interstitial emphysema

C.pleural effusion

D.pneumothorax

A

D
The chest radiograph shows hyperlucency on the right. This is consistent with a pneumothorax.

How well did you know this?
1
Not at all
2
3
4
5
Perfectly
3
Q

After placing a patient on O2 by a NRB, the therapist notices the reservoir bag does not collapse witgh each inhalation. The therapist should
A.tighten the straps securing the mask.

B.continue therapy as this is a normal observation.

C.remove the valve between the mask and the reservoir.

D.increase the oxygen flow rate.

A

A
When placed properly, the reservoir bag should collapse with each breath. If this is not the case the first thing to do is to make sure that the mask is tight enough to form a seal w/the patients face.

How well did you know this?
1
Not at all
2
3
4
5
Perfectly
4
Q

A 5’8 (141 lb) female is receiving VC A/C ventilation on the following settings:

FIO20.60, PEEP18 cm H2O, f14/min, VT550 mL

Laboratory data shows:

pH 7.36, PaCO245, PaO258, HCO3 23, BE-2, SAO288%, mPAP25, CVP5, PCWP17, C.I.1.8

The RT should first…

A.flush the PA catheter.

B.increase FIO2 to 1.0.

C.administer Dopamine, IV.

D.decrease PEEP.

A

D
Although the patient is obviously hypoxic and further increase in PEEP would be normally appropriate, in this case, an increase in PEEP would cause further degradation in the hemodynamic status of the patient. The current hemodynamic values show that cardiac index is less than 2 - 4 L/min/m2, suggesting that the current PEEP level is excessive and should be lowered. Although this will cause a further problem with hypoxemia, reduced cardiac output should be addressed first.

How well did you know this?
1
Not at all
2
3
4
5
Perfectly
5
Q

While performing endotracheal suctioning through a 6.0-mm ET tube on a 70-kg patient, the respiratory notices that a lubricated 10 Fr. suction catheter is difficult to insert into the airway due to continual resistance during insertion. The respiratory therapist should

A.utilize a ridged suction catheter.

B.exchanged the ET tube for a larger size.

C.utilize an 12 Fr. suction catheter.

D.lubricate the catheter more liberally.

A

B
An ET tube size of 6.0-mm, on a 70-kg patient, is too small. The patient should at least have a 7.0-mm size tuber. An 8.0-mm tube would be optimal as it would allow use of a 12 Fr. catheter size. With the current ET tube size, a 12 Fr. catheter is too large and would meet significant resistance.

How well did you know this?
1
Not at all
2
3
4
5
Perfectly
6
Q

When caring for a patient in the ICU who has recently come from o=another hospital the RT notices that the waveform on the monitor associated with the PA catheter is repeatedly rising and falling from 25 to 2. The waveform shows no dicrotic notch. The patient appears to be resting comfortably and blood pressure is 128/88 mm Hg. The therapist should

A.continue routine monitoring of the patient.

B.twist the PA catheter.

C.advance the PA catheter.

D.compare the mPAP pressures with that of the CVP and PCWP.

A

C
When the PA catheter is placed properly, the pressures should rise and fall between values of approximately 25 mm Hg and 8 mm Hg. Because the pressure is falling to 2 mm Hg, malpositioning of the PA catheter should be suspected. Pressures of 25/2 mm Hg is the pressure that would be observed when the tip of the PA catheter is in the right heart. It should be advanced so that it is positioned in the pulmonary artery.

How well did you know this?
1
Not at all
2
3
4
5
Perfectly
7
Q

A patient undergoes polysomnography. The results show an AHI of 5. This should be interpreted as

A.central sleep apnea

B.obstructive sleep apnea

C.normal

D.mild sleep apnea

A

C
AHI 5 or less is normal
Ranges:
< 5 (normal)
5-15 (mild)
15-30 (moderate)
> 30 (severe)

How well did you know this?
1
Not at all
2
3
4
5
Perfectly
8
Q

A patient has been receiving mechanical ventilatory support for three days, following abdominal surgery. Current ventilator settings, physiologic data and clinical assessment data reveals the following:

ModeSIMV, f4/min, Total rate16/min, VT(spont)458 mL, VT(set)500 mL, PEEP5 cm H2O, PS5 cm H2O, FIO20.45, VC1.8 L, MIP-42 cm H2O, WBC10,000 cu mm, Hb14.1 g/dL

The patient appears to be alert and able to follow commands. The respiratory therapist should recommend?

A.extubation and oxygen by mask at 40%

B.continue mechanical ventilatory support.

C.spontaneous breathing trails.

D.administering antimicrobial therapy.

A

A
All data suggests that the patient is ready and able to discontinue mechanical ventilatory support. Since there is no evidence of the need for airway protection, extubation and cessation of mechanical ventilation is appropriate.

How well did you know this?
1
Not at all
2
3
4
5
Perfectly
9
Q

While observing a PA chest radiogram, the respiratory therapist notices that the apices of the lung are not level with one another. The right is higher than the left while the clavicle structure remains level. What is the most likely reason for this?

A.The x-ray camera is tilted to the left.

B.Over-exposure is projecting a shadow.

C.The patient is improperly rotated.

D.The patient is leaning to the left.

A

C
Level clavicles rule out any leaning of the patient or tilting of the camera. This is mostly likely caused from the patient being rotated improperly, causing one side the lungs to be closer to the film than the other. This would account for the apparent difference in lung size and/or height.

How well did you know this?
1
Not at all
2
3
4
5
Perfectly
10
Q

Which of the following is used to monitor exhaled CO2 continuously?

A.an infrared device

B.point-of-care blood gas analyzer

C.transcutaneous device

D.standard ABG analyzer

A

A
Also known as a capnometer, an infrared CO2 detector device is used to monitor exhaled CO2 (PetCO2 and PECO2) continuously. ABG analyzers are used only for spot checks and are not suitable for continuous monitoring. The transcutaneous method is used when monitoring arterial CO2 indirectly through the skin but does not monitor exhaled CO2.

How well did you know this?
1
Not at all
2
3
4
5
Perfectly
11
Q

A key strategy in the treatment of ARDS is to

A.keep FIO2 0.60 or less.

B.prevent pH levels lower than 7.35

C.utilize PEEP levels of 12 cm H2O or more.

D.keep PaO2 at 80 mm Hg or higher.

A

A
Although PEEP is used as a method to accomplish key goals, there is no specific PEEP level goal to maintain. The PaO2 range goal is between 55 - 80 mm Hg, which is known as permissive hypercapnia. Likewise, the goal pH range is 7.30 - 7.45. The key strategy is to keep FIO2 at 0.60 or less.

How well did you know this?
1
Not at all
2
3
4
5
Perfectly
12
Q

After surgery, a patient is receiving coaching on the use of incentive spirometry. After explaining the procedure, the patient takes a deep breath and exhales forcefully through the mouthpiece. The respiratory therapist should tell the patient to

A.”Inhale through the mouthpiece and then exhale through the device.”

B.”Exhale completely, then inhale through the mouthpiece.”

C.”Breathe in to inspiratory capacity through the spirometer.”

D.”Take a deep breath through the mouthpiece.”

A

D
From a resting exhalation of tidal volume, the patient should then inhale through the mouthpiece. Although the technical name for that volume of air is inspiratory capacity, such medical lingo is not appropriate to use with a patient.

How well did you know this?
1
Not at all
2
3
4
5
Perfectly
13
Q

A patient’s oxygen saturation is being monitored by pulse oximeter with a finger probe. The initial reading shows an SpO2 of 65% and a heart rate of 38 bpm. Palpated heart rate is 89 bpm. What is the most likely reason for these results?

A.poor peripheral perfusion

B.severe hypoxemia

C.cardia dysrhythmia

D.hypertension

A

A
The significant difference in the palpated heart rate, compared to that of the SpO2 monitor, is an indication that the pulse oximeter is not obtaining a sufficient signal. The most likely cause is poor perfusion to the finger to which the probe is attached (poor peripheral perfusion).

How well did you know this?
1
Not at all
2
3
4
5
Perfectly
14
Q

A 73kg (161-lb), 178 cm (5 ft 10in) male patient is undergoing ventilator liberation. The following data is available:

Mode SIMV FIO20.45Mandatory rate6/minTotal rate28/minVT (set)600 mLVT (spont)180 mLFlow45 L/minPEEP5 cm H2OPS5 cm H2O

ABGspH7.35PaCO245 torrPaO281 torrHCO3-25 mEq/LBE0 mEq/L

The respiratory therapist should recommend an increase in

A.PEEP to 7 cm H2O.

B.flow to 55 L/min.

C.PS to 10 cm H2O.

D.mandatory rate to 8/min.

A

C.
Extremely low spontaneous tidal volumes combined with a high spontaneous rate indicates that the patient requires more pressure support to support and raise the size of spontaneous tidal volumes. This will promote a natural decrease in respiratory rate and help decrease work of breathing overall.

How well did you know this?
1
Not at all
2
3
4
5
Perfectly
15
Q

Which of the following questions or directives would be most helpful in determining a patient’s ability to understand procedural instructions given in English?

A.“Please explain the procedure back to me.”

B.“Nod your head if you understand me.”

C.“Do you speak English?”

D.“Are you able to understand what I am saying?”

A

The correct answer is:A

Explanation:
The key in ascertaining a patient’s ability to understand instruction is to ask open-ended questions. An open-ended question is one that cannot be answered simply with ‘Yes’ or ‘No’. In many cultures and languages, people are likely to respond with ‘Yes’ when they do not understand what is being communicated.

How well did you know this?
1
Not at all
2
3
4
5
Perfectly
16
Q

A central purpose of non-invasive ventilation is to

A.alleviate ventilatory failure.

B.provide a back-up ventilation rate.

C.increase functional residual capacity.

D.increase the size of spontaneous tidal volumes.

A

The correct answer is:D

Explanation:
Non-invasive ventilation primarily provides ventilatory support for the patient who is spontaneously breathing. NIV helps by increasing the size of spontaneous tidal volumes but is not used to provide a back-up rate, nor alleviate ventilatory failure.

17
Q

Cloudy or opaque exudate retrieved during a thoracentesis procedure is associated with

A.pleural effusion

B.infection

C.CHF

D.cancer

A

The correct answer is:C

Explanation:
Cloudy or opaque exudate (the non-clear fluid extracted from the pleural space during a thoracentesis) is associated with CHF. An infection would produce a yellow exudate while a serosanguinous fluid is related to cancer or a bleeding mass. Pleural effusion is not associated with an exudate.