TMJ Flashcards

(12 cards)

1
Q

Explain a arthrocentesis
procedure

A

Draw a line long holmlund-hellsing(tragus to canthus). 10 and 2 and 20 and 10 mm. Apply local anesthesia without epinephrine. Then insufflate superior joint space with saline. Angel 18 gauge need 15 degrees anterior and superior and walk the needle down into joint space. Irrigate with minimum 100cc saline. Take out anterior port. Administer Kenalog 2mg into joint space. Manipulate joint thoroughly

How well did you know this?
1
Not at all
2
3
4
5
Perfectly
2
Q

what is Kenalog and MOA

A

Triamcinolone-glucocorticoid, inhibts NFKB and cox

How well did you know this?
1
Not at all
2
3
4
5
Perfectly
3
Q

Go layer by layer down to joint space for arthroplasty

A

skin, subq, TP fascia, Temporalis fascia. Capsular ligament/joint capsule.

How well did you know this?
1
Not at all
2
3
4
5
Perfectly
4
Q

Treatment for otitis externa

A

Floroquinolone, if perforated can place abx patch. Possible tubes for drainage.

How well did you know this?
1
Not at all
2
3
4
5
Perfectly
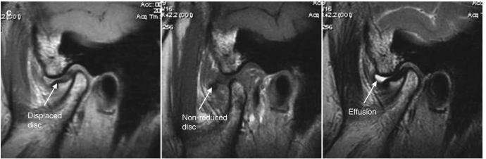
5
Q

Explain MRI. what is disk position

A

Normal disk position

How well did you know this?
1
Not at all
2
3
4
5
Perfectly
6
Q
A
How well did you know this?
1
Not at all
2
3
4
5
Perfectly
7
Q
A
How well did you know this?
1
Not at all
2
3
4
5
Perfectly
8
Q

Cyclobenzaprine MOA

A

5HT receptor antagonist acts centrally

How well did you know this?
1
Not at all
2
3
4
5
Perfectly
9
Q

What is the classification system for Ankylosis

A

Topazian
1. condyle only
2. down to sigmoid notch
3. down to coronoid

How well did you know this?
1
Not at all
2
3
4
5
Perfectly
10
Q

Explain a costochondral graft procedure

A

mark 6th rib ideally in inframammary crease. Dissection completed between pec major and rectus abdominis. Strattle the rib with fingers. Sharp dissection through periosteum and reflection of tissue. Can harvest 7-10 mm in children and up to ~15 in adults. IF cap falls off then go to 4th rib and harvest. Use right rib due to chest pain.

Close periosteum of rib. Check pleura. close.

How well did you know this?
1
Not at all
2
3
4
5
Perfectly
11
Q

classification of ankylosis topazine

A

type condyle only
type extends to sigmoid notch
type extends to sigmoid notch and coronoid

How well did you know this?
1
Not at all
2
3
4
5
Perfectly
12
Q

etiology of tmj ankylosis

A

otitis media, mastoiditis, haematogenous diseases. rheumatoid arthritis. psoriatich arthritis, (trauma, infection, inflammation)

How well did you know this?
1
Not at all
2
3
4
5
Perfectly