Match the description to the disorder.
An obstetric complication arising from implantation in the lower uterine segment. →
Incomplete differentiation of cytotrophoblast cells to endothelium results in poor blood supply to the embryo, one consequence of which is maternal hypertension. →
Poor growth of foetus due to, for example, poor supply of oxygen and nutrients. →
A potentially life-threatening disorder resulting from implantation outside the womb. →
An obstetric complication arising from implantation in the lower uterine segment. → Placenta praevia,
Incomplete differentiation of cytotrophoblast cells to endothelium results in poor blood supply to the embryo, one consequence of which is maternal hypertension. → Pre-eclampsia,
Poor growth of foetus due to, for example, poor supply of oxygen and nutrients. → Intra-uterine growth restriction (IUGR),
A potentially life-threatening disorder resulting from implantation outside the womb. → Ectopic pregnancy
Identify the two main specialisation of stratified squamous epithelia.
Prevention of water loss, Protection from abrasion
Identify the features in a section of ground bone

A lamella → E,
Canaliculi → A,
Osteocyte in a lacuna → D,
Volkmann’s (Perforating) canal → B,
Haversian (central) canal → C
Identify the features in this photomicrograph of foetal tongue.

Ground substance → B,
Myoblasts fusing to form a myotube → A,
Nucleus of a mesenchymal cell → C
Koch’s postulates
Exceptions to Koch’s Postulates
•Some bacteria and viruses can’t be grown on artificial media
•Some diseases caused by several microbes
•Some pathogens cause many different diseases
•Some pathogens only cause disease in humans
Match the type of neuron to its function
Relay information from sensory to motor neurons →
Conduct signals from the periphery to the CNS →
Conduct signals from the CNS to the periphery →
Relay information from sensory to motor neurons → Interneurons,
Conduct signals from the periphery to the CNS → Afferent neurons,
Conduct signals from the CNS to the periphery → Efferent neurons
What type of epithelium lines apocrine glands?
Simple columnar epithelium lines the secretory portion of the glands. In this slide, the ductal epithelium appears to be simple cuboidal.
Match the glial cell to the description.
Myelinate axons in the PNS →
Myelinate axons in the CNS →
Maintain the blood:brain barrier →
Provides support to ganglionic neurons →
Lines the ventricles and central canal. →
Produces and moves CSF →
Macrophages →
Myelinate axons in the PNS → Schwann cells,
Myelinate axons in the CNS → Oligodendrocytes,
Maintain the blood:brain barrier → Astrocytes,
Provides support to ganglionic neurons → Satellite cells,
Lines the ventricles and central canal. → Ependymal
Produces and moves CSF → Ependyma,
Macrophages → Microglia
Identify the structures in the following diagram showing an embryo ay day 13 following fertilisation.

Primary chorionic villi → A
Amniotic cavity → B
Remnant of primary yolk sac → F
Secondary yolk sac → E
Cytotrophoblast → D
Epiblast → C

The correct answer is: Synaptic vesicles → E,
Schwann cell (myelinates axons) → D,
Sarcolemma → G,
Sarcolemma with nicotinic ACh receptors → H,
Active zone (site of neurotransmitter release) → F,
Motor nerve fibre → A,
Synaptic cleft → I,
Axon terminal → C,
Myelin sheath of axon → B,
Junctional folds → J
Which T-cell population is depleted following HIV infection?
Helper T-cells (CD4+)

Collagen → A,
A skeletal muscle fibre → D,
Skeletal muscle nucleus → E,
Interdigitating myotendinous junction → C,
A fibroblast nucleus → B
How long is the pre-embryonic period?
Two weeks
Match the histiocyte (tissue macrophage) to the organ
Langerhans cells →
Kupffer cells →
Microglia →
Dust cells →
Langerhans cells → Epidermis
Kupffer cells → Liver
Microglia → CNS
Dust cells → Lung
Which cell type of the oral mucosa releases IgA (immunoglobulin A) to protect against oral pathogens?
Plasma cells (mature B-lymphocytes).
What is the cellular basis of amylotropic lateral sclerosis (ALS)?
Degeneration of somatic motor neurons from unknown causes.
Secretion of hormones
Absorption
Clearance of particles
Distension and protection from toxins
Protection against abrasion and water loss, keeping surface moist
Secretion, gas exchange
Protection against abrasion and water loss, keeping surface dry
Sodium resorption
Secretion of hormones → Cuboidal epithelium of thyroid follicles,
Absorption → Simple columnar,
Clearance of particles → Pseudostratified ciliated columnar,
Distension and protection from toxins → Transitional,
Protection against abrasion and water loss, keeping surface moist → Stratified squamous non-keratinised,
Secretion, gas exchange → Simple squamous,
Protection against abrasion and water loss, keeping surface dry → Stratified squamous keratinised,
Sodium resorption → Striated columnar

Which region(s) acts as an energy store? → D,
Which label identifies an exocrine duct? → B,
Which region produces pancreatic enzymes? → A,
Which region(s) is damaged in type I diabetes. → C

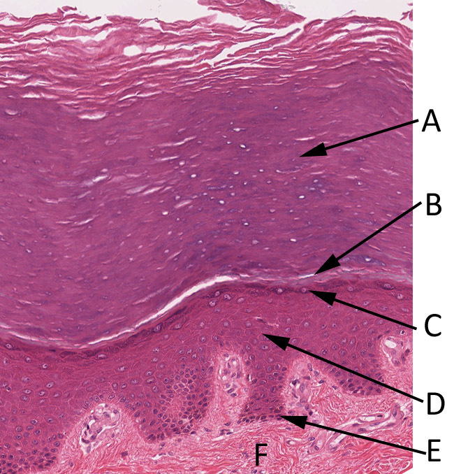
Stratum granulosum → C
Stratum corneum → A
Papillary dermis → F
Stratum spinosum → D
Stratum lucidum → B
Stratum basale → E
Why are lymph nodes a common site of metastatic tumour spread, for example in breast cancer?
Metastatic cells can travel via the lymph to the nearest draining lymph node and seed there.

Mucosa → F,
Serosa → E,
Circular muscle → C,
Submucosa → B,
MALT → A
Longitudinal muscle → D
Neoplasia is the uncontrolled growth of cells. What name is given to a neoplasm (cancer) of epithelial origin?
Carcinoma
What type of stem cell divides to form myoblasts that can effect skeletal muscle repair, or induce hypertrophy?
Satellite cells
What are the functions of mast cells?
Local inflammation, innate immunity, tissue repair