
A - Unusually large thyroid follicle containing shrunken colloid
B - Shrinkages of thyroid lobules during tissue processing causes artefactual spaces at the septa
C - The tyroid is composed of numerous follicles. The colloid in some have fallen out during tissue processing
D & E- A fibrous capsule envelops the thyroid gland. Septa derived from the capsule subdivides the gland into lobules

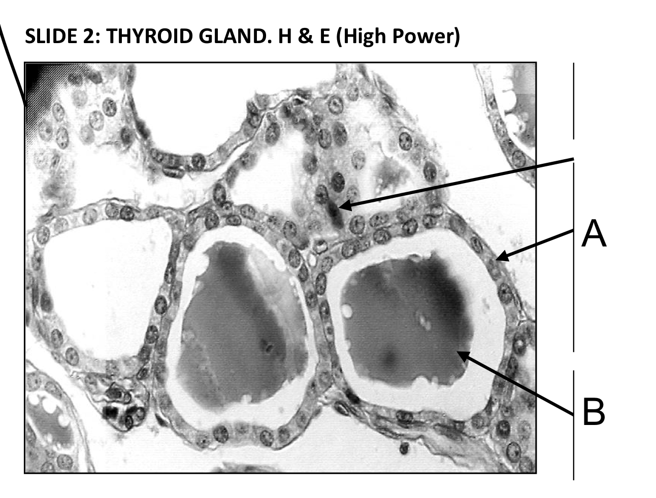
A - Simple cuboidal epithelia
B - Thyroid colloid - a glycoprotein complex of thyroglbulin which incorporates thyroid hormones prior to their release

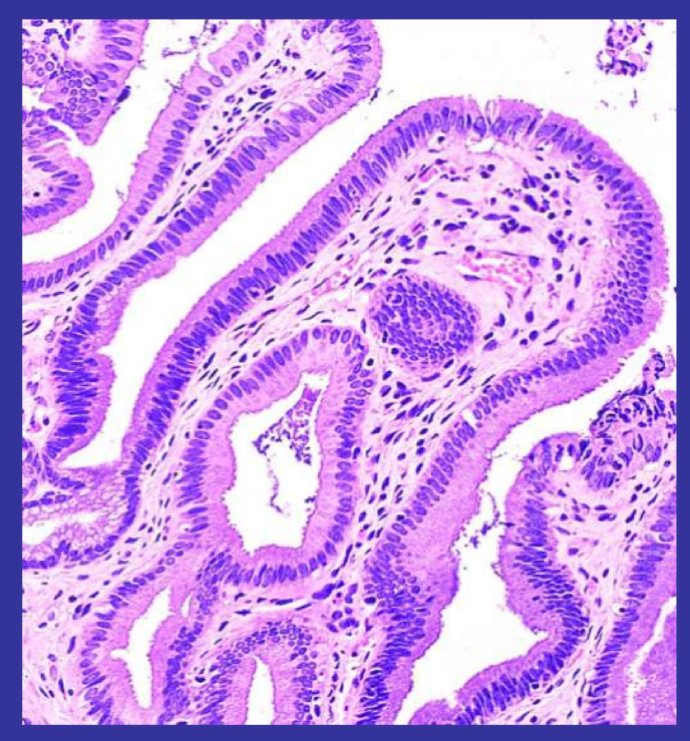
A - Longitudinal muscle layer
B - Circular muscle layer
C - Submucosa - loose connective tissue under a mucous membrane
D - Region of epithelium and subtending lamina propria (loose connective tissue)
E - Intestinal villi - increase the jejunal surface area. An examination of the edge of a villus at high power reveals the simple columar epithelium

A - Brush border of microvilli
B - A pale-staining goblet cell which secretes mucus
C - Simple columnar epithelium - containing dark basally positioned nuclei
D - The epithelium rests upon a basement membrane
E - Subtending loose connective tissue, called lamina proproa, carries fine blood vessels and lymph vessels
Label the trachea

A - Mucus secreting goblet cells
B - Cilia line the upper respiratory tract
C - Pseudostratified ciliated columnar epithelim lines the tracheal lumen
D - Submucosa containing seromucous glands (depth varies depending on location)
E - An artefactual split in the perichondrium
F - Hyaline cartilage containing chondrocytes
G - The basement membrane of respiratory epithelium (can only really be seen on tracheal slide with H & E stain)
Label the oesophagus

A - Muscularis mucosae (the muscular layer of this mucous membrane complex)
B - Stratified squamous non-keratinised epithelium
C - The oesophageal lumen is convoluted but opens up during swallowing
D - Submucosa - dense fibroelastic connective tissue containing glands
E - Muscularis externa - an outer longitudinal and an inner circular muscle laye. Can be a mixture of smooth and skeletal muscle
Label the oesophagus

A - Oesophageal lumen
B - Stratified squamous non-keratinised epithelium
C - Cells in the middle of the epithelium are polymorphous (have many shapes)
D - The deepest epithelial cells are cuboidal
E - Cells are squamous (flattened) near the epithelial surface but remain nucleated
F - Lamina propria - looses connective tissue beneath the epithelium. Interdigitation of lamina propria and epithelium reduces the likelihood of shearing
What type of epithelia is this?

Transitional epithelia of the bladder
What type of epithelia is this and where is it found?

Simple cuboidal epithelium lining collecting ducts of the kidney
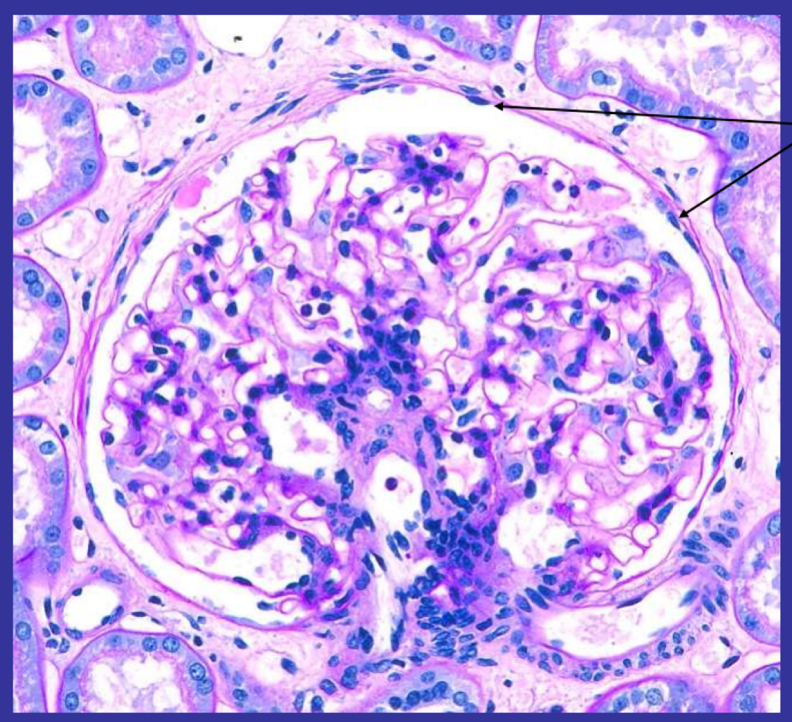
Wht structure is this and where is it found?

Glomerulus found in the kidney
What type of epithelia line this blood vessel?

Simple squamous lining - Lines all vascular elements and is termed endothelium
What structure is this?
Label the diagram

Pancreatic duct
A - Simple cuboidal epithelium lining a pancreatic duct
B - Connective tissue
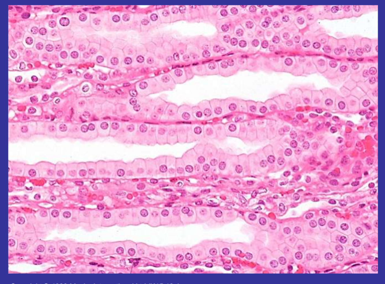
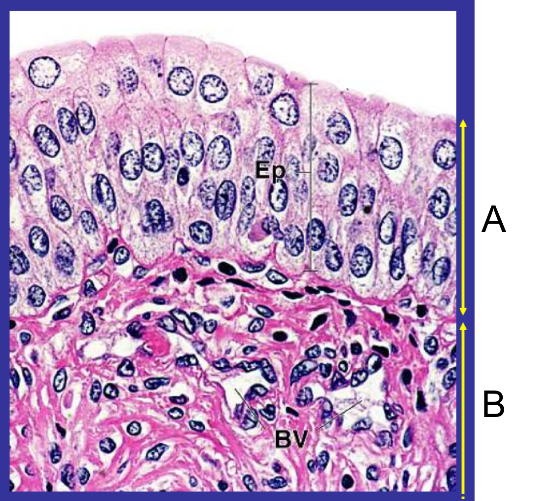
What type of epithelia is this and from which structure do they come from?

Simple columnar epithelium lining the fallopian tube of the uterus
Some cells are cilliated (see arrow)
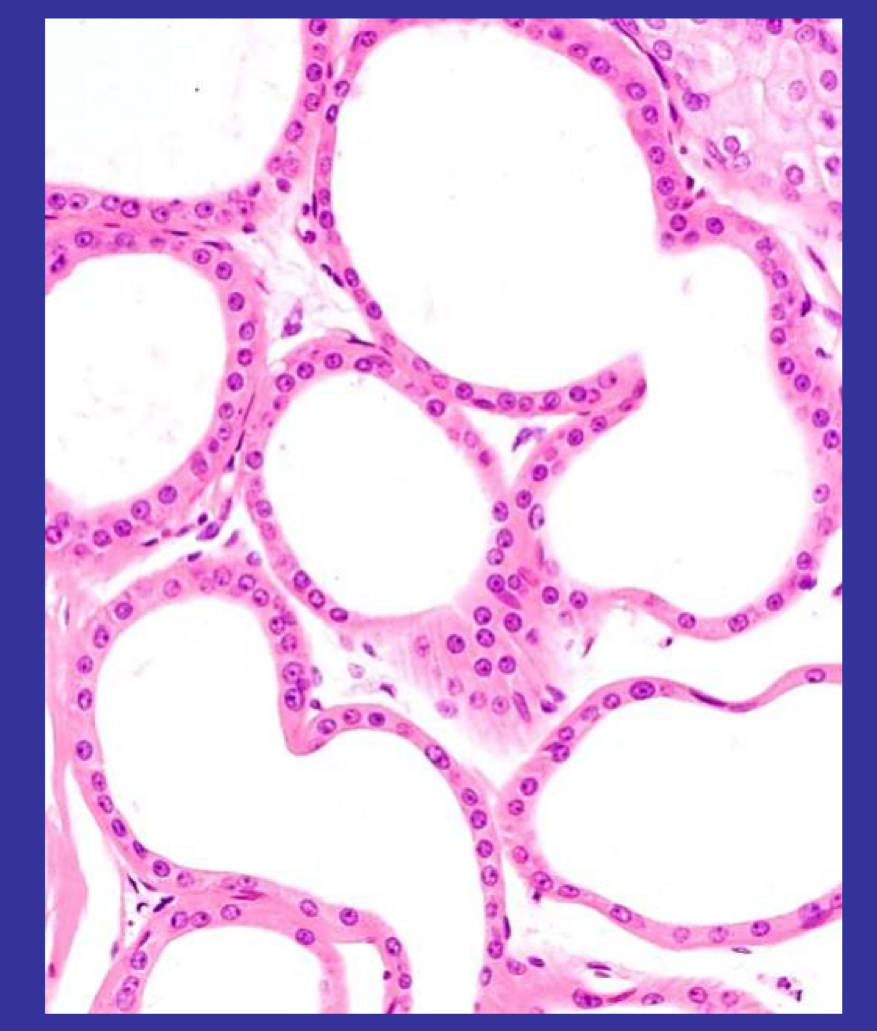
What type of cells line the colloid and where is it found?

Simple cuboidal epithelium bounding thyroid gland follicles (follicular cells)
The epithelial cells synthesise thyroxine, store it in colloid, and transport it to the bloodstream
Arrows show fine blood capillaries
Label the structure
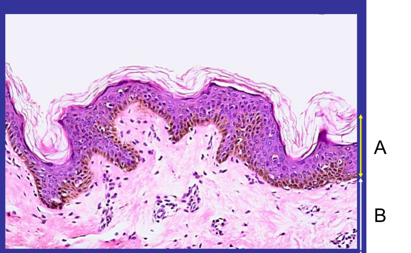
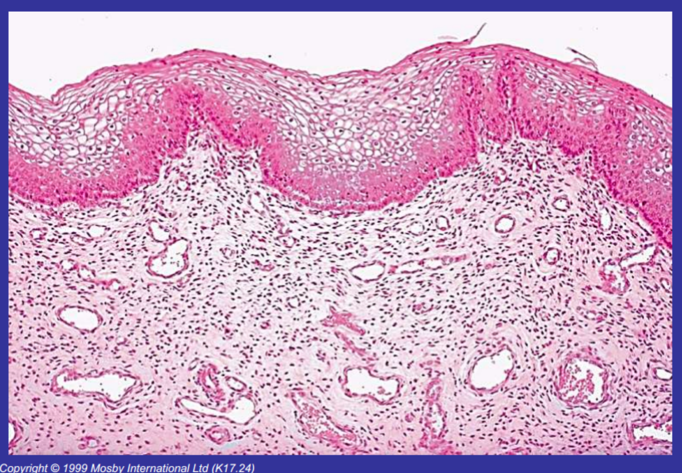
Where is this found and what type of epithelia?

A - Epidermis
B - Dermis
Skin - stratified squamous keratinised epithelium
What is this a transverse section of?

Simple cuboidal epithelium lining collecting ducts of the kidney
What structure is this?

Simple cuboidal epithelium lining the secretory portion of the sweat gland (a coiled tubular gland)
What is the arrow pointing to and where is this section found?

Pseudostratified ciliated epithelium of the trachea
The cilia beat at 12Hz within a watery sol exuded by the epithelium. Above this is a viscoeleastic mucous blanket, secreted by the goblet cells, which immobilises particles and lubricates their passage to the pharynx, where they are swallowed
What type of epithelia is this and where is this section from?

Simple columnar epithelium of the gall bladder
These cells absorb water and electrolytes from the bile produced by the liver, thus reducing its volume
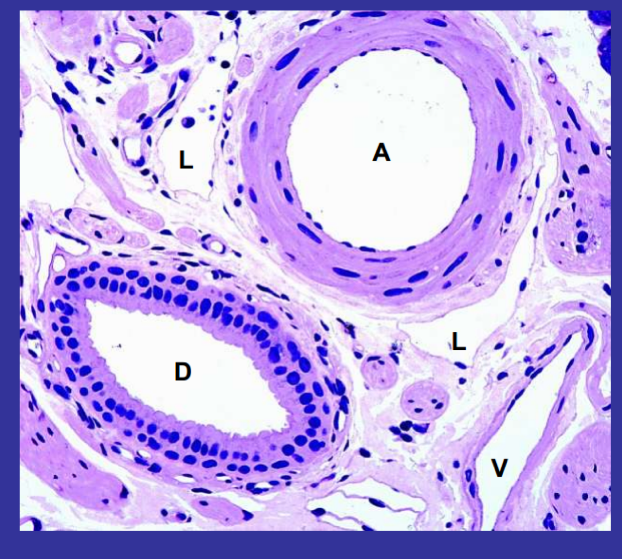
Label the picture

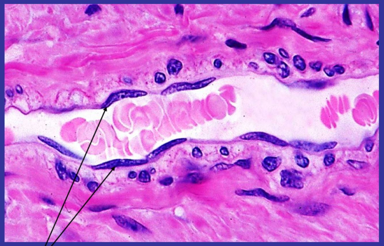
A - Simple squamous epithelium lines the lumen of an arteriole
V - Venule
L - Lyphatic
D - duct lined by stratified columnar epithelium
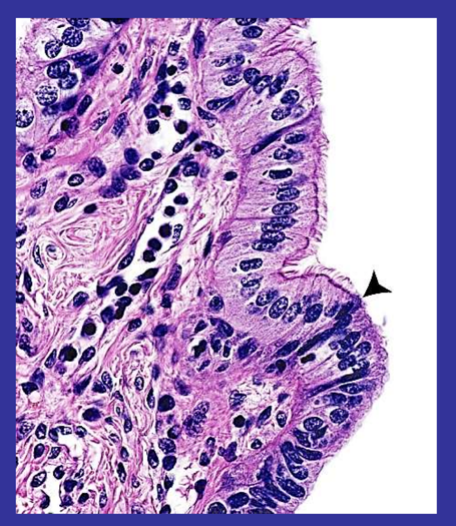
What is this structure?

Crypts of Lieberkuhn in the colon in transverse
Simple columnar epithelium
What is this structure?

Villus in small intestine
The lacteal is a dilated lymphatic capillary vessel
Label the diagram

A - Transitional epithelium or urothelium of the relaxed ureter
B - Connective tissue containing blood vessels
What is this structure and what epithelia can be found here?

Stratified squamous non-keratinised epithelium lining the vagina. The cells are rich in glycogen, a substrte for numerous lactobacilli which produce lactic acid and thereby maintain a suitibly low pH
These epithelial cells atrophy in the absence of hormonal stimulation (pre-puberty and menpause)