Torax Flashcards

(80 cards)

1
Q
A

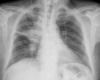
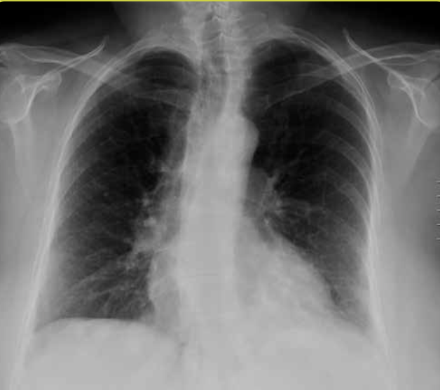
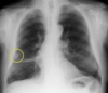
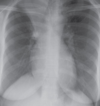
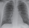
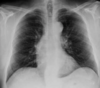
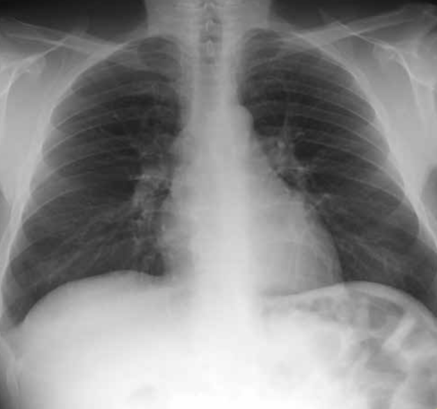
Rx normal.

Radiografía posteroanterior.

Es la proyección más utilizada. Convencionalmente se realiza en bipedestación, en inspiración profunda y a larga distancia para minimizar la magnificación.

How well did you know this?
1
Not at all
2
3
4
5
Perfectly
2
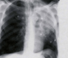
Q
A

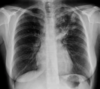
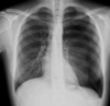
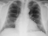
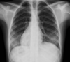
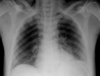
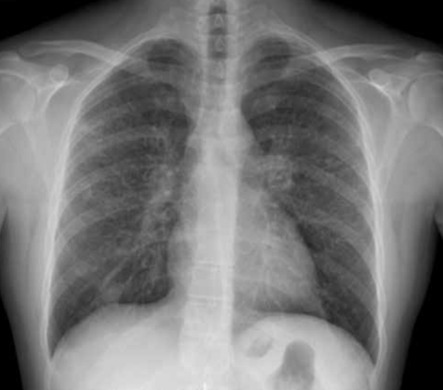
Rx normal.

Radiografía anteroposterior.

Se reserva para los casos en que no se puede hacer una proyección PA, fundamentalmente para pacientes encamados e inmovilizados, para lo que además se usan aparatos portátiles, de menor calidad.

¡OJO! Es un error frecuente diagnosticar de insuficiencia cardiaca a un paciente por culpa de una radiografía AP, ya que los hallazgos son similares. Presta atención a la proyección sobre todo si te hablan de un paciente encamado.

How well did you know this?
1
Not at all
2
3
4
5
Perfectly
3
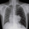
Q
A

Radiografía en decúbito lateral que evidencia derrame.

Se trata de proyecciones poco frecuentes. Toman su nombre del lado apoyado en la cama. Permiten visualizar aire o líquido en la caja torácica: para ver aire en un hemitórax, se pide un decúbito lateral con el otro hemitórax apoyado (el aire sube); para ver líquido en un hemitórax, se pide un decúbito del mismo lado (el líquido baja y se acumula bajo el pulmón, junto a la caja torácica).

How well did you know this?
1
Not at all
2
3
4
5
Perfectly
4
Q

Principales proyecciones radiológicas

A
How well did you know this?
1
Not at all
2
3
4
5
Perfectly
5
Q
A

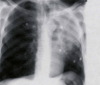
Radiografía en espiración de un neumotórax izquierdo.

Neumotórax. Se distingue mejor en espiración, ya que al aparecer el parénquima pulmonar más denso, contrasta más con el aire extrapulmonar.

Si auscultas una sibilancia unilateral, pide una placa en espiración para descartar atrapamiento aéreo.

How well did you know this?
1
Not at all
2
3
4
5
Perfectly
6
Q

Orden de estudio de una placa de tórax

A
  1. Abdomen superior
  2. Pared Torácica (tejidos blandos y huesos)
  3. Mediastino
  4. Pulmón unilateral
  5. Pulmón bilateral

¿Alguien Tiene Mocos Por Pulmonía?

How well did you know this?
1
Not at all
2
3
4
5
Perfectly
7
Q

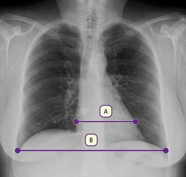
El índice cardiotorácico (ICT) es..

A

El índice cardiotorácico (ICT) es la relación que existe entre el diámetro transverso del corazón y el diámetro transverso del tórax. Para calcularlo mide la anchura horizontal del corazón y divídela entre el diámetro interno más ancho del tórax. Un índice cardiotorácico normal debe ser inferior a 0,5.

How well did you know this?
1
Not at all
2
3
4
5
Perfectly
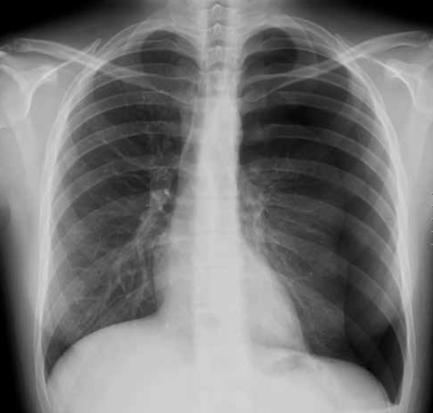
8
Q

Observa y nombra la silueta de las diferentes estructuras que forman el mediastino.

A

El borde derecho está formado de arriba hacia abajo por el tronco braquiocefálico derecho, la vena cava superior (VCS), la aurícula derecha (AD) y una pequeña parte de la vena cava inferior (VCI).

En el lado izquierdo la parte superior representa la silueta de la arteria subclavia (A Sc) que se continúa con la prominencia del botón aórtico (B Ao).

En la parte media se proyecta el tronco de la arteria pulmonar (AP); parte de la aurícula izquierda (AI) y el ventrículo izquierdo (VI), que forma un arco fuertemente prominente y delimita el ápex cardiaco.

VCS: Vena cava superior. AD: aurícula derecha. VCI: Vena cava inferior. A Sc: Arteria subclavia. B Ao: Botón aórtico. AP: Arteria pulmonar. AI: Aurícula izquierda. VI: Ventrículo izquierdo. VD: ventrículo derecho.

How well did you know this?
1
Not at all
2
3
4
5
Perfectly
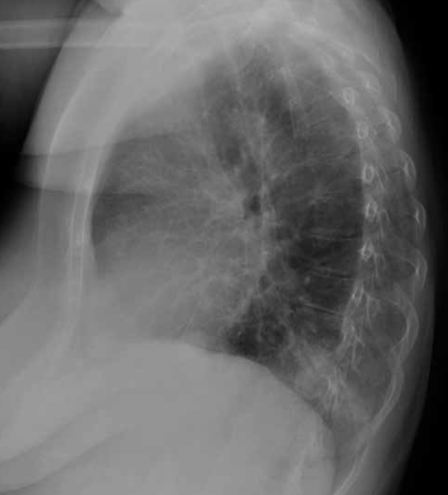
9
Q

Observa y nombra la silueta de las diferentes estructuras que forman el mediastino en radiografía lateral.

A

Mediastino en radiografía lateral.

A: Corazón. B: Cayado aórtico. C: Tráquea. D: Hilio. E: Ángulo costofrénico. F: Diafragma izquierdo. G: Diafragma derecho. H: Hígado. I: Burbuja gástrica.

How well did you know this?
1
Not at all
2
3
4
5
Perfectly
10
Q

Patrón intersticial

A

Traduce la afectación selectiva del intersticio pulmonar que aumenta de espesor y se hace más visible. Los alveolos, llenos de aire, y el pulmón sigue apareciendo bien aireado. El aspecto básico un pulmón aireado pero con demasiada trama.

How well did you know this?
1
Not at all
2
3
4
5
Perfectly
11
Q

Patrón alveolar

A

Cuando por alguna razón los alveolos se ocupan por líquido o tejido (sangre, edema, moco, tumor…) los pulmones dejan de estar aireados y aparecen blancos de forma homogénea.

Ahora el intersticio se hace menos visible porque tiene la misma densidad que los alveolos. Puede aparecer signo del broncograma aéreo.

How well did you know this?
1
Not at all
2
3
4
5
Perfectly
12
Q

Hay cuatro densidades radiológicas básicas..

A

..aire, grasa, agua y calcio.

How well did you know this?
1
Not at all
2
3
4
5
Perfectly
13
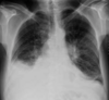
Q

Signo de la silueta en placa de tórax PA.

A

Neumonía del lóbulo inferior izquierdo. La consolidación del lóbulo inferior izquierdo borra el contorno del hemidiafragma izquierdo (infiltrado retrocardiaco).

How well did you know this?
1
Not at all
2
3
4
5
Perfectly
14
Q

Signo de la silueta en placa de tórax PL.

A

Neumonía del lóbulo inferior izquierdo. La consolidación del lóbulo inferior izquierdo borra el contorno de la aorta descendente (infiltrado retrocardiaco).

How well did you know this?
1
Not at all
2
3
4
5
Perfectly
15
Q
A

Consolidación del lóbulo medio en la que se aprecia el signo del broncograma aéreo. La visualización de aire en los bronquios intrapulmonares en una radiografía de tórax se llama signo del broncograma aéreo.

En una radiografía normal las estructuras ramificadas que se observan en los pulmones se corresponden con los vasos (de densidad agua). Los bronquios intrapulmonares no se observan ya que contienen aire, están rodeados por el aire alveolar y sus paredes son tan finas que no hay contraste que los haga visibles.

Cuando los alveolos se llenan de líquido esta situación se invierte: dejamos de ver los vasos (que ahora tienen la misma densidad que los alveolos ocupados), y se hacen visibles los bronquios (al contener aire que contrasta con el líquido alveolar).

How well did you know this?
1
Not at all
2
3
4
5
Perfectly
16
Q
A

Consolidación con pérdida de volumen y lesiones cavitadas en lóbulo superior derecho. Además, se observa consolidación periférica basal derecha.

Ante una lesión cavitada debes:

  • Valorar el grosor de la pared. Una pared gruesa e irregular sugiere neoplasia, mientras que los neumatoceles o quistes broncogénicos tienen paredes finas y más regulares.
  • Valorar el contenido. Aparte del nivel hidroaéreo, un hallazgo típico aunque raro es el del aspergiloma, en forma de bola blanca en el interior.
How well did you know this?
1
Not at all
2
3
4
5
Perfectly
17
Q

Causas de lesiones pulmonares cavitadas

A
  • Absceso, infección por hongos o micobacterias
  • Neoplasia
  • Neumonía necrotizante
  • Infarto pulmonar
  • Enfermedad de Wegener
  • Nódulos reumatoides
  • Neumoconiosis
  • Sarcoma de Kaposi
How well did you know this?
1
Not at all
2
3
4
5
Perfectly
18
Q

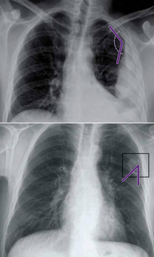
Cuando una masa o nódulo pulmonar es muy periférico, hay que diferenciarlo de una lesión extrapulmonar…

A

Nos fijaremos en el ángulo que forma la lesión con la pared torácica:

  • Obtuso. Orienta hacia masa extrapulmonar.
  • Agudo. Probablemente esté dentro del parénquima pulmonar.

Arriba: masa extrapulmonar (ángulo obtuso con la pared torácica). Abajo: masa intraparenquimatosa (ángulo agudo).

How well did you know this?
1
Not at all
2
3
4
5
Perfectly
19
Q
A

Hiperinsuflación. Patologías como el asma o el enfisema pueden cursar con un exceso de aire en los pulmones.

Sus hallazgos radiológicos son:

  • Aplanamiento del hemidiafragma. Veremos el hemidiafragma derecho por debajo de la séptima costilla anterior.
  • Horizontalización de costillas y aumento del espacio intercostal.
  • Estrechamiento de la silueta cardiaca.
  • Ensanchamiento del espacio aéreo retroesternal o retrocardiaco en proyección lateral.
How well did you know this?
1
Not at all
2
3
4
5
Perfectly
20
Q
A

Hiperinsuflación. Patologías como el asma o el enfisema pueden cursar con un exceso de aire en los pulmones.

How well did you know this?
1
Not at all
2
3
4
5
Perfectly
21
Q

TC ventana pulmonar

A

Se ven mejor la vía aérea, vasos pulmonares y cisuras, pero todas las estructuras mediastínicas aparecen de un tono gris demasiado similar.

How well did you know this?
1
Not at all
2
3
4
5
Perfectly
22
Q

TC ventana mediastínica

A

Permite diferenciar las estructuras mediastínicas entre sí, pero el parénquima pulmonar aparece todo negro, sin apenas trama broncovascular.

How well did you know this?
1
Not at all
2
3
4
5
Perfectly
23
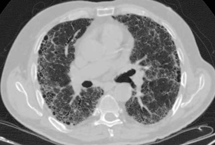
Q

Principales utilidades de TC de alta resolución?

A

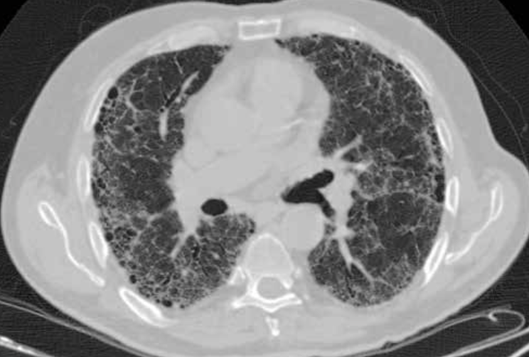
Imagen de TC de alta resolución que muestra fibrosis pulmonar.

Principales utilidades de TC de alta resolución son:

  • Valorar el grado de afectación de enfermedades intersticiales pulmonares.
  • En pacientes EPOC, para valorar el grado de enfisema y pequeñas zonas de atrapamiento aéreo.
  • Determinar la gravedad y extensión de bronquiectasias.
  • Valorar qué área es más rentable biopsiar.
How well did you know this?
1
Not at all
2
3
4
5
Perfectly
24
Q

Principales utilidades de TC de alta resolución?

A

Imagen de TC de alta resolución que muestra fibrosis pulmonar.

Principales utilidades de TC de alta resolución son:

  • Valorar el grado de afectación de enfermedades intersticíales pulmonares.
  • En pacientes EPOC, para valorar el grado de enfisema y pequeñas zonas de atrapamiento aéreo.
  • Determinar la gravedad y extensión de bronquiectasias.
  • Valorar qué área es más rentable biopsiar.
How well did you know this?
1
Not at all
2
3
4
5
Perfectly
25
Nombra estructuras de TC
1 - Vena cava superior 6 - Aorta 14 - Traquea 15 - Vena azygos 16 - Esófago 24 - Sternum 26 - Vertebro
26
Nombra estructuras de TC
1 - Vena cava superior 7 - Aorta ascendente 8 - Aorta descendente 9 - Arteria pulmonar 10 - Vasos pulmonares 14 - Traquea 15 - Vena azygos 16 - Esófago
27
Nombra estructuras de TC
1 - Vena cava superior 3 - Aurícula izquierda 7 - Aorta ascendente 8 - Aorta descendente 9 - Arteria pulmonar 10 - Vasos pulmonares 14 - Traquea 15 - Vena azygos 16 - Esófago 24 - Sternum 26 - Vertebro
28
Nombra estructuras de TC
2 - Aurícula derecha 3 - Aurícula izquierda 7 - Aorta ascendente 8 - Aorta descendente 9 - Arteria pulmonar 10 - Vasos pulmonares 14 - Traquea 15 - Vena azygos 16 - Esófago 24 - Sternum 26 - Vertebro
29
Nombra estructuras de TC
2 - Aurícula derecha 3 - Aurícula izquierda 4 - Ventriculo derecho 5 - Ventriculo izquerdo 8 - Aorta descendente 11 - Vena cava inferior 24 - Sternum 26 - Vertebro
30
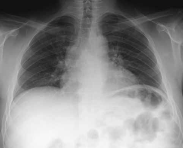
Placa de tórax en la insuficiencia cardiaca: - Cardiomegalia (ICT aumentado) - Redistribución vascular - Edema intersticial (Líneas B de Kerley) - Edema alveolar - Derrame pleural
31
Líneas B de Kerley
Líneas finas de menos de 2 cm de longitud, paralelas entre sí y perpendiculares a la pleura costal, localizados fundamentalmente en bases pulmonares, que corresponden al engrosamiento de los septos interlobulillares.
32
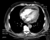
Ante una cardiomegalia en la radiografía de tórax (índice cardiotorácico >0,5) se debe hacer un diagnóstico diferencial entre..
..insuficiencia cardiaca y derrame pericárdico
33
Derrame pericárdico en radiografía simple. Ante una cardiomegalia en la radiografía de tórax (índice cardiotorácico >0,5) se debe hacer un diagnóstico diferencial entre insuficiencia cardiaca y derrame pericárdico.
34
Derrame pericárdico en radiografía simple. Ante una cardiomegalia en la radiografía de tórax (índice cardiotorácico >0,5) se debe hacer un diagnóstico diferencial entre insuficiencia cardiaca y derrame pericárdico.
35
Imagen de aneurisma aórtico en la que se aprecia la calcificación de la pared. Un aneurisma de pequeño tamaño no es visible en la PA. Si es de gran tamaño (más de 4 cm) puede apreciarse como una masa mediastínica. En tal caso presenta densidad de tejido blando, pero a menudo se encuentra una calcificación fina y curvilínea en su borde que es característica. La TC es la prueba de elección para evaluar el aneurisma. Permite evaluar su tamaño con precisión en todos los planos, así como la presencia de trombos murales.
36
## Footnote La ecografía transesofágica es la prueba más sensible para detectar la disección.
Disección aórtica. En radiografía simple no hay signos específicos. Suele aparecer una silueta aórtica prominente o un ensanchamiento mediastínico. Hallazgos ocasionales son el desplazamiento lateral de la tráquea y derrame pleural izquierdo. En la TC se puede ver la doble luz que se forma por el desprendimiento de la íntima (trazo lineal o flap intimal en el interior de la arteria, especialmente evidente con el uso de contraste intravenoso). También puede evidenciar hemopericardio como complicación.
37
Elongación aórtica. Debido fundamentalmente a la hipertensión crónica o a enfermedad ateroesclerótica, es frecuente que la aorta de pacientes mayores presente elongación. Puede verse una aorta ascendente prominente en el lado derecho de la silueta cardiaca, así como una aorta descendente tortuosa. La elongación aórtica se define en la radiografía lateral cuando la aorta sobrepasa posteriormente el borde anterior de la columna vertebral.
38
Dextrocardia. Piensa en un síndrome de Kartagener si descubres dextrocardia más bronquiectasias generalizadas. Aunque puede no acompañarse de otra patología, típicamente el situs inversus se asocia a malformaciones congénitas cardiacas y de grandes vasos, síndrome de Kartagener, asplenia o poliesplenia.
39
Ante un ensachamiento mediastínico en la radiografía de tórax tenemos que hacer un diagnóstico diferencial entre:
Masas mediastínicas Adenopatías Aneurisma de aorta Disección aórtica
40
Masa mediastínica. Timoma. Aunque la radiografía tiene una sensibilidad razonable para el diagnóstico de las enfermedades mediastínicas se debe realizar una TC a todos los pacientes para confirmar la presencia de la masa, establecer su localización exacta y caracterizarla.
41
Neumomediastino. El aire en el mediastino se ve como imágenes lineales de menor densidad que bordean la silueta cardiaca, aorta y vasos supraaórticos. Suele ser más evidente en el borde izquierdo del corazón. En la radiografía lateral puede verse aire retroesternal que rodea al timo. El aire puede disecar el tejido perivascular y llegar a cuello, región supraclavicular o axilas provocando enfisema subcutáneo, cuyo signo característico en la palpación es la crepitación. Se verán líneas radiolúcidas (negras) en los tejidos blandos del cuello y pared torácica. Estos mismos hallazgos son igualmente visibles, y con más facilidad, en la TC.
42
Derrame pleural izquierdo. Se trata de una acumulación patológica de líquido en el espacio pleural, generalmente libre y acumulado por gravedad. En bipedestación se presenta como una opacidad homogénea de las bases sin broncograma aéreo y de contorno superior cóncavo (curva de Damoisseau).
43
El tumor fantasma o el tumor evanescente es un...
El tumor fantasma o el tumor evanescente es un derrame localizado en una de las cisuras que separan los lóbulos pulmonares. El líquido al acumularse abomba las dos caras de la pleura visceral creando una imagen redondeada de aspecto fusiforme pudiendo simular una lesión intrapulmonar. Desaparece al resolver las causas que provocaron la acumulación de líquido (generalmente insuficiencia cardiaca).
44
Atelectasia. La atelectasia es la disminución de volumen de una zona del pulmón generalmente porque no ventila adecuadamente, es decir, no se rellena de aire. En la radiografía simple podemos apreciar: - Signos directos. Aumento local de densidad con pérdida de volumen: aproximación de la trama broncovascular y desplazamiento de cisuras. Si bien una neumonía lobar puede opacificar igualmente el pulmón, no hay pérdida de volumen. Por tanto, este es el signo más fiable para diferenciarlos. - Signos indirectos. Ascenso del diafragma y disminución de los espacios intercostales. También hiperinsuflación compensadora o desplazamiento de estructuras como el hilio o la tráquea. El mediastino puede estar desplazado (hacia el lado de la lesión), y si este desplazamiento es importante puede producir alteraciones hemodinámicas graves.
45
Atelectasia. En la radiografía simple podemos apreciar: - Signos directos. Aumento local de densidad con pérdida de volumen: aproximación de la trama broncovascular y desplazamiento de cisuras. Si bien una neumonía lobar puede opacificar igualmente el pulmón, no hay pérdida de volumen. Por tanto, este es el signo más fiable para diferenciarlos. - Signos indirectos. Ascenso del diafragma y disminución de los espacios intercostales. También hiperinsuflación compensadora o desplazamiento de estructuras como el hilio o la tráquea. El mediastino puede estar desplazado (hacia el lado de la lesión), y si este desplazamiento es importante puede producir alteraciones hemodinámicas graves.
46
El signo de la S de Golden..
El signo de la S de Golden se refiere a la silueta que hace la cisura menor en continuidad con una masa hiliar en la atelectasia del lóbulo superior derecho por carcinoma. La TC muestra claramente el segmento afecto, en forma de una zona de parénquima hiperdensa, y además es la prueba más útil para investigar la causa subyacente.
47
Atelectasia de lóbulo medio con enfisema compensador. Pérdida de volumen del hemitórax derecho.
48
Atelectasia de lóbulo medio con enfisema compensador. En la proyección lateral se objetiva más claramente el pulmón colapsado.
49
Absceso pulmonar en radiografía simple. Se aprecian como lesiones cavitadas en el seno de una consolidación, pudiendo ser únicas (sobre todo los abscesos primarios) o múltiples (orienta a diseminación hematógena, émbolos sépticos). Pueden tener un nivel hidroaéreo en su interior. Es típico de las lesiones intrapulmonares que el nivel hidroaéreo sea similar en proyecciones PA y lateral, y sin embargo en la pleura (empiema, hidroneumotórax...) es muy distinto el nivel en cada proyección. ## Footnote La radiografía puede ser normal en las primeras 72 h del cuadro. Son más frecuentes en segmentos apicales o posteriores, por lo que siempre debes valorar la radiografía lateral. El tamaño es variable, pero típicamente es similar en proyecciones PA y lateral. La TC es importante para caracterizar la lesión.
50
Neumonía en la língula. En la radiografía de tórax se observa un infiltrado alveolar con broncograma aéreo: el aire alveolar es sustituido por material de secreción, por lo que se observa una imagen de condensación en la zona donde esté la neumonía. Por otro lado, los bronquios, llenos de aire, hacen interfase con la condensación y se observan claramente dando lugar al signo del broncograma aéreo antes mencionado.
51
Hemorragia pulmonar bilateral. Aunque la placa de tórax puede resultar útil para el diagnóstico de hemorragia pulmonar, el contexto clínico es fundamental ya que los hallazgos radiológicos son indistinguibles del edema alveolar o de la neumonía. Las radiografías seriadas obtenidas durante varios días tras el episodio de hemorragia pulmonar aguda muestran un cambio de patrón progresivo: los primeros días se observan densidades alveolares difusas con broncograma aéreo de predominio bibasal o perihiliar. La resolución es rápida, mostrando un patrón reticular a los 2 o 3 días que va disminuyendo gradualmente hasta que la radiografía se normaliza por completo en torno a las 2 semanas.
52
Distrés respiratorio. En las fases iniciales la radiografía de tórax revela la presencia de infiltrados bilaterales difusos que pueden ser intersticiales o alveolares, parcheados o confluentes. Pueden llegar a ocupar todo el pulmón. Cuando desaparecen dan paso a un infiltrado reticular que puede resolverse o evolucionar hacia la fibrosis del intersticio.
53
TBC primaria. Complejo de Ghon: adenopatías hiliares izquierdas. Hay consolidación segmentaria o lobar (sobre todo en lóbulos inferiores), similar a cualquier otra neumonía, pero típicamente acompañada de adenopatías hiliares. Puedes encontrar también derrame pleural unilateral en la fase activa de la infección, sobre todo en adultos jóvenes. Normalmente la neumonía primaria resuelve totalmente. Pero en 1/3 de los pacientes queda una lesión calcificada residual (complejo de Ghon), así como alguna adenopatía hiliar ipsilateral calcificada. Ante este hallazgo también debes valorar la actividad bacteriana mediante cultivos.
54
TBC postprimaria. Es típica la distorsión de la arquitectura del pulmón por cicatrización y fibrosis, afectando sobre todo a lóbulos superiores. Los hallazgos más frecuentes son opacidades irregulares, cavitaciones, tractos fibrosos, engrosamiento pleural sobre todo en los ápices (casquete apical) y retracción de los hilios. El derrame y las adenopatías son menos frecuentes. La reactivación de una TBC puede ser difícil de diagnosticar. Lo mejor es comparar con radiografías antiguas, por si se evidencia aumento de la cavitación o cambios en la densidad del parénquima.
55
TBC miliar. Se presenta como pequeños nódulos diseminados por todo el pulmón.
56
Nódulo pulmonar es hallazgo de una condensación en el seno del pulmón delimitada, circunscrita, de 0,8 a 3 cm. Un micronódulo se define por medir 7 o menos milímetros, y tiene un manejo radiológico distinto (generalmente seguimiento con TC hasta asegurar su estabilidad). La masa pulmonar se define por medir más de 3 cm, y es muy sugerente de malignidad. El diagnóstico diferencial del nódulo pulmonar solitario es amplio, siendo las causas más frecuentes: carcinoma (sobre todo adenocarcinoma) y granuloma (por infección granulomatosa previa, como la TBC).
57
TBC postprimaria: cavidades y tractos fibrosos.
58
TBC postprimaria: cavidades y tractos fibrosos.
59
Se denomina así al hallazgo de una condensación en el seno del pulmón delimitada, circunscrita, de 0,8 a 3 cm. Un micronódulo se define por medir 7 o menos milímetros, y tiene un manejo radiológico distinto (generalmente seguimiento con TC hasta asegurar su estabilidad). La masa pulmonar se define por medir más de 3 cm, y es muy sugerente de malignidad.
60
Criterios radiológicos de benignidad o malignidad de un nódulo pulmonar solitario
61
Diagnóstico diferencial del nódulo pulmonar solitario
62
Metástasis pulmonares múltiples.
63
Masa pulmonar central con pérdida de volumen. El signo de la S de Golden hace referencia a la línea que forma la cisura desplazada al continuarse con la silueta de la masa. Se llama masa a una opacidad localizada de más de 3 cm, sin broncograma aéreo. En la mayoría de los casos se trata de un carcinoma broncogénico. Sin embargo, en raras ocasiones es la forma de presentación de un absceso o quiste hidatídico. El mejor método para evaluar una masa es la TC.
64
Masa pulmonar: carcinoma. Se llama masa a una opacidad localizada de más de 3 cm, sin broncograma aéreo. En la mayoría de los casos se trata de un carcinoma broncogénico. Sin embargo, en raras ocasiones es la forma de presentación de un absceso o quiste hidatídico. El mejor método para evaluar una masa es la TC. El carcinoma puede ser una masa regular, multiloculada o espiculada y puede presentar lesiones satélite. También puede cavitarse por necrosis central: la pared suele ser gruesa e irregular, pero un cáncer también puede tener una pared lisa y fina. Por crecimiento local puede erosionar las costillas o invadir otras vísceras. Es fundamental evaluar las adenopatías acompañantes.
65
Masa pulmonar: carcinoma. Se llama masa a una opacidad localizada de más de 3 cm, sin broncograma aéreo. En la mayoría de los casos se trata de un carcinoma broncogénico. Sin embargo, en raras ocasiones es la forma de presentación de un absceso o quiste hidatídico. El mejor método para evaluar una masa es la TC.
66
Neumotórax izquierdo. El neumotórax es evidente si se ve la silueta del pulmón colapsado: al estar desinflado se marca la línea de la pleura visceral, separada de la parietal por un espacio aéreo radiolúcido sin broncograma ni vasos. ¡Cuidado! No tomes la línea del borde de la escápula, como la pleura visceral en un neumotórax. ## Footnote La ecografía torácica permite valorar unos signos característicos (ausencia de fricción pleural, patrón en código de barras, punto-pulmón) de alta utilidad en urgencias.
67
Neumotórax. En los casos menos evidentes pueden verse signos indirectos como la elevación de un hemidiafragma. Recuerda que la radiografía en espiración permite ver mejor pequeños neumotórax y que las radiografías en decúbito lateral tienen cierta utilidad. Si las dudas persisten, la TC es una técnica adecuada.
68
Neumotórax. ¡OJO! El neumotórax a tensión es un diagnóstico clínico, y no radiológico. Signos clínicos de neumotórax con inestabilidad hemodinámica son suficientes para intervenir; no se debe esperar a la radiografía. El hallazgo radiológico que más apoya este diagnóstico es el desplazamiento mediastínico (hacia el lado contrario del neumotórax), junto con aplanamiento diafragmático y otros signos de hiperinsuflación en el lado afecto.
69
Neumoperitoneo. El neumoperitoneo es fácilmente detectable en la radiografía de tórax, incluso volúmenes de aire muy pequeños. En bipedestación aparece como una burbuja de aire libre bajo un hemidiafragma. Se apreciará una media luna de aire entre el diafragma y el hígado, en el lado derecho, o la burbuja gástrica en el izquierdo (y por tanto permite ver la pared gástrica en su borde superior).
70
Neumoperitoneo. El neumoperitoneo indica siempre una urgencia quirúrgica (perforación de víscera abdominal), excepto cuando se observa en los 3 días siguientes a una laparotomía, donde puede ser esperable. Recuerda que la mejor proyección para detectar neumoperitoneo es la PA de tórax.
71
Elevación del hemidiafragma
Una cúpula diafragmática más elevada de lo normal debe hacernos sospechar una parálisis diafragmática. Para confirmarlo se realiza la prueba de la inhalación: cuando se observa a un paciente con fluoroscopia mientras inhala, el diafragma paralizado se moverá paradójicamente hacia arriba debido a la presión negativa intratorácica. El diafragma también puede ser valorado en movimiento con la ecografía, con la ventaja de ausencia de radiación ionizante.
72
Bullas
El enfisema puede mostrar signos de hiperinsuflacion, con aumento del espacio claro retroesternal y retrocardiaco en la placa lateral. Otra cosa son las bullas: cavidades de contenido aéreo, con pared fina, de borde bien delimitado, más frecuentes en campos inferiores.
73
Fracturas costales
Se estudian mejor en las proyecciones de parrilla costal donde se observa una discontinuidad de la cortical ósea. Recuerda que las fracturas de la primera costilla se producen tras traumatismos importantes y se asocian a otras lesiones cervicotorácicas. Las fracturas de los tres últimos arcos costales pueden lesionar el hígado y el bazo. Hablamos de volet costal cuando se producen una serie de fracturas costales que asientan en dos puntos diferentes de cada costilla y abarcan por lo menos tres costillas.
74
Fracturas vertebrales y del esternón
Hay que pedir siempre una proyección lateral. En caso de fractura del esternón se debe pedir un ECG y enzimas cardiacas.
75
Tumores de la pared costal
Incluyen lesiones primarias, metástasis, procesos infecciosos y erosiones óseas del mieloma.
76
Lesiones osteoblásticas Metástasis óseas de tumores de próstata Tumores de mama
Lesiones osteoblásticas: metástasis óseas de tumores de próstata, enfermedad de Paget. Lesiones osteolíticas (líticas): metástasis óseas de tumores tiroideos, leucemias y linfomas. Lesiones mixtas: tumores de mama.
77
Signo de la silueta: fuente de error. Depresión del esternón. El borde cardíaco derecho está borrado y hay una densidad adicional que es sugestiva de consolidación del lóbulo medio. La RXT lateral demuestra un esternón deprimido como la causa de la apariencia macroscópica anómala en la RXT frontal. Los pulmones son normales.
78
Atelectasia lobular. Atelectasia del lóbulo superior derecho. en la cavidad pleural.
79
Neumotórax.
80
Neumomediastino. Bandas de aire en los tejidos blandos mediastínicos. Las bandas de aire pueden extenderse hasta el cuello. En este paciente, el aire ha pasado hacia los tejidos blandos que rodean el borde cardíaco izquierdo.