Torax Flashcards

(165 cards)

1
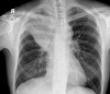
Q

Tele de tórax

A

Posteroanterior

How well did you know this?
1
Not at all
2
3
4
5
Perfectly
2
Q

Tórax óseo

A

Anteroposterior

How well did you know this?
1
Not at all
2
3
4
5
Perfectly
3
Q

Mejor método para evaluar tórax

A

TC

How well did you know this?
1
Not at all
2
3
4
5
Perfectly
4
Q

¿Qué es un patrón pulmonar?

A

Manifestación de una patología

How well did you know this?
1
Not at all
2
3
4
5
Perfectly
5
Q

Tipos de patrones pulmonares

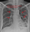
A
  • Alta densidad
  • Baja densidad
How well did you know this?
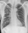
1
Not at all
2
3
4
5
Perfectly
6
Q

Patrones pulmonares de alta densidad (5)

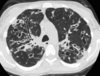
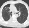
A
  • Vidrio de espulido
  • Consolidación
  • Reticular
  • Atelectasia
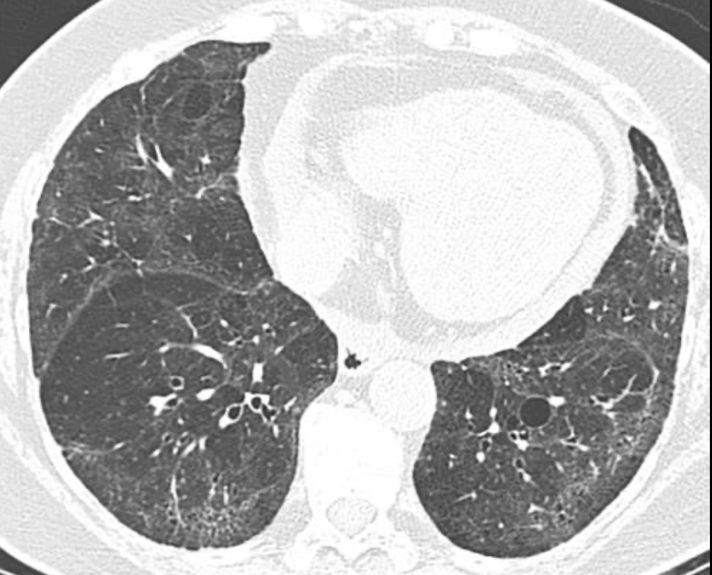
  • Nodular
How well did you know this?
1
Not at all
2
3
4
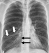
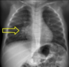
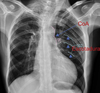
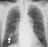
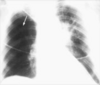
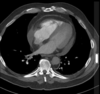
5
Perfectly
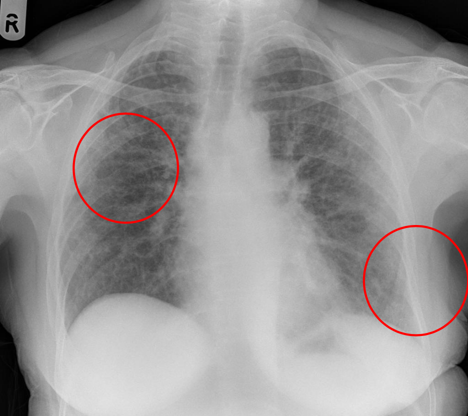
7
Q

Patrones pulmonares de baja densidad

A
  • Quiste
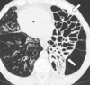
  • Caverna
  • Bulla
  • Bronquiectasia
  • Mosaico
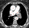
  • Enfisema
  • Neumotorax
How well did you know this?
1
Not at all
2
3
4
5
Perfectly
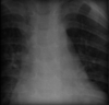
8
Q

Patrón de consolidación alveolar

A

Aumento de la atenuación pulmonar

How well did you know this?
1
Not at all
2
3
4
5
Perfectly
9
Q

Estudios de imagen de patrón de consolidación alveolar

A

Rx - radioopacidad irregular y mal definida
TC - Hiperdensidad irregular y mal definida

How well did you know this?
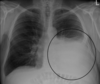
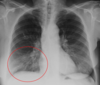
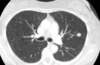
1
Not at all
2
3
4
5
Perfectly
10
Q

Causas del patrón de consolidación alveolar

A

Ocupación del espacio aéreo alveolar (sangre, pus, agua, exudad)
Más frecuente - Neumonía

How well did you know this?
1
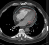
Not at all
2
3
4
5
Perfectly
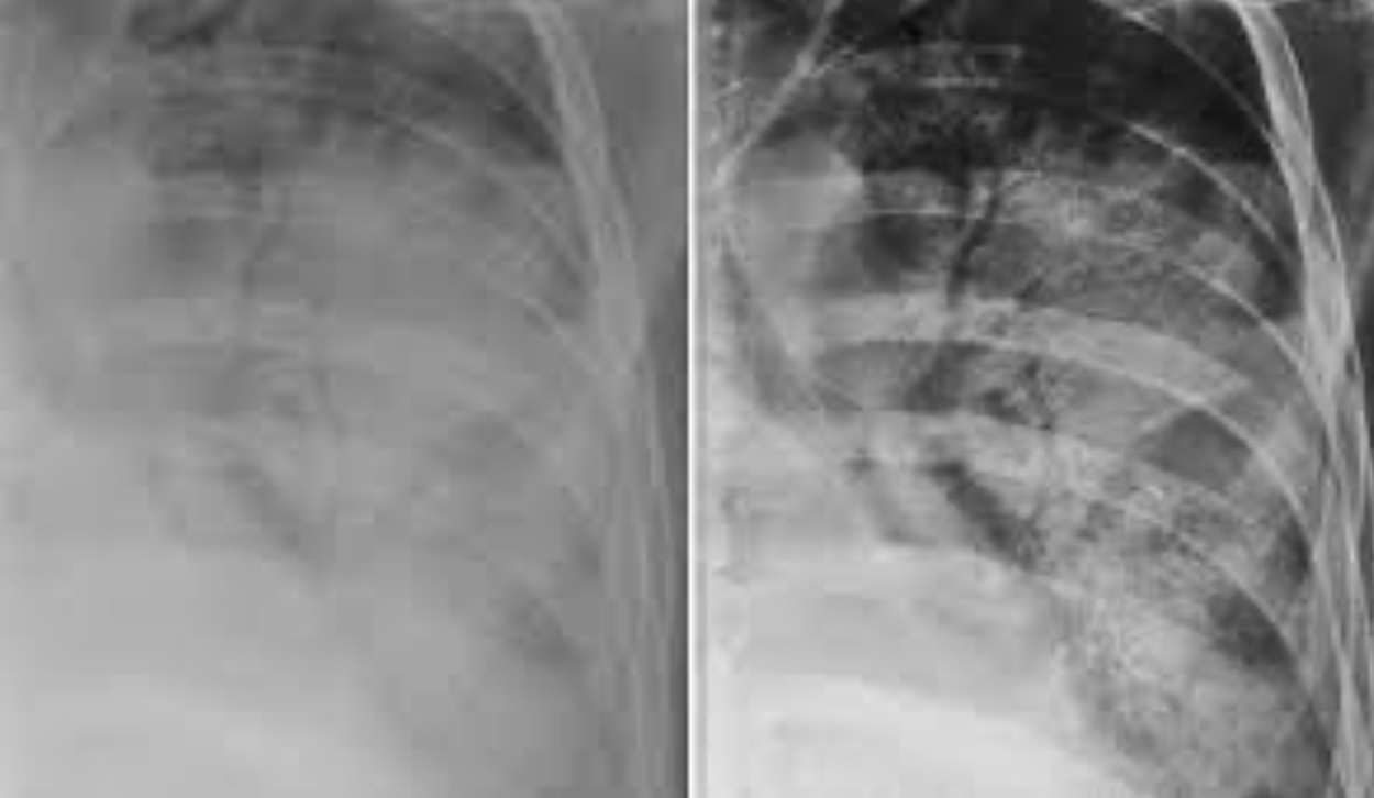
11
Q

Dato clave del patrón de consolidación alveolar

A

Broncograma aéreo

How well did you know this?
1
Not at all
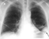
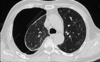
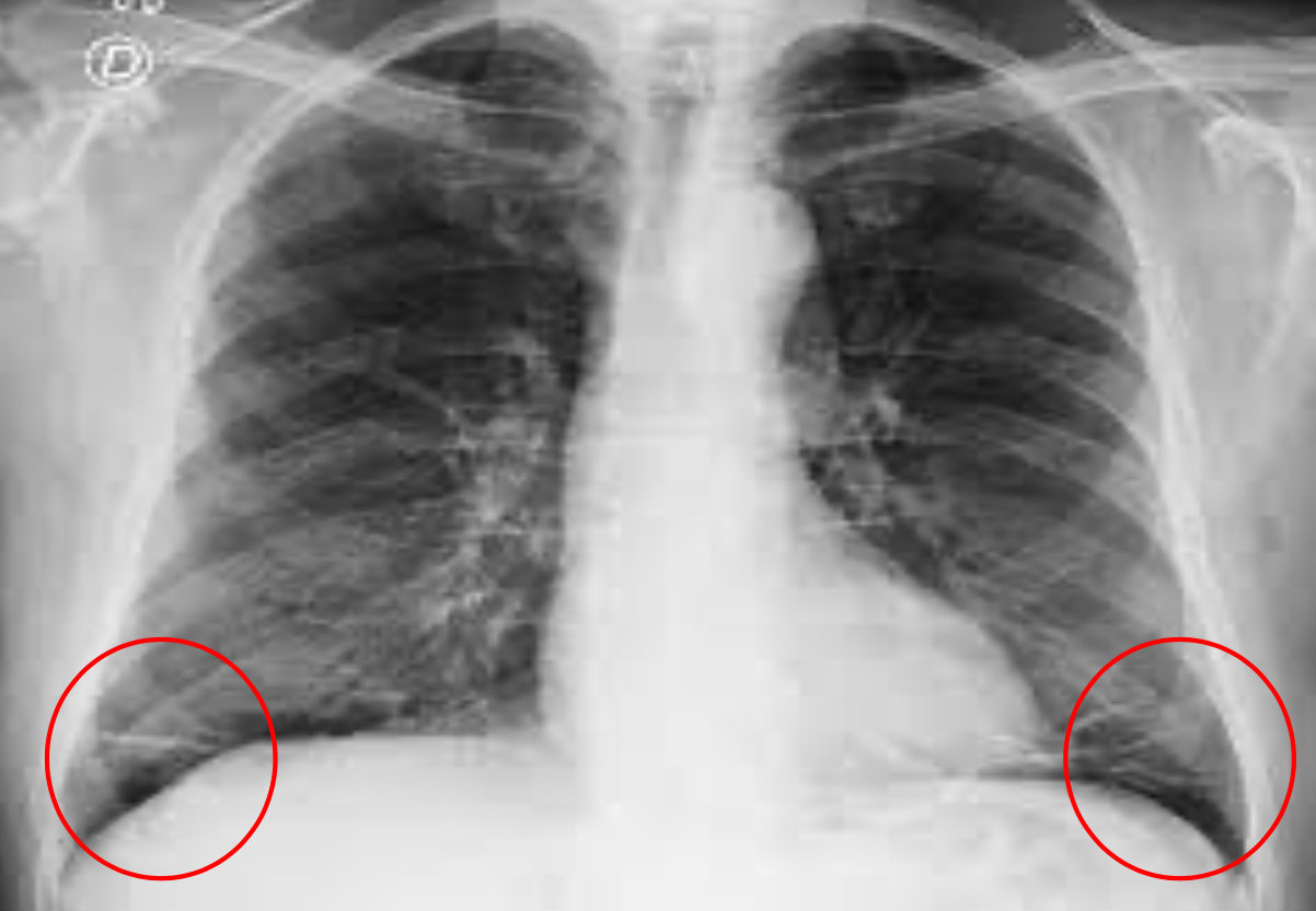
2
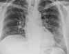
3
4
5
Perfectly
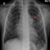
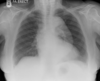
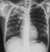
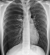
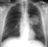
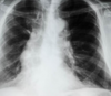
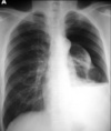
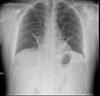
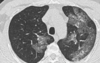
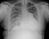
12
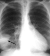
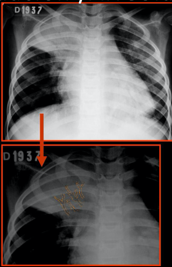
Q
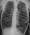
A

Consolidación alveolar

How well did you know this?
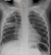
1
Not at all
2
3
4
5
Perfectly
13
Q
A

Consolidación alveolar

How well did you know this?
1
Not at all
2
3
4
5
Perfectly
14
Q
A

Consolidación alveolar

How well did you know this?
1
Not at all
2
3
4
5
Perfectly
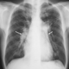
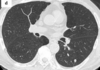
15
Q

Patrón intersticial reticular

A

Opacidades lineales en red o telaraña

How well did you know this?
1
Not at all
2
3
4
5
Perfectly
16
Q

Estudios de imagen para patrón intersticial reticular

A

Rx - líneas finas o gruesas que se ven en los extremos del pulmón
TC - líneas finas o gruesas

How well did you know this?
1
Not at all
2
3
4
5
Perfectly
17
Q

Causas de patrón intersticial reticular

A

Ocupación o enfermedad del intersticio (FQ, edema pulmonar)

How well did you know this?
1
Not at all
2
3
4
5
Perfectly
18
Q
A

Patrón intersticial reticular

How well did you know this?
1
Not at all
2
3
4
5
Perfectly
19
Q
A

Patrón intersticial reticular

How well did you know this?
1
Not at all
2
3
4
5
Perfectly
20
Q
A

Patrón intersticial reticular

How well did you know this?
1
Not at all
2
3
4
5
Perfectly
21
Q
A

Patrón intersticial reticular

How well did you know this?
1
Not at all
2
3
4
5
Perfectly
22
Q

Patrón nodular

A

Frecuente en enfermedades granulomatosas

How well did you know this?
1
Not at all
2
3
4
5
Perfectly
23
Q

¿Cuándo se considera nódulo y cuándo masa?

A

< 3 cm - masa
> 3 cm - nódulo

How well did you know this?
1
Not at all
2
3
4
5
Perfectly
24
Q

Posibles diagnósticos de nódulo solitario

A

+ Cáncer
+ TB
+ Neumonía

How well did you know this?
1
Not at all
2
3
4
5
Perfectly
25
Posibles diagnósticos de muchos nódulos
Metástasis
26
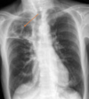
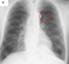
Patrón nodular - TB o cáncer
27
Árbol en brote
28
Localización del patrón nodular
29
Patrón nodular
30
Patrón nodular (balas de cañón)
31
Patrón nodular centrolobulillar
32
Patrón de atelectasia
Colapso del tejido pulmonar con pérdida de volumen
33
Causas de atelectasia
+ Obstrucción + Compresión
34
Clave para diagnóstico de atelectasia
Buscar tráquea
35
Patrón de atelectasia
36
Patrón de atelectasia
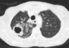
37
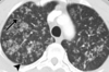
Patrón de cavitación
Lesión ovoide con pérdida de parénquima limitada por una pared con contenido líquido o aéreo
38
Patrón de cavitación
39
Patrón de cavitación
40
Bulla - pared de 2 mm
41
Patrón de quiste
Lesión redondeada de paredes delgadas, bien definidas
42
Causa de patrón de quiste
+ Lesión del parénquima + Contenido aéreo o líquido *Asociado a fibrosis pulmonar o neumonía intersticial*
43
Patrón de quiste
44
Patrón de quiste
45
Patrón de quiste
46
Sx de Cartagener
* Sinusitis * Bronquiectasia * Dextrocardia
47
Patrón de hiperclaridad
Disminución de la densidad (+ radiolucidez)
48
Causas de patrón de hiperclaridad
* Técnica * Hiperinsuflación compensatoria * Atrapamiento de aire * Enfisema * Neumotórax
49
Patrón de hiperclaridad (se pierden los vasos - se bloquean los vasos)
50
Patrón de hiperclaridad
51
Patrón de hiperclaridad (se ven los vasos - se bloquea vía aérea)
52
Centrolobulillar
53
Paraseptal
54
Panlobulillar
55
Patrón de hiperclaridad
56
Patrón de hiperclaridad
57
Causa más común de infecciones pulmonares
+ Neumonía bacteriana + COVID-19 + TB
58
Microorganismos causantes de neumonía bacteriana
+ S. pneumoniae + H. influenzae + S. aureus + P. aureuginosa
59
Es una consolidación pulmonar por exudado inflamatorio
Neumonía bacteriana
60
Diagnóstico de neumonía bacteriana
Clínico y radiográfico + Patrón de consolidación + Cuadro infeccioso + Insuficiencia respiratoria
61
Neumonía bacteriana (radioopacidad)
62
Neumonía lobar (usualmente por S. pneumoniae)
63
Neumonía segmentaria (bronconeumonía) por S. aureus Aspecto algodonoso
64
Estudios de imagen en TB
Rx y TC Primoinfección - Nódulo solitario Reactivación - Consolidación parcheada, cavitaciones
65
Primoinfección de TB
66
TB
67
Tuberculosis con patrón de ocupación alveolar
68
TB con patrón micronodular y distribución militar
69
TB con patrón de aspecto quístico
70
TB con patrón de alta atenuación de ocupación alveolar con distribución difusa
71
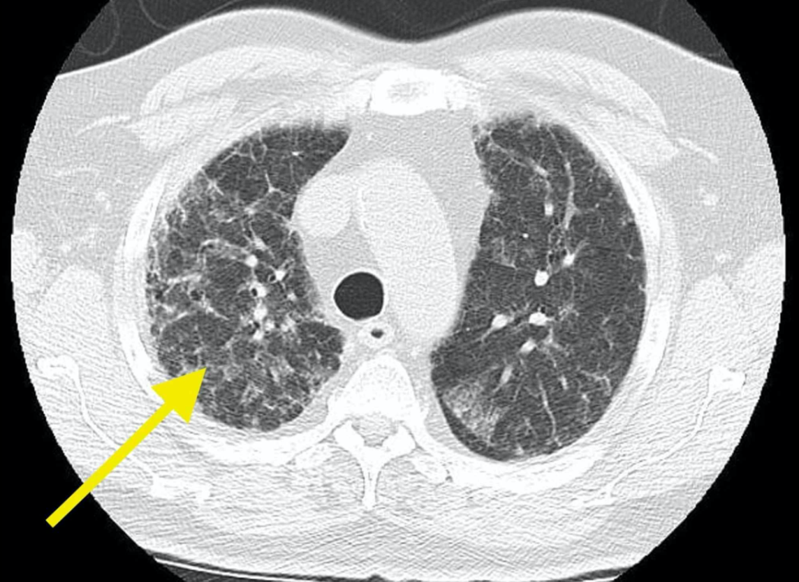
Estudios de imagen en COVID-19
Rx útil en seguimiento, poco sensible al inicio * Hallazgos similares a cualquier neumonía viral * Consolidación en vidrio despulido *Patrón reticular TC mayor sensibilidad + Consolidación periféricas en vidrio esmerilado
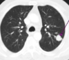
72
COVID-19 con patrón de vidrios despulido
73
COVID-19 con patrón en vidrio despulido
74
Vidrio despulido
75
Vidrio despulido
76
Clasificación de Enfermedad Pulmonar Infiltrativa Difusa Crónica
+ Enfermedades asociadas a inflamación y fibrosis + Enfermedades con reacciones granulomatosas
77
NIU
Neumonía intersticial usual = Fibrosis intersticial idiopática
78
Cuadro clínico de Enfermedad Pulmonar Infiltrativa Difusa Crónica
* Crepitaciones respiratorias * Dedos en palillo de tambor
79
Estudios de imagen para Enfermedad Pulmonar Infiltrativa Difusa Crónica
RX * Poco específica * Patrón intersticial bibasal TC * Diagnóstico de NIU * “Patrón en panal” * Bronquiectasias por tracción en las bases (dilatación bronquial)
80
Patrón en panal
81
Patrón intersticial bibasal
82
Patrón en panal
83
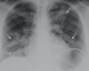
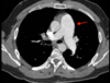
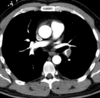
Tromboembolia pulmonar
Oclusión de arterias pulmonares por trombo de origen venoso
84
Cuadro clínico de TEP
* Disnea * Dolor torácico * Hemoptisis * Tos
85
Factores de riesgo para TEP
* Colocación o extracción de catéteres * Trabajo de parto * Fx de extremidades * Insuficiencia venosa
86
Rx para TEP
* Atelectasias basales * Elevación del diafragma * Joroba de Hampton * Signo de Westmark (aumento de lucidez = se ve más negro) * Dilatación de arteria pulmonar
87
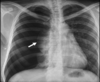
TEP
88
¿Qué es el signo de la joroba de Hampton?
Opacificación pleural en "domo" Secundario a infarto y hemorragia
89
Joroba de Hampton = TEP
90
TEP
91
¿Qué es el signo de westermark?
Hiperlucencia periférica (por oligoemia)
92
Signo de Westermark = TEP
93
Dilatación de arteria pulmonar = TEP
94
TC en TEP
Es diagnóstica, nos permite ver el trombo
95
TEP
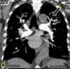
96
4 = trombo
97
TEP
98
EPOC
Enfermedad pulmonar obstructiva crónica
99
Tipos de EPOC
* Enfisema pulmonar (soplador rosado) * Bronquitis crónica (soplador azul)
100
Cx cx de EPOC
* Disnea * Tos crónica * Esputo * Sibilancias * Dolor torácico
101
Rx enfisema
* Aplanamiento de diafragma * Por hiperexpansión * Disminución de marcas broncovasculares periféricas * Hiperlucidez pulmonar * Bullas * “CORAZÓN EN GOTA”
102
Enfisema
103
Enfisema
104
TC en enfisema
* Diagnóstica * Distingue distribución (centrolobulillar, panlobulillar o paraseptal) * Engrosamiento bronquial * Atrapamiento aire
105
EPOC centrolobulillar
106
EPOC panlobulillar
107
EPOC paraseptal
108
Rx y TC en bronquitis
* Patrón intersticial grueso * Imágenes en riel o tranvía (inflamación de pared bronquial) * Manguitos peribronquiales
109
Manguito peribronquial
110
Imágenes en riel o tranvía
111
Asma
Broncoespasmo paroxístico reversible Contracción muscular, edema e infiltración mucosa bronquial así como incremento de la secreción Hiperreactividad bronquial
112
Tipos de asma
* Atópica * No atópica
113
Rx asma
* 75% normales * Patrón de hiperclaridad e hiperinsuflación * Engrosamiento bronquial * Complicación (consolidación o derrame pleural)
114
TC en asma
* Engrosamiento bronquial * Atrapamiento de aire * Hiperclaridad
115
Engrosamiento bronquial
116
Bronquiectasia
Dilatación anormal e irreversible del árbol bronquial
117
Causas de bronquiectasia
Secundaria a infección necrosante crónica de bronquios o bronquiolos
118
Subtipos de bronquiectasias
119
Rx de bronquiectasia
* Aumento en trama broncovascular * Sombras anulares * Signo de tranvía * Patrón de quiste
120
Bronquios dilatados = Bronquiectasia
121
TC en bronquiectasia
Mejor método diagnóstico * Engrosamiento de pared bronquial * Impactación mucoide * Atrapamientode aire (mosaico) * Agrandamiento de arterias bronquiales
122
Bronquiectasia
123
Bronquiectasia
124
Rx de cáncer broncogénico
Nódulo pulmonar solitario o masa
125
TC cáncer broncogénico
126
Causas de cardiomegalia
* Insuficiencia cardiaca * Derrame pericárdico
127
¿Cómo se calcula el índice cardiotorácico?
A + B / C
128
Índice cardiotorácico normal
< 0.5
129
Rx en insuficiencia cardiaca
A: edema alveolar B: líneas B de Kerley C: cardiomegalia D: dilatación de vasos en lóbulos superiores E: derrame pleural
130
Insuficiencia cardiaca
131
Hipertensión pulmonar
Presión de arteria pulmonar > 25 mmHg
132
Cx cx de hipertensión pulmonar
* Disnea * Edema periférico
133
Rx en hipertensión pulmonar
* Elevación de ápex * Cardiomegalia * Alargamiento de tronco
134
Signo de doble silueta
135
Aumento de grosor del tronco pulmonar
136
Hipertensión pulmonar
137
TC en hipertensión pulmonar
* Tronco pulmonar agrandado * Arterias pulmonares agrandadas
138
Aumento del tronco de la pulmonar
139
Derrame pericárdico
Aumento del líquido en pericardio Normal: 30 - 50 cc
140
Rx derrame pericárdico
* Puede ser imperceptible * Cardiomegalia * Signo de la garrafa o botella de agua
141
Signo de la botella de agua
142
TC derrame periférico
Gold standard * Grosor > 3 mm
143
144
Coartación aórtica
Estenosis anormal de la aorta Es congénita
145
Cx cx de coartación ártica
* Variable * Asintomáticos * Angina * Pulsos demórales disminuidos
146
Rx de coartación aórtica
* Estrechamiento de aorta * Escotaduras costales * Signo del 3
147
148
Diagnóstico de coartación aórtica
* Angiografía * AngioTC * AngioRM
149
Coartación aórtica
150
Coartación aórtica
151
Rx aneurisma aórtico
* Ensanchamiento mediastinal * Crecimiento botón aortico
152
Aneurisma aórtico
152
Mejor estudio dx para aneurisma aórtico
* AngioTC * Angiografía * AngioRM
153
Derrame pleural
Líquido en espacio pleural
154
Rx derrame pleural
* Borramiento de ángulos * Masivo = empuja
155
Derrame pleural
156
Hemotórax
Acumulación de sangre en espacio pleural
157
Rx hemotórax
* Derrame pleural * Borramiento de silueta cardiaca
158
Hemotórax
159
Neumotorax
Aire libre en la cavidad torácica
160
Rx y TC de neumotorax
* Hiperclaridad * Perdida de trama vascular * Pulmón colapsado
161
Colapso del pulmón
162
Neumotorax - colapso pulmonar
163
Rx fractura costal
Tórax óseo AP u oblicua
164
Fractura costal