TÓRAX Flashcards

(23 cards)

1
Q

Sinais e padrões torácicos
VIDRO FOSCO
Definição

A

Aumento da atenuação do espaço aéreo, sem apagar completamente as estruras vasculares ou brônquicas
*Obs: É o que difere do padrão da consolidação *

How well did you know this?
1
Not at all
2
3
4
5
Perfectly
2
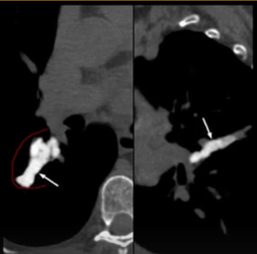
Q
A
How well did you know this?
1
Not at all
2
3
4
5
Perfectly
2
Q

Sinais e padrões torácicos
VIDRO FOSCO
O que causa a atenuação em vidro fosco?

A

Preenchimento parcial do espaço aéreo (exudato, transudato, sangue, conteúdo gástrico…)

How well did you know this?
1
Not at all
2
3
4
5
Perfectly
3
Q

Sinais e padrões torácicos
VIDRO FOSCO
O que pensar se o padrão de distribuição for perférico?

A

Pneumonia organizante, esinofílica, PINE e descamativa.

How well did you know this?
1
Not at all
2
3
4
5
Perfectly
4
Q

Sinais e padrões torácicos
VIDRO FOSCO
O que pensar se o padrão de distribuição for Medular e Zonas Inferiores?

A

Edema pulmonar, aspiração, PINE

How well did you know this?
1
Not at all
2
3
4
5
Perfectly
5
Q

Sinais e padrões torácicos
VIDRO FOSCO
O que pensar se o padrão de distribuição for Zonas centrais?

A
  • Hipersenssibilidade
  • Hemorragia alveolar
  • Edema pulmonar
  • Proteinoses
  • Aspiração
How well did you know this?
1
Not at all
2
3
4
5
Perfectly
6
Q

Sinais e padrões torácicos
VIDRO FOSCO
O que pensar se o padrão de distribuição for Superior?

A

*Hipersensibilidade
* Sarcoidose
* Bronquiolite

How well did you know this?
1
Not at all
2
3
4
5
Perfectly
7
Q

Sinais e padrões torácicos
ÁRVORE EM BROTAMENTO
Definição?

A

*Os bronquílos terminais não costumam ser visíveis na TC, no entando se tornam ‘‘indiretamente’’ visíveis quando preenchido (muco, pus, fluidos, etc).
* Formam-se no centro do lóbulo pulmonar secundário
* Poupa parênquima subpleural, incuindo adjacente às fissuras

How well did you know this?
1
Not at all
2
3
4
5
Perfectly
8
Q

Sinais e padrões torácicos
Qual padrão da imagem?

A

Padrão de árvore em brotamento
* Perceba que poupa as regiões subpleurais

How well did you know this?
1
Not at all
2
3
4
5
Perfectly
9
Q

Sinais e padrões torácicos
SINAL DO HALO
Denifição

A

Opacidades em vidro fosco circundando um nódulo/massa

How well did you know this?
1
Not at all
2
3
4
5
Perfectly
9
Q
A
How well did you know this?
1
Not at all
2
3
4
5
Perfectly
10
Q

Sinais e padrões torácicos
Sinal do Halo
Em que perfi de paciente pode apresentar esse padrão?

A
  • Pacientes com neutropenia Febril
  • Sugestivo de aspergilose angioinvasiva
How well did you know this?
1
Not at all
2
3
4
5
Perfectly
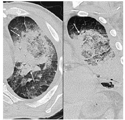
11
Q

Sinais e padrões torácicos
Qual sinal apresentado na imagem?

A

Sinal do Halo
Área de vidro fosco circundando os nódulos

How well did you know this?
1
Not at all
2
3
4
5
Perfectly
12
Q

Sinais e padrões torácicos
SINAL DO HALO INVERTIDO
Definição

A

Consolidação periférica circundando área central em vidro fosco.

How well did you know this?
1
Not at all
2
3
4
5
Perfectly
13
Q

Sinais e padrões torácicos
SINAL DO HALO INVERTIDO
*Sugestivo de qual infecção? *

A

Infecções fúngicas invasivas (Aspergilose angioinvasiva e Murcomicose)
Principalmente em pacinete imunodeprimidos.

How well did you know this?
1
Not at all
2
3
4
5
Perfectly
14
Q

Sinais e padrões torácicos
Qual o sinal apresentado da imagem?

A

Sinal do Halo Invertido
Consolidações periféricas cirundando opacidades em vidro fosco

15
Q

Sinais e padrões torácicos
Sinal do Crescente Aéreo
Definição

A

*Coleçaõ de ar em formato de crescente (C) que seprada um nódulo/ massa da parede de uma cavitação.
*Costuma ser um achado benigno

16
Q

Sinais e padrões torácicos
Sinal do Crescente Aéreo
*Costuma ser um achado benigno ou maligno? *

A

Achado benigno

17
Q

Sinais e padrões torácicos
Sinal do Crescente Aéreo
Relacionada a que patógenos?

A

Aspergilus (Angioinvasinva e Micetoma)
*Pode ser visto também em neoplasias que cavitam, Wegner

18
Q

Sinais e padrões torácicos
Qual sinal apresentado na imagem?

A

Sinal do crescente aéreo

19
Q

Sinais e padrões torácicos
Dedo-de-Luva
Definição

A

Brônquios dilatados devido a impactação por muco (pode calcificar).

  • Classicamente assocaida a ABPA (Aspergilose broncopulmonar alérgica - paciente com asma e fibrose cística) ou (Tumor endobrônquico)
20
Q

Sinais e padrões torácicos
Qual o padrão da imagem?