Qual anatomia normal da traquéia?

A calcificação traqueal é mais comum em ….
Idosos e mulheres


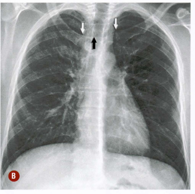
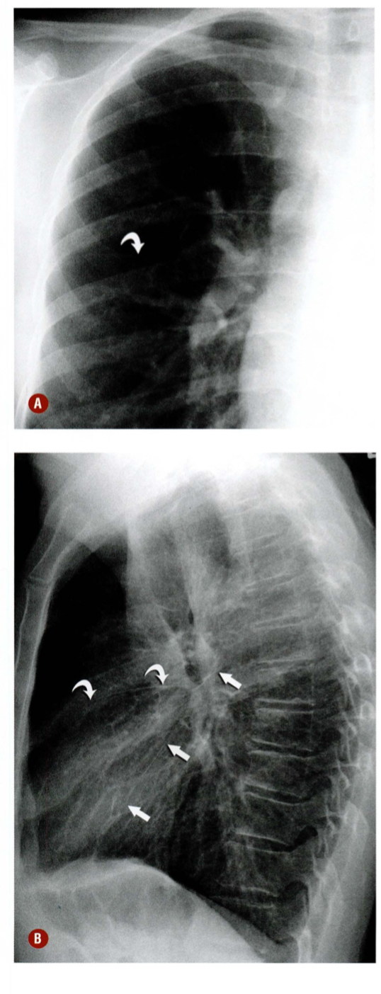
Esse tórax se encontra na inspiração ou na expiração ? Porque?

Inspiratório, mostrando convexidade posterior da parede traqueal
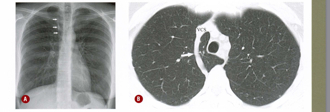
Esse tórax se encontra na inspiração ou na expiração ? Porque?

Final da inspiração , mostra o diâmetro AP da traquéia e convexidade anterior da parede posterior
Qual alteração traqueal?




Qual a segmentação de Boyden?


Qual a segmentação de Boyden?




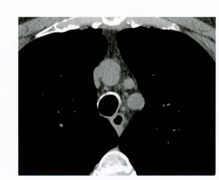
Qual a anatomia vascular básica da janela do mediastino?

Mensuração do diâmetro do tronco da artéria pulmonar

Anatomia das veias pulmonares na TC



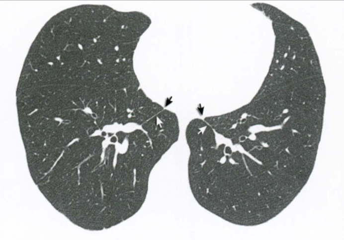
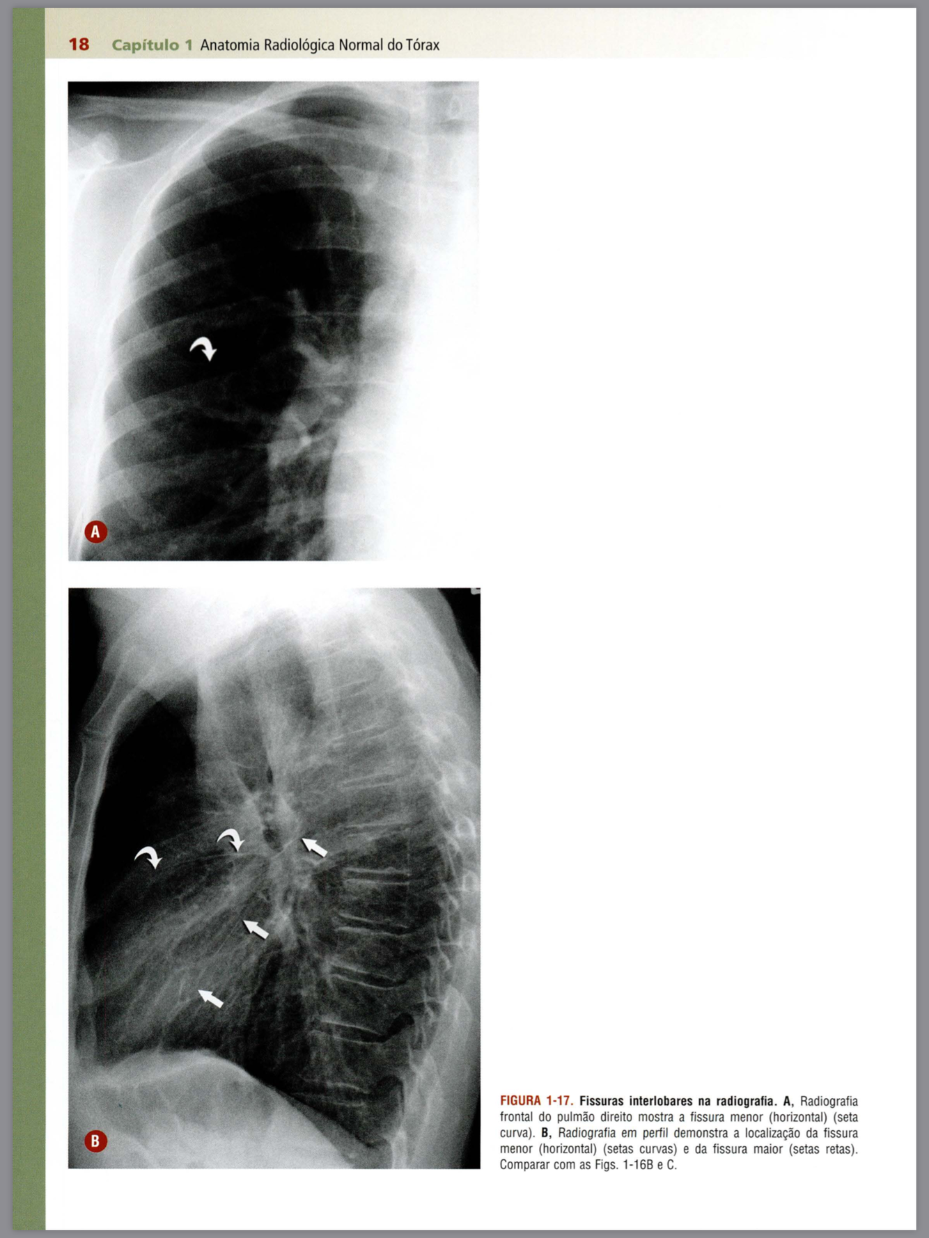
Descreva as fissuras apontadas pelas setas e os lobos pulmonares


quais as variações da classificação de boyden?
B para bronquios
S para segmento
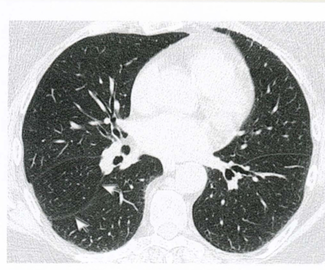
Qual a alteração demonstrada pelas setas?


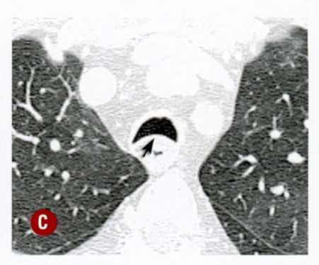
Qual estrutura apontada?


Qual estrutura apontada?


Qual estrutura apontada?


Qual a estrutura apontada?


Quais são as estruturas apontadas?


Lós que é o Lobo pulmonar secundário?

Descorra sobre os ácidos pulmonares
