TP (complet) Flashcards

(33 cards)

1
Q
A

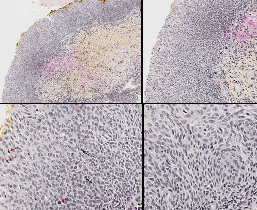
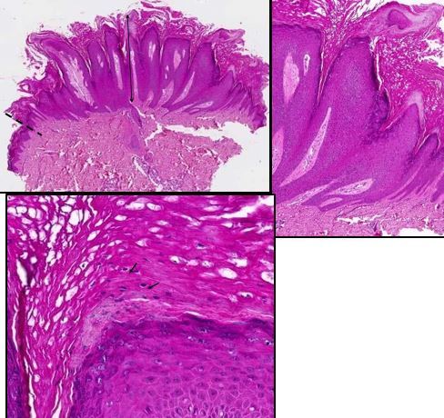
Carcinome épidermoïde

How well did you know this?
1
Not at all
2
3
4
5
Perfectly
2
Q
A

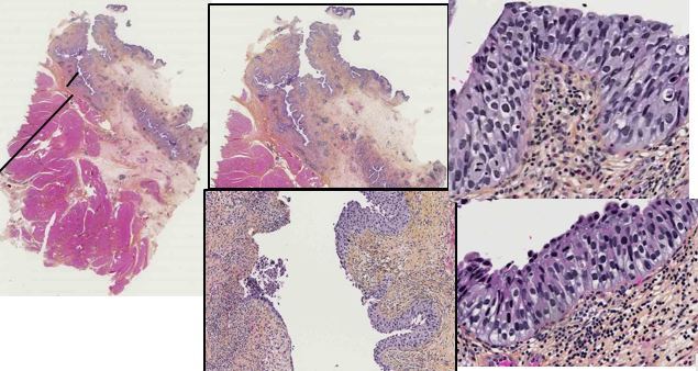
Carcinome in situ de la vessie

How well did you know this?
1
Not at all
2
3
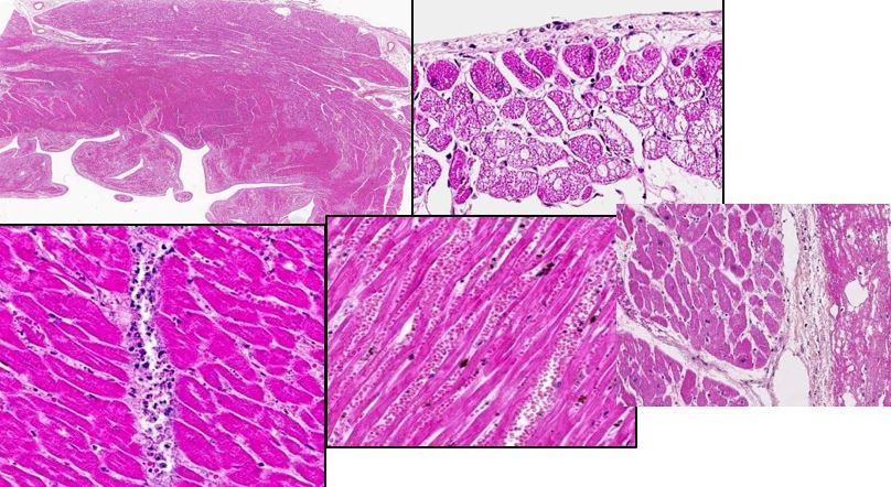
4
5
Perfectly
3
Q
A

Dysplasie de haut grade du col utérin

How well did you know this?
1
Not at all
2
3
4
5
Perfectly
4
Q
A

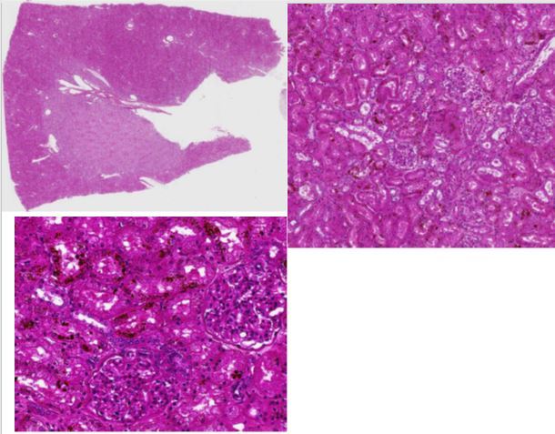
Hémosidérose rénale

How well did you know this?
1
Not at all
2
3
4
5
Perfectly
5
Q
A

Maladie de Hodgkin scléro-nodulaire

How well did you know this?
1
Not at all
2
3
4
5
Perfectly
6
Q
A

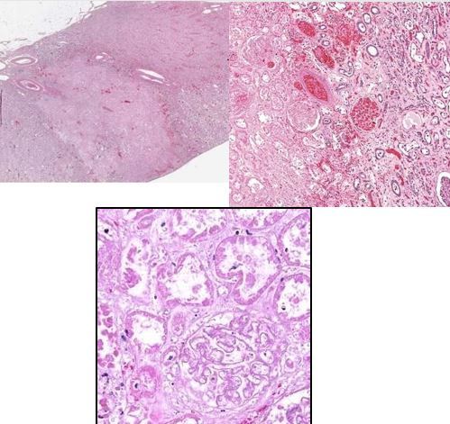
Infarctus blanc du rein

How well did you know this?
1
Not at all
2
3
4
5
Perfectly
7
Q
A

Léiomyome de l’utérus

How well did you know this?
1
Not at all
2
3
4
5
Perfectly
8
Q
A

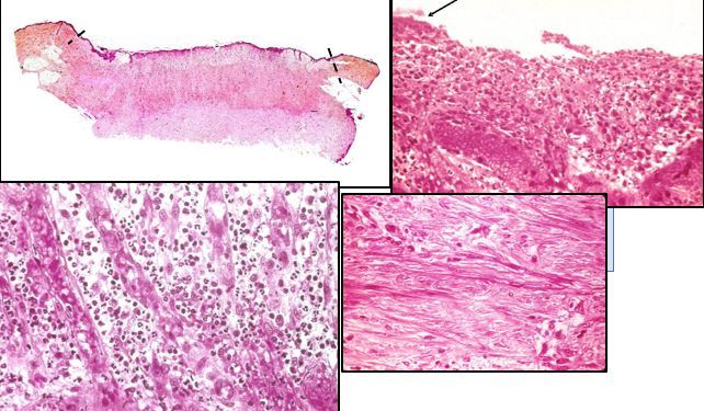
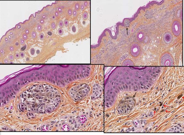
Naevus

How well did you know this?
1
Not at all
2
3
4
5
Perfectly
9
Q
A

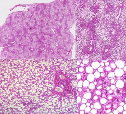
Stéatose du foie

How well did you know this?
1
Not at all
2
3
4
5
Perfectly
10
Q
A

Thrombose récente de la veine fémorale en voie d’organisation

How well did you know this?
1
Not at all
2
3
4
5
Perfectly
11
Q
A

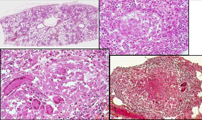
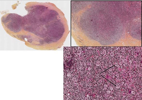
Tuberculose ganglionnaire

How well did you know this?
1
Not at all
2
3
4
5
Perfectly
12
Q
A

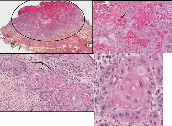
Verrue

How well did you know this?
1
Not at all
2
3
4
5
Perfectly
13
Q
A

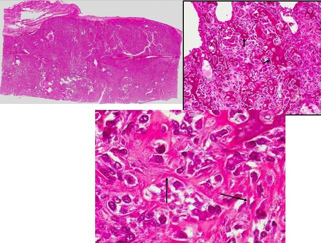
Adénocarcinome

How well did you know this?
1
Not at all
2
3
4
5
Perfectly
14
Q
A

Appendicite

How well did you know this?
1
Not at all
2
3
4
5
Perfectly
15
Q
A

Lymphome de Burkitt (colon)

How well did you know this?
1
Not at all
2
3
4
5
Perfectly
16
Q
A

Tuberculose pulmonaire

17
Q
A

Tissu de granulation

18
Q
A

Mélanome malin

19
Q
A

Infarctus rouge du poumon

20
Q
A

Métastases d’un carcinome mammaire dans un ganglion

21
Q
A

Bronchopneumonie

22
Q
A

Ostéosarcome - Sarcome ostéoblastique

23
Q
A

Nécrose ischémique récente du myocarde

25
Oedème et nécrose cellulaire du foie
26
Métastases d'un ostéosarcome aux poumons
27
Abcès mycotique du foie
28
Athérosclérose avec thrombose occlusive de l'artère coronaire
29
Fibroadénome
30
Tératome bénin - Kyste dermoïde
31
Atrophie musculaire
32
Pemphigoïde bulleuse
33
Stéatose du foie