TP2 Flashcards

(25 cards)

1
Q

L’image représente quelle type de cellule

A

Épithélium simple pavimenteux

How well did you know this?
1
Not at all
2
3
4
5
Perfectly
2
Q

Nommez deux type d’épithélium simple dans cette image

A

Endothélium = autour des capillaire ( rose foncé )
Épithélium d’un tube

How well did you know this?
1
Not at all
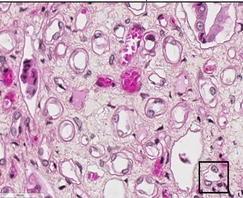
2
3
4
5
Perfectly
3
Q

L’épithélium dans l’image repose sur quoi

A

Une lame basale

How well did you know this?
1
Not at all
2
3
4
5
Perfectly
4
Q

L’image représente quelle type de cellule

A

Épithélium simple cubique

How well did you know this?
1
Not at all
2
3
4
5
Perfectly
5
Q

L’épithélium dans l’image repose sur quoi

A

Une lame basale

How well did you know this?
1
Not at all
2
3
4
5
Perfectly
6
Q

L’image représente quelle type de cellule

A

Épithélium simple cylindrique (ou prismatique)

How well did you know this?
1
Not at all
2
3
4
5
Perfectly
7
Q

Indiquer ou se trouve la lame basale

A
How well did you know this?
1
Not at all
2
3
4
5
Perfectly
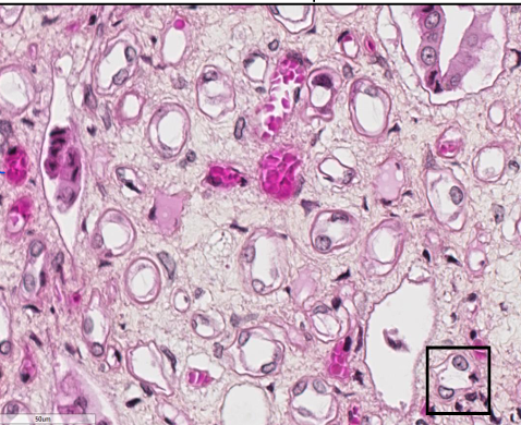
8
Q

L’espace dans l’image représente quoi

A

Un artefact

How well did you know this?
1
Not at all
2
3
4
5
Perfectly
9
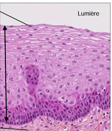
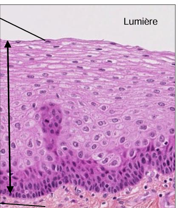
Q

L’image représente quelle type de cellule

A

Épithélium stratifié pavimenteux malpighien non kératinisé

How well did you know this?
1
Not at all
2
3
4
5
Perfectly
10
Q

Comment on determine le type de cellule ( selon la forme ) dans des cellules stratifié

A

On regarde les cellules en superficie

How well did you know this?
1
Not at all
2
3
4
5
Perfectly
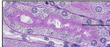
11
Q

Ou est la lame basale dans cette image

A

la ligne entre le rose pale et foncée

How well did you know this?
1
Not at all
2
3
4
5
Perfectly
12
Q

L’image représente quelle type de cellule ( peau )

A

Épithélium stratifié pavimenteux malpighien kératinisé

How well did you know this?
1
Not at all
2
3
4
5
Perfectly
13
Q

Qu’est ce que ca veut dire si les cellules n’ont pas de noyau ( ont est dans quelle couche de la peau )

A

Cellule morte => Épiderme

How well did you know this?
1
Not at all
2
3
4
5
Perfectly
14
Q

Quelle cellule on regarde dans l’image pour en déterminé le type

A

Pcq en haut c’est de la kératine

How well did you know this?
1
Not at all
2
3
4
5
Perfectly
15
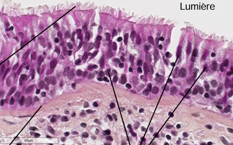
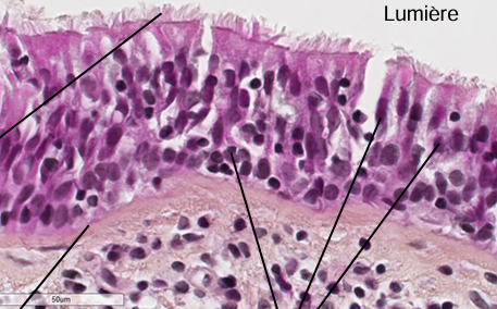
Q

L’image représente quelle type de cellule

A

Épithélium pseudostratifié cylindrique cilié

How well did you know this?
1
Not at all
2
3
4
5
Perfectly
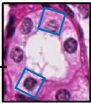
16
Q

Dans cette image quel spécification du pole apical on observe

17
Q

L’image représente quelle type de cellule ( lame vessie )

A

Épithélium de transition

18
Q

Comment on appelle l’épithélium de l’image ( vessie )

19
Q

Dans l’image les épaississement du pole apicale représente quoi

A

Les plaques membranaires qui sont une spécialisation du pôle apical de l’épithélium urinaire

20
Q

Qu’est ce que la coloration PAS

A

▪ Coloration spéciale ( violet )
▪ Mise en évidence des glucides

21
Q

Donnez des exemple de glucides qui sont colorés par le PAS

A

▪ Glycogène (foie)
▪ Mucine (estomac)
▪ Mucus (glandes salivaires)
▪ Glycoprotéines des membranes basales (tous les épithéliums)
▪ Glycocalyx (bordure en brosse de l’intestin et du rein)
▪ Cellulose (contenu gastro-intestinal)
▪ Champignons (infection à C. albicans = candidose)

22
Q

Hématoxyline colore quoi

A

Colorant basique qui lie les acides nucléiques => NOYAU

23
Q

Réactif de Schiff colore quoi et donnez des exemples

A

Colorant qui lie les aldéhydes suite à l’oxydation périodique des glucides
Ex :
Glycocalyx
- Plateau strié
- Bordure en brosse
Mucus
- Cellules caliciformes
Glycoprotéines
- Membrane basale

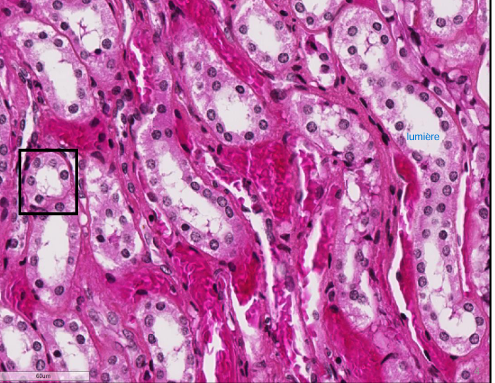
24
Q

Qu’est ce qui est mise en évidence avec la coloration PAS dans l’image

A

La bordure en brosse d’un épithélium cubique
(microvillosités) est mise en évidence par la coloration PAS puisqu’elle contient des glucides, le glycocalyx

25
Qu'est ce qui est mise en évidence avec la coloration PAS dans l'image
Le plateau strié (microvillosités) est mis en évidence par la coloration PAS puisqu’il contient des glucides, le glycocalyx