wuttt?
Naevus
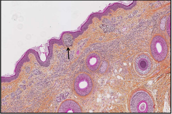
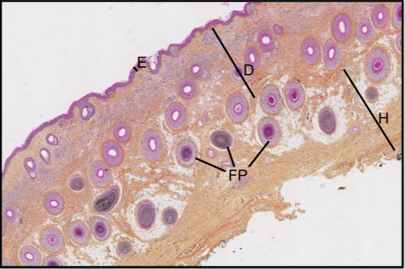
À faible grossissement, il est facile de reconnaître les différentes régions constituantes de la peau , telles; l’épiderme (E), le derme (D) et l’hypoderme (H). On remarque également beaucoup de follicules pileux (FP) coupés transversalement
what’s this?
Naevus
On remarque dans la couche dermique, juste sous la couche épidermique, des amas de cellules (flèche).
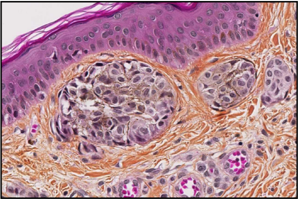
wuuuttt?
Naevus
On remarque que les cellules constituant cet amas sont en fait des mélanocytes remplis de granules de mélanine. Ces mélanocytes ont donc migrés de la couche basale de l’épiderme vers le derme.
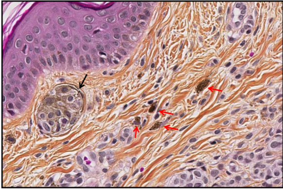
wutttt?
Naevus
En plus de trouver des amas de mélanocytes (flèche noire) on retrouve également des mélanophages isolés dans la couche dermique (flèches rouges).
crissss?
Pemphigoïde bulleuse
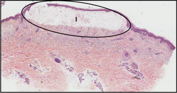
La lésion (l) bulleuse sous épidermique est facilement observable dans l’encerclé. Aucune atteinte au niveau du derme. Des deux côtés de la lésion on remarque que la peau est normale.
pq j’veux me pendre?
Pemphigoïde bulleuse
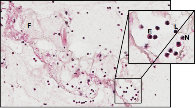
La bulle de la pemphigoïde est sous-épidermique, son contenu est fibrineux (F) et cellulaire, de nombreux éosinophiles (E), lymphocytes (L) et occasionnellement des neutrophiles (N).
asti?
Pemphigoïde bulleuse
L’infiltrat inflammatoire dermique est variable, fait de polynucléaires notamment éosinophiles et de lymphocytes, surtout retrouvé dans le derme papillaire et autour des vaisseaux , tel qu’observé ici.
criss?
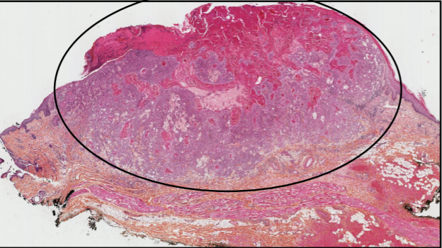
Carcinome épidermoïde
La lésion, dans l’encerclé, démontre une atteinte de l’épiderme et également une invasion dermique, des cellules tumorales. On observe une peau normale de chaque côtés de la lésion.
yoo
Carcinome épidermoïde
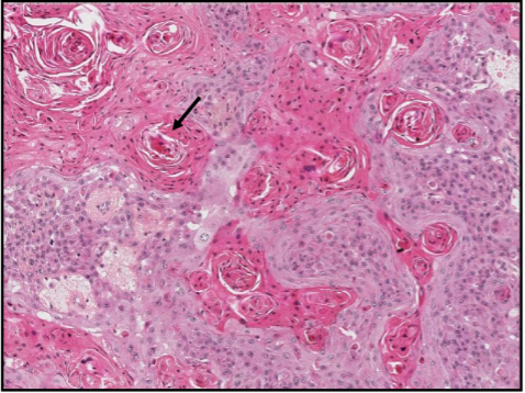
Certaines cellules tumorales peuvent synthétiser de la kératine (maturation cornée) histologiquement, cette kératinisation intéresse soit des cellules isolées soit des cellules regroupées en amas appelés «globes cornés » (flèche).
sffss
Carcinome épidermoïde
À la périphérie des lobules tumoraux (l), les cellules ressemblent à des cellules basales tandis que vers le centre des lobules, elles ressemblent à des cellules de la couche épineuse, avec un large cytoplasme polygonal acidophile.
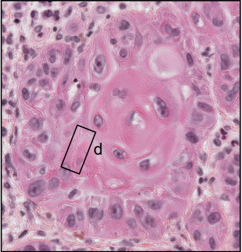
nuts
Carcinome épidermoïde
Des ponts d’union sont présents entre les cellules, réunies entre elles par des tono-filaments(Hémidesmosomes, d) ; ces ponts d’union forment histologiquement des sortes d’épines autour des cellules, qui ont donné l’ancienne dénomination de carcinome spino-cellulaire.
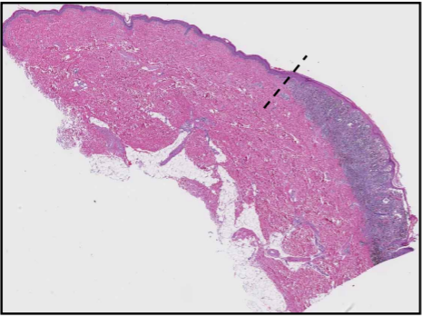
asti
Mélanome malin
Une ligne pointillée sépare la zone normale de la zone pathologique
looooo
Mélanome malin
On peut observer qu’il ya infiltration épidermique par des mélanocytes tumoraux (flèche).
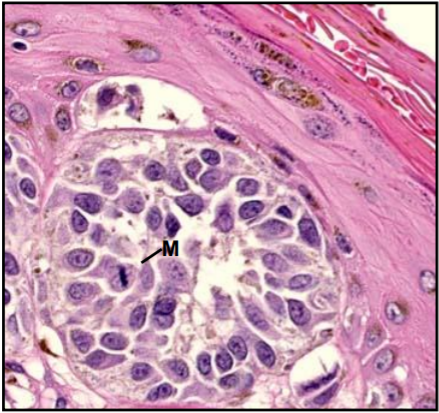
dfdfxb
Mélanome malin
On peut voir quelques mitoses
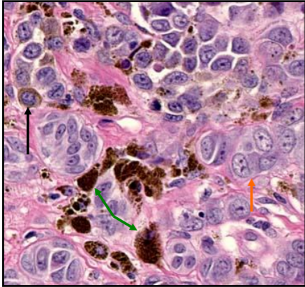
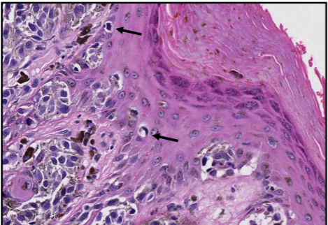
FML
Mélanome malin
Flèche orange = cellule néoplasique non-pigmentée Flèche noire = cellule néoplasique pigmentée Flèches vertes = macrophages, facilement repérable à cause de l’abondance des grains de mélanine dans le cytoplasme.