The peak incidence of trauma in the primary dentition occurs at age:
2-3
The peak incidence of trauma in the permanent dentition occurs at age:
9-10
What is the number one cause of tooth trauma?
Falls (20%)
List 8 signs of head injury
What are three injuries you should consider when someone has taken a blow to the chin?
What symptoms might a patient report following trauma that could help with diagnosis
Should you take sensitibility tests following trauma?
Yes. Not always reliable but do it anyway for a baseline comparison.
The follicle of the permanent successor tooth develops where in relation to the primary tooth?
Palatal. Need to take x-ray to see if permanent follicle has been invaded.
If an x-ray shows that the primary tooth root is shortened, does this mean it is displaced labially away from the permanent follicle, or palatally toward it?
Labially, away from follicle.
So if the root is long it is displaced palatally toward the follicy.
Is re-implantation recommeneded for avulsion injuries of the primary dentition?
No
List indicators of mobility of teeth or alveolar fragments
What type of injury does this look like?

Luxation
What type of injury is this?

Complete avulsion
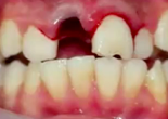
What injuries are seen here

Extrusion and luxation, and crown fracture
Has the follice been invaded?

No
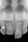
Has the follice been invaded?

Yes (elongation = palatal dispacement)
Why are root fractures rare in children?
Bone elastic
Immature root development is considered to be when the apical foramen size is greater than:
1mm
Teeth with incomplete root development (>1mm foramen) have improved pulpal survival and fewer complications. Why is this (3)
findings supporting a diagnosis of tooth concussion:
Describe a sub-luxation injury
What is the tx for subluxation?
No tx, monitor.