TRAUMA Flashcards

(64 cards)

1
Q

Quais as indicações de VA artificial ?

A

Apneia

Glasgow ≤ 8

Incapacidade de manter oxigenação com máscara

Proteção de VA (Broncoaspiração, Vômitos)

How well did you know this?
1
Not at all
2
3
4
5
Perfectly
2
Q

Quais os Tipos de VA Definitiva ?

A

Intubação: Oro e Naso

Cirúrgicas: Cricotireoidostomia (24 a 72hrs) ou Traqueostomia (Eletiva)

How well did you know this?
1
Not at all
2
3
4
5
Perfectly
3
Q

Quanto tempo é possível manter uma Crico Cirúrgica ?

Qual a contraindicação para o procedimento ?

Qual a principal complicação ?

A

24 a 72 horas

< 12 anos

Estenose Subglótica

How well did you know this?
1
Not at all
2
3
4
5
Perfectly
4
Q

Quais os tipos de VA Temporária ?

A

Crico por punção (30-45min) (Relação I:E = 1:4)

Máscara Laríngea ou Comitubo

How well did you know this?
1
Not at all
2
3
4
5
Perfectly
5
Q

Qual a conduta em paciente com Trauma PROFUSO de Face em relação a VA ?

A

Cricotireoidostomia

MAS CUIDADO → Algumas questões tentam IOT

How well did you know this?
1
Not at all
2
3
4
5
Perfectly
6
Q

IOT e paciente não melhorou / Piorou, oq pensar ?

A

Deslocamento do Tubo

Obstrução

Pneumotórax

Equipamento furou

How well did you know this?
1
Not at all
2
3
4
5
Perfectly
7
Q

Qual a clínica na Laceração/Fratura de Laringe ?

Qual a conduta ?

A

Rouquidão + Enfisema + Fratura Palpável

Tenta IOT → Se não conseguir → Traqueostomia

How well did you know this?
1
Not at all
2
3
4
5
Perfectly
8
Q

Qual a conduta no B ?

A

- O2 (10-12L/min) → TODO PACIENTE VITIMA DE TRAUMA

  • Exame Físico Respiratório
  • Saturação - Oxímetro
How well did you know this?
1
Not at all
2
3
4
5
Perfectly
9
Q

Quais os principais focos de Sangramento no Trauma ?

A

Tórax

Abdome

Pelve

Ossos Longos

How well did you know this?
1
Not at all
2
3
4
5
Perfectly
10
Q

Qual a conduta no C ?

A
  1. 2 Acessos Venosos periféricos
  2. Cristaloides (SF0,9% ou Ringer) Aquecidos (37-40ºC)
    - 1L em Adultos ; 200ml/kg em Crianças
  3. Resposta a Reposição → Não → Transamin (1g até 3hrs do Trauma+1g em 8hrs) + Transfusão Maciça
How well did you know this?
1
Not at all
2
3
4
5
Perfectly
11
Q

Qual a conduta no C ?

A
  1. 2 Acessos Venosos periféricos
  2. Cristaloides (SF0,9% ou Ringer) Aquecidos (37-40ºC)
    - 1L em Adultos ; 200ml/kg em Crianças
  3. Resposta a Reposição → Não → Transamin (1g até 3hrs do Trauma+1g em 8hrs) + Transfusão Maciça
How well did you know this?
1
Not at all
2
3
4
5
Perfectly
12
Q

Como usar o Transamin ?

A

Até 3h pós trauma, SANGRAMENTO NÃO COMPRESSÍVEL

1g em 10 min e 1h em 8hrs

How well did you know this?
1
Not at all
2
3
4
5
Perfectly
13
Q

Classificação da Perda Volêmica

Quanto cada grau perde de Sangue ?

Qual a conduta em cada um ?

A

I - < 750ml → Sem necessidade de reposição

II - 750-1500ml → Cristaloides

III - > 1500-2000ml → Cristaloides + Hemoderivados

IV - > 2000 → Cristaloides + PTM (Abordagem cirúrgica?)

How well did you know this?
1
Not at all
2
3
4
5
Perfectly
14
Q

Qual a meta de Diurese para paciente vítima de Trauma ?

Qual a C.I a Sondagem Vesical ?

A

0,5ml/kg/h → Adulto / 1ml/kg/h → Criança

Sangue no Meato

Hematoma Perineal ou Escrotal

Retenção Urinária

Fratura de Pelve

How well did you know this?
1
Not at all
2
3
4
5
Perfectly
15
Q

Qual a clínica do Pneumotórax Hipertensivo ?

A

Desvio de Traqueia

Estase de Jugular

MV abolido + Hipertimpanismo

CHOQUE OBSTRUTIVO

How well did you know this?
1
Not at all
2
3
4
5
Perfectly
16
Q

Qual a conduta Imediata no Pneumotórax Hipertensivo ?

Qual o local anatômico ?

A

Toracocentese de Alívio

Crianças → 2ºEIC Linha Hemiclavicular

Adultos → 4/5º EIC Anterior a Linha Axilar Média

How well did you know this?
1
Not at all
2
3
4
5
Perfectly
17
Q

Qual a conduta Definitiva no Pneumotórax Hipertensivo ?

Qual o local anatômico ?

A

Toracostomia com Drenagem em Selo d’água

5/6º EIC entre a linha axilar anterior e média

How well did you know this?
1
Not at all
2
3
4
5
Perfectly
18
Q

Drenou e não funcionou, o que pensar ?

Como dar o Diagnóstico ?

Qual a conduta ?

A

Lesão de Grande VA (Brônquio Fonte)

Broncoscopia

Conduta Imediata → IOT Seletiva ou 2º dreno

Conduta Definitiva → Toracotomia

How well did you know this?
1
Not at all
2
3
4
5
Perfectly
19
Q

Qual a definição de Pneumotórax Aberto ?

A

Trauma penetrante com orifício correspondendo a 2/3 do Diâmetro da Traqueia

How well did you know this?
1
Not at all
2
3
4
5
Perfectly
20
Q

Qual a conduta Imediata no Pneumotórax Aberto ?

A

Curativo de 3 pontos

How well did you know this?
1
Not at all
2
3
4
5
Perfectly
21
Q

Qual a conduta definitiva no Pneumotórax Aberto ?

Qual o local anatômico ?

A

Toracostomia com Drenagem em Selo d’água

4/5º EIC entre a linha axilar anterior e média

How well did you know this?
1
Not at all
2
3
4
5
Perfectly
22
Q

Quais as indicações para Drenar os Pneumotórax Simples / Espontâneo ?

A

Ventilação Mecânica

Transporte aéreo

Sintomático

Se Simples e Pequeno (20-30%) → Não Drena

How well did you know this?
1
Not at all
2
3
4
5
Perfectly
23
Q

O que é Pneumotórax Oculto ?

A

Visto na TC, mas não na Radiografia em Decúbito Dorsal

How well did you know this?
1
Not at all
2
3
4
5
Perfectly
24
Q

Qual a clínica do Hemotórax ?

A

Jugular Colabada

Macicez

MV abolido ou diminuído

Hipotensão

How well did you know this?
1
Not at all
2
3
4
5
Perfectly
25
Qual a conduta Imediata no Hemotórax ?
Toracostomia com Drenagem em Selo d'água 5/6º EIC entre a linha axilar anterior e média
26
Quais as indicações para Toracotomia de Urgência (Hemotórax Maciço) ?
**_NÃO PAROU DE SANGRAR:_** - \> 1,5L na Toracostomia - \> 200 ml/h durante 2 a 4 horas - Necessidade persistente de Transfusão
27
Quando fazer Toracotomia de Emergência (Reanimação) ? Quais os Objetivos ?
PCR pós trauma de tórax + Sinais de Vida Massagem Direta; Acessar saco pericárdico Controle de Hemorragia Clampear Aorta Distal
28
Qual o achado do E-fast no Hemotórax ? E no Pneumotórax Hipertensivo ?
Hemotórax → Linhas B Hipertensivo → Ausência do sinal da praia
29
Qual a definição de Tórax Instável ?
Fratura de ≥ 2 arcos costais consecutivos em, pelo menos, 2 pontos
30
Qual a clínica do Tórax Instável ? Como tratar ?
Dor + Respiração Paradoxal Analgesia + O2 + Fisioterapia Respiratória **_Hidratação COM CAUTELA_**
31
Qual a causa da Insuficiência Respiratória no Tórax Instável ? Como tratar nesses casos ?
DOR e/ou CONTUSÃO PULMONAR IOT se → SpO2 \< 90% ou PO2 \< 60
32
_Tamponamento Cardíaco:_ 1. Quantidade de Sangue no Coração ? 2. Qual a Tríade de Beck ? 3. Como é Feito o Diagnóstico ? 4. Tratamento Imediato e Definitivo ?
150 a 200 ml Hipofonese de Bulhas, Hipotensão e Turgência de Jugular Clínica + FAST Imediata: Pericardiocentese de Alívio (15-20ml) Definitiva: Toracotomia
33
Contusão Miocárdica: Qual a clínica ? Dx ? Tratamento ?
Atinge VD → IVD → Congestão Arritmias; BRD Clínica + ECO Monitorização 24h
34
Como pensar em Lesão de Aorta na Prova ? Onde ocorre a Laceração ?
Pulsos normais em MMSS e diminuídos em MMII + **Raio-X com Alargamento de mediastino** Laceração a nível do **Ligamento Arterioso**
35
Qual a conduta na Lesão de Aorta ?
Iniciar BB Definitivo Toracotomia ou Terapia endovascular **NÃO TRATA COM URGÊNCIA (pode esperar 24h)**
36
Quais as indicações de TC com CT no Trauma ? É ruim para avaliar ____ e \_\_\_\_\_
Estabilidade Hemodinâmica + Trauma Contuso (Ideal) Avaliar Retroperitônio Diafragma e Órgãos ocos
37
Quais as Janelas avaliadas na USG-Fast ? O E-Fast analisa qual janela ?
Subxifóide, Hepatorrenal, Esplenorrenal, Supra Púbica Pleural
38
Qual o orgão mais lesado em pacientes com sinal do Cinto de Segurança ?
Intestino Delgado e Mesentério
39
Qual o principal exame para Lesões Toraco-Abdominal ? É necessário o paciente estar \_\_\_\_\_\_\_\_\_
Laparoscopia / Videolaparoscopia Estável Hemodinamicamente
40
Quando o abdome é Cirúrgico no Trauma Penetrante ?
Peritonite Choque Hemodinâmico Evisceração Lesão Óbvia (Toque retal com sangue)
41
Quando o abdome é cirúrgico no Trauma Contuso ?
Peritonite (Retro)Pneumoperitônio
42
**_Qual a conduta se Abdome NÃO Cirúrgico no Trauma Penetrante ?_**
**Arma de Fogo** → Laparotomia / _Se Flanco ou Dorso → TC_ **Arma Branca** → Exploração digital → Negativa (não violou peritônio) → Alta + Antitetânica **Arma Branca** → Exploração Digital → Positiva ou duvidosa → Observar 24h + Ex. Físico + Hemograma 8/8h → **sem alteração** → Alta + Reinicia dieta - Com alteração → Instabilidade/Peritonite → Laparo - Com alteração → Leucocitose ou Queda da Hb \> 3g/dl → Laparo ou Considerar TC
43
**_Qual a conduta se Abdome NÃO Cirúrgico no Trauma Contuso ?_**
**Estável Hemodinâmicamente** → TC de Abd com CT **Instável Hemodinâmicamente** → Politrauma → FAST ou LPD (+) → Laparo **Instável Hemodinâmicamente** → Somente Trauma Abd → Laparo
44
Quais as indicações para Cirurgia se Lesão Hepática no Trauma ?
**Instabilidade Hemodinâmica** **Lesão IV (Avulsão Hepática)** na TC
45
Qual a fratura pélvica que mais Sangra ? Qual a fratura pélvica mais comum ?
Fratura em livro aberto (AP) Compressão Lateral (60-70%)
46
Qual a conduta na Fratura Pélvica ? A estabilização é feito a nível do \_\_\_\_\_\_\_
**Estabilização Pélvica** a nível do **Trocanter maior do Fêmur** + **_Olhar se tem Sangue no Abdome:_** - FAST (+) → Laparotomia - FAST (-) → Tamponamento Pré-peritoneal / Angioemb
47
Qual principal mecanismo de Trauma associado a Lesão em Uretra Posterior ? E Uretra Anterior ?
Uretra Posterior (Prostática/Membranosa) → Fratura e Luxação de Pelve **Uretra Anterior (Bulbar) → Queda a cavaleiro** Uretra Anterior (Peniana) → Traumas penetrantes, mordeduras e fraturas de corpo cavernoso
48
Qual o quadro clínico de Trauma Gênito-Urinário ? Como investigar ?
Sangue no Meato Uretral Uretrorragia Equimose Perineal ou Bolsa Escrotal * *_Uretrografia Retrógrada_** - Lesão em Uretra → Citostomia - Sem Lesão em Uretra → Sondagem
49
O que é o Sinal de Kehr ? Fala a favor de Trauma em ______ ?
Dor referida em Região Subescapular/Ombro Esquerda Trauma Esplênico
50
Quando pensar em Síndrome Compartimental Abdominal ? Qual o valor de pressão normal ?
PIA \> 21mmHg + Lesão de Orgãos 5-7 mmHg
51
Critérios para retirada de Dreno pós Drenagem Torácica ?
Débito \< 150ml/24h Dreno por 24-48h Ausência de escape aéreo Melhora clínica radiológica
52
Quando pensar em Lesão Renal no Trauma ?
Hematúria + Hematoma/Sangramento Retroperitoneal
53
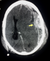
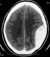
Quais os Vasos Lesados no Hematoma: Epidural ? Subdural ?
Artéria Meníngea **Veia Ponte (Vasos Superficiais do Córtex Cerebral)**
54
Qual o Hematoma Craniano + comum no trauma ? Qual o fator de risco para tê-lo ?
Hematoma Subdural Atrofia Cortical → Idoso e Alcoólatra
55
Qual a clínica do Hematoma Subdural ? Qual a imagem vista na TC ?
Piora Progressiva do estado geral Imagem em Crescente 🍌
56
Qual o fator de risco para Hematoma Epidural ?
Trauma Grave Fratura em Osso Temporal
57
Qual a clínica do Hematoma Epidural ? Qual a imagem vista na TC ?
Intervalo Lúcido (60%) Biconvexa
58
Quando indicar cirurgia nos Hematomas Cranianos ?
Desvio de linha média ≥ 5mm
59
Qual o mecanismo de Trauma da Concussão ? Qual a Clínica ?
Desaceleração Súbita (Knock-out) Perda transitória da consciência \<6h Amnésia Confusão, Convulsão
60
Qual a tríade de Cushing ?
Hipertensão Bradicardia Bradipneia
61
Qual local é feito a Traqueostomia ?
2º/3º anel traqueal
62
GLASGOW
63
**_Concussão:_** 1. Mecanismo de Trauma ? 2. Qual a clínica ?
1. Desaceleração Súbita 2. Perda de consciência \< 6h (Clássico: Segundos a minutos) Amnésia, Confusão e Convulsão
64
**_Lesão Axonal Difusa:_** 1. Mecanismo de Trauma ? 2. Qual a Clínica ?
1. Desaceleração + Cisalhamento 2. Coma \> 6h + TC Inocente