Trauma Flashcards

(299 cards)

1
Q

Causas de óbito segundos a minutos após trauma (distribuição trimodal)

A

1) Apneia (TCE/TRM)
2) Lesão cardíaca ou aorta

How well did you know this?
1
Not at all
2
3
4
5
Perfectly
2
Q

Causas de óbito minutos até 24h após trauma (distribuição trimodal)

A

Lesões com potencial de cura (trauma de abdome, tórax)

How well did you know this?
1
Not at all
2
3
4
5
Perfectly
3
Q

Causas de óbito depois de 24h após trauma (distribuição trimodal) - 2

A

1) Sepse
2) TEP

How well did you know this?
1
Not at all
2
3
4
5
Perfectly
4
Q

Como diminuir a mortalidade do 1º pico da distribuição trimodal?

A

Prevenção

How well did you know this?
1
Not at all
2
3
4
5
Perfectly
5
Q

Como diminuir a mortalidade do 2º pico da distribuição trimodal?

A

ATLS

How well did you know this?
1
Not at all
2
3
4
5
Perfectly
6
Q

Triagem se nº de vítimas < capacidade de atendimento

A

Avaliar os + graves primeiro

How well did you know this?
1
Not at all
2
3
4
5
Perfectly
7
Q

Triagem se nº de vítimas > capacidade de atendimento

A

Avaliar primeiro aqueles com maior chance de sobreviver

How well did you know this?
1
Not at all
2
3
4
5
Perfectly
8
Q

5 parâmetros usados no Trauma Escore - TS

A

1) Glasgow
2) FR
3) Esforço respiratório
4) PAs
5) TEC

How well did you know this?
1
Not at all
2
3
4
5
Perfectly
9
Q

3 parâmetros usados no Revised Trauma Score

A

1) Glasgow
2) FR
3) PAs

How well did you know this?
1
Not at all
2
3
4
5
Perfectly
10
Q

Em que se baseia o Injury Severity Score?

A

Escore anatômico → exame físico, imagem, cirúrgico

How well did you know this?
1
Not at all
2
3
4
5
Perfectly
11
Q

Escore de trauma que avalia a mortalidade tardia

A

Injury Severity Score

How well did you know this?
1
Not at all
2
3
4
5
Perfectly
12
Q

Escore de trauma usado pelo Colégio Americano de Cirurgiões

A

TRISS (trauma and injury sevrerity Score)

How well did you know this?
1
Not at all
2
3
4
5
Perfectly
13
Q

Conduta inicial no atendimento inicial de trauma

A

Garantir a segurança da cena

How well did you know this?
1
Not at all
2
3
4
5
Perfectly
14
Q

Letra A do ABCDE no trauma

A

Coluna cervical + Via aérea

How well did you know this?
1
Not at all
2
3
4
5
Perfectly
15
Q

Letra B do ABCDE no trauma

A

Respiração

How well did you know this?
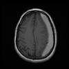
1
Not at all
2
3
4
5
Perfectly
16
Q

Letra C do ABCDE no trauma

A

Circulação + Controle da hemorragia

How well did you know this?
1
Not at all
2
3
4
5
Perfectly
17
Q

Letra D do ABCDE no trauma

A

Disfunção neurológica

How well did you know this?
1
Not at all
2
3
4
5
Perfectly
18
Q

Letra E do ABCDE no trauma

A

Exposição + controle do ambiente

How well did you know this?
1
Not at all
2
3
4
5
Perfectly
19
Q

3 formas de estabilização da coluna cervical

A

1) Colar
2) Prancha
3) Coxins

How well did you know this?
1
Not at all
2
3
4
5
Perfectly
20
Q

Melhor forma de avaliar a perviedade da via aérea

A

Fonação preservada

How well did you know this?
1
Not at all
2
3
4
5
Perfectly
21
Q

Conduta inicial se fonação não está preservada

A

Afastar corpo estranho

How well did you know this?
1
Not at all
2
3
4
5
Perfectly
22
Q

Conduta se fonação está preservada

A

Oferecer O2 (10-12L/min)

How well did you know this?
1
Not at all
2
3
4
5
Perfectly
23
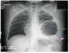
Q

TCE __________________ é indicação de Via Aérea artificial

A

Grave (Glasgow ≤ 8)

How well did you know this?
1
Not at all
2
3
4
5
Perfectly
24
Q

Cite 3 indicações de VA artificial no trauma

A

1) Apneia
2) Proteção VA
3) Incapacidade de manter oxigenação

How well did you know this?
1
Not at all
2
3
4
5
Perfectly
25
2 tipos de VA artificial
1) Definitiva 2) Temporária
26
Tipo de VA - IOT?
Definitiva
27
Tipo de VA - intubação nasotraqueal?
Definitiva
28
Tipo de VA - cricotireoidostomia cirúrgica?
Definitiva
29
Tipo de VA - traqueostomia?
Definitiva
30
Aspecto comum a todas as VA definitivas
Há um balonete insuflado na traqueia
31
Tipo de VA - cricotireoidostomia por punção?
Temporária
32
Tipo de VA - máscara laríngea?
Temporária
33
Método de IOT recomendado no trauma
Sequência rápida/induzida por drogas
34
2 fármacos usados na IOT de sequência rápida
1) Etomidato 2) Succinilcolina
35
Dose do etomidato na IOT sequência rápida
0,3mg/kg
36
Dose da succinilcolina na IOT sequência rápida
1mg/kg
37
Objetivo da manobra de Sellick
Diminui risco de broncoaspiração
38
Conduta se IOT de sequência rápida mal sucedida
Dispositivos supra-glóticos → máscara laríngea ou combitubo
39
Grande vantagem da máscara laríngea
Não precisa de laringoscopia
40
Conduta se IOT falhou e não tem disponível ML ou combitubo
Cricotireoidostomia cirúrgica
41
Criança < ______ anos não deve ser feita cricotireoidostomia cirúrgica
< 12 anos
42
Em casos de ___________ deve ser feita uma cricotireoidostomia por punção
Sufoco
43
Problema da crico por punção
Liberação de CO2 não é boa→ retenção de CO2
44
Máximo de tempo que pode ser usada a crico por punção
30-45 min
45
Antigamente, conduta em fratura de laringe
Traqueostomia
46
- Vítima de trauma - Rouquidão - Enfisema Qual a suspeita diagnóstica?
Fratura de laringe
47
2 condutas que fazem parte do "B" do ABCDE
1) Exame respiratório 2) Oximetria de pulso
48
Acesso venoso indicado para o trauma
Acesso periférico → fazer dois!
49
Criança < 6 anos em que não foi possível o acesso periférico. Qual a conduta de escolha?
Punção intra-óssea
50
Quantidade inicial de cristaloides para adultos
1 litro
51
Quantidade inicial de cristaloides para crianças
20mL/kg
52
PA do choque hemorrágico classe 1 e 2
Normotenso
53
PA do choque hemorrágico classe 3 e 4
Hipotensão
54
FC do choque hemorrágico classe 1
< 100
55
FC do choque hemorrágico classe 2
100-120
56
FC do choque hemorrágico classe 3
120-140
57
FC do choque hemorrágico classe 4
> 140
58
Classe do choque hemorrágico em que há indicação de protocolo de transfusão maciça
Classe 4
59
Explique o conceito de hipotensão permissiva
PA mínima para garantir a perfusão tecidual
60
Definição de transfusão maciça
> 10 UI/24h ou > 4UI/1h
61
Proporção de CH, de plasma e CP na transfusão maciça
1 CH : 1 P : 1 CP
62
Mecanismo de ação do transamin
Anti-fibrinolítico → inibe a fibrinólise
63
A 1ª dose do transamin deve ser feita nas primeiras _______ horas do evento traumático
3 horas
64
A 2ª dose (reforço) do transamin deve ser feita nas primeiras _______ horas do evento traumático
8 horas
65
Dose de transamin
1 grama
66
Melhor forma de avaliação da diurese do paciente
Diurese 0,5ml/kg/h
67
Paciente que não pode ser feita a hipotensão permissiva
TCE → tem que manter uma PPC
68
Paciente que não pode ser feita a hipotensão permissiva
TCE → tem que manter uma PPC
69
Por que sangue no meato uretral, retenção urinária e hematoma perineal contraindicam a sondagem vesical no contexto de trauma?
Suspeita de lesão de uretra
70
Conduta na suspeita de lesão de uretra
Uretrocistografia retrógrada
71
2 condutas na parte "D" do ABCDE
1) Glasgow 2) Avaliação de pupilas
72
2 formas de prevenção de hipotermia no trauma
1) Cristaloide aquecido 2) Manta térmica
73
Grande problema da hipotermia
Causa coagulopatias
74
Em que consiste o X-ABCDE?
Conceito do PHTLS → antes de tudo comprimir lesão exsanguinante
75
Principal causa de pneumotórax hipertensivo
Lesão pleuro-pulmonar relacionada à VM → barotrauma
76
MV no pneumotórax
Diminuído ou abolido
77
No pneumotórax hipertensivo, é comum o achado de desvio da _______
Traqueia
78
3 achados do componente hemodinâmico do pneumotórax hipertensivo
1) Desvio traqueia 2) TJ 3) Hipotensão
79
Diagnóstico de pneumotórax hipertensivo
Clínico!
80
Tipo de choque causado pelo pneumotórax hipertensivo
Obstrutivo
81
Conduta imediata no pneumotórax hipertensivo
Toracocentese de alívio
82
Local onde deve ser realizada a toracocentese de alívio do pneumotórax (adultos)
Entre 4º e 5º EIC anterior à linha axilar média
83
Local onde deve ser realizada a toracocentese de alívio do pneumotórax (crianças)
2º EIC na linha hemiclavicular
84
Conduta definitiva do pneumotórax hipertensivo
Drenagem em selo d'água
85
Local para realização da drenagem em selo d'água do pneumotórax hipertensivo
5º EIC anterior à linha axilar média
86
Se após drenagem no pneumotórax hipertensivo, paciente não melhorou. O que devo suspeitar?
Lesão de grande via aérea
87
Diagnóstico lesão de grande via aérea
Broncoscopia
88
Conduta imediata na lesão de grande via aérea (2)
1) IOT seletiva 2) 2º dreno
89
Conduta definitiva na lesão de grande via aérea
Toracotomia
90
Para ocorrência de pneumotórax aberto, é necessária a presença de uma lesão ≥ 2/3 da __________
Traqueia
91
Conduta imediata pneumotórax aberto
Curativo em 3 pontas
92
Conduta definitiva pneumotórax aberto
Drenagem em selo d'água
93
Definição de pneumotórax simples
Todo aquele em que não há desvio do mediastino para o lado contra-lateral ao pneumotórax, podendo decorrer tanto de trauma penetrante quanto fechado
94
2 indicações de drenagem no pneumotórax simples (assintomático)
1) Transporte aéreo 2) VM
95
Definição de tórax instável
Fraturas em ≥ 2 arcos costais consecutivos em pelo menos 2 pontos em cada arco
96
Definição de respiração paradoxal
- Inspiração → retração - Expiração → abaulamento
97
Conduta tórax instável
Analgesia + O2
98
Cite 1 situação muito associada ao tórax instável e que agrava o quadro
Contusão pulmonar
99
Achado no Rx de contusão pulmonar
Consolidação
100
2 indicações de IOT em pacientes com contusão pulmonar
1) Sat O2 < 90% 2) PaO2 < 60
101
Percussão pulmonar no hemotórax
Macicez
102
Como está a jugular no hemotórax?
Jugular colabada
103
Conduta hemotórax
Drenagem em selo d'água
104
Definição de hemotórax maciço (2)
1) Drenagem > 1500mL 2) Débito > 200-300mL em 2-4h
105
Conduta hemotórax maciço
Toracotomia de urgência
106
Indicação de toracotomia de reanimação (3)
PCR pós-trauma + trauma de tórax + sinais de vida
107
Definição de tamponamento cardíaco
Acúmulo de líquido no espaço pericárdico (100-150mL)
108
Tríade de Beck do tamponamento cardíaco
1) TJ 2) Hipotensão 3) Hipofonese de bulhas
109
Definição de pulso paradoxal
Redução da PAs > 10mmHg na inspiração
110
Sinal de Kussmaul do tamponamento cardíaco: o que é?
Piora da TJ na inspiração
111
Diagnóstico do tamponamento cardíaco
Clínica + FAST
112
Conduta temporária do tamponamento cardíaco
Pericardiocentese (15-20ml)
113
Sinônimo de pericardiocentese
Punção de Marfan
114
Conduta definitiva tamponamento cardíaco
Toracotomia + reparo da lesão
115
Local que + ocorre a lesão de aorta no trauma
Ao nível do ligamento arterioso
116
Achado clínico que me leva a pensar em lesão de aorta
Pulsos # entre MMSS e MMII
117
Fratura de qual local me leva a pensar em lesão de aorta?
Esterno
118
Exame de imagem inicial na lesão de aorta
Raio-x
119
Achados no Raio-x de lesão de aorta: 1) Alargamento do _________________ 2) Perda do contorno ___________________
1) mediastino 2) perda do contorno aórtico
120
Método de diagnóstico definitivo de lesão de aorta
Angio-TC/aortografia
121
Exame complementar que pode ser usado no pneumotórax hipertensivo
FAST → mas não é necessário para o diagnóstico!
122
Órgão mais lesado no trauma abdominal penetrante por arma branca
Fígado
123
Órgão mais lesado no trauma abdominal contuso por arma branca
Baço
124
Órgão mais lesado no trauma abdominal penetrante por arma de fogo
Intestino delgado
125
2 órgãos que podem ter sido lesionados
1) Delgado 2) Mesentério
126
Melhor exame para avaliação de um trauma de abdome
Tomografia
127
Problema da TC no trauma de abdome
Para sua realização, é necessária estabilidade hemodinâmica
128
Cite 2 estruturas que não são bem avaliadas pela TC de abdome
1) Vísceras ocas 2) Diafragma
129
Exame mais sensível para avaliar a presença de sangue na cavidade abdominal
LPD → lavado peritoneal diagnóstico
130
Quando considerar o LPD positivo no aspirado inicial? (2)
1) ≥ 10mL de sangue 2) Conteúdo TGI
131
Quando considerar o LPD positivo pós-lavado? (3)
1) Hemácias > 100 mil 2) Leucócitos > 500 3) Fibras alimentares ou bile
132
Exame + usado em paciente instável com trauma de abdome
FAST
133
4 espaços analisados pelo FAST
1) Saco pericárdico 2) Hepatorrenal 3) Esplenorrenal 4) Supra-púbica
134
Qual a # do E-FAST/estendido?
Avaliação do tórax → hemo/pneumotórax
135
2 principais indicações de videolaparoscopia no trauma de abdome
1) Lesão de transição toraco-abdominal 2) Lesão diafragma
136
3 achados que indicam que um abdome é cirúrgico (trauma penetrante)
1) Choque 2) Peritonite 3) Evisceração
137
2 achados que indicam que um abdome é cirúrgico (trauma penetrante)
1) Peritonite 2) Retro/pneumoperitônio
138
Conduta em um abdome considerado cirúrgico
Laparotomia
139
Em casos de trauma penetrante com abdome não cirúrgico, quando realizar laparotomia? (arma de fogo)
A tendência é sempre fazer
140
Conduta em um trauma de abdome que não é cirúrgico
Exploração digital da ferida
141
Conduta exploração digital da ferida negativa (trauma de abdome)
Alta hospitalar
142
Conduta exploração digital da ferida positiva ou duvidosa (trauma de abdome)
Observar 24h + exame físico + Hb 8/8h
143
Se durante a avaliação seriada no trauma de abdome, paciente evolui com leucocitose ou queda Hb > 3g/dL: conduta?
Considerar TC/FAST/LPD
144
Trauma contuso de abdome + irritação peritoneal: conduta?
Laparotomia
145
Trauma contuso de abdome + não cirúrgico + estável clinicamente: conduta?
TC para avaliar grau das lesões
146
Trauma contuso de abdome + não cirúrgico + instável clinicamente + não politrauma: conduta?
Laparotomia
147
Trauma contuso de abdome + não cirúrgico + instável clinicamente + politrauna: conduta?
FAST/LPD
148
Definição de cirurgia para controle de danos
Estratégia usada em trauma de abdome complexo
149
Tríade letal da morte
1) Hipotermia 2) Coagulopatia 3) Acidose
150
Objetivo da cirurgia inicial na cirurgia para controle de danos
Controle de hemorragia e de lesões grosseiras
151
Objetivo da cirurgia inicial na cirurgia para controle de danos
Controle de hemorragia e de lesões grosseiras
152
Objetivo da reanimiação em UTI na cirurgia para controle de danos
Controle hipotermia, DHE e distúrbios hemorrágicos
153
Pressão intra-abdominal normal
5-7mmHg
154
Definição de hipertensão intra-abdominal
Pressão intra-abdominal > 12mmHg
155
HIA grau 1
12-15
156
HIA grau 2
16-20mmHg
157
HIA grau 3
21-25mmHg
158
HIA grau 4
> 25mmHg
159
Definição de síndrome compartimental abdominal
PIA ≥ 21 + consequências
160
Conduta PIA 21-25
Medidas conservadoras (supina, analesia, sedação)
161
Conduta PIA ≥ 25
Descompressão
162
- Discrepância dos MMII - Hematoma região perineal Diagnóstico?
Fratura de pelve
163
Origem do sangramento em livro aberto
Venoso
164
Conduta fratura de pelve
Amarrar a pelve
165
Local de amarração da pelve em casos de fratura
Trocanter maior
166
Glasgow AO 4 pontos
Espontânea
167
Glasgow AO 3 pontos
À estímulo verbal
168
Glasgow AO 2 pontos
À estímulo álgico
169
Glasgow AO 1 ponto
Ausente
170
Glasgow RV 5 pontos
Orientado
171
Glasgow RV 4 pontos
Confuso
172
Glasgow RV 3 pontos
Palavras inapropriadas
173
Glasgow RV 2 pontos
Sons incompreensíveis
174
Glasgow RV 1 ponto
Ausente
175
Glasgow RM 6 pontos
Obedece a comandos
176
Glasgow RM 5 pontos
Localiza a dor
177
Glasgow RM 4 pontos
Retira o membro em flexão à dor
178
Glasgow RM 3 pontos
Flexão anormal (decorticação)
179
Glasgow RM 2 pontos
Extensão (descerebração)
180
Glasgow RM 1 ponto
Ausente
181
Definição de TCE leve
13-15 pontos do Glasgow
182
Definição de TCE moderado
9-12 pontos do Glasgow
183
Definição de TCE grave
≤ 8 pontos do Glasgow
184
2 tipos de lesão cerebral difusa
1) Concussão 2) Lesão axonal difusa
185
Situação comum de ocorrência de concussão cerebral
“Nocaute” de lutas
186
Definição de concussão
Perda súbita de consciência que melhora de forma rápida
187
Tempo de melhora da concussão cerebral
< 6h (mas até 24h)
188
Conduta concussão cerebral
Observação
189
Definição de lesão axonal difusa (LAD)
Perda súbita e duradoura da consciência
190
2 características clínicas de LAD
1) Glasgow baixo 2) TC inocente
191
Vaso lesionado no hematoma epidural
Artéria meníngea
192
Vaso responsável pelo hematoma subdural
Veias ponte
193
Lesão cerebral focal + comum
Hematoma subdural
194
Fator de risco para hematoma subdural (2)
1) Idoso 2) Alcoólatra
195
Fator de risco para hematoma epidural
Trauma intenso no osso temporal
196
Clínica bastante característica do hematoma epidural
Intervalo lúcido
197
Diagnóstico
Hematoma subdural
198
Diagnóstico
Hematoma epidural
199
200
V ou F: TCE moderado-grave sempre está indicada a TC de crânio
Verdadeiro.
201
2 situações em que há necessidade de uma nova TC em pacientes com TCE moderado
1) Piora clínica 2) Alteração TC inicial
202
Cateter que deve ser passado no TCE grave
PIC
203
VA recomendada no TCE grave
IOT
204
Fórmula da PPC
PPC = PAM - PIC
205
Meta de PAs no TCE grave
PAs ≥ 100-110
206
Explique a vantagem da hipotermia no TCE grave
Não melhora prognóstico do TCE grave
207
Substância intensamente depletada em transfusão sanguínea maciça
Cálcio
208
209
Origem + comum do sangramento do hemotórax (2)
1) Vasos intercostais 2) Aa.torácica interna (mamária interna)
210
Saturação de O2 de 90% corresponde a quanto de PaO2?
60mmHg
211
Saturação de O2 de 93% corresponde a quanto de PaO2?
70mmHg
212
Diagnóstico: crepitação da parede posterior do reto ao toque?
Retropneumoperitônio
213
Definição de manobra de Pringle
Realiza clampeamento das estruturas do ligamento hepatoduodenal (colédoco, veia porta e artéria hepática)
214
Reflexo que retorna indicando resolução de um quadro de choque medular
Bulbocavernoso
215
Definição de hipotermia grave
T° < 32°
216
O shunt Schrock é utilizado no tratamento das lesões de qual estrutura vascular?
Veia cava retro-hepática
217
Significado clínico do achado de equimose horizontal em abdome e diagonal em tórax
Lesão mesentérica
218
Conduta nas lesões hepáticas com extravasamento ativo de contraste
Embolização hepática
219
Diagnóstico?
Ruptura intra-peritoneal da bexiga: extravasamento de contraste
220
3 parâmetros analisados no RTS (revised trauma score)
1. PAs 2. FR 3. ECG
221
Principal causa de morte na faixa etária 1-40 anos
Trauma
222
% de óbitos que ocorrem no 1º pico de mortalidade
50%
223
% de óbitos que ocorrem no 2º pico de mortalidade
30%
224
% de óbitos que ocorrem no 3º pico de mortalidade
20%
225
Situação em que pode ser aplicado o XABCDE
Atendimento pré-hospitalar
226
Indicação de imagem cervical: traumas com velocidade > --------
56km/h
227
Indicação de imagem cervical: queda de altura > ------ metros
3 metros
228
Indicação de imagem cervical: presença de -------
TCE
229
Indicação de imagem cervical: fratura -------
Pélvica
230
Indicação de imagem cervical: sintomas --------- relacionados à coluna cervical
Neurológicos
231
Indicação de imagem cervical: --------- associada no mesmo acidente
Morte associada
232
Protocolo canadense para retirada do colar cervical (2)
1. ECG = 15 2. sem dor na região
233
2 contraindicações ao tubo orotraqueal
1. deformidade facial extensa 2. incapacidade de ver VA
234
2 contraindicações ao tubo nasotraqueal
1. apneia 2. suspeita fratura base de crânio
235
2 contraindicações ao tubo nasotraqueal
1. apneia 2. suspeita fratura base de crânio
236
2 contraindicações à crico cirúrgica
1. crianças 2. trauma de laringe
237
Tipo de cricotireoidostomia permitida em crianças
Por punção
238
Intervalo de tempo ideal de aferição da PA no trauma
5/5 min
239
Grau de choque que há indicação de ác. tranexâmico
3 e 4
240
Novidade na abordagem do choque
Ác. tranexâmico pra graus 3 e 4
241
Glasgow
242
3 sítios de sangramento que contraindicam SVD no trauma
1. uretra 2. bolsa escrotal 3. períneo
243
1 sítio de fratura que contraindica SVD no trauma
Pélvica
244
Indicação de toracotomia de urgência: hemotórax > --------ml
1500ml ou 300ml/hora
245
Indicação de toracotomia de urgência: lesão ------- anterior com tamponamento
Lesão penetrante
246
Indicação de toracotomia de urgência: pneumotórax --------
Aberto
247
Indicação de toracotomia de urgência: lesão --------- extensa
Traqueal
248
Definição de pneumotórax aberto
Ferida penetrante maior que 2/3 do diâmetro da traqueia
249
Causa de insuficiência respiratória em pacientes com trauma contuso
Contnusão pulmonar
250
Conduta no hemotórax coagulado
Videotoracoscopia
251
Diagnóstico? 1. trauma na região esternal 2. taquicardia sinusal 3. hipotensão
Contusão miocárdica
252
Ventrículo mais relacionado com a contusão miocárdica
VD
253
Mecanismo de trauma do tamponamento cardíaco
Penetrante
254
Principal ritmo de PCR associado com toracotomia de reanimação
AESP
255
2 indicações de toracotomia de reanimação
1. PCR por trauma penetrante < 15min 2. PCR por trauma fechado
256
3 etapas da toracotomia da reanimação
1. abertura do saco pericárdico 2. clampeamento aorta descendente 3. massagem interna
257
Local para realização da toracostomia de reanimação
Na sala de trauma
258
Forma de acesso indicada na toracotomia de reanimação
Ântero-lateral à esquerda
259
Conduta? 1. lesão por arma branca 2. evisceração
Sala de cirurgia
260
Conduta? 1. lesão por arma branca 2. lesão anterior ou lateral
Exploração digital
261
Conduta? 1. lesão por arma branca 2. lesão dorso ou flancos
Tomografia com triplo contraste
262
LPD vem perdendo espaço para qual método diagnóstico?
E-fast
263
2 "problemas" do LPD
1. não avalia retro-peritônio 2. não indica a fonte do sangramento
264
2 situações que diminuem acurácia do E-fast
1. distensão abdominal 2. pneumoperitônio
265
Conduta inicial em casos de trauma hepático com instabilidade clínica
Tamponamento hepático → damage-control
266
Como é feita a manobra de Pringle?
Clampeamento do ligamento hepatoduodenal
267
Etioogia da lesão de uretra posterior
Fratura pélvica
268
2 componentes da uretra posterior
1. prostática 2. membranosa
269
2 componentes da uretra anterior
1. bulbar 2. peniana
270
Etiologia da lesão de uretra anterior
Queda a cavaleiro
271
Tríade do trauma de uretra
1. uretrorragia 2. retenção vesical 3. bexigoma
272
3 tipos de mecanismo do trauma de pelve
1. anterossuperior 2. lateral 3. força cervical
273
Definição de fratura instável de pelve
Maior que 2,5cm
274
Definição de zona 1 do retroperitônio
Lesões da veia cava, aorta ou de seus ramos
275
Definição de zona 2 do retroperitônio
Lesão de vasos renais ou rins
276
Definição de zona 4 do retroperitônio
Decorrente de fraturas pélvic as
277
Conduta hematoma retroperitoneal na zona 1
Cirurgia sempre
278
Conduta hematoma retroperitoneal na zona 2: trauma penetrante
Cirurgia sempre
279
Conduta hematoma retroperitoneal na zona 2: trauma contuso
Conservador
280
Conduta hematoma retroperitoneal na zona 3
Não se deve explorar cirurgicamente
281
Classificação hipertensão intra-abdominal
282
Conduta grau 4 de HIA
Laparotomia exploradora → bolsa de Bogotá/perineostomia
283
Neuroproteção no TCE: PAs > ------
90mmHg
284
Neuroproteção no TCE: PaO2 > ---------
60mmHg
285
Neuroproteção no TCE: posição da cabeça ------
Centralizada
286
Região cerebral + acometida no hematoma extradural
Temporal → a. meníngea média
287
Conduta proscrita no trauma raqui-medular
Corticoide
288
2 reflexos classicamente alterados no trauma raquimedular
1. anal superficial 2. bulbocavernoso
289
Fisiopatologia do choque neurogênico
Perda do tônus adrenérgico
290
Principal causa de morte nos grandes queimados
Infecções
291
Camada da pele associada com queimadura de 1º grau
Epiderme
292
Camada da pele associada com queimadura de 2º grau superficial
Derme papilar
293
Camada da pele associada com queimadura de 2º grau profunda
Derme reticular
294
Camada da pele associada com queimadura de 3º grau
Subcutâneo
295
Fórmula de Parkland
2 x SCQ x peso
296
Fórmula para manejo de queimaduras ATLS
4 x SCQ x peso
297
Vantagem da infusão de fluidos aquecidos no trauma
Prevenir distúrbios da coagulação em consequência da ação fibrinolítica
298
Diagnóstico? 1. queda da PA 2. FC não aumenta em resposta
Choque neurogênico
299
Diagnóstico?
Hérnia diafragmática