Trauma Flashcards

(49 cards)

1
Q

What are common causes of head trauma?

A

Crushing injuries
(need to consider bony & soft tissue structures impacted by this)

How well did you know this?
1
Not at all
2
3
4
5
Perfectly
2
Q

What are the considerations in head trauma assessments?

A
  1. Can the animal breathe?
    - bony structures: crushed nasal bones
    - soft tissue: oral bleeding (tongue) & aspiration risk, damaged airway/larynx
  2. is there evidence of traumatic brain injury?
    - bony structures: depressed skull fracture
    - soft tissue: direct concussive trauma to brain
  3. any other injuries that are not immediately life threatening?
    - broken jaw
    - proptosis of eye
How well did you know this?
1
Not at all
2
3
4
5
Perfectly
3
Q

How do you check if a patient with head trauma can breathe?

A

Assess resp rate, effort, signs of cyanosis, pulse oximetry

If concerned instigate emergency therapy

How well did you know this?
1
Not at all
2
3
4
5
Perfectly
4
Q

How can you manage airway obstruction in head trauma?

A

Oxygen therapy is airway is patent

If not, then rapid induction & intubation
- Have suction available to clear airway (machine or urinary catheter & big syringe)

If intubation fails, emergency tracheostomy (rare)

How well did you know this?
1
Not at all
2
3
4
5
Perfectly
5
Q

Give examples of primary injuries in traumatic brain injury (TBI)

A

Concussion (no histopathological changes, self limiting)
Contusion, haematoma & laceration

How well did you know this?
1
Not at all
2
3
4
5
Perfectly
6
Q

What is a contusion (traumatic brain injury)?

A

Bruising & oedema of brain, leading to increase in intracranial pressure (ICP)

How well did you know this?
1
Not at all
2
3
4
5
Perfectly
7
Q

What is a haematoma (traumatic brain injury)?

A

Collection of blood in cerebral, subdural, or epidural spaces, all contributing to increased ICP

How well did you know this?
1
Not at all
2
3
4
5
Perfectly
8
Q

What is a laceration (traumatic brain injury)?

A

tear in parenchyma (functional tissue) of brain, which can lead to severe neurological damage

How well did you know this?
1
Not at all
2
3
4
5
Perfectly
9
Q

Give examples of secondary injuries in traumatic brain injury

A

Excitotoxicity → excess neuronal activity depletes ATP → cell damage

Neuroinflammation → free radical formation & neuronal injury

BBB disruption → impaired cerebral perfusion regulation

Overall effect: brain becomes vulnerable to BP changes, causing ischemia & further neuronal death

How well did you know this?
1
Not at all
2
3
4
5
Perfectly
10
Q

How can you spot traumatic brain injury?

A

Neurological signs:
- Obtunded mentation + history of head trauma → high suspicion

Pupil changes:
- Bilateral miosis + ↓ PLR → variable
- Unilateral mydriasis + ↓ PLR → guarded
- Bilateral mydriasis/no PLR → poor

Cushing’s reflex (severe TBI):
- ↑ MAP + bradycardia → sign of cerebral ischemia

Lab clue:
- ↑ Glucose (stress/catecholamines) — severity may correlate with prognosis

How well did you know this?
1
Not at all
2
3
4
5
Perfectly
11
Q

How do we treat traumatic brain injury?

A

Reduce ICP with hypertonic fluids
- Hypertonic Saline or Mannitol

Normalise perfusion

How well did you know this?
1
Not at all
2
3
4
5
Perfectly
12
Q

How can perfusion be normalised in traumatic brain injury?

A

Maintain normal MAP (mean arterial pressure):
- Hypotension: fluids ± vasopressors
- Hypertension: pain relief, antihypertensives

Maintain normal CO₂ levels:
- Hypercapnia: ↑ ICP via vasodilation
- Hypocapnia: ↓ cerebral perfusion via vasoconstriction
→ If unstable, consider intubation + ventilation

How well did you know this?
1
Not at all
2
3
4
5
Perfectly
13
Q

What are the 2 main types of thoracic injury

A

Blunt trauma (concussive)
Penetrating (more devastating)

How well did you know this?
1
Not at all
2
3
4
5
Perfectly
14
Q

Give examples of thoracic trauma caused by blunt trauma

A

Bruising/contusions

Swelling/oedema

Lung rupture from acute increase in pressure

Diaphragm rupture & subsequent herniation of abdominal contents

Orthopaedic (e.g. rib fractures –> secondary penetrating injury)

How well did you know this?
1
Not at all
2
3
4
5
Perfectly
15
Q

Give examples of thoracic trauma caused by penetrating injuries

A

Direct injury of lungs/airways

Direct injury of major vessels of heart

External contamination of thorax

Oesophageal injury

How well did you know this?
1
Not at all
2
3
4
5
Perfectly
16
Q

What are the key priorities when assessing thoracic trauma?

A

Triage baseline parameters, perform POCUS, secure IV access, and provide pain relief

How well did you know this?
1
Not at all
2
3
4
5
Perfectly
17
Q

What does a normal lung ultrasound look like?

A
How well did you know this?
1
Not at all
2
3
4
5
Perfectly
18
Q

What is going on in this lung ultrasound

A
How well did you know this?
1
Not at all
2
3
4
5
Perfectly
19
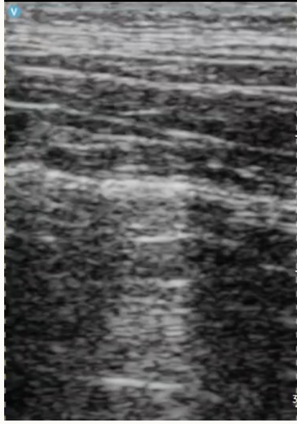
Q

What can you see in this lung ultrasound?

A

Pulmonary contusions (B-lines)

How well did you know this?
1
Not at all
2
3
4
5
Perfectly
20
Q

What can you see in this lung ultrasound?

A

Pleural effusion

21
Q

How do you diagnose pleural effusions?

A

Perform thoracocentesis, check PCV to confirm blood & consider blood gas analysis for oxygen therapy

22
Q

If BP is normal, what else is a good marker for needing oxygen therapy?

A

Lactate (elevates with anaerobic respiration)

23
Q

Why is a tension pneumothorax life threatening?

A

Pressure from pneumothorax exceeds right sided filling pressure of heart –> venous return drops –> cardiac output drops –> death

24
Q

How can tension pneumothorax be diagnosed?

A

on POCUS with signs of obstructive shock

Radiography is dramatic but don’t always have time to confirm

25
How is a tension pneumothorax treated?
Immediate thoracocentesis (butterfly catheter or needle with extension line, 3 way tap & syringe) Outcome should be immediate restoration of thoracic output (also confirms that you were correct)
26
How do you stabilise a persistent pneumothorax?
Chest drain placement
27
How do you stabilise a traumatic haemothorax?
Drain until ventilation improves Consider transfusion/autotransfusion (PCV won't change in acute setting so use clinical signs & sudden drop in total protein to judge need) Surgery
28
How do you stabilise a chylothorax?
Chest drain as required to maintain ventilation Surgery (e.g. thoracic duct ligation)
29
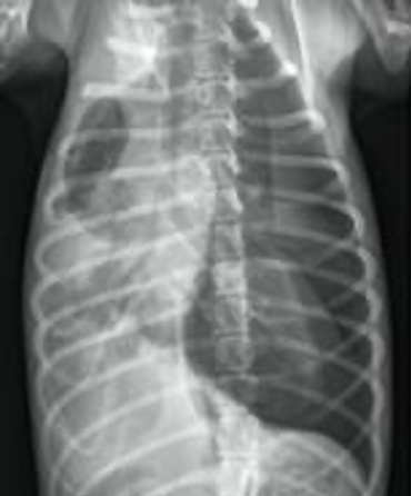
How do you stabilise a diaphragmatic hernia?
Further imaging (radiography) to confirm diagnosis Delay surgical repair for 24h until patient is stable If unstable (unable to ventilate adequately, will need to intubate & ventilate so surgery makes sense at this point)
30
How do you stabilise a penetrating injury in thoracic trauma?
1. Anaesthesia: - Usually needed for ventilation during wound closure 2. Wound management: - Clip, clean, flush with saline only (avoid hibiscrub) - Radiographs to check for foreign material - Layered closure of the wound - Insert chest drain via a separate site - Lavage and drain the thoracic cavity 3. Antibiotics: - Start broad-spectrum (e.g. amoxicillin-clavulanate) - Submit pleural fluid for C&S
31
What are the 2 main types of injuries in abdominal trauma?
Blunt trauma Penetrating injury
32
Give examples of injuries causes by blunt trauma in abdominal trauma
Bruising/contusions Swelling/oedema of all organs Small lacerations to spleen & liver from internal aspect of ribs Rupture of spleen, GIT or bladder Orthopaedic (e.g. hip fractures)
33
Give examples of penetrating injuries in abdominal trauma
Direct injury of abdominal organ Direct injury of major vessels External contamination of abdomen
34
How do you differentiate between blood & urine in free abdominal fluid?
Abdominocentesis Blood: Centrifuge → PCV similar to peripheral blood, low TP Urine: Centrifuge → Biochemistry (Creatinine >2x blood, K⁺ >1.4x blood in dogs, >1.9x in cats
35
How is a blunt trauma haemoabdomen managed in abdominal trauma?
Usually non-surgical (rarely has organ ruptured) Managed with fluid therapy, blood products if necessary (e.g. persistent tachycardia & tachypnoea), abdominal wrap & tranexamic acid Large animals may need hypertonic saline to achieve improvement in BP
36
What is Tranexamic Acid, and how does it help in trauma?
Anti-fibrinolytic that helps stabilise clot formation Used for neoplastic & idiopathic bleeds, trauma cases & spinal surgery (reduces intraoperative bleeding)
37
How is a penetrating trauma haemoabdomen managed in abdominal trauma?
Usually surgical Initial stabilisation with fluid therapy +- blood products/autotransfusion Aim to restore perfusion (BP, lactate & clinical signs are primary measures) Anaesthesia might be complicated (cardiac arrythmias) - myocardial hypoxia may have occurred (exacerbated by anaesthesia) - Lidocaine pre drawn up or CRI Tranexamic acid Exploratory laparotomy (staged approach)
38
Why is a staged approach recommended for exploratory laparotomy?
Finding exact source of bleeding can be difficult Consider harvesting blood for autotransfusion If bleeding can't be stopped, pack & close abdomen Re-operate in 24–48 hours
39
What is pneumoperitoneum, and why is it serious?
Free gas in abdomen indicating GIT damage, which can lead to sepsis & distributive shock
40
How is pneumoperitoneum diagnosed and treated?
Diagnosis: POCUS (air interference), confirmed by radiography Treatment: Exploratory laparotomy, GI repair, broad-spectrum antibiotics (amoxicillin/clavulanate)
41
What is the main life-threatening consequence of uroabdomen?
Hyperkalemia, which slows cardiac conduction, causing bradycardia, atrial standstill & death
42
How is uroabdomen treated?
Stabilise first (especially hyperkalaemia): - Glucose + insulin, alkalinising fluids (e.g. Hartmann’s) Surgical repair usually required Abdominal drainage + lavage with saline Urinary catheter: - Diverts urine away from abdomen to aid healing - Allows contrast studies to localise leak - If no leak visible, consider IV ureterography
43
Why can spinal trauma be hard to diagnose in the initial triage?
Patient may present collapsed from other injuries (e.g., haemoabdomen), delaying neurological assessment Treat what you can see initially but important to perform full neuro assessment in stages of triage
44
What can spinal cord transection lead to?
Loss of autonomic control & loss of vascular tone --> Neurogenic shock (type of distributive shock)
45
What are the signs of neurogenic shock?
Lack of response to fluid therapy alone to improve BP Requirement of vasopressor therapy Neurological deficits
46
What exam should you do if you are suspicious of spinal trauma?
Survey radiography Always take orthogonal views Spinal manipulation to obtain these views must be extremely careful Sedation may be indicated if patient still has movement in forelimbs (thrashing around) but beware, loss of muscle tone may make destabilisation worse
47
What are the UMN vs LMN signs in spinal trauma?
UMN (Upper Motor Neuron) → Increased/normal reflexes & tone LMN (Lower Motor Neuron) → Decreased/absent reflexes & tone
48
When should you refer spinal traumas?
Always if possible CT preferred for absolute diagnosis & to allow for surgical planning Some fractures/subluxations not obvious on routine radiography Some cases may have contusions without fractures & recover with supportive care
49
What is the prognosis for large animals with spinal trauma?
Poor; euthanasia often best outcome However, surgical stabilisation is possible for neck fractures in adult horse if neurological deficits are mild