Which type of injury has the worst prognosis for pulpal healing?
intrusion and avulsion
in what type of tooth can apexogenesis occur?
An immature VITAL tooth
What is the most common type of injury in the primary dentition?
luxations
What types of injuries to the periodontal tissues can occur?
Concussion
subluxation
intrisive luxation
lateral luxation
extrusive luxation
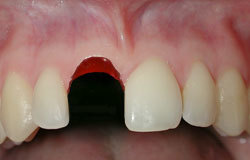
avulsion
What types of injury can you get to the gingivae or oral mucosa?
laceration
contusion
abrasion
degloving
What different treatments can be performed to allow apexogenesis?
Cvek pulpotomy
Cervical pulpotomy - remove the coronal pulp
What questions would you ask about a child that has suffered from dental trauma?
Do a brief accurate medical history (allergies, bleeding disorders, immunisation status)
What, where, when, how, who
LOC?
Signs of head injuries or other body injuries?
How would you treat this type of fracture?

Radiographic assessment of tooth - PA if possible, if not an alternative
If there is no pulp involvement you would do the following:
What treatment would you do for a tooth with a root fracture?
1. Rinse exposed root surface with saline before repositioning.
If displaced, reposition the coronal segment of the tooth as soon as possible.
Check that correct position has been reached radiographically.
3. Monitor healing for at least 1 year to determine pulpal status.If pulp necrosis develops, then root canal treatment of the coronal tooth segment to the fracture line is indicated.
What is this?

Intrusion/intrusive luxation
Displacement of the tooth into the alveolar bone, accompanied by fracture of the alveolar socket
What is contusion?
**Bruise - **there is no break in the mucosa, usually from a blunt object
What types of injury can you get to the supporting bone?
Communation of the socket wall
fracture of the socket wall
fracture of the alveolar process
fracture of the maxilla/mandible
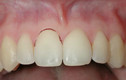
What type of injury is this and what structures are involved?

Complicated crown fracture - enamel, dentine and pulp involved
What is the treatment for this type of injury?

No treatment is necessary
Adivce a soft diet and good OH. Can topically apply 01% chlorhexidine to the area. Follow up after a week and then 2 months
What is this type of injury?

Lateral luxation. The tooth is displaced other than axially.
There is associated fracture of the palatal/lingual alveolar bone
What are the treatment options for this type of trauma, if the tooth had a closed apex and the tooth was re-implanted by the patient?

if the tooth was re-implanted prior to arrival for treatment - leave the tooth in place and clean around the tooth (0.1% chlorhexidine, saline) and suture any lacerations. Verify the normal position of the tooth both clincally and radiographically.
Splint for 1-2 weeks and prescribe systemic antibiotics (tetracycline for adults and penicillin v for children)
Begin RCT after 7-10 days following reimplantation and before splint removal
What type of Injury is this?

Complicated crown-root fracture with pulp involement
What is enamel hypomineralisation?
Disturbance of the maturation phase of amelogenesis. White/cream/brown reas of the tooth which are softer then enamel. You are likely to get post eruptive breakdown and is a process that occures after eruption
What treatment options are there for an enamel-dentine fracture?
If you can take a PA radiograph/alternative to rule out a root fracture
if fragment is available, it can be bonded onto the tooth
provisional treatment - GIC
permanent treatment - composite
Define apexogenesis
The stimulation of the formation of a closed apex of a tooth following trauma. The pulp is healthy.
How would you treat a complicated crown fracture?
If there is no displacement of the tooth, direct pulp capping or a pulpotomy.
Partial pulpotomy are usually preferred due to a better prognosis
Older patients with closed apicies and an associated luxation injury - RCT is the treatment of choice
At what age will damage to the primary tooth cause **HYPOMINERALISATION **of the secondary tooth?
After the age of 4
What are the classifications of dento-alveolar injuries?
Dental hard tissues and the pulp
periodontal tissues
supporting bone
gingiva or oral mucosa
What type of injury is this?

Enamel fracture - fracture is confined to the enamel only