________are defined as those that occur at the time of initial trauma even though they may not be
immediately apparent on initial evaluation
Primary head injuries
are subperiosteal blood collections that lie between the outer surface of the skull and elevate the periosteum
Cephalohematomas
Cephalohematoma is subperiosteal, limited by sutures. __________is under scalp aponeurosis, not bounded by sutures.
Subgaleal hematoma
What is shown?

Coronal T2WI shows the intradiploic CSF collection with
encephalomalacic brain stretched and tethered into the lesion . Classic “growing” skull fracture
(leptomeningeal cyst).
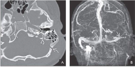
What structures are affected?

Axial graphic depicts different basilar skull fractures crossing the petrous apex and clivus , as well as extending into the jugular foramen and carotid canal
What is shown?

Axial bone CT shows skull base fractures that involve the clivus , left sigmoid sinus , and jugular foramen . Note hemotympanum . AP view of MR venogram in the same patient shows occlusion of the distal left transverse and sigmoid sinuses, jugular bulb.
What sign is shown in this pt with EDH?

EDH with depressed skull fracture lacerating the middle meningeal artery . Inset shows
rapid bleeding, “swirl” sign
What is your dx? What sign?

NECT scan shows classic hyperdense biconvex appearance of acute epidural hematoma over the
temporal, parietal lobes. 2-18. Axial NECT scan in a child with acute head trauma shows that the graywhite
matter interface is displaced medially by an actively bleeding EDH with “swirl” sign . Linear
skull fracture is not seen, but hemorrhage under the periosteum has produced a focal cephalohematoma
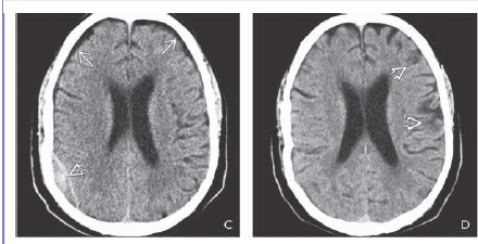
What is shon in B frontal areas 10d after the trauma?
What is shown on the 2nd box?

Repeat NECT scan 10 days later shows that the density of the EDH has decreased significantly.
Small bifrontal hypodense subdural hygromas are now seen. 2-20D. Repeat study 6 weeks after trauma
shows that the EDH has resolved. Foci of left hemisphere encephalomalacia from “contre-coup” injury
are now evident.
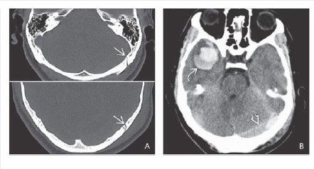
What is the dx?

Axial bone CT shows extensive subgaleal hematoma and linear skull fractures crossing the
sagittal suture.
What structure has been fractured?
What other findings are seen on the 2nd box?

(Top) Bone CT in a 26-year-old man who fell 25 feet onto his head shows a diastatic fracture of
the left lambdoid suture. (Bottom) The fracture continues superiorly, following the lambdoid suture above
the insertion of the tentorium. 2-22B. NECT scan shows a mixed-density posterior fossa EDH . Note
“contre-coup” contusion of the right temporal lobe with mixed attenuation hematoma suggesting rapid
bleedin
What are seen?

More cephalad scan in the same patient shows that the EDH extends above the tentorium behind
the left occipital lobe. 2-22D. CTA was obtained because CT findings suggested venous EDH with laceration
of the left transverse sinus. (Left) Coronal, (right) sagittal reformatted images nicely show that the EDH
extends below and above the tentorium, displacing cortical veins as well as elevating and compressing the
left transverse sinus.
What is your dx?

Graphic depicts crescent-shaped acute SDH with contusions and “contre-coup” injuries , diffuse axonal injuries
What structures have been affected in this pt with SDH?

Acute SDH spreads over left hemisphere , along tentorium , into interhemispheric fissure but does not cross midline.
What sequence?
What is shown?

FLAIR scan in a patient 2 days after closed head trauma shows a small hypodense SDH and multiple
axonal injuries
Describe the figure of HU decrease in SDH

SDHs decrease approximately 1.5 HU/day. By 7-10 days, blood in hematoma is isodense with cortex.
By about 10 days, it is hypodense.
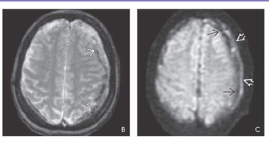
Findings of SDH on GRE and FLAIR

T2* GRE scan shows some “blooming” in the sSDH. 2-36C. DWI shows the classic “double layer”
appearance of an sSDH with hypointense rim on the inside and mildly hyperintense rim on the outside
of the clot
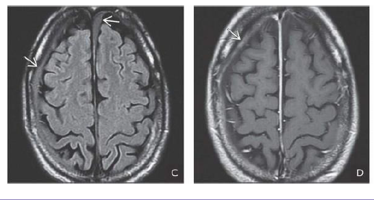
What is the age of the SDH?

The fluid collections do not suppress on FLAIR and are hyperintense to CSF in the underlying
cisterns. 2-37D. T1 C+ shows that the outer membrane of the SDH enhances . Findings are consistent
with late subacute/early chronic subdural hematomas
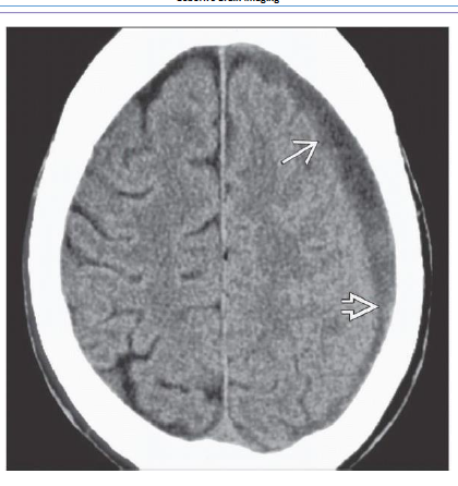
WHAT TYPE OF CSDH?

Complicated cSDHs contain loculated pockets of old and new blood, seen as fluid-fluid levels
within septated cavities.
WHAT EFFECT IS SHOWN?

NECT shows cSDH with graduated hypodensity (“hematocrit effect”) from more hypodense (top)
to less hypodense (bottom)
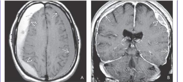
WHAT IS THE AGE OF THIS SDH?

Mixed-age SDHs are common. Axial T1WI shows a subacute right, early chronic left SDH. The chronic collection is isointense to brain, while the more subacute SDH appears isointense with the underlying brain.
2-46B. Coronal T1 C+ scan in a different patient shows almost completely resorbed bilateral cSDHs with diffuse dura-arachnoid thickening . A small residual loculated fluid collection is all that remains of the formerly very extensive cSDHs
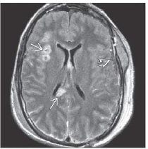
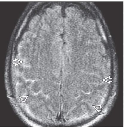
WHAT IS SHOWN?

Axial FLAIR shows multifocal cortical contusions with traumatic SAH, seen as sulcal
hyperintensities adjacent to the lesions
WHAT IS SHOWN?

FLAIR scan with artifactual sulcal hyperintensity caused by incomplete water suppression. Repeat
scan (not shown) was normal.
WHAT IS MC SITE OF CONTUSION?
Graphics depict the most common sites of cerebral contusions in red. Less common sites are shown in
green.
