Definition of compartment syndrome?
Risk factors for compartment syndrome?
Presentation of compartment syndrome?
Symptoms
Signs
Complications of compartment syndrome?
Volkman’s ischaemic contracture
Amputation

Management in compartment syndrome?
CALL SENIOR
Investigations (clinical diagnosis)
General
Surgical
Where you need to palpate for Ottowa Ankle Rules?
What views do you need for X-ray?
AP, lateral and mortise view
Grading of ankle sprains? Where and how do they most occur?
85% are lateral ankle sprains, due to inversion of plantar flexed foot
Management of ankle sprain?
POLICE
Simple analgesia, gentle exercise as soon as pain allows.
Severe sprains with rupture (grade 3) may require surgical repair. They should be immobilised for a short period to increase recovery time (below knee cast/brace)
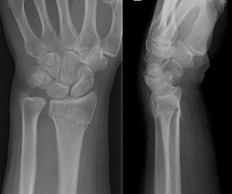
What is this?

Colle’s Fracture
Fracture of distal radius with dorsal displacement of fragments
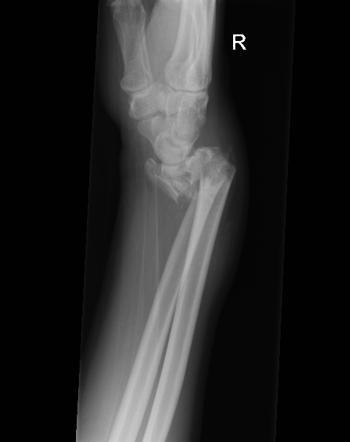
What is this?

Smith’s fracture
Distal radius fracture with volar (anterior) displacement of fracture fragments
History of Colle’s fracture?
Dinner fork deformity - with deviation backwards and laterally
Complications of Colle’s fracture?
Definitions of…
Management of Colle’s fracture?
Surgical reduction if intra-articular fracture
Risk factors for # femur?
High impact injury (RTA)
Elderly, female
Osteoporosis
Pathological (metastatic disease)
Presentation of # femur?
Symptoms
Signs
Complications of # femur?
Early
Late


Investigations in # femur?
General
Bloods
Imaging
Management of severe # femur?
Surgical

What this ting?

Thomas’ splint
Risk factors for tibula/fibula fracture?
Usually presents as tib/fib fracture - isolated tibial fracture rare.
Complications of tib/fib fracture?
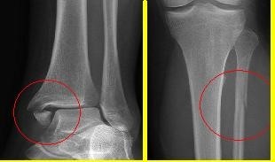
What is this?

Maisonneuve fracture