RESIDÊNCIA MÉDICA 2015 (ACESSO DIRETO DISCURSIVA) UNIVERSIDADE FEDERAL DE SÃO PAULO – SP
37 – Você atende um doente de 63 anos no pronto-socorro vítima de queda da escada, que apresenta fratura de crânio, otorragia e rinorragia e está com 80% de saturação de O2 à oximetria de pulso e com Glasgow de 7. Há sangramento intenso na orofaringe e você não consegue realizar a intubação orotraqueal.
Qual o procedimento adequado para acesso à via aérea na emergência?
Bom, nosso paciente apresenta um Trauma Cranioencefálico (TCE) grave, uma vez que sua pontuação na escala de coma de Glasgow é ≤ 8. A
otorragia e a rinorragia podem ser manifestações de uma fratura de base de crânio, mas isso agora não nos importa. É fácil percebermos que em nosso exame primário existe indicação absoluta de acesso definitivo à via aérea, não concordam? O método preferencial é a intubação orotraqueal; vejam que este procedimento foi tentado, porém sem sucesso. Sendo assim, a via aérea cirúrgica está mais do que indicada, e o método de eleição, nesse caso, é a cricotireoidostomia cirúrgica. Reparem que no gabarito oficial (pós-recurso) foi aceito também cricotireoidostomia como resposta. Em nossa opinião, o termo “cricotireoidostomia” de forma isolada não está correto, uma vez que existe a cricotireoidostomia por punção.
RESIDÊNCIA MÉDICA 2016 (ACESSO DIRETO 1) UNIVERSIDADE DE RIBEIRÃO PRETO – SP
16 – O paciente com tórax instável e respiração paradoxal decorrente de fratura de múltiplos arcos costais em dois ou mais lugares, por trauma fechado, deve ser tratado com:
a) Drenagem imediata do espaço pleural do lado acometido, com dreno tubular calibroso.
b) Fixação precoce da parede torácica, para corrigir a alteração da mecânica ventilatória.
c) Intubação traqueal imediata obrigatória e ventilação com pressão positiva.
d) Grandes quantidades de soluções cristaloides, por
dois cateteres venosos de grosso calibre, pois invariavelmente apresenta lesões associadas que levam a hipovolemia.
e) Oxigênio por máscara, inicialmente, e monitorização ventilatória cuidadosa. A intubação traqueal e o suporte ventilatório mecânico ficam reservados para os pacientes que evoluírem com insuficiência respiratória.
tórax instável está presente quando temos fraturas de dois ou mais arcos costais consecutivos, com cada arco fraturado em dois pontos. Este segmento fraturado perde continuidade com o restante da caixa torácica, ficando a mercê das variações da pressão intratorácica durante o ciclo respiratório. Sendo assim, durante a inspiração, os arcos fraturados
“encolhem” devido à acentuação da pressão negativa intrapleural, e na expiração eles sofrem abaulamento – a famosa respiração paradoxal. Sabemos que traumas torácicos fechados intensos, com grande transferência de energia através da parede do tórax, é que são capazes de ocasionar este comprometimento. Agora, qual deve ser nossa conduta? O grande problema do tórax instável é a dor intensa proveniente das fraturas costais, o que leva a restrição respiratória importante. O tratamento inclui administração de O2 sob máscara facial, analgesia (que pode ser intravenosa ou epidural) e fisioterapia. A monitorização respiratória é importante, pois a insuficiência respiratória pode se desenvolver, sobretudo em pacientes com lesões intra-abdominais associadas ou que sejam portadores de doença pulmonar prévia. Agora, é sempre importante recordarmos que o principal determinante de insuficiência respiratória nesses pacientes é a contusão pulmonar subjacente! Esta última é representada por hemorragia alveolar e intersticial e lesão tecidual. Na radiografia simples, a contusão é traduzida por imagens de hipotransparência em parênquima de pulmão.
Quanto mais cedo essas imagens aparecerem, mais grave é a contusão – opção E correta.
A drenagem do espaço pleural não faz sentido para o tratamento do tórax instável – opção A incorreta.
A fixação cirúrgica dos arcos costais não é prioridade na abordagem desses casos, e seu papel ainda é muito controverso – opção B incorreta.
Na abordagem do tórax instável, como vimos antes, o acesso definitivo à via aérea só estará indicado nos doentes que evoluírem com insuficiência respiratória – opção C incorreta.
A infusão de grandes volumes, sem controle algum e sem indicação precisa, pode até agravar a contusão pulmonar que esses pacientes possam vir a desenvolver – opção D incorreta.
RESIDÊNCIA MÉDICA 2015 (ACESSO DIRETO 1) SELEÇÃO UNIFICADA PARA RESIDÊNCIA MÉDICA DO ESTADO DO CEARÁ – CE
60 – Um motorista de 62 anos envolveu-se em um acidente automobilístico chocando-se contra um ônibus que trafegava em sentido contrário. Apresentava-se agitado, agressivo, com grave deformidade maxilofacial e sangramento ativo pelo nariz e boca. Os sinais vitais da admissão eram: FR = 38 irpm; PA = 100 x 50 mmHg; pulso = 123/min e SaO2 = 78%. No exame físico, o paciente apresentava boa expansibilidade torácica, murmúrio vesicular diminuído à direita e crepitações ósseas à palpação no mesmo lado. A conduta inicial mais adequada para melhorar a oxigenação e ventilação é:
a) Ventilar sob máscara, oxigenar e drenar o tórax sob
selo d’água.
b) Colocar máscara laríngea, oxigenar e drenar o tórax sob selo d’água.
c) Fazer intubação orotraqueal, oxigenar e realizar bloqueio intercostal.
d) Realizar cricotireoidostomia, oxigenar e administrar narcótico sistêmico.
Temos uma vítima de acidente automobilístico que se apresenta com trauma facial grave e agitação. Estável do ponto de vista hemodinâmico, mas com intensa taquipneia (38 irpm). No oxímetro de pulso sua saturação é de 78%. Muita atenção nessa hora! Pela curva de dissociação da hemoglobina, uma saturação nesse nível representa uma pressão parcial de oxigênio no sangue (PaO2) extremamente baixa (ver
tabela). Em outras palavras, nosso paciente está francamente hipoxêmico, o que justifica plenamente sua agitação. Além disso, apresenta murmúrio vesicular diminuído à direita e crepitações ósseas à palpação de arcos costais, o que significa fratura destes arcos. O enunciado nos pede qual a conduta inicial para melhorarmos a oxigenação e a ventilação. A palavra “inicial” deve nos remeter imediatamente para o mnemônico do atendimento ao politraumatizado, portanto, a letra A! Nosso paciente tem indicação absoluta de acesso definitivo à via
aérea. Devido ao trauma facial grave, este acesso tem que ser cirúrgico, não concordam? Sendo assim, a opção correta é a D. A administração de narcóticos é recomendada devido às fraturas de arcos costais.
RESPOSTA: D

RESIDÊNCIA MÉDICA 2016 (ACESSO DIRETO DISCURSIVA) UNIVERSIDADE DE SÃO PAULO – SP
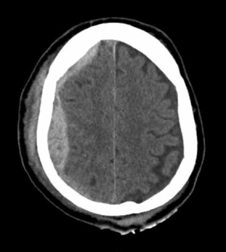
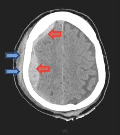
2 – Adolescente masculino de 16 anos de idade, trazido ao pronto-socorro de hospital terciário pelo Serviço de Resgate, foi vítima de queda de bicicleta após colisão em alta velocidade contra anteparo fixo. Paciente relata ter traumatizado a região superior do abdome contra o guidão da bicicleta e refere intensa dor no local. Apresenta ainda trauma craniano, sem perda de consciência, porém refere cefaleia intensa. Nega vômitos. Dados colhidos pela equipe do resgate no local do acidente: Pulso = 112 bpm; pressão arterial = 130 x 90 mmHg; frequência respiratória = 16 irpm; saturação de oxigênio 97% em ar ambiente. Tempo entre acidente e admissão hospitalar: 30 minutos. Na avaliação no pronto- socorro:
A: Vias aéreas pérvias, com colar cervical. B: Murmúrios vesiculares presentes bilateralmente; expansibilidade simétrica; tórax indolor à palpação; sem crepitações; FR = 16 irpm; saturação de O2 98% em ar ambiente. C: Pulso = 108 bpm; pressão arterial = 120 x 70 mmHg; sem sangramento visível. Abdome doloroso à palpação em epigástrio e mesogástrio, onde se evidenciam equimose e escoriação. Toque retal sem alterações, diurese clara. D: Escala de Coma de Glasgow = 15; pupilas isocóricas e fotorreagentes. E: Sem outras alterações. Realizada expansão volêmica com 2.000 ml de soro fisiológico e analgesia. Após essas medidas, o paciente apresenta frequência cardíaca de 86 bpm e pressão arterial de 120 x 70 mmHg. Devido ao traumatismo craniano, associado à cefaleia atual, foi solicitada
tomografia computadorizada de crânio com a imagem apresentada.
Cite a conclusão do laudo desta imagem:

A imagem apresentada no enunciado é de uma Tomografia Computadorizada (TC) de crânio, e disso ninguém duvida. Nesse momento devemos nos fazer uma pergunta óbvia: esse paciente tem indicação
de ser submetido a tal exame? Sim, tem. Embora
esse jovem tenha um Trauma Cranioencefálico (TCE)
leve (Escala de Coma de Glasgow entre 13-15), ele tem indicação de TC, pois apresenta cefaleia intensa. Vamos recordar as principais indicações de TC de crânio no TCE leve: cefaleia intensa, suspeita de fratura aberta de crânio, sinais de fratura de base de crânio, mais de dois episódios de vômito, indivíduos acima de 65 anos, perda da consciência por mais de 5 minutos, amnésia retrógrada por mais de 30 minutos e deficit neurológico focal atribuído ao cérebro.
Voltando a TC do enunciado (FIGURA 1), o que encontramos? Observem uma imagem hiperdensa (branca) entre os sulcos (setas amarelas), uma região
que deveria ser hipodensa (preta), pois é preenchida por liquor. Essa imagem hiperdensa representa sangramento difuso entre os sulcos. Não temos imagem hiperdensa biconvexa, para pensarmos em hematoma epidural, nem imagem hiperdensa que acompanha a convexidade cerebral, para considerarmos o diagnóstico de hematoma subdural. Sendo assim, o nosso diagnóstico é de uma hemorragia subaracnóidea traumática. Alguns candidatos responderam hematoma intraparenquimatoso, mas vejam como a imagem de uma coleção parenquimatosa é bem diferente da apresentada no enunciado (FIGURA 2).

RESIDÊNCIA MÉDICA 2015 (ACESSO DIRETO DISCURSIVA) UNIVERSIDADE DE SÃO PAULO – SP
33 – Homem branco de 58 anos refere ter sido vítima de ferimento por arma branca há 2 horas. Foi atendido em Unidade Básica de Saúde onde teve seu ferimento suturado. Encontra-se hemodinamicamente estável com exame neurológico normal. O médico da UBS o encaminhou para o pronto-socorro do Hospital de referência para melhor avaliação. No PS, o paciente apresenta-se sem queixas além de dor no local da sutura. Observa-se ferimento de 2 cm no oitavo espaço intercostal esquerdo, na linha axilar média e que estava adequadamente suturado e com bom aspecto. Realizou o seguinte RX de tórax:
Considerando o quadro clínico e radiológico, qual a conduta? Justifique.

Nosso paciente foi vítima de ferida por arma branca em oitavo espaço intercostal esquerdo, na linha axilar média. Foi atendido inicialmente em uma Unidade Básica de Saúde, onde teve sua ferida suturada, e em seguida encaminhado ao pronto-socorro para avaliação. Exceto por dor local, encontra-se assintomático e hemodinamicamente
estável. Foi realizada radiografia de tórax, com presença de pneumotórax à esquerda, atelectasia total do pulmão esquerdo e desvio do mediastino para a direita. Com este desvio, o pneumotórax não deve ser considerado simples. Contudo, faltam manifestações clínicas para afirmarmos que este é hipertensivo, uma vez que o diagnóstico de pneumotórax hipertensivo é clínico. Agora, é
improvável que um indivíduo com uma radiografia como esta não tenha uma ou mais evidências clínicas de um pneumotórax hipertensivo, como hipotensão, turgência jugular, cianose, taquipneia etc. Sabemos também que o fechamento de uma ferida torácica é condição que pode levar a um pneumotórax hipertensivo. Foi, no mínimo, infeliz a escolha dessa radiografia para a questão. Há presença de nível líquido, o que deve ser imediatamente diagnosticado como um hemotórax.
Dessa forma, o diagnóstico é de hemopneumotórax. O tratamento inicial consiste em drenagem intercostal sob selo d’água à esquerda, e a justificativa seria tratar o hemopneumotórax e reverter a atelectasia do pulmão esquerdo. Mas reparem que o tratamento ainda não está completo. Sua ferida foi no oitavo espaço intercostal, na linha axilar média, portanto, em transição toracoabdominal. Mesmo inicialmente assintomático, não podemos jurar que não houve lesão do diafragma (comum neste tipo de trauma) ou de vísceras intra-abdominais. Simplesmente estas lesões podem estar presentes, mas ainda não se manifestaram. Sendo assim, temos que encaminhar o paciente para o centro cirúrgico para exploração da cavidade peritoneal e diafragma. O procedimento pode ser uma videolaparoscopia ou mesmo uma laparotomia. Uma questão difícil para uma prova de acesso direto.
RESIDÊNCIA MÉDICA 2016 (ACESSO DIRETO 1 UNIVERSIDADE FEDERAL DO RIO DE JANEIRO – RJ
11 – O grau de dano pulmonar apresentado por um paciente com trauma torácico contuso e tórax instável depende da:
a) Gravidade da contusão pulmonar.
b) Totalidade de costelas fraturadas.
c) Presença de respiração paradoxal.
d) Associação com hemotórax.
O tórax instável acontece quando segmentos de arcos costais perdem a continuidade com o restante da caixa torácica. Esse fenômeno é observado quando temos fraturas de dois ou mais arcos costais consecutivos, com cada arco fraturado em dois pontos. Essa complicação é decorrente da transferência de grande quantidade de energia para o tórax como consequência de trauma torácico
fechado de grande magnitude. Embora exista a respiração paradoxal, pacientes alertas, sem doença pulmonar crônica e sem lesões em outros sistemas, acabam não evoluindo para a insuficiência respiratória tendo como causa única o tórax instável. Como existe dor intensa e restrição respiratória,
esses pacientes são manejados com analgesia intravenosa ou, dependendo da gravidade, analgesia epidural. Agora, uma das complicações mais temidas de um trauma torácico contuso que determina tórax instável é a presença de contusão pulmonar. Esta se traduz por hemorragia alveolar e intersticial e lesão tecidual. Dessa forma, quanto mais grave for a contusão pulmonar, maior é o grau de dano pulmonar – opção A correta. A mortalidade da contusão pulmonar é de 10%, com a síndrome do desconforto respiratório agudo e a pneumonia sendo as principais causas.
RESIDÊNCIA MÉDICA 2016 (ACESSO DIRETO 1) SANTA CASA DE MISERICÓRDIA DE SÃO PAULO – SP
21 – Escolha a correlação mais adequada para o tratamento do doente com trauma abdominal fechado considerando:
(I): tratamento operatório;
(II): tratamento NÃO operatório.
A) Tomografia (TC de abdome) mostrando lesão hepática Grau IV, normal hemodinamicamente, com fratura dos 4 últimos arcos costais.
B) TC com lesão esplênica Grau III, normal hemodinamicamente, com pequeno pneumoperitônio em hipocôndrio direito.
C) TC com lesão hepática Grau III, sem peritonite e sem dor abdominal com instabilidade hemodinâmica persistente.
D) TC não disponível, mas com ultrassonografia relatando lesão esplênica com moderada quantidade de líquido na cavidade, em doente normal hemodinamicamente e sem
dor abdominal.
E) TC com lesão hepática Grau III e lesão esplênica Grau III, com hemopneumotórax à direita e normal hemodinamicamente.
a) A-II, B- I, C- I, D- I, E- II.
b) A- I, B- I, C-II, D- II, E-II.
c) A- I, B- II, C- I, D- I, E- I.
d) A- II, B- II, C-I, D-II, E-I.
e) A- II, B-II, C-I, D-I, E- II.
Bom, o enunciado nos pede para avaliarmos diversas situações referentes à contusão abdominal. Vamos lá então!
Situação (A). Temos aqui uma vítima de contusão abdominal com comprometimento hepático, na realidade uma lesão grau IV de acordo com a Escala de Lesão Hepática da AAST (American Association for the Surgery of Trauma). Esta lesão é caracterizada por ruptura do parênquima envolvendo 25-75% de um lobo hepático ou 1 a 3 segmentos de Couinaud. A conduta será cirúrgica ou conservadora? No trauma hepático, a presença de líquido livre no FAST somada à instabilidade
hemodinâmica indica cirurgia, sem dúvida alguma;
este quadro pode ser encontrado em lesões grau IV, mas costuma ser observado com maior frequência em lesões mais avançadas. O principal determinante aqui da conduta conservadora (não operatória) é a estabilidade hemodinâmica. Os candidatos para a conduta não operatória devem apresentar evidências que o sangramento hepático foi interrompido espontaneamente e por completo. Ou seja, eles não podem estar hipotensos, taquicárdicos ou apresentar acidose metabólica. Além disso, eles não devem estar recebendo ressuscitação hídrica, o que mascara muitas vezes o comprometimento cardiovascular. Sendo assim, a estabilidade fisiológica é o preditor de maior sucesso relacionado à conduta não operatória.
Situação (B). Temos um indivíduo com lesão esplênica grau III de acordo com a Escala de Lesão Esplênica da AAST. Esse comprometimento é caracterizado por qualquer um dos seguintes: hematoma subcapsular envolvendo > 50% da superfície ou em expansão; ruptura subcapsular ou hematoma parenquimatoso ≥ 5 cm de extensão. Outra possibilidade seria a presença de laceração > 3 cm de profundidade ou envolvendo vasos trabeculares. Embora o paciente se encontre hemodinamicamente estável, ele apresenta um achado que indica laparotomia exploradora de forma inquestionável: a presença de pneumoperitônio, que é sinal de ruptura de víscera oca.
Situação (C). Como vimos antes, a presença de instabilidade hemodinâmica no trauma hepático é indicação de laparotomia. Reparem que nesse caso apesar de a lesão ser de grau III, há hipotensão persistente.
Situação (D). Na definição da Escala de Lesão Esplênica (e também na Escala de Lesão Hepática) é fundamental a realização de Tomografia Computadorizada (TC) de abdome. Para adotarmos conduta conservadora nas lesões de baço, todos os critérios a seguir devem estar presentes: (1) TC demonstrando ausência de extravasamento de contraste no órgão; (2) estabilidade hemodinâmica; (3) exame abdominal negativo para irritação peritoneal; (4) ausência de outras indicações claras de laparotomia exploradora e (5) inexistência de condições clínicas associadas que levem a um maior risco de sangramento (coagulopatia, insuficiência
hepática, uso de anticoagulantes e deficiência de
fator de coagulação). Embora nosso paciente se encontre estável hemodinamicamente e sem dor abdominal, existe lesão esplênica e hemoperitônio. Na impossibilidade de definirmos esta lesão com a TC, a laparotomia está indicada.
Situação (E). Nesse caso temos uma TC de abdome
demonstrando lesão hepática grau III e lesão esplênica também grau III em um paciente hemodinamicamente estável. Com isso, o autor nos dá a entender (e somos obrigados a pensar assim se quisermos acertar) que a conduta deve ser conservadora em relação ao abdome (repouso no leito, com exame abdominal e avaliação laboratorial
seriados). Naturalmente, o hemopneumotórax à
direita deve ser drenado.
RESPOSTA: A
RESIDÊNCIA MÉDICA 2016 (ACESSO DIRETO DISCURSIVA) UNIVERSIDADE DE SÃO PAULO – SP
1 – Adolescente masculino de 16 anos de idade, trazido ao pronto-socorro de hospital terciário pelo Serviço de Resgate, foi vítima de queda de bicicleta após colisão em alta velocidade contra anteparo fixo. Paciente relata ter traumatizado a região superior do abdome contra o guidão da bicicleta e refere intensa dor no local. Apresenta ainda trauma craniano, sem perda de consciência, porém refere cefaleia intensa. Nega vômitos. Dados colhidos pela equipe do resgate no local do acidente: Pulso = 112 bpm; pressão arterial = 130 x 90 mmHg; frequência respiratória = 16 irpm; saturação de oxigênio 97% em ar ambiente. Tempo entre acidente e admissão hospitalar: 30 minutos. Na avaliação no pronto- socorro: A: Vias aéreas pérvias, com colar cervical. B: Murmúrios vesiculares presentes bilateralmente; expansibilidade simétrica; tórax indolor à palpação; sem crepitações; FR = 16 irpm; saturação de O2 98% em ar ambiente. C: Pulso = 108 bpm; pressão arterial = 120 x 70 mmHg; sem sangramento visível. Abdome doloroso à palpação em epigástrio e mesogástrio, onde se evidenciam equimose e escoriação. Toque retal sem alterações, diurese clara. D: Escala de Coma de Glasgow = 15; pupilas isocóricas e fotorreagentes. E: Sem outras alterações. Realizada expansão volêmica com 2.000 ml de soro fisiológico e analgesia. Após essas medidas, o paciente apresenta frequência cardíaca de 86 bpm e pressão arterial de 120 x 70 mmHg. Marque a letra correspondente à imagem com as lesões mais compatíveis com o mecanismo deste trauma:

Dentre as tomografias computadorizadas de abdome demonstradas, qual é a mais compatível com o caso apresentado? É realmente isso que o enunciado deseja saber. Fica aqui uma dica: quando avaliamos uma questão com imagem de exames complementares radiológicos, antes de “partirmos direto” para a imagem propriamente dita, é fundamental que leiamos com muito cuidado a história clínica descrita. Nosso paciente foi vítima de contusão abdominal, consequência de impacto de bicicleta contra um anteparo fixo, na realidade houve choque do abdome superior contra o guidão da bicicleta. De objetivo na avaliação inicial do paciente: encontra-se hemodinamicamente estável, taquicárdico e com dor a palpação em mesogástrio e epigástrio, onde há sinais de escoriações e equimoses. A taquicardia pode representar tanto perda volêmica discreta, quanto ser ocasionada por dor. Recebeu 2.000 ml de cristaloides e analgesia. Manteve pressão arterial estável e houve redução da frequência cardíaca. Agora, vamos lá: na imagem A nós temos um aneurisma de aorta abdominal com trombo mural (seta amarela) como principal achado; na imagem B chama a atenção alça espessada (seta amarela); e na imagem C reparem que há múltiplas calcificações pancreáticas (setas amarelas), o que denota uma pancreatite crônica, sem dúvida alguma. A imagem D é compatível com a história descrita. Vejam uma imagem bastante hipodensa em topografia de baço, sem definição de cápsula esplênica, onde há também extravasamento de contraste (alterações presentes em setas verdes), ou seja, temos um parênquima esplênico bastante comprometido (pulverizado?). As setas amarelas correspondem ao líquido livre em cavidade, que em uma topografia mais superior se infiltra por sobre o fígado também (não é hematoma hepático!). Até aí entendemos esses achados – o trauma esplênico foi o responsável por esse líquido livre (na realidade um hemoperitônio). A taquicardia pode realmente ter representado essa discreta perda volêmica (hemorragia classe I). Além destes achados, temos uma imagem hipodensa linear em corpo de pâncreas (seta vermelha), o que traduz uma laceração corpocaudal pancreática. O mecanismo dessa lesão foi a compressão do corpo do pâncreas entre o guidão da bicicleta e a coluna vertebral. Podemos concluir, sobretudo com essa lesão pancreática, que o paciente foi vítima de uma contusão abdominal realmente intensa. Observamos também nessa tomografia computadorizada imagem de vesícula biliar distendida (seta branca), o que não tem importância alguma para o caso (jejum prolongado?).

RESIDÊNCIA MÉDICA 2015 (ACESSO DIRETO 1) SISTEMA ÚNICO DE SAÚDE – SUS – SÃO PAULO – SP
55 – Um paciente de 35 anos, vítima de colisão auto x auto, chega ao pronto-socorro, com os seguintes dados: A: Intubação orotraqueal. B: Murmúrio vesicular presente bilateralmente, saturação de O2: 98%. C: Pulso: 110 bpm; PA: 100 x 70 mmHg; tempo de enchimento capilar: 2s, pelve estável, toque retal sem alterações. D: Glasgow: 3T. E: Escoriações múltiplas em dorso. Passada sonda de Foley, retornou diurese francamente hematúrica. Conduta:
a) Uretrocistografia retrógrada.
b) Irrigação vesical.
c) Laparoscopia diagnóstica.
d) FAST (Focused Assessment with Sonography for Trauma).
e) Tomografia de abdome.
Temos um indivíduo vítima de politrauma com trauma cranioencefálico grave, apresentando 3 de pontuação na escala de coma de Glasgow e contusão em dorso de abdome, com escoriações múltiplas. Encontra-se taquicárdico, porém com níveis de pressão arterial ainda adequados. Na passagem da sonda de Foley, identificamos franca hematúria; nesse momento, nossa suspeita imediata deve ser de um trauma urológico. Agora, contusão em dorso de abdome somado a hematúria nos faz considerar imediatamente o trauma renal como principal hipótese diagnóstica. Na avaliação desses pacientes, o exame que melhor delineia o trauma renal na presença de estabilidade hemodinâmica é a Tomografia Computadorizada de abdome (TC). A TC identifica com precisão a perfusão do rim acometido, a extensão de lesões acometendo seu parênquima e a existência ou não de extravasamento de contraste. Sendo assim, a opção certa é a E. Reparem que não há descrição de uretrorragia ou de retenção vesical, o que nos faria suspeitar de trauma uretral; nesse caso, a conduta seria a realização de uma uretrocistografia retrógrada – opção A errada.
A laparoscopia diagnóstica é realizada em pacientes com ferida em transição toracoabdominal que, a princípio, estejam assintomáticos para lesão intra-abdominal; o objetivo principal é identificar possíveis lesões diafragmáticas – opção C errada.
Em pacientes hemodinamicamente estáveis com trauma em abdome e hematúria, a TC é superior ao FAST na análise de um possível trauma renal – opção D errada.
Irrigação vesical não tem o menor sentido para diagnóstico algum – opção B errada.
RESPOSTA: E
RESIDÊNCIA MÉDICA 2015 (ACESSO DIRETO DISCURSIVA) UNIVERSIDADE FEDERAL DE SÃO PAULO – SP
42 – Homem de 34 anos de idade, vítima de atropelamento por motocicleta, foi arremessado a aproximadamente dois metros do local. Deu entrada no pronto-socorro consciente e queixando-se de dor em hipogástrio. Ao exame físico estava hemodinamicamente estável, apresentava escoriações em região glútea e lateral da coxa à direita, cúpula vesical palpável na cicatriz umbilical e uretrorragia. Os exames subsidiários iniciais diagnosticaram fratura de bacia.
Qual o diagnóstico provável além da fratura de bacia?
Temos uma vítima de trauma fechado que apresenta fraturas pélvicas. O enunciado descreve ainda uretrorragia e cúpula vesical palpável. O que isso nos sugere? Bom, estamos lidando com um caso clássico de trauma de uretra membranosa. Sabemos que este tipo de lesão é decorrente de fraturas de bacia e apresenta como tríade uretrorragia, retenção vesical e globo vesical palpável. No toque retal podemos encontrar uma próstata em posição alta. Foi aceito também como resposta trauma em uretra posterior, o que está correto, uma vez que a uretra posterior é composta pelos segmentos prostático e membranoso da uretra. Para confirmarmos a lesão, uma uretrocistografia retrógrada deve ser realizada. Sabemos que, nesses casos, o cateter de Foley não deve ser passado e a urina deve ser drenada através de uma cistostomia suprapúbica. Só para lembrarmos: as lesões de uretra anterior acontecem devido a trauma fechado direto sobre o períneo (queda a cavaleiro).
RESIDÊNCIA MÉDICA 2016 (ACESSO DIRETO 1) SANTA CASA DE MISERICÓRDIA DE SÃO PAULO – SP
22 – Jovem, 23 anos, vítima de ferimento por arma branca em pescoço, é admitido no PS. Ao exame apresentava-se alcoolizado, respirando espontaneamente, hemodinamicamente normal, com ferimento de 2 cm de extensão em zona II do pescoço à esquerda. Gemente à palpação cervical. Com relação ao caso podemos afirmar:
a) Trata-se de uma região (Zona II) de difícil acesso cirúrgico, pois vai do ângulo da mandíbula à base do crânio.
b) A dor à palpação do pescoço representa sinal maior de lesão, estando indicado tratamento operatório.
c) Não há lesão interna, pois o doente está respirando espontaneamente, portanto, deve ser feita apenas a limpeza e sutura do ferimento.
d) Esse ferimento não apresenta sinal maior de lesão, portanto, é passível de tratamento cirúrgico seletivo.
e) A cervicotomia exploradora é mandatória, pois o doente está com nível de consciência alterado.
Temos uma vítima de ferida em zona II de pescoço, à esquerda. Só para nos lembrarmos, o pescoço é dividido, sob ponto de vista craniocaudal, em três zonas: (1) zona I, que se estende da fúrcula esternal à cartilagem cricoide da laringe, contém os vasos subclávios (artéria e veia), ducto torácico, tireoide,
traqueia, esôfago, ápice dos pulmões, artérias carótidas proximais, veia jugular interna e medula espinhal; lesões nessa região apresentam maior mortalidade devido ao acesso cirúrgico difícil. (2) zona II, que se estende da cartilagem cricoide ao ângulo da mandíbula, tem como conteúdo artérias carótidas (comum e ramos externo e interno), artérias vertebrais, veias jugulares, medula espinhal, nervo laríngeo recorrente, nervo vago e estruturas do trato aerodigestivo (faringe, esôfago, laringe e
traqueia); é a zona de mais fácil acesso cirúrgico – opção (A) errada; e (3) zona III, que é a região compreendida entre o ângulo da mandíbula e a base do crânio, contém
artéria carótida distal, glândulas salivares, faringe, cadeia simpática, medula espinhal e alguns pares cranianos (IX, X, XI e XII).
Bom, voltando ao nosso paciente, devemos nos responder a seguinte pergunta: existe indicação de exploração cirúrgica imediata do pescoço? A resposta é não.
As indicações de cirurgia imediata incluem sangramento ativo, instabilidade hemodinâmica, hematoma em expansão ou evidências claras de comprometimento do trato aerodigestivo, como enfisema subcutâneo. Não existindo esses sinais, o paciente pode ser estudado através de exames complementares para sabermos se existe ou não indicação cirúrgica. Caso exista, o procedimento
será mais seletivo (direcionado à lesão de determinada estrutura) – opção (D) correta.
O indivíduo está alcoolizado e não há evidências de que essa alteração na consciência seja ocasionada por uma lesão carotídea – opção (E) errada.
A princípio, não temos evidências de lesões de estruturas cervicais (embora elas ainda possam existir); dor no sítio da ferida é normal, afinal de
contas houve lesão por arma branca – opção (B) errada.
Embora assintomático, não podemos dar alta para o
paciente. Como acabamos de ver, ele necessita de investigações complementares para diagnosticarmos ou não possíveis comprometimentos de estruturas cervicais.
Portanto, nosso paciente vai possivelmente submeter-se à angiotomografia de pescoço (ou TC de pescoço mais ultrassom-Doppler), à endoscopia digestiva alta e à laringoscopia – opção (C) errada.
RESPOSTA: D
RESIDÊNCIA MÉDICA 2015 (ACESSO DIRETO DISCURSIVA) UNIVERSIDADE DE SÃO PAULO – SP
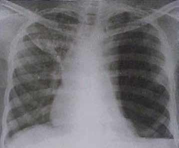
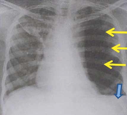
32 – Homem branco de 58 anos refere ter sido vítima de ferimento por arma branca há 2 horas. Foi atenatendido em Unidade Básica de Saúde onde teve seu ferimento suturado. Encontra-se hemodinamicamente estável com exame neurológico normal. O médico da UBS o encaminhou para o pronto-socorro do hospital de referência para melhor avaliação. No PS, o paciente apresenta-se sem queixas além de dor no local
da sutura. Observa-se ferimento de 2 cm no oitavo espaço intercostal esquerdo, na linha axilar média e que estava adequadamente suturado e com bom aspecto. Realizou o seguinte RX de tórax:
Cite o (s) achado (s) radiológico (s).

Vítima de ferida por arma branca em oitavo espaço intercostal esquerdo, na linha axilar média, nosso paciente teve sua lesão suturada em uma Unidade Básica de Saúde. Foi encaminhado ao pronto-socorro para avaliação. De acordo com o enunciado, está assintomático. Foi realizada radiografia de tórax. O que identificamos na imagem? Bom, de início observamos um importante pneumotórax (setas amarelas), com atelectasia de todo o pulmão esquerdo. Há desvio da traqueia também. Podemos dizer que pelo desvio do
mediastino apresentado, este pneumotórax não pode ser considerado simples. Por outro lado, o diagnóstico de um pneumotórax hipertensivo é clínico. Mas, cá entre nós, com esse achado radiológico certamente deveríamos ter uma ou mais manifestações de pneumotórax hipertensivo, tais como, hipotensão, turgência jugular, taquipneia, cianose etc. Além disso, o fechamento completo de uma ferida torácica é condição que predispõe ao pneumotórax hipertensivo. Concluímos que o autor foi extremamente infeliz na escolha dessa imagem para o enunciado, uma vez que o paciente não
apresenta sintomas. Estamos lidando com uma “dissociação enunciado-radiológica”. Vamos continuar nossa análise. Além do pneumotórax, existe franco velamento do seio costofrênico esquerdo, o que representa um derrame pleural (seta azul). Sabemos que no trauma, todo o derrame pleural deve ser obrigatoriamente encarado como um hemotórax. Sendo assim, os principais achados radiológicos são de hemopneumotórax à esquerda e desvio do mediastino para a direita.

RESIDÊNCIA MÉDICA 2014 (ACESSO DIRETO DISCURSIVA) UNIVERSIDADE DE SÃO PAULO – SP
61 – Mulher de 49 anos de idade chega ao pronto-socorro, trazida pela Equipe de Resgate, em prancha rígida, com colar cervical. Refere queda dentro do ônibus, devido à freada brusca, com colisão do lado direito do tórax contra barra de metal fixa, estando neste momento com muita dor no local da contusão. O acidente ocorreu há 30 minutos, e ela foi a única vítima. Nega comorbidades ou utilização de medicamentos. Ao exame clínico, apresenta-se em bom estado geral e corada. Índice de massa corpórea estimado = 30 kg/m². Pressão Arterial = 150 x 110 mmHg; Pulso = 88 bpm; Frequência Respiratória = 28 irpm. Dor e crepitação à palpação do 4°, 5°, 6° e 7° arcos costais direitos, na linha axilar anterior. A expansibilidade torácica e o murmúrio vesicular estão diminuídos no hemitórax direito. Restante do exame clínico normal. Foi realizada radiografia de tórax e optado por drenagem, com diagnóstico de hemopneumotórax e fratura dos arcos costais relacionados acima. Na drenagem, houve saída de 500 ml de sangue em 15 minutos, com drenagem desprezível nos próximos 15 minutos. Em controle radiológico realizado no dia seguinte.
Cite os achados radiológicos que sugerem que a drenagem foi adequada:
Nossa paciente apresenta um hemopneumotórax traumático acompanhado de fraturas de arcos costais. A drenagem sob selo d’água está muito bem indicada. A quantidade de sangue drenado não é volumosa. Após a realização da toracostomia sob selo d’água, existem dois momentos em que devemos solicitar novas avaliações radiológicas: logo após a instalação do dreno, para observarmos se a drenagem está sendo adequada, e no acompanhamento, para avaliarmos se a drenagem foi adequada. Quando acabamos de realizar uma drenagem fechada com tubo, é rotina a solicitação de uma radiografia de tórax para avaliarmos a posição do dreno e a eficácia do mesmo naquela posição. Nesse momento, dificilmente iremos achar um pulmão completamente expandido ou um derrame/líquido pleural completamente resolvido.
Sendo assim, a posição do dreno é a nossa principal
preocupação. Passada esta fase inicial, uma nova
radiografia é solicitada quando alguns parâmetros
clínicos já foram alcançados. Estes incluem: fluxo pelo
dreno < 150 ml/dia, melhora dos sintomas e adequada ventilação/expansibilidade pulmonar. Neste segundo momento, desejamos saber unicamente se o dreno já pode ou não ser retirado. Se tivermos a certeza de que o pulmão está completamente expandido (sem líquido ou ar residual), de nada importará a posição do dreno, já que seu papel foi cumprido. O enunciado nos solicita
os achados radiológicos que traduzem uma drenagem adequada. Sendo assim, os critérios de maior relevância são a expansibilidade pulmonar e a ausência de líquido residual. Uma questão muito boa e de ordem prática. Parabéns à equipe do Hospital das Clínicas.
RESIDÊNCIA MÉDICA 2016 (ACESSO DIRETO 1 ASSOCIAÇÃO MÉDICA DO PARANÁ – PR
28 – O trauma de tórax é uma causa significativa de mortalidade. Muitos pacientes com trauma de tórax morrem após a admissão hospitalar e o manejo adequado é essencial para estes pacientes. Em relação a este tema, analise as assertivas abaixo.
I) As maiores repercussões do tórax instável provêm da lesão pulmonar subjacente, a contusão pulmonar, e o tratamento consiste em uma hidratação vigorosa com soluções cristaloides.
II) Os pacientes que chegam com lesão torácica penetrante sem pulso, porém com atividade elétrica miocárdica, podem ser candidatos a toracotomia de emergência.
III) Nos pacientes com hemoptise, enfisema subcutâneo ou pneumotórax hipertensivo com desvio de mediastino deve ser aventado a hipótese de lesão traqueobrônquica.
IV) Os pacientes com contusão pulmonar devem ser cuidadosamente monitorados e a ventilação mecânica deve ser iniciada precocemente se alterações significativas.
Estão corretas as assertivas:
a) I e III apenas.
b) II e IV apenas.
c) III e IV apenas.
d) I, II e III.
e) II, III e IV.
Vamos analisar as assertivas com calma… O tórax instável é consequência de fraturas de dois ou mais arcos costais consecutivos, com cada arco fraturado em dois pontos. Essas fraturas determinam com
frequência a respiração paradoxal, ou seja, os segmentos fraturados perdem a continuidade com o restante da caixa torácica e ficam, por isso, a mercê das variações de pressão intrapleural durante o ciclo respiratório. Em doentes alertas e sem outras lesões associadas, o tórax instável, por si só, não costuma levar à insuficiência respiratória caso tenha tratamento bem conduzido. A terapia consiste em analgesia intensa (intravenosa ou peridural), O2 suplementar sob máscara facial e fisioterapia respiratória. A principal causa de insuficiência respiratória nesses pacientes é a contusão pulmonar, condição caracterizada por hemorragia
alveolar e intersticial somada à lesão tecidual pulmonar. A hidratação vigorosa em vítimas de contusão pulmonar é formalmente contraindicada, uma vez que agrava o sangramento no parênquima pulmonar e pode precipitar falência respiratória – assertiva I incorreta. Vítimas de trauma torácico
penetrante que dão entrada em pronto-socorro sem
pulsos palpáveis, porém apresentando atividade elétrica miocárdica, são candidatas a toracotomia de emergência ou toracotomia de ressuscitação (toracotomia anterolateral esquerda). As manobras que podem ser executadas com eficácia durante este procedimento incluem uma ou mais das seguintes: evacuação de sangue do pericárdio aliviando o tamponamento, controle direto de lesões intratorácicas exsanguinantes, massagem cardíaca aberta e clampeamento da aorta descendente com o objetivo de lentificar a perda sanguínea abaixo do diafragma e, com isso, aumentar o fluxo sanguíneo para cérebro e coração – assertiva II correta .
A lesão traqueobrônquica é grave e geralmente causa óbito nas primeiras horas do trauma. Geralmente se manifesta com um ou mais desses achados: pneumotórax hipertensivo, hemoptise e enfisema subcutâneo importante. Quando o tórax é finalmente drenado, observamos borbulhamento intenso e persistente no frasco de drenagem e expansão pulmonar incompleta, sendo esta última alteração muito característica. A conduta inicial é a
passagem de outro dreno em uma tentativa de expandir o pulmão. A broncoscopia sela o diagnóstico. Em alguns casos, a intubação seletiva do brônquio fonte contralateral é necessária para a ventilação adequada do paciente até a intervenção cirúrgica. Na impossibilidade de intubação (distorção anatômica pelo hematoma paratraqueal, lesão
traqueobrônquica importante), exploração cirúrgica imediata encontra-se indicada – assertiva III correta.
Ficou realmente faltando uma palavra no final da assertiva IV.
O melhor seria assim: “se alterações significativas ocorrerem”… Independente desse pequeno erro, vamos dar continuidade ao nosso raciocínio. Como vimos antes, a contusão pulmonar é a principal causa de insuficiência respiratória em pacientes com tórax instável. A energia transferida através da parede torácica durante o trauma contuso é responsável por esta alteração. Suspeitamos da presença dessa complicação em vítimas de fraturas costais que evoluem com certa dificuldade respiratória, associada a surgimento de imagens de
hipotransparência na radiografia de tórax ou de hiperdensidade em tomografia computadorizada de tórax. Quanto mais precoce o surgimento de alterações na radiografia, mais grave é a contusão. Pacientes com PaO2 < 65 mmHg ou SaO2 < 90% em ar ambiente devem ser intubados e ventilados mecanicamente – assertiva IV correta.
Dessa forma, as assertivas II, III e IV estão corretas e a opção (E) é a resposta.
RESPOSTA: E
RESIDÊNCIA MÉDICA 2015 (ACESSO DIRETO 1) FACULDADE DE CIÊNCIAS MÉDICAS DA UNICAMP – SP
48 – Homem, 16 anos, refere queda de bicicleta com impacto do lado direito do tórax. Chega à unidade de emergência com dor torácica, consciente, leve desconforto respiratório. Exame físico: FR = 22 irpm; FC = 84 bpm; PA = 116 x 76 mmHg; Oximetria de pulso = 95% (ar ambiente). Pulmões: murmúrio vesicular diminuído à direita. Radiograma de tórax: traqueia centrada, pequeno/moderado pneumotórax e obliteração do seio costofrênico direito, fraturas do 5° e 6° arcos costais direitos.
A CONDUTA É:
a) Drenagem torácica sob selo d’água.
b) Toracocentese de alívio.
c) Ventilação não invasiva.
d) Controle radiográfico após 12h.
Temos um adolescente que após trauma torácico desenvolveu um pneumotórax simples pequeno a moderado, à direita. Bom, um pneumotórax pequeno é todo aquele que determina uma perda de
parênquima pulmonar inferior a 1/3 do volume de todo o pulmão; nesta situação, os pacientes não costumam apresentar desconforto respiratório e o tratamento pode ser conservador, com acompanhamento clínico. Reparem que nosso paciente encontra-se taquipneico e apresenta, em
seu exame físico, murmúrio vesicular diminuído, evidências de que este pneumotórax deve ser encarado mais como “moderado” do que “pequeno”. Sendo assim, devemos realizar a drenagem intercostal sob selo d’água para seu tratamento definitivo. Outro dado importante na radiografia de tórax: obliteração do seio costofrênico, também à direita. Será um hemotórax? Sabemos que na radiografia de tórax em incidência posteroanterior no paciente em posição ortostática a presença de um seio costofrênico obliterado já representa mais de 300 ml de acúmulo de líquido; no trauma, devemos considerar todo o derrame pleural, até segunda ordem, como um hemotórax; este deve ser abordado
sempre com drenagem intercostal sob selo d’água.
Dessa forma, nosso diagnóstico provável é de um hemopneumotórax e a opção correta é a alternativa A.
RESPOSTA: A
RESIDÊNCIA MÉDICA 2016 (ACESSO DIRETO 1 UNIVERSIDADE FEDERAL DO RIO DE JANEIRO – RJ
12 – Homem, 56 anos, sofre acidente com contusão
abdominal inferior, apresenta hematúria macroscópica. Cistografia: fratura dos ossos pélvicos e extravasamento de contraste, formando uma coleção organizada e unilateral. A principal hipótese diagnóstica é rotura de:
a) Mucosa vesical.
b) Uretra anterior.
c) Cúpula vesical, com comunicação peritoneal.
d) Parede vesical sem comunicação intraperitonial.
Vamos raciocinar com calma e chegaremos à conclusão de que essa não é uma questão difícil. Temos uma vítima de contusão em abdome inferior
acompanhada de fraturas pélvicas, o que denota um
trauma fechado grave; o paciente apresenta hematúria macroscópica. Qual deve ser o nosso diagnóstico? Bom, o enunciado descreve extravasamento de contraste durante a cistografia, formando uma coleção localizada. Com base nesse exame chegamos a nossa primeira conclusão: houve
lesão vesical. O diagnóstico de lesão da bexiga faz todo o sentido, uma vez que além do extravasamento de contraste há hematúria macroscópica (presente em 2/3 dos casos). Agora, a lesão é da porção extraperitoneal ou intraperitonial do órgão? Sabemos que as rupturas extraperitoneais da bexiga resultam, usualmente, de perfurações por fragmentos ósseos adjacentes, decorrentes de fraturas de ossos pélvicos. Além disso, não há líquido em cavidade e a coleção extravasada encontra-se localizada – sendo
assim, a opção correta é a D. O tratamento é conservador, com o uso de cateter de Foley por 10 a 14 dias.
RESIDÊNCIA MÉDICA 2016 (ACESSO DIRETO 1 FACULDADE DE CIÊNCIAS MÉDICAS DA UNICAMP – SP
8 – Homem, 24a, vítima de acidente automobilístico
(carro versus poste), estava no banco do passageiro
com cinto de segurança, chega ao pronto-socorro após 6 horas do trauma com história de dor abdominal difusa. Exame físico: Abdome: equimose em faixa abaixo da cicatriz umbilical e dor à palpação difusa. Tomografia computadorizada de abdome: presença de líquido livre em cavidade e sem lesões de baço e fígado. A HIPÓTESE DIAGNÓSTICA E CONDUTA SÃO:
a) Lesão de intestino delgado, laparotomia.
b) Lesão de bexiga, cistostomia.
c) Lesão de rim, tratamento não operatório.
d) Lesão de pâncreas, laparoscopia.
Após ler o enunciado, muitos de vocês devem ter se perguntado: mas o cinto de segurança não protege o indivíduo de lesões graves? Na imensa maioria das vezes, sim. Contudo, o cinto pode causar lesões estruturais em traumas de elevada energia cinética, situações onde a ausência deste certamente levaria o paciente rapidamente ao óbito (ejeção para fora do veículo, impacto direto sobre o volante ou painel etc). Bom, vamos voltar ao enunciado… A vítima dá entrada no pronto-socorro com dor abdominal difusa. Apresenta equimose abaixo de cicatriz umbilical (sinal
do cinto de segurança) e dor difusa à palpação do abdome. Não foi realizado FAST e a equipe já indicou
a Tomografia Computadorizada (TC) de abdome. A TC revela integridade de vísceras sólidas e a única alteração observada é a presença de líquido livre em cavidade. Isso faz sentido? Totalmente. Sabemos que, em determinados traumas, a elevação rápida da pressão intra-abdominal ocasionada pela compressão do abdome pelo cinto de segurança (principalmente quando o cinto é exclusivamente abdominal e não de três pontas) pode ocasionar lesão de vísceras ocas, principalmente o intestino delgado – que no trauma inclui o jejuno e o íleo, pois o duodeno tem localização retroperitoneal e é estudado em separado. Esta lesão em alguns casos
é traduzida radiologicamente apenas como líquido livre em cavidade. Como houve lesão de delgado, a conduta conservadora não se aplica e a laparotomia deve ser imediata! O trauma fechado de bexiga se apresenta com dor em andar inferior de abdome (com sensibilidade à palpação local) acompanhada de dificuldade em urinar; em mais de 2/3 dos indivíduos encontramos hematúria macroscópica, e a hematúria microscópica (considerada como ≥ 25 hemácias/campo de grande aumento) costuma estar presente no restante dos casos. A lesão extraperitoneal de bexiga ocorre de forma mais frequente como consequência de fraturas pélvicas (arco anterior da pelve ou dos quatro ramos púbicos), enquanto as lesões da porção intraperitonial do órgão são ocasionadas mais comumente por contusão em andar inferior do abdome. Sendo assim, a presença de dor abdominal difusa e a ausência de hematúria, nos afasta do diagnóstico de trauma de bexiga. Não esqueçam essa nova “equação” que é muito importante: Contusão abdominal + Vísceras
sólidas íntegras na TC com Líquido livre presente + Dor abdominal difusa = Lesão de delgado.
RESIDÊNCIA MÉDICA 2016 (ACESSO DIRETO 1 FACULDADE DE CIÊNCIAS MÉDICAS DA UNICAMP – SP
7 – Homem, 19a, chega à Unidade de Emergência, vítima de ferimento por arma branca em região torácica anterior direita (terceiro espaço intercostal) e em região periumbilical esquerda. Exame físico: Consciente; PA = 100 x 60 mmHg; FC = 92 bpm; FR = 22 irpm; oximetria de pulso 93% (com máscara de oxigênio); tórax: timpanismo à percussão torácica e murmúrio vesicular diminuído à direita; abdome: dor à palpação difusa com sinais de irritação peritoneal. A conduta é:
a) Punção de tórax e tratamento não operatório do ferimento abdominal.
b) Toracotomia direita e laparotomia mediana.
c) Tomografia computadorizada de tórax e abdome.
d) Drenagem de tórax e laparotomia mediana.
Vamos ler com calma o enunciado, a questão não é difícil. Temos uma vítima de trauma penetrante por arma branca, com os sítios da lesão se localizando na região torácica anterior direita, no nível do terceiro espaço intercostal, e na região periumbilical. O paciente encontra-se hemodinamicamente estável e apresenta SaO2 na oximetria de 93% (com máscara facial de O2). Exame do aparelho respiratório com timpanismo à percussão à direita e diminuição do murmúrio vesicular também à direita. O exame abdominal revela sinais de irritação peritoneal. Qual deve ser nossa conduta? Bom, o exame físico é clássico de um pneumotórax. Podemos classificá-lo como simples, uma vez que não há sinais de hipertensão (como instabilidade hemodinâmica). A conduta inicial envolve drenagem intercostal sob selo d’água, com o dreno inserido no nível do 5º espaço intercostal direito, em uma posição imediatamente anterior à linha axilar média. E o abdome? Bom, sempre que temos uma ferida abdominal a pergunta que devemos nos fazer é a seguinte: houve lesão de estruturas intra-abdominais? Os sinais de lesão de vísceras no trauma penetrante podem estar presentes isoladamente ou em combinações variadas e incluem irritação peritoneal, evisceração ou
instabilidade hemodinâmica. Na presença de qualquer um dos três, laparotomia imediata encontra-se indicada! É sempre bom lembrarmos que a drenagem intercostal deve obrigatoriamente ser realizada antes da laparotomia, uma vez que esta última exige anestesia geral e a ventilação mecânica faz parte da anestesia. Se ventilarmos com pressão positiva um paciente com pneumotórax simples não tratado, vamos transformá-lo em um hipertensivo!
Observando as alternativas, a única correta é mesmo a D.
RESIDÊNCIA MÉDICA 2015 (ACESSO DIRETO 1) UNIVERSIDADE DE RIBEIRÃO PRETO – SP
52 – Um paciente está com sinais vitais estáveis e desconforto respiratório após um ferimento por faca no peito. Colocam-se os drenos torácicos, e observa-se um vazamento de ar. O paciente é intubado em um procedimento eletivo. O paciente tem uma parada depois de iniciada a ventilação com pressão positiva.
Qual é o diagnóstico mais provável?
a) Hemorragia não reconhecida no abdome.
b) Pneumotórax hipertensivo.
c) Tamponamento pericárdico.
d) Embolia gasosa.
e) Infarto agudo.
Bom, essa é uma questão difícil. Nosso paciente foi vítima de ferida torácica e desenvolveu um pneumotórax. Agora, devemos ficar atentos para esse detalhe: o pneumotórax já está sendo tratado,
uma vez que é descrita a presença de drenos torácicos. O vazamento de ar persistente pode nos indicar lesão na via aérea proximal ou comprometimento significativo de via aérea distal. Houve deterioração clínica e Parada Cardiorrespiratória (PCR) imediatamente após o início da ventilação com pressão positiva; se tivéssemos conhecimento apenas desse dado, poderíamos considerar imediatamente um pneumotórax hipertensivo como a condição que levou a PCR. Mas, observem, o paciente já está com seu tórax drenado, o que tornaria essa opção impossível. Sendo assim, nos resta a embolia gasosa como hipótese diagnóstica. Na ventilação com pressão positiva, os gases chegam com maior pressão nas via aéreas distais. Nos segmentos lesados da via aérea, este fenômeno pode determinar uma passagem maciça de ar para a circulação, o que leva à embolia gasosa. Sabemos que estes gases ganham as veias pulmonares e o coração esquerdo, ocasionando complicações fatais. Aproximadamente 0,5-1 ml de gás na circulação coronariana é o suficiente para levar o paciente ao óbito.
RESPOSTA: D
RESIDÊNCIA MÉDICA 2016 (ACESSO DIRETO 1)
UNIVERSIDADE FEDERAL DO RIO DE JANEIRO – RJ
9 – A melhor forma de avaliação da perfusão tecidual, na fase inicial de atendimento ao politraumatizado, é observar:
a) Pressão arterial.
b) Volume urinário.
c) Oximetria de pulso.
d) Pressão arterial média.
O ATLS explica em seu capítulo sobre avaliação inicial: “O débito urinário é um indicador sensível da volemia do doente e reflete perfusão renal”. Já em seu capítulo sobre choque, temos o seguinte: “… o mais importante é avaliar a resposta do doente à reposição inicial, considerando a perfusão e oxigenação dos órgãos-chave através de parâmetros como débito urinário, o nível de consciência e a perfusão periférica”. Uma ressuscitação volêmica adequada se traduz por um débito urinário de 0,5 ml/kg/h em adultos, de 1 ml/kg/h em crianças e de
2 ml/kg/h em crianças menores de 1 ano. Sendo assim, a alternativa correta é a B. É só lembrarmos que a avaliação da circulação (fase C), em uma vítima de politrauma, tem como objetivo principal identificar ou descartar a presença de choque, que tem na hemorragia seu principal mecanismo.
Os sinais do choque hemorrágico são os seguintes:
(1) agitação e confusão;
(2) taquicardia;
(3) taquipneia;
(4) diaforese;
(5) extremidades frias, úmidas “pegajosas” e cianóticas;
(6) pulsos distais ausentes ou diminuídos;
(7) diminuição da pressão de pulso;
(8) diminuição do débito urinário; e
(9) hipotensão.
Embora a hipotensão claramente indique descompensação cardiovascular, pacientes podem estar em choque antes que sua pressão arterial
realmente diminua devido a mecanismos compensatórios do organismo (aumento do tônus adrenérgico). As principais fontes de perda sanguínea incluem: abdome (fonte mais comum), tórax, fraturas pélvicas, hemorragias externas e múltiplas fraturas de ossos longos.
RESIDÊNCIA MÉDICA 2016 (ACESSO DIRETO 1) UNIVERSIDADE FEDERAL DE CAMPINA GRANDE – PB
30 – Uma mulher de 45 anos, saudável, apresenta-se após um acidente de automóvel. Ela está hemodinamicamente estável e com apenas um mínimo de dor em quadrante superior direito. Um exame FAST (Teste ultrassonográfico abdominal para avaliação com foco no trauma abdominal fechado) é positivo com o fluido observado no recesso hepatorrenal e na pelve. Qual é, das alternativas abaixo, a melhor etapa seguinte para seu seguimento?
a) Observação apenas.
b) Tomografia computadorizada.
c) Laparoscopia.
d) Laparotomia exploratória.
e) Drenagem abdominal fechada.
O enunciado descreve o caso de uma paciente de 45 anos vítima de contusão abdominal. Em seu exame físico encontra-se hemodinamicamente estável e apresenta um abdome pouco doloroso em
quadrante superior direito. Realizado FAST, que foi positivo, com fluido em recesso hepatorrenal e na pelve. Nesse momento, devemos nos fazer a seguinte pergunta: essa paciente tem indicação de cirurgia? A princípio, não! Ela mantém pressão arterial estável e não apresenta irritação peritoneal. Agora, o FAST positivo nos indica que houve lesão de estrutura intra-abdominal, mas sabemos que no
trauma fechado em pacientes hemodinamicamente estáveis, muitas vezes a conduta é conservadora. Contudo, só podemos adotar uma determinada conduta (não operatória ou operatória) após uma avaliação cuidadosa com base na Tomografia Computadorizada (TC) de abdome, nosso próximo passo – sendo assim, a opção (B) é a correta.
Antes de terminarmos, vamos relembrar as “equações”, fundamentais para raciocinarmos em casos de traumatismo fechado abdominal: (VER IMAGEM) Um detalhe importante: o paciente pode dar entrada no pronto-socorro estável hemodinamicamente ou alcançar a estabilidade
hemodinâmica após reposição volêmica inicial (1-2 litros de solução cristaloide).
RESPOSTA: B

RESIDÊNCIA MÉDICA 2016 (ACESSO DIRETO DISCURSIVA) UNIVERSIDADE DE SÃO PAULO – SP
4 – Adolescente masculino de 16 anos de idade, trazido ao pronto-socorro de hospital terciário pelo Serviço de Resgate, foi vítima de queda de bicicleta após colisão em alta velocidade contra anteparo fixo. Paciente relata ter traumatizado a região superior do abdome contra o guidão da bicicleta e refere intensa dor no local. Apresenta ainda trauma craniano, sem perda de consciência, porém refere cefaleia intensa.
Nega vômitos. Dados colhidos pela equipe do resgate no local do acidente: Pulso = 112 bpm; pressão arterial = 130 x 90 mmHg; frequência respiratória = 16 irpm; saturação de oxigênio 97% em ar ambiente. Tempo entre acidente e admissão hospitalar: 30 minutos. Na avaliação no pronto-socorro: A: Vias aéreas pérvias, com colar cervical.
B: Murmúrios vesiculares presentes bilateralmente;
expansibilidade simétrica; tórax indolor à palpação; sem crepitações; FR = 16 irpm; saturação de O2 98% em ar ambiente. C: Pulso = 108 bpm; pressão arterial = 120 x 70 mmHg; sem sangramento visível. Abdome doloroso à palpação em epigástrio e mesogástrio, onde se evidenciam equimose e escoriação. Toque retal sem alterações, diurese clara. D: Escala de Coma de Glasgow = 15; pupilas isocóricas e fotorreagentes. E: Sem outras alterações. Realizada expansão volêmica com 2.000 ml de soro fisiológico e analgesia. Após essas medidas, o paciente apresenta frequência cardíaca de 86 bpm e pressão arterial de 120 x 70 mmHg. Foi realizada ultrassonografia focada no trauma (FAST). Cite as quatro janelas ultrassonográficas em que se pesquisa a presença de líquido neste exame:
A ultrassonografia na Sala de Trauma é por todos nós conhecida pela sigla FAST (Focused Assessment Sonography for Trauma). O FAST tem por função identificar a presença de líquido livre em cavidade peritoneal, o que no trauma de abdome é sinônimo de lesão de estruturas intra-abdominais; não devemos esquecer também que o FAST é um método de extrema sensibilidade para identificação de sangue em cavidade pericárdica. Com o transdutor do FAST são pesquisados o espaço hepatorrenal (espaço de Morrison), o espaço esplenorrenal, o espaço retrovesical (ou fundo de saco) e a cavidade pericárdica. É importante termos em mente que o FAST não detecta sangramentos em retroperitônio, lesões em pâncreas, lesões em órgãos sólidos com sangramento contido e lesões em vísceras ocas. Além disso, o exame detecta com maior sensibilidade somente coleções intraperitoniais
acima de 200-250 ml.
RESIDÊNCIA MÉDICA 2015 (ACESSO DIRETO 1) HOSPITAL ISRAELITA ALBERT EINSTEIN – SP
53 – R.M., masculino, 58 anos, etilista, sofre queda de
aproximadamente 6 degraus na escada de sua residência. Chega ao pronto-socorro trazido por familiares com Glasgow = 13 (abertura ocular ao chamado e confuso/desorientado) e hemiparesia desproporcionada incompleta contralateral ao local da sua lesão intracraniana. Realizou imediatamente tomografia computadorizada de crânio sem contraste.
Qual é a lesão que mais destaca-se na região parietal direita do corte tomográfico acima?
a) Hematoma epidural.
b) Hematoma subdural.
c) Hemorragia subaracnóidea.
d) Não há lesão na região parietal direita.

Na tomografia computadorizada de crânio observamos imagem biconvexa e hiperdensa, o que nos fala a favor de hematoma epidural à direita (setas vermelhas); além disso, identificamos a presença de extenso hematoma subgaleal (coleção de sangue entre a tábua óssea do crânio e o couro cabeludo), uma lesão que não traz risco ao paciente (setas azuis). Devemos lembrar que, classicamente, o hematoma epidural se desenvolve devido à lesão na
artéria meníngea média, e mais raramente tem origem venosa. Embora nosso paciente se apresente com escala de coma de Glasgow de 13 (Trauma Cranioencefálico [TCE] leve ou menor), ele está francamente sintomático, com confusão mental e hemiparesia contralateral (não é descrito o estado de suas pupilas), alterações que já podem ser encaradas como sinais de deterioração neurológica. Nesse caso, a intervenção neurocirúrgica deve ser imediata, com craniotomia e evacuação do hematoma. Nos hematomas epidurais, pode haver em até 47% dos casos cirúrgicos (que representam a maioria) o intervalo lúcido antes da deterioração neurológica. Contudo, não observamos este fenômeno em nosso
paciente. Reparem que ele já se apresenta confuso,
desorientado e com sinais motores.
RESPOSTA: A

RESIDÊNCIA MÉDICA 2015 (ACESSO DIRETO 1) UNIVERSIDADE FEDERAL DO ESTADO DO RIO DE JANEIRO – RJ
51 – Analise o quadro clínico a seguir: Você está de plantão em uma Unidade de Emergência de um grande hospital quando dá entrada um homem de 43 anos, ectoscopicamente saudável, vítima de queda de moto. O paciente está agitado, queixa-se de dor torácica e intensa falta de ar. Apresenta taquicardia de 140 bpm, dispneico com taquipneia intensa. Importante turgência de jugulares, sudorese e leve cianose de extremidades. No exame físico, você encontra uma área de escoriação sobre hematoma na região anterolateral do hemitórax direito, junto ao quinto, sexto, sétimo e oitavo espaços intercostais, com importante crepitação. A ausculta respiratória indica a ausência do murmúrio vesicular no hemitórax direito, mas o ritmo cardíaco está regular e em dois tempos, sem abafamento de bulhas.
O seu diagnóstico e a conduta terapêutica a ser tomada são, respectivamente:
a) Pneumotórax hipertensivo. Assistência respiratória por pressão positiva com reposição volêmica imediata.
b) Embolia pulmonar. Assistência respiratória e anticoagulante.
c) Tórax instável com segmento paradoxal. Intubação orotraqueal com ventilação por pressão positiva.
d) Hemopneumotórax hipertensivo. Toracocentese descompressiva imediata, seguida de toracostomia com drenagem fechada.
e) Tamponamento cardíaco. Pericardiocentese descompressiva ou pericardiotomia com aspiração.
Temos um indivíduo vítima de trauma torácico grave após queda de moto. Apresenta-se agitado (muito provavelmente por hipoxemia), taquicárdico (140 bpm) e taquipneico. Em seu exame torácico, identificamos, em hemitórax direito, hematoma e escoriações, crepitação à palpação e ausência de Murmúrio Vesicular (MV). Além desses achados no exame do tórax, observamos turgência jugular importante. Com esses dados, nossa suspeita deve ser imediata – pneumotórax hipertensivo! Muito simples, desconforto respiratório importante (com agitação representando hipoxemia), somado a
turgência jugular e a ausência de MV nos leva a este diagnóstico. Agora, uma dica: é muito comum encontrarmos enfisema subcutâneo (crepitação à palpação do hemitórax) em vítimas de pneumotórax hipertensivo. Sendo assim, a única opção possível é a D, hemopneumotórax hipertensivo. O autor descreveu como hemopneumotórax para nos induzir ao erro. Podemos até encontrar um pequeno hemotórax associado, quem sabe, mas o que determina a gravidade do quadro clínico, sem dúvida alguma, é o pneumotórax. A conduta é a realização imediata de uma toracocentese descompressiva no nível do segundo espaço intercostal direito, na linha hemiclavicular. O tratamento definitivo é a toracostomia sob selo d’água (drenagem intercostal sob selo d’água). Por que não um hemotórax maciço, já que não foi descrita a percussão torácica no enunciado? Porque não! Lembrem-se de que no hemotórax maciço não há turgência jugular, as jugulares encontram-se colabadas devido a hipovolemia. A opção A é absurda, pois se ventilarmos uma vítima de pneumotórax hipertensivo, sem tratarmos primeiro o pneumotórax, provocaremos barotrauma e embolia gasosa, o que é fatal. No tamponamento, opção E, não encontraríamos um MV abolido em um dos hemitóraces; além disso, nosso paciente não apresenta abafamento de bulhas.
RESPOSTA: D