(SES-PE 2017 R3 CIRURGIA GERAL) - A síndrome do compartimento abdominal
A) é diagnosticada quando a pressão intra-abdominal (PIA) ultrapassa 20 mmHg independentemente do quadro clínico
B) só ocorre após cirurgia abdominal ou pélvica
C) só pode ser tratada cirurgicamente
D) decorre dos efeitos pressóricos da PIA, além da liberação de endotoxinas e citocinas
E) não prejudica a hemodinâmica do sistema nervoso nem do fígado
Letra “D” - decorre dos efeitos pressóricos da PIA, além da liberação de endotoxinas e citocinas
HIPERTENSÃO INTRA ABDOMINAL: AUMENTO DA PIA
SÍNDROME COMPARTIMENTAL ABDOMINAL: AUMENTO DA PIA (3-4 GRAU > 20mmHg) + DISFUNÇÃO DE ÓRGÃOS E SISTEMAS NOVA
Tu ABD, ASCITE… PODE CAUSAR SÍNDROME COMPARTIMENTAL ABDOMINAL
TTO DE ESCOLHA É CLÍNICO, CASO NÃO RESOLVA, QUE VAI PRO TTO CIRÚRGICO
(SES-PE 2018.2 ACESSO DIRETO) - Paciente vítima de TCE é diagnosticado com hipertensão intracraniana utilizando uma passagem de Cushing. Essa tríade consiste em
A) anisocoria, decorticação e afasia
B) cefaleia, diplopia e vôos em jato
C) hipertensão, bradicardia e respiração irregular
D) hipotensão, taquicardia e taquipneia
E) miose fixa, decerenção e Babinsky +
Letra “C” - hipertensão, bradicardia e respiração irregular
HIC: HIPERTENÃO + BRADICARDIA + BRADIPNEIA
PPC (80mmHg) =PAM-PIC (5-15mmHg)
(SES-PE 2015 ACESSO DIRETO) - O choque neurogênico
A) cursa com pele fria e úmida
B) cursa com diminuição do débito cardíaco e do retorno venoso
C) cursa com diminuição da volemia e da diurese
D) não pode ser causado por uma dor súbita forte, uma dilatação gástrica aguda ou uma raquianestesia alta
E) cursa com aumento da resistência vascular sistêmica e da frequência cardíaca
Letra “B” - cursa com diminuição do débito cardíaco e do retorno venoso
SANGUE REPRESADO NA PERIFERIA (RETORNO VENOSO PREJUDICADO) - CAI DC
PELE NORMAL
VOLEMIA MANTIDA/DIURESE PODE ESTAR REDUZIDA
DIMINUIÇÃO DA RVS COM NORMO OU BRADICARDIA
CHOQUE MEDULAR: PERDA REFLEXOS MEDULARES ABAIXO DA LESÃO
CHOQUE NEUROGÊNICO: DIMINUIÇÃO DA PERFUSÃO POR CAUSA DE UMA LESÃO MEDULAR (NA MAIORIA DAS VEZES)
(SES-PE 2017.2 R3 CIRURGIA GERAL) - Com relação aos traumatismos abdominais, assinale a afirmativa INCORRETA.
A) Nos traumas fechados, o fígado e o baço são os órgãos mais lesados
B) Nos penetrantes por arma branca, o delgado é um dos órgãos mais lesados
C) O FAST (US rápido e focado para trauma abdominal) está mais indicado no fechado que no penetrante
D) Nenhum paciente instável, um TC com contraste deve ser evitado
E) No fechado e no penetrante por arma branca, o raio-X simples de abdômen é de grande valor
Letra “E” - No fechado e no penetrante por arma branca, o raio-X simples de abdômen é de grande valia
(SES-PE 2013 ACESSO DIRETO) - Sobre a queimadura de 3º grau, assinale a afirmativa INCORRETA.
A) Há coagulação de vasos e destruição de tecido nervoso, com consequente anestesia das áreas afetadas
B) Há destruição da porção superior das glândulas anexas e dos folículos pilosos
C) A cicatrização geralmente é inestética e gera resultados pouco funcionais
D) Recomenda-se aguardar algumas horas para uma avaliação completa das áreas afetadas
E) A pele se apresenta seca e dura, semelhante a um couro
Letra “B” - Há destruição da porção superior das glândulas anexas e dos folículos pilosos
DESTRUIÇÃO TOTAL
(SES-PE 2019.2 ACESSO DIRETO) - Mulher, 28 anos, envolvida em acidente automobilístico, com perda de consciência. No atendimento inicial, no município de sertão pernambucano, apresente-se ECGLA: 14, que se cefaleia e encontrou vôos. Foi encaminhado em ambulância para o centro de referência em neurotrauma, distante quatro horas de viagem. Na admissão no centro de referência, apresente-se ECGLA: 9, pupila direita superior à esquerda e hemiparética à esquerda. Em que posição, ao longo da curva de Langfitt, encontra esse paciente?
A) A
B) B
C) C
D) D
E) Nenhum dos pontos

Letra “C” - C
A: PACIENTE NORMAL
B: TCE - AUMENTO LEVE PIA (PERDE LÍQUOR E SANGUE)
C: PERDEU LÍQUOR, SANGUE - RNC
D: ECG:03
AUMENTO PIA:
(SES-PE 2020 ACESSO DIRETO) - Homem, 19 anos, queda de moto levando a politraumatismo. Atendido numa unidade de emergência básica em Pesqueira/PE. Identificado fratura pélvica, do colo do fêmur e choque. O médico de plantão solicita Ringer lactato para reposição volêmica. Entretanto, é informado que só dispõe de SF 0,9%. Na reanimação inicial, são necessários 4,5L para estabilização e transporte à unidade definitiva em Caruaru/PE. Nessa situação, qual distúrbio hidroeletrolítico o paciente tenderá a desenvolver?
A) Alcalose hipoclorêmica
B) Acidose hipercalêmica
C) Alcalose hipernatrêmica
D) Acidose hiponatêmica
E) Acidose hiperclorêmica
Letra “E” - Acidose hiperclorêmica
ACIDOSE
HIPERNATREMIA
HIPERCLOREMIA
(SES-PE 2019 ACESSO DIRETO) - Mulher, 18 anos, vítima de atropelamento há 30 minutos. Glasgow – 14. Hipotensa. É realizado um “e FAST” ou FAST estendido. Qual estrutura, além do FAST clássico, é avaliada nesse exame?
A) Pâncreas
B) Rim
C) Cavidade pleural
D) Retroperitôneo
E) Cava inferior
Letra “C” - Cavidade pleural
(SES-PE 2019 R3 CIRURGIA GERAL) - Em relação à toracotomia de ressuscitação, assinale a afirmativa CORRETA.
A) Sua melhor indicação é no trauma fechado do tórax com parada cardíaca e sem sinais vitais que não excederam 15 minutos
B) Pode ser feita pela toracotomia esquerda ou pela toracotomia direita, ambas no 5º espaço intercostal, no lado predominante do trauma
C) O tamponamento cardíaco traumático não responde bem à pericardiocentese com agulha, pois é, geralmente, formado por coágulos requerendo toracotomia e pericardiotomia com retirada de todo o conteúdo
D) O pericárdio deve ser aberto transversalmente para evitar lesão dos nevos frênicos
E) Se, após a abertura do pericárdio, o coração estiver em fibrilação fina, deve ser feito logo desfibrilação e, em seguida, massagem cardíaca interna com uma mão
Letra “C” - O tamponamento cardíaco traumático não responde bem à pericardiocentese com agulha, pois é, geralmente, formado por coágulos requerendo toracotomia e pericardiotomia com retirada de todo o conteúdo
B) TORACOTOMIA ÂNTERO-LATERAL ESQUERDA
D) HORIZONTALMENTE
E) MASSAGEAR E CLAMPEAR A. AORTA DESCENDENTE
(SES-PE 2018 R3 CIRURGIA GERAL) - Homem de 23 anos deu entrada na urgência, por ter sido vítima de agressão por arma branca no hemitórax esquerdo. Ausculta abolida nos 2/3 inferiores do hemitórax, sendo submetido à drenagem torácica com saída de 800ml de sangue. Manteve-se hemodinamicamente estável e foi transferido para enfermaria. Raio-X de tórax pós-drenagem mostrou veludo inferior a hemitórax, com dreno bem posicionado, sendo seu débito em 24h de 100ml, aspecto sanguíneo e sem escape aéreo. Nesse caso, um MELHOR conduz seriamente a seguir:
A) Retirada do dreno e alta hospitalar
B) Toracotomia anterolateral esquerda no 5º espaço intercostal, urgência
C) Iniciar antibióticos e otimizar a fisioterapia respiratória, se tratar de infecção respiratória
D) Drenagem tubular aberta
E) Videotoracoscopia e lavagem da cavidade torácica,
Letra “E” - Videotoracoscopia e lavagem da cavidade torácica, com retirada dos coágulos retidos
HEMOTÓRAX: AUSCULTA ABOLIDA EM PARTE (2/3 INFERIORES)
FICOU COM HEMOTÓRAX COAGULADO: VÍDEOTORACOSCOPIA
(SES-PE 2020 R3 CIRURGIA GERAL) - Qual das anormalidades abaixo NÃO é bem identificada pelo e- FAST (estended focused assessment for sonography in trauma)?
A) Hemorragia retroperitoneal
B) Hemorragia intraperitoneal
C) Hemotórax
D) Pneumotórax
E) Atelectasia pulmonar por entubação seletiva
Letra “A” - Hemorragia retroperitoneal
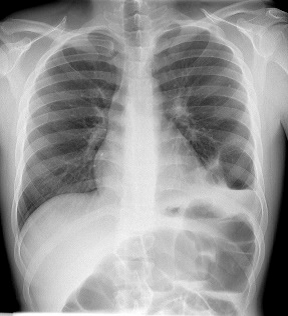
(SES-PE 2018.2 ACESSO DIRETO) - Paciente vítima de acidente motociclístico em alta velocidade. Conduzido à emergência em estado grave, hipotenso e dispneico. Realizou o RX tórax abaixo. Qual é o diagnóstico provável?
A) Hérnia diafragmática E
B) Pneumotórax D e Hemotórax E
C) Hemotórax E
D) Pneumotórax E
E) Tamponamento cardíaco

Letra “A” - Hérnia diafragmática E
(SES-PE 2015 R3 CIRURGIA GERAL) - Um paciente de 25 anos sofre acidente motociclístico. Na admissão, está hipotenso, e com nível de consciência rebaixado. Abre os olhos apenas ao estímulo doloroso, produz filhos incompreensíveis e tem uma postura de decorticação. Em relação ao atendimento, é CORRETO afirmar que
A) em virtude do rebaixamento do nível de consciência, um TC de abdome está indicado para excluir trauma abdominal fechado
B) a via aérea deve ser garantida com uma máscara larga
C) uma hiperventilação está indicada para manter níveis de pCO2 nos limites inferiores à normalidade
D) a perda volêmica pode ser usada como classe II
E) durante o choque a mitocôndria é a última organização intracelular a sofrer hipóxia
Letra “C” - uma hiperventilação está indicada para manter níveis de pCO2 nos limites inferiores da normalidade
PRIMEIRO ESTABILIZA HD
MÁSCARA LARÍNGEA NÃO É VIA AÉREA DEFINITIVA (IOT, INT, CRICO OU TQT)
HIPERVENTILAÇÃO: MANTER PXM A 35mmHg: DIMINUIR VASODILATAÇÃO: DIMINUIR EDEMA
PERDA VOLÊMICA: >=3
1ª ORGANELA A COMEÇAR A DETERIORAR: MITOCÔNDRIA
(SES-PE 2019 R3 CIRURGIA GERAL) - Embora seja um tema um pouco controverso no trauma torácico, a fixação cirúrgica das costelas NÃO estaria indicada em qual das situações abaixo?
A) Tórax instável causando insuficiência respiratória
B) Dor refratária a todo tipo de tratamento clínico
C) Fraturas de costelas com as espículas ósseas das bordas em contato com estruturas nobres
D) Contusão pulmonar severa associada com previsão de assistência ventilatória prolongada
E) Consolidação defeituosa ou ausente, acompanhada de repercussões clínicas persistentes
Letra “D” - Contusão pulmonar severa associada com previsão de assistência ventilatória prolongada
TÓRAX INSTÁVEL: LESÃO POTENCIALMENTE AMEAÇADORA DE VIDA
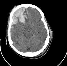
(SES-PE 2018 ACESSO DIRETO) - Homem, 27anos envolvido em acidente motociclístico em alta velocidade (colisão). Admitido na emergência terciária com 9 pontos na escala de Glasgow, realizou a imagem abaixo. Qual o diagnóstico provável?
A) Concussão clássica
B) Concussão simples
C) Lesão axonal difusa
D) Contusão cerebral
E) Hematoma subdural

Letra “D” - Contusão cerebral
CONCUSSÃO: PERDA DA CONSCIÊNCIA <6H
(SES-PE 2017.2 ACESSO DIRETO) - Em relação ao trauma torácico, assinale a alternativa CORRETA.
A) Pelo menos 50% requerem tratamento cirúrgico
B) O pneumotórax hipertensivo deve ser diagnosticado por radiografia
C) Todo hemotórax deve ser drenado
D) Débito maior que 2 litros de sangue nas 24 horas, após a drenagem pleural representa uma indicação de
toracotomia
E) Pacientes que apresentam uma única costela fraturada em mais de um local podem apresentar tórax
instável
Letra “D” - Débito maior que 2 litros de sangue nas 24 horas, após a drenagem pleural representa uma indicação de toracotomia
Pneumotórax hipertensivo: Dx clínico
5º EIE - toracocentese
Tórax instável: >=2 costelas >=2 pedaços
(SES-PE 2017 ACESSO DIRETO) - Paciente de 23 anos foi esmagado por uma parede de concreto. Submetido à laparotomia de urgência em que foram colocadas 6 compressas para tratamento de uma lesão hepática grave. O cirurgião referiu que estava realizando “controle do dano” devido à presença da “tríade letal”. Que tríade seria essa?
A) Lesão hepática, tórax instável e choque
B) Hipotermia, PCR elevada e coagulopatia
C) Rutura hepática, rutura esplênica e hemotórax maciço
D) Acidose, hipoxemia e disfunção miocárdica
E) Acidose metabólica, hipotermia e coagulopatia
Letra “E” - Acidose metabólica, hipotermia e coagulopatia
(SES-PE 2017 R3 CIRURGIA GERAL) - Sobre o uso da ultrassonografia (USG) em ambiente de urgência traumática e não traumática, assinale a alternativa CORRETA.
A) A USG não é adequada para diagnóstico de pneumotórax, pois o ar não é bom condutor das ondas
sonoras
B) O FAST (Focused Assessment Sonography for Trauma) é o melhor exame para diagnóstico de lesões
esplênicas ou hepáticas
C) O FAST só deve ser realizado em pacientes instáveis hemodinamicamente após trauma abdominal
fechado
D) O limite inferior de detecção de líquido livre abdominal no FAST é de 750mL
E) O FAST tem baixa sensibilidade para lesões retroperitoneais, pancreáticas ou diafragmáticas
Letra “E” - O FAST tem baixa sensibilidade para lesões retroperitoneais, pancreáticas ou diafragmáticas
a) E-fast: dx pneumotórax
b) não consegue dizer a origem do sangramento
c) pode paciente estável
d) 200-250mL
(SES-PE 2017.2 R3 CIRURGIA GERAL) - Uma toracotomia de reanimação feita pela incisão clássica permite realizar algumas abordagens cirúrgicas no tórax, abaixo enumeradas, EXCETO:
A) abordar um sangramento no hemitórax direito
B) abordar um tamponamento pericárdico
C) abordar uma fístula aérea broncopleural à esquerda
D) realizar uma massagem médica interna
E) prender uma aorta descendente para ajudar a controlar uma hemorragia abdominal severa
Letra “A” - abordar um sangramento no hemitórax direito
abordagem: antero-lateral esquerda
(SES-PE 2019 ACESSO DIRETO) - Paciente de 19 anos, vítima de acidente de moto há 2 horas. Admitido na unidade especializada de trauma com suspeita de TRM. Não movimentava membros inferiores. RÁPIDO normal. Apresentava hipotensão (80x50 mmHg) e bradicardia. Qual é a síndrome de Alimentação e o nível medular acometido?
A) Choque neurogênico e nível T4
B) Choque neurogênico e nível T10
C) Choque neurogênico e nível L3
D) Choque neurológico e nível S1
E) Choque neurogênico e nível S2
Letra “A” - Choque neurogênico e nível T4
o normal seria hipotensão + taquicardia compensatória… mas no choque neurogênico ocorre bradicardia pela perda do tônus adrenérgico
hipotensão + bradicardia (perda do tônus adrenérgico): choque neurogênico (lesão alta - inerva coração: acima de T6 - perda do tônus adrenérgico)
(SES-PE 2015 ACESSO DIRETO) - Sobre a avaliação inicial do paciente politraumatizado, é CORRETO
afirmar que
A) não deve ser realizada durante o atendimento pré-hospitalar, sendo prioridade conduzir o paciente ao
hospital terciário mais próximo, pois cerca de um terço das mortes preveníveis por trauma ocorrem na primeira hora após o evento traumático, a denominada “hora de ouro”
B) o exame físico na vítima de trauma deve ser iniciado pelo exame neurológico básico, incluindo a escala de
coma de Glasgow e a avaliação das pupilas e reflexos profundos, devido a sua importância para determinar
mais rápido a necessidade de intubação traqueal
C) se o paciente politraumatizado apresentar agitação psicomotora, deve-se rapidamente administrar sedativos endovenosos, para evitar que haja piora das lesões internas e ferimentos
D) o colar cervical e prancha rígida são indicados, apenas, aos pacientes com história de queda de grande altura ou com sintomas álgicos em coluna vertebral
E) a prancha rígida deve ser utilizada para o transporte. Deve ser mantida durante o exame clínico e retirada,
precocemente, logo que se conclua a avaliação radiológica
Letra “E” - a prancha rígida deve ser utilizada para o transporte. Deve ser mantida durante o exame clínico e retirada, precocemente, logo que se conclua a avaliação radiológica
(SES-PE 2015 ACESSO DIRETO) - A Hipertensão Intra-Abdominal (HIA) ocorre em graus variados em
alguns pacientes críticos cirúrgicos e não cirúrgicos, podendo culminar na Síndrome Compartimental do
Abdome (SCA) e seguir-se de falência de múltiplos órgãos e óbito. Assinale a alternativa em que todos os
itens estão presentes nos pacientes com SCA.
A) Aumento da pressão intratorácica e da pressão intracraniana, aumento da pós-carga, queda do débito
cardíaco, aumento da pressão venosa central, redução do volume corrente, queda da taxa de filtração
glomerular
B) Aumento da pressão intratorácica, redução da pós-carga, aumento do débito cardíaco, redução da pressão venosa central, queda da taxa de filtração glomerular, aumento da pressão intracraniana
C) Redução da pressão intratorácica, redução da pós-carga, aumento do débito cardíaco, redução da pressão venosa central, queda da taxa de filtração glomerular, aumento da pressão intracraniana
D) Aumento da pressão intratorácica, aumento da pós-carga, queda do débito cardíaco, redução da pressão
venosa central, redução do volume corrente, redução da pressão intracraniana
E) Aumento da pós-carga, queda do débito cardíaco, queda da pressão venosa central, redução do volume
corrente, queda da taxa de filtração glomerular, redução da pressão intracraniana
Letra “A” - Aumento da pressão intratorácica (AUMENTO DA PIAbd) e da pressão intracraniana (DIMINUIÇÃO RETORNO VENOSO), aumento da pós-carga (DIFICULGTA A SAÍDA DE ANGUE DO CORAÇÃO), queda do débito
cardíaco (DIMINUIÇÃO RETORNO VENOSO), aumento da pressão venosa central, redução do volume corrente (DEVIDO A EXPANSIBILITADE RESPIRATÓRIA DIMINUÍDA), queda da taxa de filtração
glomerular
sca: P>20MMhG + DISFUNÇÃO NOVA DE ÓRGÃOS
SNC: AUMENTO DA PIC
TÓRAX:
AUMENTO DA PRESSÃO INTRATORÁCICA
AUMENTO DA PRESSÃO VENOSA CENTRAL
DIMINUIÇÃO DO VOLUME CORRENTE
CORAÇÃO:
DIMINUIÇÃO DO DC
AUMENTO DA PVC
ABD:
DIMINUIÇÃO DA CIRCULAÇÃO ESPLÂNCNICA
DIMINUIÇÃO DA PERFUSÃO DO FÍGADO
AUMENTO PIAbd
DIMINUIÇÃO DA TFG COM DIMINUIÇÃO DO DU
(SES-PE 2019 R3 CIRURGIA GERAL) - Qual é a conduta abaixo NÃO é recomendado no tratamento
do TCE?
A) Coma barbitúrico quando um PIC não responde ao tratamento clínico
B) Descompressão abdominal quando um PIC não responde ao tratamento clínico em pacientes com
hipertensão intra-abdominal associada
C) Craniectomia descompressiva quando todas as medidas falharam normalizam o PIC
D) Drenagem cirúrgica de qualquer hematoma extradural, redução do tamanho e desvio da linha média, uma vez diagnosticada pelo TC de crânio
E) Colocação de um dreno no ventrículo lateral em pacientes com TCE grave para monitoração do PIC e
para drenar licor contínuo ou intermitentemente
Letra “D” -
Drenagem cirúrgica de qualquer hematoma extradural, diminuição do tamanho e desvio da linha média, uma vez diagnosticada pelo TC de crânio
(SES-PE 2019 R3 CIRURGIA GERAL) - Em relação ao trauma do cólon e reto, assinale a afirmativa INCORRETA.
A) A lesão extraperitoneal do reto deve ter o mesmo tratamento da lesão intraperitoneal do reto
B) Em casos muito graves, a cirurgia de controle de danos deve ser realizada (empacotamento), e uma colostomia retardada (num second-look) pode ser então realizada
C) Uma lesão de cólon transverso por arma de fogo num paciente estável operado com cerca de 1,5 hora,
pouco sangue e pouca contaminação na cavidade e necessitando de uma colectomia segmentar pode ser
finalizada com uma colostomia proximal ou pode ser feita uma anastomose primária
D) De uma maneira geral, as lesões por arma branca permitem um tratamento primário definitivo com melhor segurança que nas lesões por arma de fogo
E) Se houver necessidade de uma ressecção com colostomia proximal, o coto distal pode ser exteriorizado na própria incisão (fístula mucosa), ou ser exteriorizado como uma outra colostomia (dupla boca) ou ser deixado fechado dentro da cavidade abdominal (Hartmann)
Letra “A” -
A lesão extraperitoneal do reto deve ter o mesmo tratamento da lesão intraperitoneal do reto