Components of the MCL of the elbow

Components of the LCL of the elbow

Components of the cubital tunnel

What is/are the classifications for radial head fracture?
[JBJS REVIEWS 2017;5(12):e3]

What injuries are associated with radial head fracture?
What is the radial head safe zone?

What is the treatment of radial head fractures based on fracture displacement and size?
[JBJS REVIEWS 2017;5(12):e3]
Determine the nature of the fracture based on size and displacement
What are the contraindications to radial head excision?
When performing radial head excision, what should be tested intraoperatively after excision?
[JBJS. 2002 Nov;84-A(11):1970-6.][Journal of Orthopedics 2018; 15(1): 78]
Longitudinal forearm stability
How many radial head fragments can be present to consider ORIF?
[Tornetta]
≤3 fragments
What fixation options are preferred for radial head ORIF?
What approach is used for radial head arthroplasty?
[JBJS 2010;92:250-257]

What is the Mayo classification of olecranon fractures?
[JAAOS 2013;21:149-160]
***Note: each group is subdivided into noncomminuted (A) or comminuted (B)

What is the Schatzker classification for olecranon fractures?
[JAAOS 2013;21:149-160]

Which olecranon fractures have intermediate fragments?
[JAAOS 2013;21:149-160]

What is the recommended fixation construct for olecranon fractures based on Schatzker fracture type?
[JAAOS 2013;21:149-160]

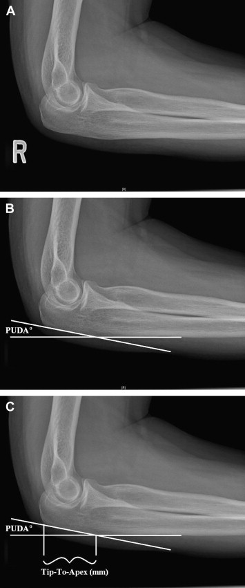
What is the PUDA angle?
[JAAOS 2013;21:149-160]
PUDA = proximal ulna dorsal angulation

How do you use the radiocapitellar ratio (RCR) to measure radial head alignment?
[JAAOS 2013;21:149-160]
On a lateral XR, the RCR measurement is the minimal distance between the axis of the radial head and the center of the capitellum, divided by the diameter of the capitellum

What is the angulation of the proximal ulna in the coronal plane?
[JAAOS 2013;21:149-160]
Mean varus angulation of 14°+/-4°
What are important considerations in fixation of comminuted olecranon fractures?
[JAAOS 2013;21:149-160]
***Some bone loss can be accepted in the bare area
Indications for nonoperative treatment of olecranon fractures?
[Rockwood and Green 8th ed. 2015]
What are the surgical options for olecranon fractures?
What are the indications for olecranon fragment excision and triceps advancement?
[Rockwood and Green 8th ed. 2015]
Elderly patients with osteoporosis and/or comminution, involving less than 75% of the olecranon (some sources <50%)
What is the influence of anterior vs. posterior triceps repair following fragment excision and triceps advancement?
[JOT2011;25:420–424]