Treinamento Multimídia Flashcards

(3 cards)

1
Q

ECG

Qual é o diagnóstico eletrocardiográfico?

A

Ondas T cerebrais

Em quadros relacionados a hemorragia subaracnoide (como TCE), é possível a ocorrência de um efeito vagotônico sobre as vias de condução miocárdica

How well did you know this?
1
Not at all
2
3
4
5
Perfectly
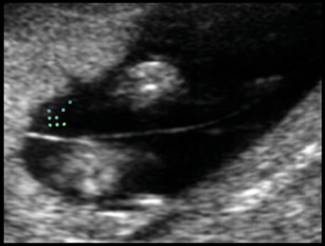
2
Q

USG obstétrico

Qual é o sinal ecográfico apresentado na seta e o que indica?

A

Sinal do Lambda

Presentes em gestações dicoriônicas - identificação de septo espesso entre os sacos gestacionais, presença de duas placentas separadas ou por gêmeos de sexos discordantes

How well did you know this?
1
Not at all
2
3
4
5
Perfectly
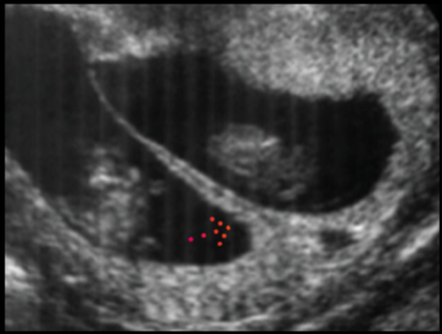
3
Q

USG obstétrico

Qual é o sinal ecográfico apresentado na seta e o que indica?

A

Sinal do T

Presentes em gestações monocoriônicas
- Pode ser identificado até início do 2º TRI. Após esse período, caso a corionicidade não possa ser definida, a gestação deverá ser seguida como monocoriônica.

LEMBRAR que em gestações monocoriônicas, é necessário investigar síndrome da transfusão feto-fetal com ultrassonografia a cada 15 dias

How well did you know this?
1
Not at all
2
3
4
5
Perfectly