why a trial stage?
Dress rehearsal

imp Qs before pt arraives
Is the mould and shade what you requested.
Arrangement of teeth. Did you request a diastema/imbrications.

3 things to check when first pick up dentures before pt arrives
before you insert the dentures check
16

what to say to the pt when they arrive for trial appointment
Tell pt trying them in today and if all well nice short appointment but gives us time to adjust them if needed
how to insert the trial dentures
Assess each denture independently & then together.
If maxillary denture is inserted first it can be dislodged when the mandibular denture is inserted.
3 key things to check when trial denture in the mouth
NB. Retention is not as good with trial as it is with finished denture
how to assess extension
resistance
Resistance to VERTICAL movement (away from occlusal surface)
stability
Resistance to HORIZONTAL movement (Rocking)
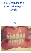
what to check about occlusal plane and appearance
Incisal plane orientation – with interpupillary (parallel)
occlusal plane orientation -with alar tragal line

how to assess lower occlusal plane and why imp
For most patients the level of the incisal edge is at the level of the lower lip at corner of the mouth
tongue should rest on the occlusal surfaces of the teeth to help hold the denture in position

what needs done if OVD is increased
teeth need to be removed from one or both dentures and replaced with a wax rim
if OVD on upper is correct but lower is wrong
Try prevent altering the upper unless needed
check occlusion on wax trial
ask if comfortable bite or too high

balanced articulation
contact on both working and non working sides on sliding (complete want both unlike dentate)
what to check after checking extension, stablity and retention when trial dentures in mouth (6)
what to ask the pt when they have wax trial in
how to assess speech with wax trial
importance of post dam in upper denture
good peripheral seal
what do you need to do at trial stage for post dam
prescription card for after trial appointment
Guide
Instructions to the laboratory
stage for prescription card
what is the next stage not what you have done (retry or finish)
acronym to remember what to check at denture retrial stage
SOARE