two diseases caused by trypanosoma?
chagas disease and african sleeping sickness
once kinetoplastids infect you (trypanosoma/leishmania)….
you are infected for life
kinetoplastids are found
in the blood (different forms w flagella or no flagella)
the kinetoplast structure? function?
contains DNA organized into minicircles and maxicircles similar to mitochondrial DNA function and need for etensive posttranslational editing is unknown in close association with the basal body in the base of the flagellum
trypanosoma cruzi vector? parasite form in vector? parasite form in blood? parasite form in tissue? distribution?
triatomine bugs epimastigote, metacyclic tryp trypomastigote amastigote americas
trypanosoma brucei vector? parasite form in vector? parasite form in blood? parasite form in tissue? distribution?
tsetse fly epimastigote, metacyclic tryp trypomastigote extracellular sub-saharan africa
leishmania vector? parasite form in vector? parasite form in blood? parasite form in tissue? distribution?
sand fly promastigote - (blood) amastigote global except australia
trypanosoma lifecycle

remale reduviids prefer to lay eggs…
in cracks crevices
high in rural/poor housing
transmission of trypanosomes
animal reservoir for trypanosomes/reduviids = rats,, racoons, skunks, dogs
human-human via blood transfusion/organ transplant
sugarcane juice, guava juice, acai juice
in chagas disease, what kills you?
heart disease
how many people in US infected w chagas disease?
300,000 with T cruzi
phases of T cruzi infection

romana sign
eye infection
T cruzi acute phase infection
acute chagas disease
febrile; can cause myocarditis and meningoencephalitis
romanas sign = unilateral painless periorbital edema
indurated lesion at site of parasite entry = chagoma
1-2 weeks incubation
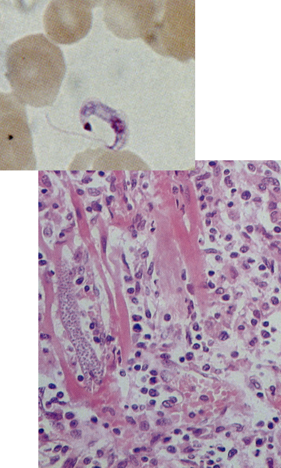
**amastigotes in heart muscle
After a stage of initial parasitemia, trypomastigotes pass to the cardiac muscle and smooth muscle lining the intestinal tract. Here they transform into the amastigote
stage. In the heart, this causes myocarditis in the early stages.

amastigote vs trypomastigotes
Amastigotes are intracellular form with short/no flagella
trypomastigotes travel in blood and have long flagella
t cruzi strains 1 vs 2
type 1 strains are LESS pathogenic than type 2
type 2 occur in southern south america and are human/peridomestic types
type 1 are sylvatic
congenital chagas
1-10% of + mothers will past to baby
–severe respiratory distress, meningoencephalitis, hepatosplenomegaly, or myocarditis
ekg findings from chagas
conduction issues!
-widened QRS
RBBB (right bundle branch block)
chronic chagasic cardiopathy
80% of chronic chagas disease causes heart disease!
conduction issues, arrhythmias, sudden cardiac death, heart failure, thromboembolism, aneurysms
chagas GI disease
mega-esophagus or mega-colon (chagasic colopathy) / distended belly
severe constipation and difficulty swallowing
(disrupted autonomic fx)
reactivated chagas disease
in immunocompromised host
CNS abscess-like lesions (ring enhanced)
meningoencephalitis
acute myocarditis
febrile episodes + transplant rejection
panniculitis
diagnosis of acute chagas
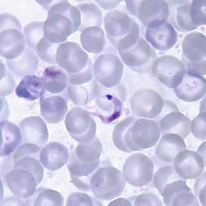
blood smear
peripheral blood will show C shaped trypomastigote with prominent kinetoplast

diagnosis of chronic chagas
T cruzi specific antibody (IgG)
–use 2 different serologic test with 2 different antigens