Qual o agente etiológico da tuberculose?
Mycobacterium tuberculosis
Em quais sítios de TB o paciente é considerado bacilífero?
Qual o agente etiológico mais comum no meio rural?

Mycobacterium bovis
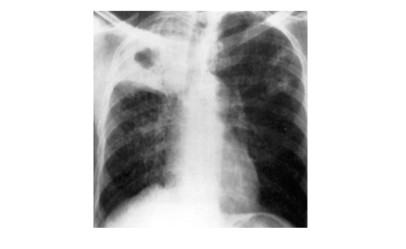
Qual a forma de TB demonstrada nesse exame?

TB cavitária
Qual a etnia mais afetada por TB no Brasil?
Negros
Cite 1 subconjunto de altíssimo risco para infecção por tuberculose
Presidiários
As micobactérias são pequenos _________ (bacilos / cocos)
Bacilos

Por qual motivo os bacilos da TB são chamados de álcool-ácido resistentes?

No método de Ziehl Neelsen os bacilos retém o corante vermelho
Qual a composição da parede celular dos bacilos da TB?
Ácido micólico ~ garante a proteção do bacilo contra agressão exógena
Por que o bacilo de Koch tem preferência pelos ápices pulmonares?
Estritamente aeróbio ~ nos ápices há altas tensões de O2
Cite 3 determinantes para ocorrência de infecção em pacientes expostos à TB
Quando um paciente é considerado multibacilífero?
Baciloscopia positiva no escarro ~ “BAAR” positivos
Quando um paciente é considerado paucibacilífero?
Baciloscopia negativo no escarro ~ mas com cultura positiva
Quando um paciente é considerado não bacilífero?
Formas extrapulmonares
Em qual faixa etária, no Brasil, a primoinfecção é mais comum?
Crianças 👶 e adolescentes 👯♀️
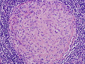
O granuloma representa uma hipersensibilidade do tipo ____________
IV
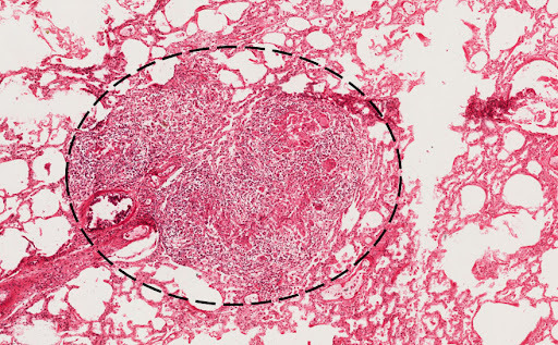
Qual a composição de um granuloma?

Macrófagos circundados por um infiltrado de linfócitos
À que se deve a denominação granuloma “caseoso” da TB?

Presença de lipídios degradados da parede bacteriana
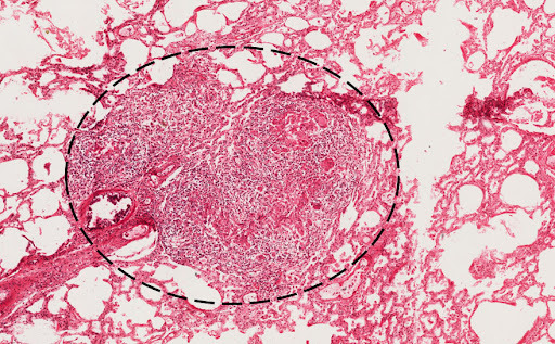
Como se denomina o foco pulmonar onde se inicia o processo de formação do granuloma?

Nódulos de Ghon
O que é o complexo de Ranke, também chamado de complexo primário?
Adenopatia satélite + nódulo de Ghon
Qual o grande marco histopatológico da TB?
Granuloma caseoso

Quantos % de indivíduos infectados desenvolvem a doença tuberculose?
10%
Qual o período de incubação da síndrome da TB?
1 mês a 3 anos
Cite as 2 possíveis etiologias para uma TB pós-primária