Tuberculose Flashcards

(43 cards)

1
Q

Qual o principal agente etiológico responsável pela infecção da Tuberculose?

A

A espécie mais importante é a M. tuberculosis, conhecida também como bacilo de Koch (BK).

How well did you know this?
1
Not at all
2
3
4
5
Perfectly
2
Q

Qual a forma de transmissão da tuberculose na primo infecção?

A

A transmissão se faz por via respiratória, pela inalação de aerossóis produzidos pela tosse, fala ou espirro de um doente com tuberculose ativa pulmonar ou laríngea.

How well did you know this?
1
Not at all
2
3
4
5
Perfectly
3
Q

Como se dá o primeiro momento da fisiopatologia da primo infecção por tuberculose?

A

Após a inalação dos bacilos, parte deles fica retida pelas vias áereas superiores, mas algumas micobactérias chegam aos alvéolos. Nestes eles serão fagocitados por macrófagos residentes, dando início a uma reação inflamatória inespecífica.

How well did you know this?
1
Not at all
2
3
4
5
Perfectly
4
Q

Na fisiopatologia da primo infecção da TB pulmonar, detalhe a cascata inflamatória inespecífica gerada.

A

Os bacilos fagocitados pelos macrófagos vencem o ambiente inflamatório inespecífico gerado e continuam se multiplicando (intracelulares facultativos) determinando eventualmente a lise dos macrófagos e liberação do conteúdo bacilar no meio, o que recruta mais células de defesa, perpetuando o ciclo. Esse acúmulo de células gera um conglomerado, o foco pneumônico.

How well did you know this?
1
Not at all
2
3
4
5
Perfectly
5
Q

Como se dá o mecanismo de disseminação hematogênica e linfática na primo infecção por TB pulmonar?

A

Ainda sem uma imunidade específica construída, a multiplicação dos bacilos continua e os bacilos são drenados para linfonodos (hilares e mediastinais) e podem atingir a corrente sanguínea, sendo disseminados diversos órgãos e sistemas (disseminação linfática e hematogênica).

How well did you know this?
1
Not at all
2
3
4
5
Perfectly
6
Q

Como se dá a fisiopatologia da primo infecção por TB pulmonar, já em relação a imunidade específica gerada?

A

A partir da segunda semana de infecção a imunidade celular específica se desenvolve, com o aparecimento principalmente dos linfócitos T helper CD4+, que aumentam a capacidade bactericida dos macrófagos. Estas células vão se acumulando em volta do foco infeccioso primário e nos focos disseminados, construindo granulomas (tubérculos), o que se denomina de foco de Ghon.

How well did you know this?
1
Not at all
2
3
4
5
Perfectly
7
Q

A partir de que período se tem a formação da necrose caseosa na fisiopatologia da TB pulmonar?

A

A partir da décima semana da primo infecção, após a formação dos granulomas pela reação inflamatória específica, surge uma área de necrose “sólida” do tipo caseosa no centro da reação granulomatosa.

How well did you know this?
1
Not at all
2
3
4
5
Perfectly
8
Q

No que consiste o Complexo de Ranke?

A

O acometimento de gânglios satélites na disseminação linfática pode gerar o “complexo primário” ou complexo de Ranke, que consiste na associação do nódulo de Ghon (pulmão) com a linfadenomegalia satélite.

How well did you know this?
1
Not at all
2
3
4
5
Perfectly
9
Q

’A maioria dos pacientes com quadros de infecções pelo M. tuberculosis desenvolvem a doença”. Verdadeiro ou falso?

A

Falso. Na maioria dos casos, com um sistema imune íntegro, a infecção tuberculosa é controlada em todos os focos nessa etapa, podendo apresentar calcificação dos nódulos, constituindo um quadro assintomático que regride sem desenvolver a doença de fato, apesar do exame PPD ser reator.

How well did you know this?
1
Not at all
2
3
4
5
Perfectly
10
Q

O que pode determinar se uma pessoa infectada pelo M.tuberculosis desenvolve ou não a doença, em relação a sua fisiopatologia?

A

Quando a carga de bacilos é muito grande, ou o sistema imune é prejudicado, a resposta imunológica gerada na primo infecção tende a ser exacerbada, formando focos maiores de granuloma caseoso. Em pacientes nos quais o sistema não consegue conter esse processo, vê-se a progressão da lesão inflamatória e a formação dos chamados focos “progressivos”, que vão ser relacionados com os achados radiológicos e sintomas relatados pelos pacientes que evoluíram com a doença.

How well did you know this?
1
Not at all
2
3
4
5
Perfectly
11
Q

Quais são os fatores que influenciam na probabilidade de contaminação da Tuberculose:

A

Fatores exógenos, como a infectividade da pessoa contaminada (baciloscopia positiva no escarro e a quantidade de bacilos por amostra), a duração e frequência dos contatos (prolongado), e o tipo de ambiente partilhado (ambientes ventilados e com luz solar diminuem o risco de transmissão).

How well did you know this?
1
Not at all
2
3
4
5
Perfectly
12
Q

Que fatores influenciam no adoecimento após contaminação pelo bacilo?

A

Tempo decorrido da infecção, sendo maior risco de adoecimento nos primeiros dois anos após exposição, a idade menor que dois anos ou maior que 60 anos e a presença de comorbidades ou tratamentos imunossupressores.

How well did you know this?
1
Not at all
2
3
4
5
Perfectly
13
Q

Qual o principal órgão acometido na infecção por M.tuberculosis?

A

A TB acomete de forma prioritária o pulmão, sendo este a porta de entrada da maioria dos casos.

How well did you know this?
1
Not at all
2
3
4
5
Perfectly
14
Q

Quais as principais formas de apresentação da tuberculose pulmonar?

A

Classicamente, as principais formas de apresentação são a forma primária, a pós-primária (ou secundária) e a miliar.

How well did you know this?
1
Not at all
2
3
4
5
Perfectly
15
Q

Sobre a tuberculose primária, quais suas características em relação a prevalência e quadro sintomático?

A

A TB primária, aquela que ocorre no máximo após 3 anos da infecção, é comum em crianças e imunossuprimidos, sendo uma forma grave mas normalmente de baixa transmissibilidade. O principal sintoma é a febre (38ºC -39ºC) de em média 14 a 21 dias. Alguns pacientes podem relatar dor pleurítica e dor retroesternal e, raramente, se tem fadiga, tosse seca, artralgia e faringite. Em crianças pequenas, além da febre, pode-se observar sinais como inapetência e emagrecimento. Já em crianças escolares e adolescentes, tosse, expectoração e hemoptise podem aparecer.

How well did you know this?
1
Not at all
2
3
4
5
Perfectly
16
Q

Como se dá a TB pulmonar pós-primária?

A

Ocorre após três anos da primoinfecção, por reativação de foco latente (reinfecção endógena) ou por reinfecção exógena (nova carga bacilar), apresentando as mesmas características, normalmente em adultos. Na reativação endógena, os focos intersticiais que se disseminaram pelo parênquima pulmonar durante a primoinfecção contêm o bacilo na forma latente. Por mecanismos como queda da imunidade, os bacilos são novamente ativados e voltam a se proliferar nos macrófagos. Os bacilos costumam se concentrar nos segmentos apicais e posteriores dos lobos superiores, onde a tensão de oxigênio média é consideravelmente mais alta, o que favorece o crescimento das micobactérias.

How well did you know this?
1
Not at all
2
3
4
5
Perfectly
17
Q

Quais os achados em exames de imagem mais frequentes em casos de TB pulmonar primária?

A

Os achados mais comuns são: opacidade parenquimatosa, linfadenopatia miliar, infiltrados pulmonares e cavitações.

How well did you know this?
1
Not at all
2
3
4
5
Perfectly
18
Q

Qual a importância do exame de imagem em caso de suspeita de TB pulmonar pós primária? E quais os achados mais comuns a serem encontrados nele?

A

Importância pela possibilidade de dissociação clínico-radiológica, sendo bom para entender a extensão do acometimento da infecção. É comum haver a presença de múltiplos granulomas coalescentes resultando em imagens como nódulos, massas e consolidações, além de infiltrados pulmonares heterogêneos, cavitações e calcificações. É possível que sejam encontradas evidências de pneumonia e derrame pleural também.

19
Q

Descreva o quadro clínico clássico que pode ser apresentado em pacientes com TB pulmonar pós primária.

A

A presença de tosse, sudorese noturna, expectoração, febre vespertina, emagrecimento, astenia e anorexia são os sintomas mais frequentes. A tosse noturna geralmente está associada com a progressão da doença, geralmente pela formação das cavitações. Menos frequentemente, pode-se ter hemoptise, dor torácica, dispneia e calafrios.

20
Q

Em relação à tuberculose extra-pulmonar, quais seus principais sítios de acometimento?

A

Nesse caso, devemos ficar atentos à acometimentos em pleura, linfonodos, genitourinário, ossos e articulações, meninges, peritônio e pericárdio. Em casos de pessoas com co-infecção por HIV, a disseminação hematogênica sempre deve ser levada em consideração (linfadenite tuberculosa).

21
Q

Que sinais e sintomas na anamnese e exame físico poderiam indicar uma possível TB miliar?

A

É uma disseminação hematogênica da TB, podendo apresentar os sintomas sistêmicos clássicos da TB pulmonar, acrescidas de dor abdominal e sinais como hepatoesplenomegalia e linfoadenopatia. É mais comum em crianças e imunossuprimidos. A tosse, se presente, é classicamente seca.

22
Q

Como é realizado o diagnóstico padrão da tuberculose?

A

Uma anamnese detalhada, explorando sintomas, possibilidade de exposição, associada a um exame clínico completo. O exame de imagem pode ser utilizado para avaliar a presença de achados que condizem com a TB, principalmente em casos de sintomas inespecíficos. Com a suspeita, deve-se pedir um teste confirmatório, podendo escolher entre o teste rápido molecular, a baciloscopia, e a cultura.

23
Q

Qual a importância do teste de baciloscopia para além do diagnóstico?

A

O risco de transmissão da TB perdura enquanto o paciente elimina os bacilos vivos no escarro. Com isso, a importância de realizar baciloscopia de escarro de controle reside não somente na confirmação da eficácia do esquema terapêutico, mas também na avaliação de risco para os contatos.

24
Q

Cite as vantagens e limitações do teste rápido molecular (TRM-TB).

A

Apesar de ser uma boa escolha para confirmar o diagnóstico de TB pulmonar e laríngea (principalmente em adultos e adolescentes), o teste TRM-TB detecta o DNA da M. tuberculoses vivas ou mortas, não podendo ser utilizado para o acompanhamento da resposta ao tratamento nem em casos de retratamento. Além disso, ele não está de fato disponível em muitas regiões do país. Entretanto, o TRM-TB pode ser utilizado apenas para triagem da resistência à rifampicina e em diagnóstico de TB extrapulmonar em amostras de líquor, gânglios linfáticos e outros tecidos (o resultado negativo não exclui o diagnóstico).

25
Qual o exame de escolha para o acompanhamento da resposta ao tratamento? Cite como o exame e o acompanhamento são realizados.
A baciloscopia de escarro, é o exame de escolha. Ela consiste na pesquisa direta do bacilo de Koch através do exame microscópico, analisando principalmente amostras de escarro (no mínimo duas em momentos distintos). O seu resultado positivo indica tuberculose ativa, sendo útil para verificar se o tratamento conseguiu ser efetivo.
26
Quando é recomendado que o médico trate empiricamente um paciente para TB?
Quando se tem uma suspeita clínica e contexto epidemiológico corroborados por achados de exame de imagem, previamente a liberação dos resultados dos testes confirmatórios.
27
Cite as vantagens e desvantagens da cultura associada ao TS.
A cultura é um método relativamente de baixo custo e de elevada especificidade e sensibilidade no diagnóstico da TB, sendo importante principalmente em casos de forte suspeita clínica e baciloscopia negativa. Além disso, a associação do teste de sensibilidade e identificação da espécie infecciosa é importante uma vez que ajuda a direcionar de forma efetiva a escolha terapêutica.
28
A TB pleural é a forma extrapulmonar mais comum em pessoas sem co-infecção por HIV. Que quadro clínico, achados laboratoriais e de imagem podem ter que poderiam ajudar a diferenciar os diagnósticos?
Ocorre mais em jovens apresentando quadro de dor torácica do tipo pleurítica juntamente com astenia, emagrecimento e anorexia. Além disso, pode-se ter febre com tosse seca, simulando uma pneumonia bacteriana aguda, e dispnéia em casos mais evoluídos. O líquido pleural tem características de exsudato, com predomínio de linfócitos (monócitos). Normalmente, apresentam níveis elevados da proteina adenosina deaminase (ADA) no líquido pleural. Na radiografia de tórax, costuma-se ver apenas o derrame pleural. Lembrar que os linfomas são o principal diagnóstico diferencial da TB pleural.
29
Cite três diagnósticos diferenciais que devem ser analisados quando se suspeita de TB pulmonar
30
Em relação ao exame complementar ADA, qual sua importância para o diagnóstico de TB?
ADA (Adenosina Deaminase) é uma enzima secretada por linfócitos e macrófagos ativados, que quando apresenta uma dosagem elevada (> 40 U/l) tem elevado valor preditivo positivo para tuberculose, permitindo a confirmação diagnóstica mesmo sem demonstração direta da presença do BK (diagnóstico "clínico epidemiológico" de TB pleural).
31
Que característica sintomática principal deve ser levada em consideração durante a estratégia programática de busca ativa por pessoas com tuberculose na sociedade?
Pessoas com sintomas respiratórios como tosse por 3 semanas ou mais devem ser investigadas para tuberculose com exames bacteriológicos.
32
Paciente de 38 anos, chega a UPA apresentando febre vespertina não aferida, tosse seca há 3 semanas, sudorese noturna e relata um emagrecimento importante no último mês. Durante a investigação, realizou-se o TRM-TB e cultura + TS pela amostra de escarro e um raio x de tórax. Resultado do teste molecular deu positivo para tuberculose e negativo para resistência à rifampicina. Resultado da cultura ainda sendo aguardado. Raio x apresenta infiltrados heterogêneos em lado direito e a presença de consolidação em segmento apical do lobo superior. Diante desse quadro, qual a conduta seguinte a ser realizada?
Iniciar tratamento em esquema básico: 2 meses de ataque com a associação de Rifampicina, Isoniazida, Pirazinamina e Etambutol (RHZE) seguida de 4 meses de manutenção com Rifampicina e Isoniazida. Realizar o acompanhamento mensal, para verificar a efetividade e resposta do tratamento com a baciloscopia, que deverá estar negativa até no máximo o final do segundo mês. O seguimento radiológico será ao final do primeiro, quarto e sexto mês de tratamento.
33
Quais as indicações de testagem pela prova tuberculínica (PT)?
A PT é utilizada principalmente para diagnóstico de ILTB em adultos e crianças e pode também auxiliar no diagnóstico de tuberculose ativa em crianças. Indivíduos com PT documentada e resultado ≥ 5 mm não devem ser retestados, mesmo diante de uma nova exposição ao M. tuberculosis.
34
Disserte sobre a limitação da prova tuberculínica (PT) em relação ao período de aplicação.
As reações falso-positivas são a principal limitação da PT quando se testa indivíduos infectados por outras micobactérias ou vacinados com a BCG após o primeiro ano de vida e com menos de 10 anos entre a vacinação e o teste.
35
Cite 3 fatores biológicos que podem gerar resultado falso-negativo na testagem por Prova Tuberculínica (PT)
TB grave (meníngea) ou disseminada (miliar), imunodepressão, infecções virais/bacterianas/fúngicas graves, neoplasia, vacinação recente com vírus vivo, desnutrição, desidratação grave, diabetes mellitus, IRC, insuficiência hepática, gravidez, idade < 3 meses ou > 65 anos, febre durante o período de feitura da PT.
36
Em relação ao controle de pessoas que tiveram contato com indivíduos contaminados, cite os grupos prioritários para a análise e testagem de ILTB.
Apesar de idealmente, todos os contatos de um paciente com TB terem que ser avaliados, a prioridade deve ser em relação a menores de cinco anos, pessoas HIV + e imunossuprimidas em geral e idosos. Entretanto, quando o primeiro caso notificado na família for de uma criança, é necessário que se teste todos os contatos uma vez que a chance dela ter adquirido o vacilo de um adulto é extremamente alta.
37
Como se dá a conduta em caso de análise de indivíduos ASSINTOMÁTICOS que tiveram contato com pessoas diagnosticadas com TB?
Caso a PT < 5 mm: Repetir em 8 semanas para confirmar se não era um caso de janela imunológica. Para que haja conversão, a nova PT precisa ter uma diferença de no mínimo 10 mm para a medida anterior. Caso a PT ≥ 5 mm: É preciso que seja realizado raio X de tórax. Se normal, tratar ILTB. Se suspeito, prosseguir com a investigação. Para crianças assintomáticas o raio x de tórax é obrigatório, em conjunto com a PT sempre. Além disso, deve-se considerar um corte de 10mm para crianças vacinadas a menos de 2 anos com BCG.
38
Paciente assintomática, contactante de TB pulmonar, com radiografia de tórax normal e PPD de 7 mm, teve indicação de tratamento para ILTB. Sabendo que se trata de uma paciente com trombocitopenia, ou seja, com contraindicação relativa para o uso de rifampicina, como conduzir essa quimioprofilaxia?
Paciente assintomática, contactante de TB pulmonar, com radiografia de tórax normal e PPD de 7 mm, teve indicação de tratamento para ILTB. Sabendo que se trata de uma paciente com trombocitopenia, ou seja, com contraindicação relativa para o uso de rifampicina, como conduzir essa quimioprofilaxia?
39
Cite 3 indicações de investigação para ILTB.
40
Você se depara com um paciente com retocolite ulcerativa que irá iniciar imunobiológico. Para isso, em razão da associação da terapia com ILTB, foi feita a prova tuberculínica (PPD) e a área de enduração foi de 9mm. O paciente é assintomático respiratório e a radiografia de tórax mostra nódulo cálcico na base esquerda. Somente a rifampicina está disponível na UBS, como será essa prescrição?
Para esse tratamento vamos utilizar o esquema com rifampicina preconizado em casos de ILTB. Nesse esquema terapêutico, recomenda-se a utilização de 120 doses administradas em 4-6 meses.
41
Em relação a exames diagnósticos, qual o teste capaz de detectar simultaneamente o patógeno da TB pulmonar e a resistência a um dos medicamentos clássicos do esquema de tratamento?
O GeneExpert é um teste molecular diagnóstico com metodologia PCR que possibilita a detecção do M. tuberculosis e, ao mesmo tempo, se há resistência à rifampicina. É um método de testagem rápida e de fácil execução por meio da análise do escarro, que permite acesso aos resultados em horas.
42
Cite duas vantagens do método de testagem GenExpert para o diagnóstico de TB pulmonar?
O GenExpert é um teste molecular com metodologia PCR que possibilita a detecção do M. tuberculosis e, simultaneamente, verifica se há resistência à rifampicina. Além disso, é de fácil execução e os resultados são disponibilizados em horas.
43
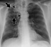
Considerando um paciente de 6 meses de idade, quais achados nessa radiografia indicam uma possível Tuberculose Pulmonar primária?
Linfonodomegalia mediastinal (seta) e consolidação nos lobos médio e inferior direito (cabeça de seta)